연세예감치과(시청역)
[서울역/시청역] 충치 & 화이트 스팟 (반점치) 의 레진치료케이스
안녕하세요 서울의 중심 시청역 7번출구에 위치한 연세예감치과입니다. 삼성본관 맞은편에 위치합니다. 오늘은 많은 분들이 고민하시는 갈색 충치 및 화이트 스팟(반상치)이 있는 치아의 레진치료 케이스에 대해 소개해 드리려합니다. [환자분의 동의를 받은 케이스만 소개합니다.] 다른 치과에서 교정을 하시고 교정브라켓을...
아카이브 요약
이 페이지의 역할
연세예감치과(시청역) Yonsei Yegam Dental Clinic ヨンセイェガム歯科의 네이버 블로그 원문을 보존한 아카이브 페이지입니다. 충치치료 카테고리의 [서울역/시청역] 충치 & 화이트 스팟 (반점치) 의 레진치료케이스 글을 통해 병원의 한국어 정보 제공 방식과 진료 관련 안내 톤을 확인할 수 있습니다.
안녕하세요
서울의 중심 시청역 7번출구에 위치한
연세예감치과입니다.
삼성본관 맞은편에 위치합니다.
오늘은 많은 분들이 고민하시는 갈색 충치 및 화이트 스팟(반상치)이 있는
치아의 레진치료 케이스에 대해 소개해 드리려합니다.
[환자분의 동의를 받은 케이스만 소개합니다.]
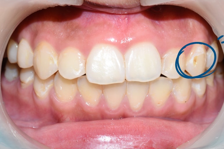
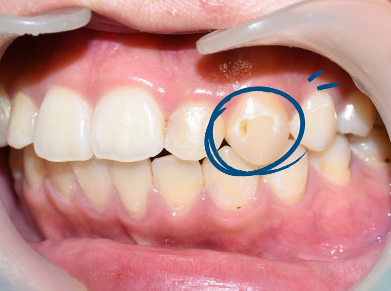
다른 치과에서 교정을 하시고 교정브라켓을 뗀 후에 화이트스팟이 많이 심해졌다고 말씀하시는 환자분이었습니다.
화이트스팟주변에 갈색 충치 또는 패인 충치도 생기기도 하셨는데
송곳니가 유독 눈에 띄어서 송곳니만 치료를 받고 싶어 하셔서
송곳니의 화이트스팟과 갈색충치에 대해서 레진치료를 진행하셨습니다.
![[서울역/시청역] 충치 & 화이트 스팟 (반점치) 의 레진치료케이스 관련 이미지 1](https://pub-9f2bb3498faf4d1d8714b41df24753e3.r2.dev/content/clinics/archive/rseeanjxfu/naver_blog/yonseiyegam/assets/by_hash/2fa0df0696ec0851fa1057caf7e7aca3eb3a8fc62cb8d139ce00560fb3cdfabc.jpg)
![[서울역/시청역] 충치 & 화이트 스팟 (반점치) 의 레진치료케이스 관련 이미지 2](https://pub-9f2bb3498faf4d1d8714b41df24753e3.r2.dev/content/clinics/archive/rseeanjxfu/naver_blog/yonseiyegam/assets/by_hash/1508c3128561470c3f5da18cc22e27341ba9bfb8703565ea7252b86a6113d715.jpg)
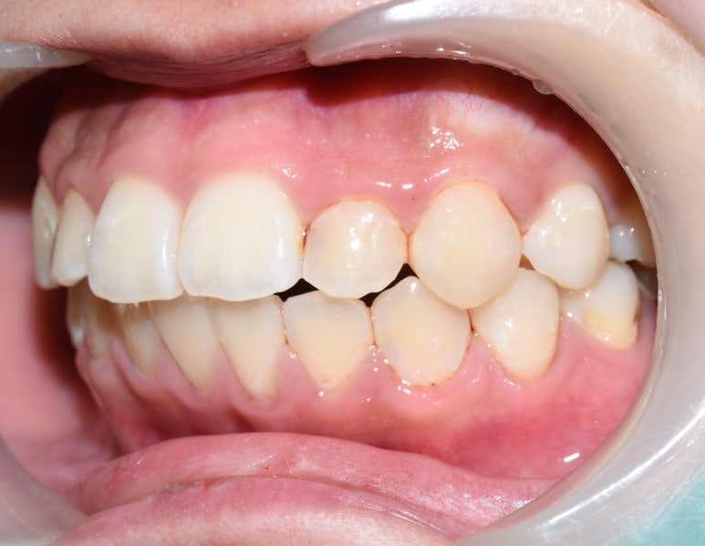
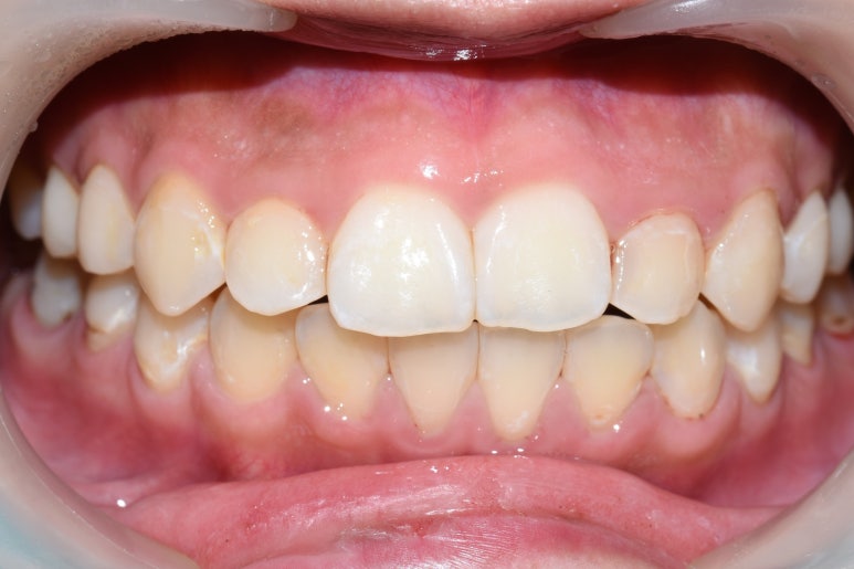
레진 치료 전 후
![[서울역/시청역] 충치 & 화이트 스팟 (반점치) 의 레진치료케이스 관련 이미지 3](https://pub-9f2bb3498faf4d1d8714b41df24753e3.r2.dev/content/clinics/archive/rseeanjxfu/naver_blog/yonseiyegam/assets/by_hash/0aea3829a1638446ae432c9c43431289a5e9467b6a8eeb680f2f7e43d7078be0.jpg)
![[서울역/시청역] 충치 & 화이트 스팟 (반점치) 의 레진치료케이스 관련 이미지 4](https://pub-9f2bb3498faf4d1d8714b41df24753e3.r2.dev/content/clinics/archive/rseeanjxfu/naver_blog/yonseiyegam/assets/by_hash/913c7b56007f04722f2425fca26e2367ae760a2494b2aa01ff7775fef2eb8223.jpg)
레진 치료 전 후
![[서울역/시청역] 충치 & 화이트 스팟 (반점치) 의 레진치료케이스 관련 이미지 5](https://pub-9f2bb3498faf4d1d8714b41df24753e3.r2.dev/content/clinics/archive/rseeanjxfu/naver_blog/yonseiyegam/assets/by_hash/dd9dd0387cc86db0aa0c1b56d45ebb3172d6d9caef1bfc1cd390376c10d032fd.jpg)
![[서울역/시청역] 충치 & 화이트 스팟 (반점치) 의 레진치료케이스 관련 이미지 6](https://pub-9f2bb3498faf4d1d8714b41df24753e3.r2.dev/content/clinics/archive/rseeanjxfu/naver_blog/yonseiyegam/assets/by_hash/5b4ce6e04c8ba16d959142a189f59531f7c7805bf80232b7978f6a1af0374635.jpg)
레진 치료 전 후
저희 연세예감치과에서 시행한
실제 치료 전후 사진입니다.
화이트스팟, 충치 등 레진 치료 가능한지는 각각의 케이스에 따라 다르며
치과의사의 진단 후에 진행 가능합니다.
앞니에 있는 충치나 화이트 스팟으로 고민하지 마시고
치과를 찾아 치과의사선생님의 상담을 받아보세요.
지금까지 서울 시청역 연세예감치과에서 알아본
화이트스팟+충치의 레진치료 케이스였습니다.
![[서울역/시청역] 충치 & 화이트 스팟 (반점치) 의 레진치료케이스 관련 이미지 7](https://pub-9f2bb3498faf4d1d8714b41df24753e3.r2.dev/content/clinics/archive/rseeanjxfu/naver_blog/yonseiyegam/assets/by_hash/4f9b3b6f0456c7581c78c653b8c6a2592cb61d3bb6f5cdde303cdebb8bb49169.png)
![[서울역/시청역] 충치 & 화이트 스팟 (반점치) 의 레진치료케이스 관련 이미지 8](https://pub-9f2bb3498faf4d1d8714b41df24753e3.r2.dev/content/clinics/archive/rseeanjxfu/naver_blog/yonseiyegam/assets/by_hash/ae2e01b05a6e89808fc49a751fc21b81e1fc88594311994be90917aa7c697844.png)
![[서울역/시청역] 충치 & 화이트 스팟 (반점치) 의 레진치료케이스 관련 이미지 9](https://pub-9f2bb3498faf4d1d8714b41df24753e3.r2.dev/content/clinics/archive/rseeanjxfu/naver_blog/yonseiyegam/assets/by_hash/2d6a3d642e5df8520a7e2a80cf3e87de181fdacdff0f98a47b605c833a44cec3.png)
![[서울역/시청역] 충치 & 화이트 스팟 (반점치) 의 레진치료케이스 관련 이미지 10](https://pub-9f2bb3498faf4d1d8714b41df24753e3.r2.dev/content/clinics/archive/rseeanjxfu/naver_blog/yonseiyegam/assets/by_hash/938024df345140748d7727b369ec85be8485219745e1a11f80efa6fb9000ba64.png)
![[서울역/시청역] 충치 & 화이트 스팟 (반점치) 의 레진치료케이스 관련 이미지 11](https://pub-9f2bb3498faf4d1d8714b41df24753e3.r2.dev/content/clinics/archive/rseeanjxfu/naver_blog/yonseiyegam/assets/by_hash/e879659de166645399432119b662687bc231edb1cabed7717334a9f50dd718e2.png)
![[서울역/시청역] 충치 & 화이트 스팟 (반점치) 의 레진치료케이스 관련 이미지 12](https://pub-9f2bb3498faf4d1d8714b41df24753e3.r2.dev/content/clinics/archive/rseeanjxfu/naver_blog/yonseiyegam/assets/by_hash/e6d36ea6f5411c4a1ba5f6e4215876daffd1d9e4066d9fe23c9a5ee04e698a7b.png)
![[서울역/시청역] 충치 & 화이트 스팟 (반점치) 의 레진치료케이스 관련 이미지 13](https://pub-9f2bb3498faf4d1d8714b41df24753e3.r2.dev/content/clinics/archive/rseeanjxfu/naver_blog/yonseiyegam/assets/by_hash/a149f8c823261633d393116aedda3002075a9685143bf9900b3f0ad0f5105a40.png)
더 보기
이 병원의 공개 콘텐츠를 계속 살펴보세요
출처 아카이브로 돌아가 더 많은 글을 보거나, 병원 프로필로 이동해 다른 공개 채널도 함께 비교해보세요.