아카이브 요약
이 페이지의 역할
연세예감치과의원의 네이버 블로그 원문을 보존한 아카이브 페이지입니다. 충치치료 카테고리의 [을지로/명동 근처 치과] 앞니 레진 치료사례 글을 통해 병원의 한국어 정보 제공 방식과 진료 관련 안내 톤을 확인할 수 있습니다.
원문 검증
필요하면 원문 블로그와 병원 프로필로 바로 이동해 문맥을 다시 확인할 수 있습니다.
출처 아카이브 열기아카이브된 블로그 글
연세예감치과의원 · Naver Blog
안녕하세요 서울 시청역 7번출구 삼성본관 맞은편에 위치한 시청역 연세예감치과입니다. 앞니 레진 치료를 진행한 사례를 소개해드리고자 합니다. 물론 레진은 하얀색이긴 하지만, 앞니는 보이는 부위라서 어금니와 다르게 앞니에 레진색이 조금이라도 치아와 다르면 티가 나기 때문에 어금니보다 색깔과 모양 등에 많이 신경을 써야하는...
게시일
2023년 5월 10일
원문 기준으로 확인된 발행일입니다.
카테고리
충치치료
원문 블로그 카테고리를 정리해 함께 표시합니다.
이미지 수
18
현재 아카이브에 연결된 이미지 수입니다.
아카이브 요약
연세예감치과의원의 네이버 블로그 원문을 보존한 아카이브 페이지입니다. 충치치료 카테고리의 [을지로/명동 근처 치과] 앞니 레진 치료사례 글을 통해 병원의 한국어 정보 제공 방식과 진료 관련 안내 톤을 확인할 수 있습니다.
원문 검증
필요하면 원문 블로그와 병원 프로필로 바로 이동해 문맥을 다시 확인할 수 있습니다.
출처 아카이브 열기안녕하세요
서울 시청역 7번출구 삼성본관 맞은편에 위치한
시청역 연세예감치과입니다.
앞니 레진 치료를 진행한 사례를 소개해드리고자 합니다.
물론 레진은 하얀색이긴 하지만,
앞니는 보이는 부위라서
어금니와 다르게 앞니에 레진색이 조금이라도 치아와 다르면 티가 나기 때문에
어금니보다 색깔과 모양 등에 많이 신경을 써야하는 부위이기도 합니다.
그래서 오늘은 앞니 레진케이스에 대해서 소개하고자 합니다.
실제 저희 치과에서 진행한 케이스들로, 환자분의 동의를 받은 케이스만 공개합니다.
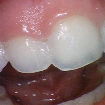
저희 치과에서 다시 레진치료를 받은 케이스입니다.
![[을지로/명동 근처 치과] 앞니 레진 치료사례 관련 이미지 1](https://pub-9f2bb3498faf4d1d8714b41df24753e3.r2.dev/content/clinics/archive/rseeanjxfu/naver_blog/yonseiyegam/assets/by_hash/7561b3582a51ea6e48260df4452b24066c04ddc5a5a8b077599ece32175d0466.jpg)
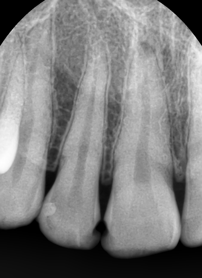
레진 떨어진 부위가 엑스레이상에도 확연히 보입니다.
![[을지로/명동 근처 치과] 앞니 레진 치료사례 관련 이미지 2](https://pub-9f2bb3498faf4d1d8714b41df24753e3.r2.dev/content/clinics/archive/rseeanjxfu/naver_blog/yonseiyegam/assets/by_hash/53f27399006ef9c663d823053cca4e675c5621f1bc854b54bf1e94edfd52c304.jpg)
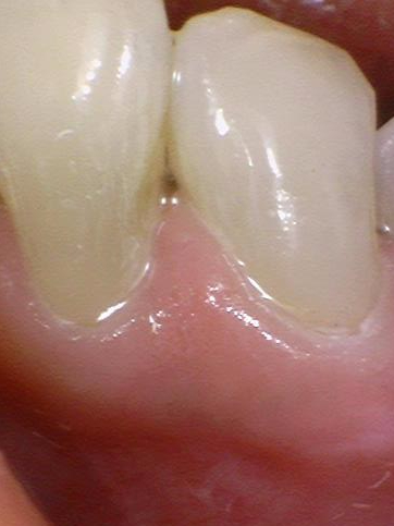
![[을지로/명동 근처 치과] 앞니 레진 치료사례 관련 이미지 3](https://pub-9f2bb3498faf4d1d8714b41df24753e3.r2.dev/content/clinics/archive/rseeanjxfu/naver_blog/yonseiyegam/assets/by_hash/1b87c72e6749b3b7857cd2219bc1f6364e909185d1acadcf3a38cfe55f34c376.jpg)
타치과 3개월된 레진이 떨어져서 치아치료 전과 후
![[을지로/명동 근처 치과] 앞니 레진 치료사례 관련 이미지 4](https://pub-9f2bb3498faf4d1d8714b41df24753e3.r2.dev/content/clinics/archive/rseeanjxfu/naver_blog/yonseiyegam/assets/by_hash/cf7a759c0c1896d5d7cdf7d2e859ea8257b0cc89f7fa55e125680988fd4dfac4.jpg)
![[을지로/명동 근처 치과] 앞니 레진 치료사례 관련 이미지 5](https://pub-9f2bb3498faf4d1d8714b41df24753e3.r2.dev/content/clinics/archive/rseeanjxfu/naver_blog/yonseiyegam/assets/by_hash/466a606210375f45c3bc94bfc83240910467fa983c997ad46648187b0c396fba.jpg)
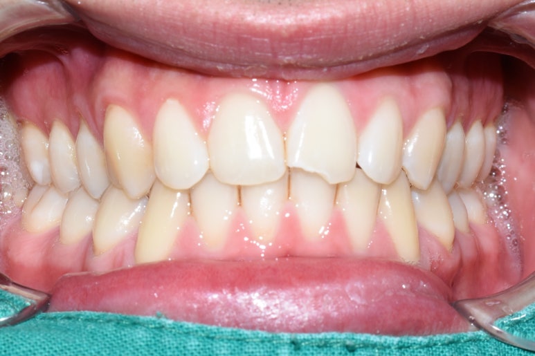
화이트스팟을 앞니에 가지고 계신분들은 보통 컴플렉스로 잘 웃지 못하는 경우가 있습니다.
이런 경우 레진 치료로 자연스럽게 화이트스팟을 없애고 가릴 수 있습니다.
![[을지로/명동 근처 치과] 앞니 레진 치료사례 관련 이미지 6](https://pub-9f2bb3498faf4d1d8714b41df24753e3.r2.dev/content/clinics/archive/rseeanjxfu/naver_blog/yonseiyegam/assets/by_hash/9b7ce6e9cb388c7c5b7018fb32cc495b099ce614cfd94e93e1e03042be5b2298.jpg)
![[을지로/명동 근처 치과] 앞니 레진 치료사례 관련 이미지 7](https://pub-9f2bb3498faf4d1d8714b41df24753e3.r2.dev/content/clinics/archive/rseeanjxfu/naver_blog/yonseiyegam/assets/by_hash/f5800b6e53b99a18a3e0d34129984c10c4c3f2c2459038f16e9eedabe67f4d22.jpg)
(파절된 부위가 큰 경우 크라운을 하는 것이 더 안정적인 예후일 수 있으며
해외 환자의 경우 임시로 레진을 진행하기도 하였습니다.)
![[을지로/명동 근처 치과] 앞니 레진 치료사례 관련 이미지 8](https://pub-9f2bb3498faf4d1d8714b41df24753e3.r2.dev/content/clinics/archive/rseeanjxfu/naver_blog/yonseiyegam/assets/by_hash/c0988c6499b0a5353fff6cd455aa65ddb26dcbe64c646442ec56a6dc3828649e.jpg)
![[을지로/명동 근처 치과] 앞니 레진 치료사례 관련 이미지 9](https://pub-9f2bb3498faf4d1d8714b41df24753e3.r2.dev/content/clinics/archive/rseeanjxfu/naver_blog/yonseiyegam/assets/by_hash/1ef6d1779bc6d4f311ec0f75f1929fec0f6e4d9c97fe6734663f3ceca895fcbf.jpg)
![[을지로/명동 근처 치과] 앞니 레진 치료사례 관련 이미지 10](https://pub-9f2bb3498faf4d1d8714b41df24753e3.r2.dev/content/clinics/archive/rseeanjxfu/naver_blog/yonseiyegam/assets/by_hash/f68fd55602a9743bf860b61338abd6557577d727f5b9b32b4a98957494c9b03a.jpg)
파절 앞니 레진 전후
앞니 벌어진 부위는 부분교정, 무삭제 부분라미네이트, 무삭제 라미네이트, 레진 등
그 공간을 메우는 여러 방법이 있지만
케이스에 맞는 방법을 고르는 것이 중요하므로 원장님과 상담이 필요합니다!
![[을지로/명동 근처 치과] 앞니 레진 치료사례 관련 이미지 11](https://pub-9f2bb3498faf4d1d8714b41df24753e3.r2.dev/content/clinics/archive/rseeanjxfu/naver_blog/yonseiyegam/assets/by_hash/baef1deeb5523e49eb578013f2ebd1b28e48c0f618653de29a1a4c85f09473e6.jpg)
저희 시청역 연세예감치과는 다양한 shade의 레진을 구비하여
앞니레진을 하였을 때 최대한 티가 나지 않게,
또는 자연스럽게 더 밝아지면서도 티가 나지 않게 노력하고 있습니다.
레진치료는 "당일에 끝나는 원데이(one day) 치료"로
해외관광객들도 치아 미용을 위해 연세예감치과에서 레진치료를 많이 진행하고 있습니다.
지금까지 해외에서도 아름답고 건강한 치아를 만들기 위해 찾아오는,
해외 관광객들도 치아미용을 위해 꼭 들렀다 가는
시청역 연세예감치과에서 알려드린 앞니 레진치료 였습니다.
![[을지로/명동 근처 치과] 앞니 레진 치료사례 관련 이미지 12](https://pub-9f2bb3498faf4d1d8714b41df24753e3.r2.dev/content/clinics/archive/rseeanjxfu/naver_blog/yonseiyegam/assets/by_hash/4f9b3b6f0456c7581c78c653b8c6a2592cb61d3bb6f5cdde303cdebb8bb49169.png)
![[을지로/명동 근처 치과] 앞니 레진 치료사례 관련 이미지 13](https://pub-9f2bb3498faf4d1d8714b41df24753e3.r2.dev/content/clinics/archive/rseeanjxfu/naver_blog/yonseiyegam/assets/by_hash/a149f8c823261633d393116aedda3002075a9685143bf9900b3f0ad0f5105a40.png)
![[을지로/명동 근처 치과] 앞니 레진 치료사례 관련 이미지 14](https://pub-9f2bb3498faf4d1d8714b41df24753e3.r2.dev/content/clinics/archive/rseeanjxfu/naver_blog/yonseiyegam/assets/by_hash/ae2e01b05a6e89808fc49a751fc21b81e1fc88594311994be90917aa7c697844.png)
![[을지로/명동 근처 치과] 앞니 레진 치료사례 관련 이미지 15](https://pub-9f2bb3498faf4d1d8714b41df24753e3.r2.dev/content/clinics/archive/rseeanjxfu/naver_blog/yonseiyegam/assets/by_hash/2d6a3d642e5df8520a7e2a80cf3e87de181fdacdff0f98a47b605c833a44cec3.png)
![[을지로/명동 근처 치과] 앞니 레진 치료사례 관련 이미지 16](https://pub-9f2bb3498faf4d1d8714b41df24753e3.r2.dev/content/clinics/archive/rseeanjxfu/naver_blog/yonseiyegam/assets/by_hash/938024df345140748d7727b369ec85be8485219745e1a11f80efa6fb9000ba64.png)
![[을지로/명동 근처 치과] 앞니 레진 치료사례 관련 이미지 17](https://pub-9f2bb3498faf4d1d8714b41df24753e3.r2.dev/content/clinics/archive/rseeanjxfu/naver_blog/yonseiyegam/assets/by_hash/e879659de166645399432119b662687bc231edb1cabed7717334a9f50dd718e2.png)
![[을지로/명동 근처 치과] 앞니 레진 치료사례 관련 이미지 18](https://pub-9f2bb3498faf4d1d8714b41df24753e3.r2.dev/content/clinics/archive/rseeanjxfu/naver_blog/yonseiyegam/assets/by_hash/e6d36ea6f5411c4a1ba5f6e4215876daffd1d9e4066d9fe23c9a5ee04e698a7b.png)