연세예감치과(시청역)
[서울역/충정로/치과] 화이트스팟+충치가 결합된 치아의 resin레진치료 케이스
안녕하세요 서울의 중심 시청역7번출구 삼성본관빌딩 바로 맞은편에 위치한 연세예감치과입니다! 충정로, 서울역에서도 오기 편한 위치입니다. 오늘은 어떤 분들은 많이 고민하고 속앓이 하시는 앞니 화이트 스팟의 치료에 케이스에 대해 대해 알아보겠습니다. [환자분의 동의를 얻은 사진만 게시합니다] 이 환자분은 한...
아카이브 요약
이 페이지의 역할
연세예감치과(시청역) Yonsei Yegam Dental Clinic ヨンセイェガム歯科의 네이버 블로그 원문을 보존한 아카이브 페이지입니다. 충치치료 카테고리의 [서울역/충정로/치과] 화이트스팟+충치가 결합된 치아의 resin레진치료 케이스 글을 통해 병원의 한국어 정보 제공 방식과 진료 관련 안내 톤을 확인할 수 있습니다.
안녕하세요
서울의 중심 시청역7번출구
삼성본관빌딩 바로 맞은편에 위치한 연세예감치과입니다!
충정로, 서울역에서도 오기 편한 위치입니다.
오늘은 어떤 분들은 많이 고민하고 속앓이 하시는 앞니 화이트 스팟의
치료에 케이스에 대해 대해 알아보겠습니다.
[환자분의 동의를 얻은 사진만 게시합니다]
이 환자분은 한국에 관광온 외국인 환자분이셨는데요
저희 연세예감치과를 방문한 목적은 화이트 스팟의 치료가 아니라 치아미백이었습니다.
저희 시청역 연세예감치과는 치아 미백 전에
부작용을 줄이고 치아미백에 적절한 케이스인지를 확인하기 위해
검진과 상담을 필수적으로 시행하는데요
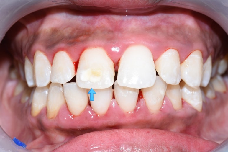
![[서울역/충정로/치과] 화이트스팟+충치가 결합된 치아의 resin레진치료 케이스 관련 이미지 1](https://pub-9f2bb3498faf4d1d8714b41df24753e3.r2.dev/content/clinics/archive/rseeanjxfu/naver_blog/yonseiyegam/assets/by_hash/5de3480d647416b4d77951c847a2d031c4023254aeed309110730565206ab21c.jpg)
검진시 환자분의 대문니에 이렇게 노란게 변해가는 충치와 화이트 스팟이 발견되어
미백 보다도 이것이 개선되어야 치아가 더 깔끔하고 환하게 보일 수 있음을 고지해드렸습니다.
이렇게 화이트 스팟은 일반치아의 표면보다 약한 경우가 많아 다른 부위에 비해 충치로 진행되기가 쉽습니다.
미백제가 이 화이트스팟에 먹는 것이 아니라 미백을 할 경우 치아가 전체적으로 밝아지면서
이런 백색점 화이트 스팟(반점치) 이 일시적으로 오히려 더 두드러져 보일 질 수도 있습니다.
환자분은 외국인관광객이었기 때문에 이 부분의 당일 치료를 원하셨고 전체적인 치아 미백도 간절히 원하셔서
미백 후 화이트스팟과 충치부위는 레진으로 때우는 걸로 결정하였습니다.
환자분이 교정 브라켓을 외국에서 하셨던 상태였는데 교정기를 떼고나서 이런 충치나 화이트스팟처럼 치아표면이 건강하지 못한 부분이 다수 보였지만
위 대문니가 특히 심하여서 레진치료는 위의 대문니 하나만 치료하는 걸로 했습니다.
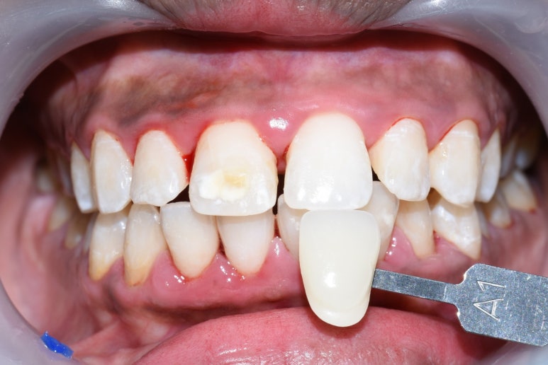
- 치료 전
![[서울역/충정로/치과] 화이트스팟+충치가 결합된 치아의 resin레진치료 케이스 관련 이미지 2](https://pub-9f2bb3498faf4d1d8714b41df24753e3.r2.dev/content/clinics/archive/rseeanjxfu/naver_blog/yonseiyegam/assets/by_hash/e670fd767d0934d5d948bb175b08ab32464461588f80dc325c96e4da79212667.jpg)
치료 전
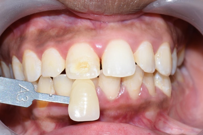
- 스케일링과 미백 치료 후
(스케일링 시 스케일링을 안한지 3~4년 되었고 잇몸이 많이 부어있던 상태라 피가 많이 났습니다
미백을 해도 화이트 스팟이 나머지 치아와 같은 색으로 되지는 않습니다)
![[서울역/충정로/치과] 화이트스팟+충치가 결합된 치아의 resin레진치료 케이스 관련 이미지 3](https://pub-9f2bb3498faf4d1d8714b41df24753e3.r2.dev/content/clinics/archive/rseeanjxfu/naver_blog/yonseiyegam/assets/by_hash/833863b70480a28055827eced86aa35257e7ad7c98309819b31dcfbd23cd1406.jpg)
스케일링과 미백 후. 잇몸이 많이 부어있던 상태라 스케일링 후에 피가 많이 났습니다.
- 앞니 화이트스팟과 충치 레진 치료 전
![[서울역/충정로/치과] 화이트스팟+충치가 결합된 치아의 resin레진치료 케이스 관련 이미지 4](https://pub-9f2bb3498faf4d1d8714b41df24753e3.r2.dev/content/clinics/archive/rseeanjxfu/naver_blog/yonseiyegam/assets/by_hash/b6f3e406bff388898c748f068a01e7d808160675a95fdb9e03e52e0949225168.jpg)
앞니 레진 치료 전
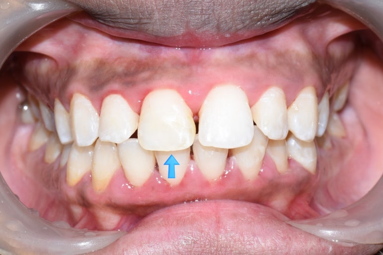
- 앞니 레진 치료 후
![[서울역/충정로/치과] 화이트스팟+충치가 결합된 치아의 resin레진치료 케이스 관련 이미지 5](https://pub-9f2bb3498faf4d1d8714b41df24753e3.r2.dev/content/clinics/archive/rseeanjxfu/naver_blog/yonseiyegam/assets/by_hash/9bef9234b0f056428a381a654a1e0d604fc9f47b13471a5c16097e97ca0738ea.jpg)
앞니 레진 치료 후
이 외국인 환자분께서 항상 입을 가리고 웃었는데 이제 환하게 웃을 수 있다며
한국에 와서 새로 태어난 것 같다고 해주셨습니다!
환자분들 중 화이트스팟( white stain, white spot) 반점치로 고민하는 분들을 굉장히 많이 보게 됩니다.
어금니에 이런 것이 있다면 상관이 없겠지만
앞니에 있으면 본인은 굉장히 스트레스 받고 신경을 많이 쓰는 것을 보게됩니다.
레진 치료를 하면 관리를 잘한다면 반영구적이며
좋은 기술과 재료를 쓴다면 반점치를 자연스럽게 때울 수 있기 때문에
그러한 스트레스를 하루에! 한시간도 안되는 짧은 시간에 사라지게 할 수 있습니다.
또다른 화이트 스팟 치료 케이스 ↓ 클릭
반점치, 반상치, 화이트 스팟 등으로 고민중이라면
혼자서 고민하지 마시고
치과에서 상담 받아보시기 바랍니다.
지금까지 시청역 연세예감치과에서 알려드린
화이트스팟 및 앞니 충치치료 실제 케이스 였습니다.
시술 후 개인에 따라 부작용이 발생할 수 있으며 개인에 따라 정도의 차이가 있을 수 있습니다.
꼭 치료를 시행할 치과의사와의 자세한 상담 후 치료하시기 바랍니다.
전화 02-318-8275
카톡예약과 문의 카카오톡채널 - 연세예감치과(클릭) 또는 카카오톡 ID: yonseiyegam 친구추가 후 문의
네이버예약 네이버 예약 클릭
더 보기
이 병원의 공개 콘텐츠를 계속 살펴보세요
출처 아카이브로 돌아가 더 많은 글을 보거나, 병원 프로필로 이동해 다른 공개 채널도 함께 비교해보세요.