아카이브 요약
이 페이지의 역할
연세예감치과의원의 네이버 블로그 원문을 보존한 아카이브 페이지입니다. 교정치료 카테고리의 명동 가까운 치과 /외국인 흑인분의 매우 벌어진 앞니 치료 (빠른 부분교정(3개월)+라미네이트)/가격안내 글을 통해 병원의 한국어 정보 제공 방식과 진료 관련 안내 톤을 확인할 수 있습니다.
원문 검증
필요하면 원문 블로그와 병원 프로필로 바로 이동해 문맥을 다시 확인할 수 있습니다.
출처 아카이브 열기아카이브된 블로그 글
연세예감치과의원 · Naver Blog
안녕하세요 서울 시청역 7번출구 삼성본관 맞은편에 위치한 연세예감치과입니다. 명동롯데백화점(본점)이나 신세계본점에서도 10분안에 걸어올 수 있는 거리에 위치해 있습니다! 앞니가 매우 벌어져 있어서 고민인 분들 많으신가요? 앞니가 많이 벌어져 있는 경우에 그 사이를 레진으로 공간 채우기 그 사이부분만 부분 라미네이트로...
게시일
2023년 5월 31일
원문 기준으로 확인된 발행일입니다.
카테고리
교정치료
원문 블로그 카테고리를 정리해 함께 표시합니다.
이미지 수
15
현재 아카이브에 연결된 이미지 수입니다.
아카이브 요약
연세예감치과의원의 네이버 블로그 원문을 보존한 아카이브 페이지입니다. 교정치료 카테고리의 명동 가까운 치과 /외국인 흑인분의 매우 벌어진 앞니 치료 (빠른 부분교정(3개월)+라미네이트)/가격안내 글을 통해 병원의 한국어 정보 제공 방식과 진료 관련 안내 톤을 확인할 수 있습니다.
원문 검증
필요하면 원문 블로그와 병원 프로필로 바로 이동해 문맥을 다시 확인할 수 있습니다.
출처 아카이브 열기안녕하세요 서울 시청역 7번출구
삼성본관 맞은편에 위치한 연세예감치과입니다.
명동롯데백화점(본점)이나 신세계본점에서도 10분안에 걸어올 수 있는 거리에 위치해 있습니다!
앞니가 매우 벌어져 있어서 고민인 분들 많으신가요?
앞니가 많이 벌어져 있는 경우에
그 사이를 레진으로 공간 채우기
그 사이부분만 부분 라미네이트로 공간 채우기
치아면을 덮는 라미네이트로 공간 채우기
등의 치료 방법이 있습니다.
오늘은 외국인 흑인,20대, 여자분의 매우 벌어진 앞니 치료 (빠른 부분교정+라미네이트)케이스를 소개해 드리고자 합니다.
환자분이 사진공개에 동의하신 케이스만 포스팅합니다.
환자분은 한국에 거주하시는 외국인 영어선생님이셨는데요
앞니, 특히 대문이가 벌어져 있는 것이 너무 고민되어 오신 상태였습니다.



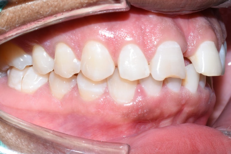
치료전 사진
이 외국인 환자분은 라미네이트를 생각하고 오셨는데요
워낙 앞니 사이 공간이 크고 치아가 뻐드러져 있어서
그냥 바로 라미네이트 치료를 하는 경우에 치아 사이 공간을 메우는 라미네이트가 너무 커져서
앞니 2개만 굉장히 커져 보일 수 있기 때문에
부분 교정을 하고, 라미네이트 4개를 하는 것으로 치료계획을 상담하였습니다.
부분교정을 해도 치아 모양은 변하지 않기 때문에 환자분이 깨진 앞니 치아를 더 예쁘게 만들고 싶어하셔서
라미네이트를 원하셨습니다.

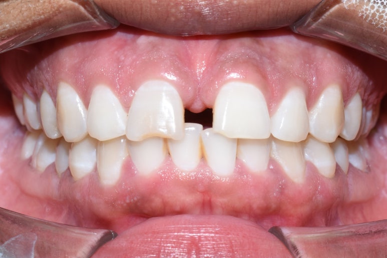
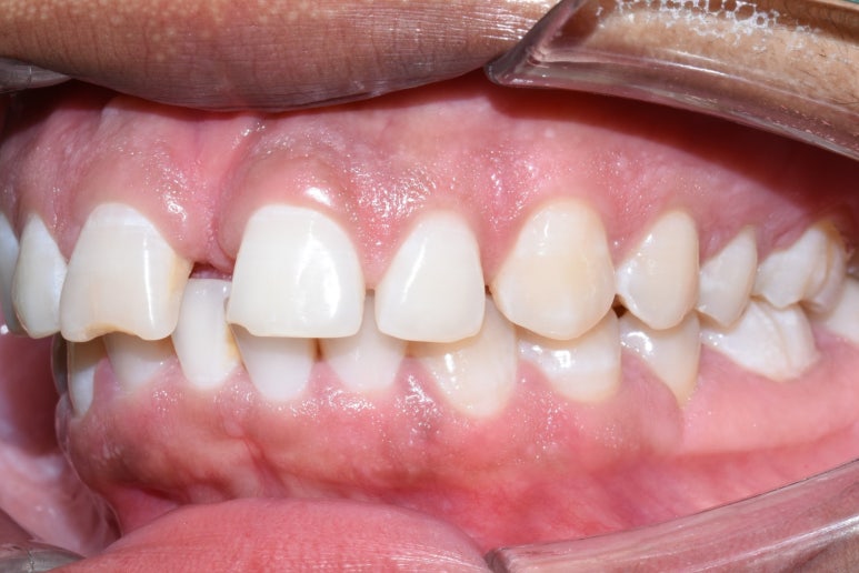
곧바로 전 후 사진을 보여드릴게요.
위 사진과 같이 화살표 위아래로 전후 모습이 변화하였습니다.
교정은 환자분이 토요일만 오실 수 있어서 날짜에 제약이 있었음에도 불구하고
1월에 시작하여 4월초에 끝났으므로 3개월 반 정도 걸렸고
라미네이트는 본 뜬 후 10일 정도 후에 붙였습니다. 치아 삭제는 거의 하지 않았으며 사진상 원래 치아가 깨진 부분만 다듬고 라미네이트를 하였습니다.
일반적으로 벌어진 앞니 치료는 앞에서 말씀드린 레진,라미네이트,부분교정 등의 방법이 많이 쓰이고
치료하는 김에 치아 자체를 이쁘게 하고 색도 하얗게 하고 싶으신 분들이 많아서
요즘은 라미네이트 치료로 하시는 경우가 많습니다.
간혹 라미네이트가 치아를 너무 많이 삭제한다고 잘못 아시는 분들도 계시는데
많은 분들이 충치때문에 하나씩은 가지고 계신 크라운은 치아머리를 전체적으로 삭제하기 때문에 크라운 보다 앞면만 살짝 삭제하는 라미네이트가 삭제량이 훨씬 적으며
저희 치과에서는 무삭제 또는 튀어나온 부분만 최소삭제하는 라미네이트를 많이 시행하고 있습니다.


치료 전 후
치료 전 후 얼마나 고르면서 치아 겉면 색도 하얗게 되었는지 비교가 되시죠?
이 환자분이 한국에 거주하시는 본인 나라 친구들을 엄청 소개 많이 시켜주셨어요.
친구분께서 "(환자분성함) 치아 보고 나도 치아를 고치려고 왔다, 그녀의 치아가 너무 아름다워졌다"라며 영어로 얘기 하셨답니다. :)
궁금하신 부분교정비용과 라미네이트 비용 알려드립니다.
2023년 시청역 연세예감치과 부분교정 이벤트 가격
(2023년12월31일까지 교정시작자에 한하여,
위와 같은 구강 사진 공개자에 한해 적용됩니다!)
*보이게 붙이는 장치 : 139만원 + 월비 5만원 (각 악당 : 위아래 각각)
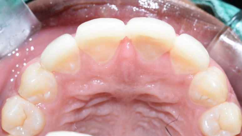
*보이지 않게 위 사진처럼 치아뒷면(혀쪽부위)에 붙이는 설측장치:
하악:159만원 + 월비 5만원
상악:179만원+월비5만원
상악,하악 중 하나만도 가능
위 비용은 고정형유지장치 비용 포함입니다.
2023년 기준 서울 시청역 연세예감치과 라미네이트 가격:
치아 개당 50만원
2개이상 진행시 개당 48만원
4개이상 진행시 개당 45만원
라미네이트와 치아미백은 미용목적으로
법적인 부가세 10프로를 받도록 되어있습니다.
(1. 본 라미네이트 가격은 2개이상 부터 구강과 입주변 전후(위와 같은) 사진공개조건 가격입니다
2.사진공개를 원하지 않으시면, 개당 50만원에 진행가능합니다)
라미네이트 원하는 치아에 충치가 있는 경우
충치제거나 충치치료 후 라미네이트를 해야 할 수 있습니다.
2개이상은 8~10일 정도 입니다.)
위의 케이스 환자분이 감사하게도 사진까지 첨부하여 자발적으로 리뷰 써주셨어요

연세예감 급속교정+라미네이트
정말 감사합니다!!
해외에서도 외국인들이 찾아오는,
외국인도 아름답고 건강한 치아를 위해 해외각국에서 찾아오는 시청역 연세예감치과







위 지도 클릭 후 네이버 예약 가능합니다
연세예감치과 카카오톡플러스채널상담 및 예약문의(클릭)
네이버톡톡 상담 가능 및 예약문의 (클릭)
