아카이브 요약
이 페이지의 역할
연세예감치과의원의 네이버 블로그 원문을 보존한 아카이브 페이지입니다. 치아성형 카테고리의 [종로/치과] 심한 변색치아&튀어나온 치아 1개 크라운 케이스 글을 통해 병원의 한국어 정보 제공 방식과 진료 관련 안내 톤을 확인할 수 있습니다.
원문 검증
필요하면 원문 블로그와 병원 프로필로 바로 이동해 문맥을 다시 확인할 수 있습니다.
출처 아카이브 열기아카이브된 블로그 글
연세예감치과의원 · Naver Blog
안녕하세요 종로구에서 오기 쉬운 치과 연세예감치과입니다. 시청역 7번출구 직진 도보3분 거리에 위치하여 종로,명동,시청,광화문,서울역 어디서든 오기 편한 위치입니다. 오늘은 오래 전 다른 치과에서 신경치료를 하고 치아가 변색된 1개 치아의 크라운을 원하는 환자분의 치료사례를 살펴보도록 하겠습니다. [환자분이 사진공...
게시일
2023년 2월 21일
원문 기준으로 확인된 발행일입니다.
카테고리
치아성형
원문 블로그 카테고리를 정리해 함께 표시합니다.
이미지 수
11
현재 아카이브에 연결된 이미지 수입니다.
아카이브 요약
연세예감치과의원의 네이버 블로그 원문을 보존한 아카이브 페이지입니다. 치아성형 카테고리의 [종로/치과] 심한 변색치아&튀어나온 치아 1개 크라운 케이스 글을 통해 병원의 한국어 정보 제공 방식과 진료 관련 안내 톤을 확인할 수 있습니다.
원문 검증
필요하면 원문 블로그와 병원 프로필로 바로 이동해 문맥을 다시 확인할 수 있습니다.
출처 아카이브 열기안녕하세요
종로구에서 오기 쉬운 치과 연세예감치과입니다.
시청역 7번출구 직진 도보3분 거리에 위치하여
종로,명동,시청,광화문,서울역 어디서든 오기 편한 위치입니다.
오늘은 오래 전 다른 치과에서 신경치료를 하고
치아가 변색된 1개 치아의 크라운을 원하는 환자분의 치료사례를 살펴보도록 하겠습니다.
[환자분이 사진공개에 동의한 케이스입니다.]
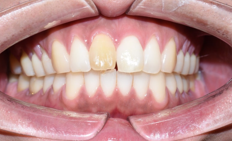
![[종로/치과] 심한 변색치아&튀어나온 치아 1개 크라운 케이스 관련 이미지 1](https://pub-9f2bb3498faf4d1d8714b41df24753e3.r2.dev/content/clinics/archive/rseeanjxfu/naver_blog/yonseiyegam/assets/by_hash/ba8ee5fd15f5c8fee8d4808d5d95bb6099a1a7a0fe174191995224bd72fab2e8.jpg)
위 사진에서 보듯이 앞니 하나가 심하게 변색되어있습니다.
외상을 입었거나(심하게 부딪히는 등) 신경치료를 한 치아의 경우 변색되어 있는 경우를 종종 볼 수 있습니다.
그런분들이 “변색된 이빨 고치고 싶어요” 라며
찾아오십니다
어금니는 신경치료+크라운 세트, 즉 신경치료 후 거의 크라운을 하는 것이 대부분인데
(어금니 신경치료 후 크라운을 하지 않으면 치아가 파절되는 경우가 흔합니다)
이런 앞니는 신경치료 후에 크라운을 하지 않았으므로 어금니 처럼 크라운을 고려해 볼 수 있습니다.
이런 변색치아의 경우 일반 환자분들이 생각하는 일반적인 미백(UV light를 사용하는)이 아니라
실활치 미백이라는 신경이 죽은 치아에 시행하는 미백을 고려할 수도 있지만
효과가 좋은 경우도 있으나 꼭 효과가 좋다고 장담할 수는 없고
영구적이지 않고 다시 색이 돌아오는 경우도 있어서
환자분들이 크라운을 하겠다고 아예 결정하고 오시는 경우가 꽤 있습니다.
위 치아의 경우 이미 신경치료도 한 치아고,
많이 튀어나와있어 미관상으로도 좋지 않으므로
크라운을 한다면 치아를 깎아 배열도 어느정도 맞출 수 있고 색도 지금보다 하얗게 맞출 수 있어서
크라운도 괜찮은 옵션이라고 생각했습니다.
![[종로/치과] 심한 변색치아&튀어나온 치아 1개 크라운 케이스 관련 이미지 2](https://pub-9f2bb3498faf4d1d8714b41df24753e3.r2.dev/content/clinics/archive/rseeanjxfu/naver_blog/yonseiyegam/assets/by_hash/18e6001985dd7fe8ce1275aceccc2f94fb019b435a8124fa5f036d3ef866b6c3.jpg)
위아래 전 후 사진입니다.
크라운제작 소요기간: 일주일
이 환자분의 경우 크라운을 환자분 치아에 맞춰보고
원장님께서 색을 조금 더 하얗게 수정하고 싶어서 수정보내는 것을 말씀드려보았으나
환자분이 괜찮다고 만족한다고 붙여달라고 하시고
심지어 임시로도 안써봐도 될 것 같다고 완전히 붙여달라고 하셔서
한번에 붙이고 가신 케이스입니다.
보통 처음 오셔서 치아를 깎고 본을 뜨고 임시치아를 끼고 가신 후
크라운을 만들어 와서 붙이게 됩니다. (소요기간 일주일)
위 환자분의 경우 미백은 하지 않았습니다.
앞니 하나만 하는 경우에 치아 색이 고르지 않은 경우 옆치아와 색과 밝기을 맞추기가 힘들어
수정을 가는 경우가 종종 있다는 점을 고려하셔야 합니다.
한 치아에서 치아색이 고르지 않고 복잡한 경우에 아무리 사진을 찍어도 사진과 눈으로 보는것, 입안에 끼워놓고 보는 것이 다르므로 환자분이 기공사분 옆에서 긴 시간 색을 올리는 동안 계속 누워있지 않는 한
한 번에 맞추는 것이 힘들 수도 있고, 때에 따라서는 사진만 보고 만들어와도 한번에 잘 맞기도 합니다.
물론 대칭으로 2개,4개씩 하실수록 더 대칭으로 맞추기 쉬워지기 때문에 수정가능성은 줄어들게 됩니다.
그리고 앞니의 경우는 만들어 오는 크라운을 임시로 끼워서 써보는 경우도 많은데
저희 치과의 경우에는 대부분 환자분들이 만족하시는 건지 귀찮은 건지 그냥 붙여달라고 하셨습니다 ^^;;
(보통 기존 본인 치아보다는 나아지니까요)
이 환자분의 경우 크라운을 환자분 치아에 맞춰보고
원장님께서 색을 조금 더 하얗게 수정하고 싶어서 수정보내는 것을 말씀드려보았으나
환자분이 괜찮다고 만족한다고 붙여달라고 하시고
심지어 임시로도 안써봐도 될 것 같다고 완전히 붙여달라고 하셔서
한번에 붙이고 가신 케이스입니다.
치아 튀어 나온 것도 많이 보완해 드려서 앞니 하나만 하셨지만
치아도 많이 고르게 보이고, 나머지 치아 색들도 전체적으로 환해보입니다.
![[종로/치과] 심한 변색치아&튀어나온 치아 1개 크라운 케이스 관련 이미지 3](https://pub-9f2bb3498faf4d1d8714b41df24753e3.r2.dev/content/clinics/archive/rseeanjxfu/naver_blog/yonseiyegam/assets/by_hash/18e6001985dd7fe8ce1275aceccc2f94fb019b435a8124fa5f036d3ef866b6c3.jpg)
환자분이 크라운 색상 수정을 전혀 안 원하셔서 조금 아쉽긴 하지만
환자분이 만족하셔서 한번에 끝낸 케이스였습니다!
앞니 치료 해외에서도 환자들이 찾아오는
시청역 연세예감치과
![[종로/치과] 심한 변색치아&튀어나온 치아 1개 크라운 케이스 관련 이미지 4](https://pub-9f2bb3498faf4d1d8714b41df24753e3.r2.dev/content/clinics/archive/rseeanjxfu/naver_blog/yonseiyegam/assets/by_hash/e6a65df3636299adb3b848758ba1eb144509a95545d63b0836a7c9e51b71d78a.png)
![[종로/치과] 심한 변색치아&튀어나온 치아 1개 크라운 케이스 관련 이미지 5](https://pub-9f2bb3498faf4d1d8714b41df24753e3.r2.dev/content/clinics/archive/rseeanjxfu/naver_blog/yonseiyegam/assets/by_hash/4f9b3b6f0456c7581c78c653b8c6a2592cb61d3bb6f5cdde303cdebb8bb49169.png)
![[종로/치과] 심한 변색치아&튀어나온 치아 1개 크라운 케이스 관련 이미지 6](https://pub-9f2bb3498faf4d1d8714b41df24753e3.r2.dev/content/clinics/archive/rseeanjxfu/naver_blog/yonseiyegam/assets/by_hash/ae2e01b05a6e89808fc49a751fc21b81e1fc88594311994be90917aa7c697844.png)
![[종로/치과] 심한 변색치아&튀어나온 치아 1개 크라운 케이스 관련 이미지 7](https://pub-9f2bb3498faf4d1d8714b41df24753e3.r2.dev/content/clinics/archive/rseeanjxfu/naver_blog/yonseiyegam/assets/by_hash/2d6a3d642e5df8520a7e2a80cf3e87de181fdacdff0f98a47b605c833a44cec3.png)
![[종로/치과] 심한 변색치아&튀어나온 치아 1개 크라운 케이스 관련 이미지 8](https://pub-9f2bb3498faf4d1d8714b41df24753e3.r2.dev/content/clinics/archive/rseeanjxfu/naver_blog/yonseiyegam/assets/by_hash/938024df345140748d7727b369ec85be8485219745e1a11f80efa6fb9000ba64.png)
![[종로/치과] 심한 변색치아&튀어나온 치아 1개 크라운 케이스 관련 이미지 9](https://pub-9f2bb3498faf4d1d8714b41df24753e3.r2.dev/content/clinics/archive/rseeanjxfu/naver_blog/yonseiyegam/assets/by_hash/e879659de166645399432119b662687bc231edb1cabed7717334a9f50dd718e2.png)
![[종로/치과] 심한 변색치아&튀어나온 치아 1개 크라운 케이스 관련 이미지 10](https://pub-9f2bb3498faf4d1d8714b41df24753e3.r2.dev/content/clinics/archive/rseeanjxfu/naver_blog/yonseiyegam/assets/by_hash/e6d36ea6f5411c4a1ba5f6e4215876daffd1d9e4066d9fe23c9a5ee04e698a7b.png)
![[종로/치과] 심한 변색치아&튀어나온 치아 1개 크라운 케이스 관련 이미지 11](https://pub-9f2bb3498faf4d1d8714b41df24753e3.r2.dev/content/clinics/archive/rseeanjxfu/naver_blog/yonseiyegam/assets/by_hash/a149f8c823261633d393116aedda3002075a9685143bf9900b3f0ad0f5105a40.png)
카톡예약과 문의 카카오톡채널 - 연세예감치과(클릭)
또는 카카오톡 ID: yonseiyegam 친구추가 후 문의
네이버예약 네이버 예약 클릭