연세예감치과(시청역)
[시청역,서울역/치과] 개개인 맞춤형 치과제작 이갈이 장치로 이를 보호하세요& 비용,가격 정보
안녕하세요 서울 시청역에 위치한 연세예감치과입니다! 서울 어디에서도 오기쉬운 서울 중심, 시청역에 위치하고 있습니다. 서울역에서 지하철 한정거장이며, 삼성본관 맞은편입니다! 이갈이로 인해 이가 갈려있으신 분 많으시죠? 간혹 이런분들이 이가 너무 갈려서 신경이 노출될 것 같다고 오시거나 뾰족했던 송곳니가 이갈이로 평평하...
아카이브 요약
이 페이지의 역할
연세예감치과(시청역) Yonsei Yegam Dental Clinic ヨンセイェガム歯科의 네이버 블로그 원문을 보존한 아카이브 페이지입니다. 보톡스,이갈이장치,턱관절장치 카테고리의 [시청역,서울역/치과] 개개인 맞춤형 치과제작 이갈이 장치로 이를 보호하세요& 비용,가격 정보 글을 통해 병원의 한국어 정보 제공 방식과 진료 관련 안내 톤을 확인할 수 있습니다.
안녕하세요
서울 시청역에 위치한 연세예감치과입니다!
서울 어디에서도 오기쉬운 서울 중심, 시청역에 위치하고 있습니다. 서울역에서 지하철 한정거장이며,
삼성본관 맞은편입니다!
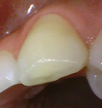
이갈이로 인해 이가 갈려있으신 분 많으시죠?
간혹 이런분들이 이가 너무 갈려서 신경이 노출될 것 같다고 오시거나
![[시청역,서울역/치과] 개개인 맞춤형 치과제작 이갈이 장치로 이를 보호하세요& 비용,가격 정보 관련 이미지 1](https://pub-9f2bb3498faf4d1d8714b41df24753e3.r2.dev/content/clinics/archive/rseeanjxfu/naver_blog/yonseiyegam/assets/by_hash/bf94561a4402a405ae5f1d3f79457d78f3e72e0a974e1fd10c7f47c45f94cbb5.jpg)
뾰족했던 송곳니가 이갈이로 평평하게 갈린 모습
또는 많은 분들이 본인은 잘만 자는데 같이 주무시는 분들이 이갈이 하는 환자분 때문에 너무 시끄러워서 잠을 못잔다고 하십니다 ㅠㅠ
그래서 이런분들이 이갈이 장치를 하게 되시는데요
수면중에 이갈이는 본인의지와 사실 관계가 없어서 뚜렷한 치료방법은 아직도 없지만
이갈이로 인한 문제를 해결하기 위해 이갈이 장치, 또는 보톡스 치료가 가장 대표적인 치료로 시행되고 있습니다.
그래서 오늘은 저희 치과에서 많이 시행하고 있는
이갈이 장치에 대해서 알아보고자 합니다.
![[시청역,서울역/치과] 개개인 맞춤형 치과제작 이갈이 장치로 이를 보호하세요& 비용,가격 정보 관련 이미지 2](https://pub-9f2bb3498faf4d1d8714b41df24753e3.r2.dev/content/clinics/archive/rseeanjxfu/naver_blog/yonseiyegam/assets/by_hash/bd241aacee7e960f01d126fa58b5893cf84444c14e5cd59132fb67e7c66357f2.jpg)
![[시청역,서울역/치과] 개개인 맞춤형 치과제작 이갈이 장치로 이를 보호하세요& 비용,가격 정보 관련 이미지 3](https://pub-9f2bb3498faf4d1d8714b41df24753e3.r2.dev/content/clinics/archive/rseeanjxfu/naver_blog/yonseiyegam/assets/by_hash/7613db1769ccd4d90c681c1471b0e7f2a92546900af7d59ef5bd067283bbe675.jpg)
![[시청역,서울역/치과] 개개인 맞춤형 치과제작 이갈이 장치로 이를 보호하세요& 비용,가격 정보 관련 이미지 4](https://pub-9f2bb3498faf4d1d8714b41df24753e3.r2.dev/content/clinics/archive/rseeanjxfu/naver_blog/yonseiyegam/assets/by_hash/716422bccedae42b7e5a23a0577e4415ab4241889d486ac4083c57e3b6fcf198.jpg)
실제 시청역 연세예감치과 환자들의 개인맞춤형 이갈이 장치
인터넷에서
뜨거운 물로 연화시켜 직접 손쉽게 만들 수 있다며 이갈이 장치를 선전하는 것을 보곤 하는데요
이러한 치의학지식이 없이 직접 만드는 이갈이 장치는 오히려 치아를 손상시킬 수 있고
치아 위아래 교합에 심각한 변화를 줄 수 있으므로
치과계에서는 반대하는 입장입니다.
치과의 이갈이 장치는 절대 대충만들 수 없습니다.
개인의 치아 본을 앞니부터 뒤쪽까지, 심지어 잇몸 쪽까지 정밀하게 인기해서
어금니까지 시야가 확보되지 않는 입안이 아닌
구강 밖에서 치아 모델을 실제와 똑같이 제작하고
또한 교합이 어떤지 교합상태까지 인기합니다.
교합과 여러가지를 고려하여 이갈이 장치를 단단한 재료로 만들게 됩니다.
이갈이 장치를 물렁물렁 휘어지는 재료로 만들면
오히려 이를 더 악물게 되고 이갈이에 좋지 못한 영향을 주는 것으로 연구되고 있습니다.
![[시청역,서울역/치과] 개개인 맞춤형 치과제작 이갈이 장치로 이를 보호하세요& 비용,가격 정보 관련 이미지 5](https://pub-9f2bb3498faf4d1d8714b41df24753e3.r2.dev/content/clinics/archive/rseeanjxfu/naver_blog/yonseiyegam/assets/by_hash/51beab7262f0db49b0c754b277120edf3cee73b719a7203d0a925b7622c3c3ea.jpg)
![[시청역,서울역/치과] 개개인 맞춤형 치과제작 이갈이 장치로 이를 보호하세요& 비용,가격 정보 관련 이미지 6](https://pub-9f2bb3498faf4d1d8714b41df24753e3.r2.dev/content/clinics/archive/rseeanjxfu/naver_blog/yonseiyegam/assets/by_hash/8da77f0290e30e43b263a7066e4cb492f103cf1cb61a7929d1a4b97018599441.jpg)
치과에서 만드는 이갈이 장치는 개인 맞춤형이기 때문에
절대로 다른 사람과 같은 이갈이 장치가 있을 수 없으며
남이 끼던 장치가 맞는 일은 없습니다!
저희 치과의 2024년기준 이갈이 관련 치료비용안내입니다.
교근(사각턱)보톡스 :10만원
측두근 보톡스: 20만원
개인맞춤형 이갈이 장치: 55만원 (제작기간: 일주일~10일정도)
개인맞춤형 턱관절 스플린트 장치: 60만원 (제작기간: 일주일~10일정도)
*이갈이, 턱관절, 이악물기 등의 치료목적시: 치료 전 턱관절 엑스레이 포함 검진이 들어가며
검진에 대한 건강보험료가 추가됩니다.
- 미용 목적시: 10프로의 부가세가 관련법에 의해 부가됩니다.
(보톡스가 들어가는 근육은 같지만 주목적이 치료목적인지 미용목적인지 선택해주셔야합니다)
저희 연세예감치과는 최상의 보톡스 효과를 위해
보톡스 파우더를 미리 믹싱해 보관하지 않고
환자분이 보톡스 치료에 동의하신 후 믹싱합니다.
![[시청역,서울역/치과] 개개인 맞춤형 치과제작 이갈이 장치로 이를 보호하세요& 비용,가격 정보 관련 이미지 7](https://pub-9f2bb3498faf4d1d8714b41df24753e3.r2.dev/content/clinics/archive/rseeanjxfu/naver_blog/yonseiyegam/assets/by_hash/e6a65df3636299adb3b848758ba1eb144509a95545d63b0836a7c9e51b71d78a.png)
![[시청역,서울역/치과] 개개인 맞춤형 치과제작 이갈이 장치로 이를 보호하세요& 비용,가격 정보 관련 이미지 8](https://pub-9f2bb3498faf4d1d8714b41df24753e3.r2.dev/content/clinics/archive/rseeanjxfu/naver_blog/yonseiyegam/assets/by_hash/4f9b3b6f0456c7581c78c653b8c6a2592cb61d3bb6f5cdde303cdebb8bb49169.png)
![[시청역,서울역/치과] 개개인 맞춤형 치과제작 이갈이 장치로 이를 보호하세요& 비용,가격 정보 관련 이미지 9](https://pub-9f2bb3498faf4d1d8714b41df24753e3.r2.dev/content/clinics/archive/rseeanjxfu/naver_blog/yonseiyegam/assets/by_hash/938024df345140748d7727b369ec85be8485219745e1a11f80efa6fb9000ba64.png)
![[시청역,서울역/치과] 개개인 맞춤형 치과제작 이갈이 장치로 이를 보호하세요& 비용,가격 정보 관련 이미지 10](https://pub-9f2bb3498faf4d1d8714b41df24753e3.r2.dev/content/clinics/archive/rseeanjxfu/naver_blog/yonseiyegam/assets/by_hash/ae2e01b05a6e89808fc49a751fc21b81e1fc88594311994be90917aa7c697844.png)
![[시청역,서울역/치과] 개개인 맞춤형 치과제작 이갈이 장치로 이를 보호하세요& 비용,가격 정보 관련 이미지 11](https://pub-9f2bb3498faf4d1d8714b41df24753e3.r2.dev/content/clinics/archive/rseeanjxfu/naver_blog/yonseiyegam/assets/by_hash/a149f8c823261633d393116aedda3002075a9685143bf9900b3f0ad0f5105a40.png)
![[시청역,서울역/치과] 개개인 맞춤형 치과제작 이갈이 장치로 이를 보호하세요& 비용,가격 정보 관련 이미지 12](https://pub-9f2bb3498faf4d1d8714b41df24753e3.r2.dev/content/clinics/archive/rseeanjxfu/naver_blog/yonseiyegam/assets/by_hash/2d6a3d642e5df8520a7e2a80cf3e87de181fdacdff0f98a47b605c833a44cec3.png)
![[시청역,서울역/치과] 개개인 맞춤형 치과제작 이갈이 장치로 이를 보호하세요& 비용,가격 정보 관련 이미지 13](https://pub-9f2bb3498faf4d1d8714b41df24753e3.r2.dev/content/clinics/archive/rseeanjxfu/naver_blog/yonseiyegam/assets/by_hash/e879659de166645399432119b662687bc231edb1cabed7717334a9f50dd718e2.png)
![[시청역,서울역/치과] 개개인 맞춤형 치과제작 이갈이 장치로 이를 보호하세요& 비용,가격 정보 관련 이미지 14](https://pub-9f2bb3498faf4d1d8714b41df24753e3.r2.dev/content/clinics/archive/rseeanjxfu/naver_blog/yonseiyegam/assets/by_hash/e6d36ea6f5411c4a1ba5f6e4215876daffd1d9e4066d9fe23c9a5ee04e698a7b.png)
더 보기
이 병원의 공개 콘텐츠를 계속 살펴보세요
출처 아카이브로 돌아가 더 많은 글을 보거나, 병원 프로필로 이동해 다른 공개 채널도 함께 비교해보세요.