연세예감치과(시청역)
[충정로] 스케일링 흔히 질문하시는 부분에 대한 질문과 답변 Q&A
안녕하세요 시청역 7번출구 삼성본관 맞은편에 위치한 연세예감치과입니다! 충정로,서울역에서도 가까운 위치입니다. 스케일링 Q&A 저희 시청역 연세예감치과 치과위생사 선생님께서 그동안 다년간 스케일링을 하시면서 환자분들이 가장 궁금해하셨던 부분들에 대해 Q&A를 작성해 주셨습니다. 저희 치과는 치과의사면허증이 있는 통...
아카이브 요약
이 페이지의 역할
연세예감치과(시청역) Yonsei Yegam Dental Clinic ヨンセイェガム歯科의 네이버 블로그 원문을 보존한 아카이브 페이지입니다. 스케일링 카테고리의 [충정로] 스케일링 흔히 질문하시는 부분에 대한 질문과 답변 Q&A 글을 통해 병원의 한국어 정보 제공 방식과 진료 관련 안내 톤을 확인할 수 있습니다.
안녕하세요 시청역 7번출구
삼성본관 맞은편에 위치한 연세예감치과입니다!
충정로,서울역에서도 가까운 위치입니다.
스케일링 Q&A
저희 시청역 연세예감치과 치과위생사 선생님께서 그동안 다년간 스케일링을 하시면서
환자분들이 가장 궁금해하셨던 부분들에 대해 Q&A를 작성해 주셨습니다.
저희 치과는
치과의사면허증이 있는 통합치의학과 전문의 원장님,
그리고 그외 모든 직원들은
대학에서 치과위생과를 졸업하여 전문적인 지식을 갖추고 국가고시에 합격하여 치과위생사 면허증이 있는 치과위생사 분들이 직원으로 근무하시므로,
무자격자가 스케일링을 시행할까봐 걱정하지 않으셔도 됩니다.
![[충정로] 스케일링 흔히 질문하시는 부분에 대한 질문과 답변 Q&A 관련 이미지 1](https://pub-9f2bb3498faf4d1d8714b41df24753e3.r2.dev/content/clinics/archive/rseeanjxfu/naver_blog/yonseiyegam/assets/by_hash/b2f0aa80607d6314bfa6b71cefb8e390a2abdbde6e443a22287e5cc88d66f8f5.jpg)
![[충정로] 스케일링 흔히 질문하시는 부분에 대한 질문과 답변 Q&A 관련 이미지 2](https://pub-9f2bb3498faf4d1d8714b41df24753e3.r2.dev/content/clinics/archive/rseeanjxfu/naver_blog/yonseiyegam/assets/by_hash/2a9a3742b4ccf9a8c885cfdc8b2b63d4b137c55959375269c49bdc4e1c68b10d.jpg)
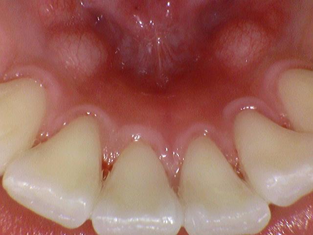
스케일링 전 후
- 스케일링은 치아를 손상시키나요?
치석을 제거하는 과정중 치아에서 무언가 떨어져 나가는 느낌과 시술 후 시린 통증으로 인하여
오해를 하시는 부분이 있으나, 치석이 많으셨던 분들의 경우 치석이
제거 되면서 혀로 느껴지는 치아의 줄어든 부피로 인한 오해이며
치주질환이 심한 환자의 경우 시린통증이 장기간 지속될수있으나, 건강한 잇몸의 경우
짧게는 2-3일 길게는 1주 일이면 회복되는 부분입니다.
2.스케일링 전 왜 파노라마 촬영과 진단을 하나요?
스케일링은 치료이므로 무작정 스케일링을 하는 것이 아니라 스케일링을 시행해도 되는 상태인지 치과의사의 진단 및 확인 후 치과의사의 지시하에 치과위생사가 스케일링을 진행하여야 합니다.
전반적인 치아와 치주상태를 확인하기 위하여, 또 오래된 보철물이나 탈락 가능성이 높은 레진치료의 경우 초음파 진동에 의하여서도 탈락률이 발생할 수 있어, 또 스케일링을 해도 되는 치아인지 사전확인을 위하여 엑스레이 촬영을 합니다.
3.스케일링 이후에 잇몸 치료를 받아야 한다고 하는데 무슨말인가요?
잇몸의 상방에만 침착된 치석의 경우 1회성 치료로 종결이되나
오랫동안 치석이 침착되어 잇몸하방, 치아뿌리 부위까지 침착된 경우
초음파스케일러 이외 수기구를 이용하여 잇몸 속 잔존치석 및 잇몸을 염증등을 제거하는
후속치료가 필요합니다
(치석이 쌓여있는 정도에 따라 잇몸치료 시 추가 마취시술이 동반되기도합니다)
4.병원바다 스케일링 비용이 왜 다른가요?
보험 적용 스케일링 이라면 병원,치과가 각각 자율적으로 가격을 정하는 것이 아니라
국민건강보험 시스템에 따라 정해집니다.
의원급 병원급에 따라 가산율에 의해 차이가 있고(병원급이 더 비쌈)
단순 1회성으로 치료가 끝나느냐 혹은 잇몸상태에 따라
후속치료가 있느냐에 따라, 그리고 나라가 정해놓은 접수시간 및 요일, 공휴일에 따라서도
국민건강보험시스템에 의거하여 비용이 다릅니다.
5.치석제거시 착색부분은 왜 다 제거 해주지않나요?
건강보험 적용기준에 의하면 착색제거는 시술허용범위는 아니오나
침착이 심하지 않은 흡연이나 커피,녹차 음료등으로 인한 착색은
환자분에게 무리가지 않는 선에서 저희는 당일 제거해드리려고 노력합니다.
하나 착색이 너무 심한경우 100%제거 되지않는점도 있어 사전에 설명을 드립니다
![[충정로] 스케일링 흔히 질문하시는 부분에 대한 질문과 답변 Q&A 관련 이미지 3](https://pub-9f2bb3498faf4d1d8714b41df24753e3.r2.dev/content/clinics/archive/rseeanjxfu/naver_blog/yonseiyegam/assets/by_hash/2991082b57d90733604c12babb03bc8251f835720706914d69aeaa53ebd3af2c.jpg)
저희 시청역 연세예감치과는
스케일링에 두려움이 있는 분들을 위하여 말씀해주시면 가글마취 시행 후 스케일링을 진행합니다
네이버예약 가능합니다.
더 보기
이 병원의 공개 콘텐츠를 계속 살펴보세요
출처 아카이브로 돌아가 더 많은 글을 보거나, 병원 프로필로 이동해 다른 공개 채널도 함께 비교해보세요.