아카이브 요약
이 페이지의 역할
연세예감치과의원의 네이버 블로그 원문을 보존한 아카이브 페이지입니다. 치아성형 카테고리의 [시청역/치과] 화이트스팟, 반점치 앞니 치료 케이스 글을 통해 병원의 한국어 정보 제공 방식과 진료 관련 안내 톤을 확인할 수 있습니다.
원문 검증
필요하면 원문 블로그와 병원 프로필로 바로 이동해 문맥을 다시 확인할 수 있습니다.
출처 아카이브 열기아카이브된 블로그 글
연세예감치과의원 · Naver Blog
안녕하세요 시청역에 위치한 삼성본관 빌딩 바로 맞은편에 위치한 연세예감치과입니다. 오늘은 화이트스팟 레진치료에 대해 알아보아요 화이트 스팟은 검색을 해보니 " Technically called white spot lesions; they are a sign of early decay. White spot lesio...
게시일
2023년 5월 22일
원문 기준으로 확인된 발행일입니다.
카테고리
치아성형
원문 블로그 카테고리를 정리해 함께 표시합니다.
이미지 수
14
현재 아카이브에 연결된 이미지 수입니다.
아카이브 요약
연세예감치과의원의 네이버 블로그 원문을 보존한 아카이브 페이지입니다. 치아성형 카테고리의 [시청역/치과] 화이트스팟, 반점치 앞니 치료 케이스 글을 통해 병원의 한국어 정보 제공 방식과 진료 관련 안내 톤을 확인할 수 있습니다.
원문 검증
필요하면 원문 블로그와 병원 프로필로 바로 이동해 문맥을 다시 확인할 수 있습니다.
출처 아카이브 열기안녕하세요 시청역에 위치한
삼성본관 빌딩 바로 맞은편에 위치한
연세예감치과입니다.
오늘은 화이트스팟 레진치료에 대해 알아보아요
화이트 스팟은 검색을 해보니
" Technically called white spot lesions; they are a sign of early decay. White spot lesions may be due to fluorosis (overexposure of fluoride to the teeth), enamel hypoplasia (thinner development of the enamel on teeth), demineralization of the enamel on the teeth, low calcium diet, and poor oral hygiene. "
라고 합니다.
초기충치의 신호이며, 과도불소로 인해서, 에나멜저형성증, 치아의 에나멜이 다른 치아보다 얇게 발달, 치아의 미네랄 탈회, 칼슘이 적은 식사, 좋지않은 구강습관. 이렇게 번역하면 될까요?
앞니에 보이는 화이트 스팟은 환자분들에게 컴플렉스를 가지게 하고
시원스럽게 웃지 못하도록 합니다.
오늘은 그런 화이트 스팟의 치료케이스를 알아보겠습니다.
[환자분의 동의를 얻은 사진만 게시합니다]
![[시청역/치과] 화이트스팟, 반점치 앞니 치료 케이스 관련 이미지 1](https://pub-9f2bb3498faf4d1d8714b41df24753e3.r2.dev/content/clinics/archive/rseeanjxfu/naver_blog/yonseiyegam/assets/by_hash/b748a7e8f158273a513c4268a060ea31c045380b34711208d66f01dcbe76f125.jpg)
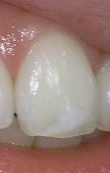
여러개의 화이트스팟을 가지고 있지만 일단 대문이 2개에만 치료를 받고 싶어하는 환자분이었습니다.
실제로는 화이트 스팟이 눈에 잘 띄었지만 사진상으로는 잘 안보이는데요, 다른 사진으로 한번 보겠습니다.
![[시청역/치과] 화이트스팟, 반점치 앞니 치료 케이스 관련 이미지 2](https://pub-9f2bb3498faf4d1d8714b41df24753e3.r2.dev/content/clinics/archive/rseeanjxfu/naver_blog/yonseiyegam/assets/by_hash/d971dbba155c850b50307823a1674226f7d3fe1d6737bb8de5c4883c27a649fd.jpg)
이렇게 본인의 투명해보이는 치아 색상과 다르게
하얀색의 화이트 스팟이 눈에 띌 수 있습니다.
![[시청역/치과] 화이트스팟, 반점치 앞니 치료 케이스 관련 이미지 3](https://pub-9f2bb3498faf4d1d8714b41df24753e3.r2.dev/content/clinics/archive/rseeanjxfu/naver_blog/yonseiyegam/assets/by_hash/b91c0f56d8af081fa04aa526040383bbaeb6d21491067c4c50b69800fe92d84e.jpg)
전(위) 후(아래) 치료 사진입니다.
레진치료로 감쪽 같이 화이트 스팟을 가렸습니다.
한시간도 안되어서 평생의 컴플렉스를 없앨 수 있습니다.
앞니는 어금니와 다르게 심미적인 부분을 매우매우 고려해야하는데요
색상도 매우 고려야합니다. 자칫하다가는 티가 날 수 있으니까요.
저희 연세예감치과는 다양한 색상, 쉐이드 의 레진을 구비하여
환자분의 기존 치아 색상과 잘 어울어지면서도 더 깔끔하게 보일 수 있는 레진치료를 하기 위해 노력하고 있습니다.
아래의 또 다른 화이트 스팟의 레진치료 케이스들도 같이 참고해주세요!
![[시청역/치과] 화이트스팟, 반점치 앞니 치료 케이스 관련 이미지 4](https://pub-9f2bb3498faf4d1d8714b41df24753e3.r2.dev/content/clinics/archive/rseeanjxfu/naver_blog/yonseiyegam/assets/by_hash/9b7ce6e9cb388c7c5b7018fb32cc495b099ce614cfd94e93e1e03042be5b2298.jpg)
![[시청역/치과] 화이트스팟, 반점치 앞니 치료 케이스 관련 이미지 5](https://pub-9f2bb3498faf4d1d8714b41df24753e3.r2.dev/content/clinics/archive/rseeanjxfu/naver_blog/yonseiyegam/assets/by_hash/f5800b6e53b99a18a3e0d34129984c10c4c3f2c2459038f16e9eedabe67f4d22.jpg)
![[시청역/치과] 화이트스팟, 반점치 앞니 치료 케이스 관련 이미지 6](https://pub-9f2bb3498faf4d1d8714b41df24753e3.r2.dev/content/clinics/archive/rseeanjxfu/naver_blog/yonseiyegam/assets/by_hash/9588a9815e38c0bbbe05b698ee8c3d0881cf984b00017946a233fa5eb5b6b389.jpg)
![[시청역/치과] 화이트스팟, 반점치 앞니 치료 케이스 관련 이미지 7](https://pub-9f2bb3498faf4d1d8714b41df24753e3.r2.dev/content/clinics/archive/rseeanjxfu/naver_blog/yonseiyegam/assets/by_hash/1686d7ccc8207dc98de730b0f64ab42a3748e372642cffeca869aeba0b083f32.jpg)
지금까지 많은 분들이 컴플렉스로 여기시는
화이트스팟의 레진치료 사례에 대해 알아보았습니다.
치료 전 레진으로 화이트 스팟 치료가 가능한지 x-ray등과 치과의사의 진단이 필수입니다.
해외에서도 건강하고 아름다운 치아를 만들기 위해 찾아오는 연세예감치과였습니다!
![[시청역/치과] 화이트스팟, 반점치 앞니 치료 케이스 관련 이미지 8](https://pub-9f2bb3498faf4d1d8714b41df24753e3.r2.dev/content/clinics/archive/rseeanjxfu/naver_blog/yonseiyegam/assets/by_hash/e6a65df3636299adb3b848758ba1eb144509a95545d63b0836a7c9e51b71d78a.png)
![[시청역/치과] 화이트스팟, 반점치 앞니 치료 케이스 관련 이미지 9](https://pub-9f2bb3498faf4d1d8714b41df24753e3.r2.dev/content/clinics/archive/rseeanjxfu/naver_blog/yonseiyegam/assets/by_hash/4f9b3b6f0456c7581c78c653b8c6a2592cb61d3bb6f5cdde303cdebb8bb49169.png)
![[시청역/치과] 화이트스팟, 반점치 앞니 치료 케이스 관련 이미지 10](https://pub-9f2bb3498faf4d1d8714b41df24753e3.r2.dev/content/clinics/archive/rseeanjxfu/naver_blog/yonseiyegam/assets/by_hash/a149f8c823261633d393116aedda3002075a9685143bf9900b3f0ad0f5105a40.png)
![[시청역/치과] 화이트스팟, 반점치 앞니 치료 케이스 관련 이미지 11](https://pub-9f2bb3498faf4d1d8714b41df24753e3.r2.dev/content/clinics/archive/rseeanjxfu/naver_blog/yonseiyegam/assets/by_hash/ae2e01b05a6e89808fc49a751fc21b81e1fc88594311994be90917aa7c697844.png)
![[시청역/치과] 화이트스팟, 반점치 앞니 치료 케이스 관련 이미지 12](https://pub-9f2bb3498faf4d1d8714b41df24753e3.r2.dev/content/clinics/archive/rseeanjxfu/naver_blog/yonseiyegam/assets/by_hash/2d6a3d642e5df8520a7e2a80cf3e87de181fdacdff0f98a47b605c833a44cec3.png)
![[시청역/치과] 화이트스팟, 반점치 앞니 치료 케이스 관련 이미지 13](https://pub-9f2bb3498faf4d1d8714b41df24753e3.r2.dev/content/clinics/archive/rseeanjxfu/naver_blog/yonseiyegam/assets/by_hash/e879659de166645399432119b662687bc231edb1cabed7717334a9f50dd718e2.png)
![[시청역/치과] 화이트스팟, 반점치 앞니 치료 케이스 관련 이미지 14](https://pub-9f2bb3498faf4d1d8714b41df24753e3.r2.dev/content/clinics/archive/rseeanjxfu/naver_blog/yonseiyegam/assets/by_hash/e6d36ea6f5411c4a1ba5f6e4215876daffd1d9e4066d9fe23c9a5ee04e698a7b.png)
임플란트 수술 하는 동안에는 다른 진료를 할 수 없으니
내원전 미리 예약부탁드립니다.
전화 02-318-8275
카톡예약과 문의 카카오톡채널 - 연세예감치과(클릭) 또는 카카오톡 ID: yonseiyegam 친구추가 후 문의
네이버예약 네이버 예약 클릭