아카이브 요약
이 페이지의 역할
연세예감치과의원의 네이버 블로그 원문을 보존한 아카이브 페이지입니다. 치아성형 카테고리의 [서대문가까운/치과] 깨진 치아 레진 떼운 사례 글을 통해 병원의 한국어 정보 제공 방식과 진료 관련 안내 톤을 확인할 수 있습니다.
원문 검증
필요하면 원문 블로그와 병원 프로필로 바로 이동해 문맥을 다시 확인할 수 있습니다.
출처 아카이브 열기아카이브된 블로그 글
연세예감치과의원 · Naver Blog
안녕하세요 시청역 7번출구 삼성본관 맞은편에 위치한 <시청역 연세예감치과>입니다. 서울의 중심에 위치하여 신촌, 서대문, 서울역, 광화문 등등 어디에서도 오시기 편한 위치입니다! 오늘은 외국인 환자분의 깨진 치아를 레진으로 때운 사례를 알아보도록 하겠습니다. 환자분이 미끄러운 곳에서 넘어지는 바람에 윗니의 앞니...
게시일
2023년 2월 2일
원문 기준으로 확인된 발행일입니다.
카테고리
치아성형
원문 블로그 카테고리를 정리해 함께 표시합니다.
이미지 수
14
현재 아카이브에 연결된 이미지 수입니다.
아카이브 요약
연세예감치과의원의 네이버 블로그 원문을 보존한 아카이브 페이지입니다. 치아성형 카테고리의 [서대문가까운/치과] 깨진 치아 레진 떼운 사례 글을 통해 병원의 한국어 정보 제공 방식과 진료 관련 안내 톤을 확인할 수 있습니다.
원문 검증
필요하면 원문 블로그와 병원 프로필로 바로 이동해 문맥을 다시 확인할 수 있습니다.
출처 아카이브 열기안녕하세요
시청역 7번출구 삼성본관 맞은편에 위치한
<시청역 연세예감치과>입니다.
서울의 중심에 위치하여
신촌, 서대문, 서울역, 광화문 등등 어디에서도 오시기 편한 위치입니다!
오늘은 외국인 환자분의
깨진 치아를 레진으로 때운 사례를 알아보도록 하겠습니다.
![[서대문가까운/치과] 깨진 치아 레진 떼운 사례 관련 이미지 1](https://pub-9f2bb3498faf4d1d8714b41df24753e3.r2.dev/content/clinics/archive/rseeanjxfu/naver_blog/yonseiyegam/assets/by_hash/ee3fd90504ca1001f27a0786777e76a5d831beae6e8ef935f4d875321ad8d976.jpg)
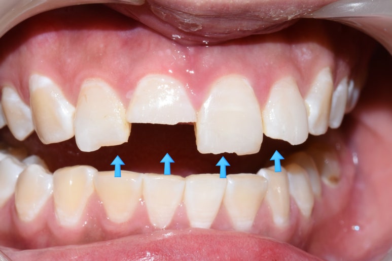
환자분이 미끄러운 곳에서 넘어지는 바람에
윗니의 앞니 4개가 깨져서 오셨습니다.
환자분 말로는 몇 달 전 한국오시기 전에 레진으로 한 번 떼운 적 있던 치아라고 하셨고
치아 하나는 아주 많이 깨져서
다른 치과에서는 발치 후 임플란트를 해야한다고 설명을 듣고 오신 치아였습니다.
![[서대문가까운/치과] 깨진 치아 레진 떼운 사례 관련 이미지 2](https://pub-9f2bb3498faf4d1d8714b41df24753e3.r2.dev/content/clinics/archive/rseeanjxfu/naver_blog/yonseiyegam/assets/by_hash/e8b51ae03835977eca56969caac8b97367724780bbec8f5c746141a197ef31c4.jpg)
저희 치과의 경우도 이 치아 하나는 너무 많이 깨져서 파절선이 잇몸속에 있는 이 치아 하나는
발치하고 임플란트가 가장 첫번째 옵션이라고 설명 드렸지만
환자분이 임플란트는 하고 싶지 않았기 때문에
다른 치료를 해보고 싶다고 하셔서 일단 깨지면서 치아신경이 노출된 치아라서 신경치료부터 시작하면서 예후를 지켜보기로 하였습니다.
![[서대문가까운/치과] 깨진 치아 레진 떼운 사례 관련 이미지 3](https://pub-9f2bb3498faf4d1d8714b41df24753e3.r2.dev/content/clinics/archive/rseeanjxfu/naver_blog/yonseiyegam/assets/by_hash/067a274a4a39e7e6f197b1a4a9df817cfd221c481d37dd2f953cc7224ade266d.jpg)
다른 치과에서 발치 설명들은 치아는 일단 임시로 레진으로 떼우고
신경치료 진행중이며, 다른 나머지 치아들은
![[서대문가까운/치과] 깨진 치아 레진 떼운 사례 관련 이미지 4](https://pub-9f2bb3498faf4d1d8714b41df24753e3.r2.dev/content/clinics/archive/rseeanjxfu/naver_blog/yonseiyegam/assets/by_hash/b935a012a28da77b93f2b53168e0456f9790c655963f4eb108943dc22dd3ed9d.jpg)
위와 같이 4개치아 중 양 가쪽 2개는 레진으로 떼워놓은 상태입니다.
환자분이 깨진 것 떼우는 김에 길이도 더 길게 하고 싶어하셔서 길게 해드리고
치아색도 조금 더 자연스럽게 하얗게 해드렸더니 좋아하고 만족하셨습니다.
![[서대문가까운/치과] 깨진 치아 레진 떼운 사례 관련 이미지 5](https://pub-9f2bb3498faf4d1d8714b41df24753e3.r2.dev/content/clinics/archive/rseeanjxfu/naver_blog/yonseiyegam/assets/by_hash/463a1450d96d233d3370ef4d11b27a535a1008d3f394ba61260ead783779ecde.jpg)
![[서대문가까운/치과] 깨진 치아 레진 떼운 사례 관련 이미지 6](https://pub-9f2bb3498faf4d1d8714b41df24753e3.r2.dev/content/clinics/archive/rseeanjxfu/naver_blog/yonseiyegam/assets/by_hash/1445cb844f26ed8f7b528d5f90a0b91eeb1bd47e627343681945d2bf66602a76.jpg)
처음 → 치료중(레진치료 2개완료와 임시레진상태로 신경치료 중)
좌우 차이가 느껴지시나요?
현재 신경치료 중인 치아는 예후를 봐서
앞으로 어떻게 할지 결정할 예정이며
환자분이 다른 깨진 앞니도 치료받고 싶다고 하셨습니다!
지금까지 사고, 깨진 치아의
레진 충전 치료 실제사례에 대해 알아보았습니다.
레진 치료도 연세예감치과!
건강하고 아름다운 치아를 위해 해외에서도 찾아오는 연세예감치과입니다.
![[서대문가까운/치과] 깨진 치아 레진 떼운 사례 관련 이미지 7](https://pub-9f2bb3498faf4d1d8714b41df24753e3.r2.dev/content/clinics/archive/rseeanjxfu/naver_blog/yonseiyegam/assets/by_hash/e6a65df3636299adb3b848758ba1eb144509a95545d63b0836a7c9e51b71d78a.png)
![[서대문가까운/치과] 깨진 치아 레진 떼운 사례 관련 이미지 8](https://pub-9f2bb3498faf4d1d8714b41df24753e3.r2.dev/content/clinics/archive/rseeanjxfu/naver_blog/yonseiyegam/assets/by_hash/4f9b3b6f0456c7581c78c653b8c6a2592cb61d3bb6f5cdde303cdebb8bb49169.png)
![[서대문가까운/치과] 깨진 치아 레진 떼운 사례 관련 이미지 9](https://pub-9f2bb3498faf4d1d8714b41df24753e3.r2.dev/content/clinics/archive/rseeanjxfu/naver_blog/yonseiyegam/assets/by_hash/ae2e01b05a6e89808fc49a751fc21b81e1fc88594311994be90917aa7c697844.png)
![[서대문가까운/치과] 깨진 치아 레진 떼운 사례 관련 이미지 10](https://pub-9f2bb3498faf4d1d8714b41df24753e3.r2.dev/content/clinics/archive/rseeanjxfu/naver_blog/yonseiyegam/assets/by_hash/2d6a3d642e5df8520a7e2a80cf3e87de181fdacdff0f98a47b605c833a44cec3.png)
![[서대문가까운/치과] 깨진 치아 레진 떼운 사례 관련 이미지 11](https://pub-9f2bb3498faf4d1d8714b41df24753e3.r2.dev/content/clinics/archive/rseeanjxfu/naver_blog/yonseiyegam/assets/by_hash/938024df345140748d7727b369ec85be8485219745e1a11f80efa6fb9000ba64.png)
![[서대문가까운/치과] 깨진 치아 레진 떼운 사례 관련 이미지 12](https://pub-9f2bb3498faf4d1d8714b41df24753e3.r2.dev/content/clinics/archive/rseeanjxfu/naver_blog/yonseiyegam/assets/by_hash/e879659de166645399432119b662687bc231edb1cabed7717334a9f50dd718e2.png)
![[서대문가까운/치과] 깨진 치아 레진 떼운 사례 관련 이미지 13](https://pub-9f2bb3498faf4d1d8714b41df24753e3.r2.dev/content/clinics/archive/rseeanjxfu/naver_blog/yonseiyegam/assets/by_hash/e6d36ea6f5411c4a1ba5f6e4215876daffd1d9e4066d9fe23c9a5ee04e698a7b.png)
![[서대문가까운/치과] 깨진 치아 레진 떼운 사례 관련 이미지 14](https://pub-9f2bb3498faf4d1d8714b41df24753e3.r2.dev/content/clinics/archive/rseeanjxfu/naver_blog/yonseiyegam/assets/by_hash/a149f8c823261633d393116aedda3002075a9685143bf9900b3f0ad0f5105a40.png)
지도 클릭 후 네이버예약 가능합니다!