연세예감치과(시청역)
앞니충치가 너무 심해요 앞니 충치치료 방법 [시청역서울역 치과]
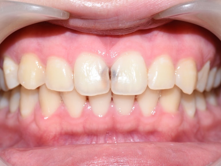
안녕하세요 서울 시청역 7번출구에 위치한 연세예감치과입니다! 많은 기업들이 위치한 시청역의 삼성본관빌딩 바로 맞은편에 위치합니다. 오늘은 저희 치과에서 치료한 앞니 사이 충치치료 레진 케이스를 살펴보고자 합니다. [환자분의 동의를 받은 사진만 게시합니다] 앞니사이 충치치료 레진치료 충치 3군데 입천장쪽에서 보면 충치...
아카이브 요약
이 페이지의 역할
연세예감치과(시청역) Yonsei Yegam Dental Clinic ヨンセイェガム歯科의 네이버 블로그 원문을 보존한 아카이브 페이지입니다. 충치치료 카테고리의 앞니충치가 너무 심해요 앞니 충치치료 방법 [시청역서울역 치과] 글을 통해 병원의 한국어 정보 제공 방식과 진료 관련 안내 톤을 확인할 수 있습니다.
안녕하세요
서울 시청역 7번출구에 위치한 연세예감치과입니다!
많은 기업들이 위치한 시청역의 삼성본관빌딩 바로 맞은편에 위치합니다.
![앞니충치가 너무 심해요 앞니 충치치료 방법 [시청역서울역 치과] 관련 이미지 1](https://pub-9f2bb3498faf4d1d8714b41df24753e3.r2.dev/content/clinics/archive/rseeanjxfu/naver_blog/yonseiyegam/assets/by_hash/1f2ae5d8c0b08566b1043af915b6d4c38646ae0dac499bc211a0740b1c47bdb0.png)
오늘은 저희 치과에서 치료한
앞니 사이 충치치료 레진 케이스를 살펴보고자 합니다.
[환자분의 동의를 받은 사진만 게시합니다]
![앞니충치가 너무 심해요 앞니 충치치료 방법 [시청역서울역 치과] 관련 이미지 2](https://pub-9f2bb3498faf4d1d8714b41df24753e3.r2.dev/content/clinics/archive/rseeanjxfu/naver_blog/yonseiyegam/assets/by_hash/e7b58e4f4fa16a1c6fba437976443fe67e08f27382a5aa2735279f948979e5b6.jpg)
앞니사이 충치치료 레진치료
![앞니충치가 너무 심해요 앞니 충치치료 방법 [시청역서울역 치과] 관련 이미지 3](https://pub-9f2bb3498faf4d1d8714b41df24753e3.r2.dev/content/clinics/archive/rseeanjxfu/naver_blog/yonseiyegam/assets/by_hash/f8731ca522ca67a41f6df2fe811a7557f4513c1c12d4d8b06c6d7c947679c6db.jpg)
![앞니충치가 너무 심해요 앞니 충치치료 방법 [시청역서울역 치과] 관련 이미지 4](https://pub-9f2bb3498faf4d1d8714b41df24753e3.r2.dev/content/clinics/archive/rseeanjxfu/naver_blog/yonseiyegam/assets/by_hash/b27dc47a8df9e709258dcfbb05fef5f1c1647d428fd5fe53b3b9d1983d10947d.jpg)
충치 3군데
입천장쪽에서 보면 충치 세 군데가 보입니다.
화살표 세 개중 맨 왼쪽 화살표가 가리키는 쪽은 충치가 명확하게 보이지 않지만
아주좋은 [!] 전문가의 눈으로 보면 충치가 비쳐보인다는 것을 알 수 있습니다.(대칭되는 반대쪽과 비교)
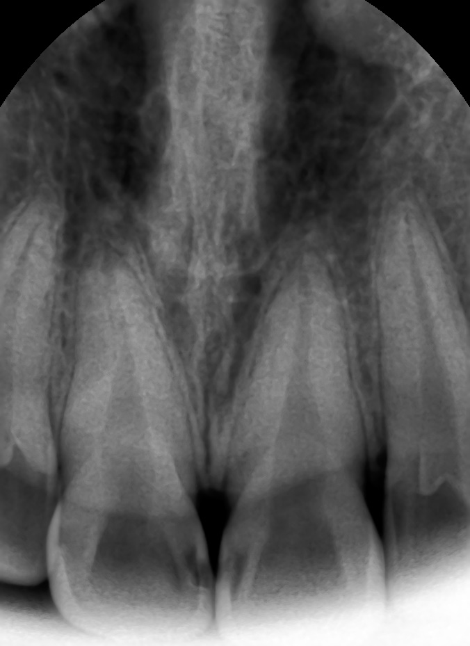
왼쪽 화살표 충치는 엑스레이로 다시 한번 명확하게 확인 하였습니다.
![앞니충치가 너무 심해요 앞니 충치치료 방법 [시청역서울역 치과] 관련 이미지 5](https://pub-9f2bb3498faf4d1d8714b41df24753e3.r2.dev/content/clinics/archive/rseeanjxfu/naver_blog/yonseiyegam/assets/by_hash/41e16082b5fc62624cbd7e8223aa20a9ac89ea28e68aebc00b063267fd975300.jpg)
![앞니충치가 너무 심해요 앞니 충치치료 방법 [시청역서울역 치과] 관련 이미지 6](https://pub-9f2bb3498faf4d1d8714b41df24753e3.r2.dev/content/clinics/archive/rseeanjxfu/naver_blog/yonseiyegam/assets/by_hash/1f4420862982ae8d38faad95b73083625eda49b3d76998edf637a19f7f858c77.jpg)
충치제거 중간 사진 (입천장쪽에서 찍은 사진)
환자분들은 치아를 보여드려도, 엑스레이를 봐도,
잘 구분이 안간다고 하실 수도 있지만
경험이 많은 치과의사의 눈과 엑스레이로 더블체크한 곳은
위의 사진처럼 그 부분을 파보면 분명 충치가 있습니다!
![앞니충치가 너무 심해요 앞니 충치치료 방법 [시청역서울역 치과] 관련 이미지 7](https://pub-9f2bb3498faf4d1d8714b41df24753e3.r2.dev/content/clinics/archive/rseeanjxfu/naver_blog/yonseiyegam/assets/by_hash/f9d4152c2fbcdc5c3fb62617d6287956db838c2c21c9c6bc11b55e8d74eebfea.jpg)
충치제거 중간에 찍은 사진
![앞니충치가 너무 심해요 앞니 충치치료 방법 [시청역서울역 치과] 관련 이미지 8](https://pub-9f2bb3498faf4d1d8714b41df24753e3.r2.dev/content/clinics/archive/rseeanjxfu/naver_blog/yonseiyegam/assets/by_hash/e9808cd5460b89d7acb5075789c8d51ec8c9c3f62ea3c431dbc7e7fb85f228df.jpg)
충치제거 후 레진한 치아와, 충치제거 중인 치아
충치제거 후 레진한 치아와, 충치제거 중인 치아의 사진입니다.
충치 제거 후에 레진 충전한 치아는 감쪽 같죠?
어금니는 잘 보이지 않아서 색이 아주 많이 중요하지 않지만
앞니 레진을 위해서는 다양한 색과 쉐이드의 레진이 필요합니다.
![앞니충치가 너무 심해요 앞니 충치치료 방법 [시청역서울역 치과] 관련 이미지 9](https://pub-9f2bb3498faf4d1d8714b41df24753e3.r2.dev/content/clinics/archive/rseeanjxfu/naver_blog/yonseiyegam/assets/by_hash/3aafdfef2db9fe949c79d2a240dc461bbf3c4b5ca6e51636d1d6fddc14e905df.jpg)
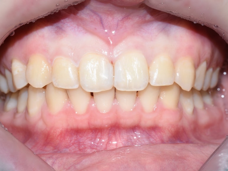
앞니 2개 치아의 3부분 레진 후 모습입니다.
감쪽 같죠?
![앞니충치가 너무 심해요 앞니 충치치료 방법 [시청역서울역 치과] 관련 이미지 10](https://pub-9f2bb3498faf4d1d8714b41df24753e3.r2.dev/content/clinics/archive/rseeanjxfu/naver_blog/yonseiyegam/assets/by_hash/e7b58e4f4fa16a1c6fba437976443fe67e08f27382a5aa2735279f948979e5b6.jpg)
지금까지 시청역 연세예감치과에서 알아본
앞니 사이 충치치료를 위한 레진 전 - 중 - 후 모습이었습니다.
연세예감치과 다양한 레진 유형▼ 클릭
시청역 연세예감치과는
아름답고 건강한 치아를 만들기 위해
해외환자들도 찾아오는 치과입니다.
![앞니충치가 너무 심해요 앞니 충치치료 방법 [시청역서울역 치과] 관련 이미지 11](https://pub-9f2bb3498faf4d1d8714b41df24753e3.r2.dev/content/clinics/archive/rseeanjxfu/naver_blog/yonseiyegam/assets/by_hash/2120b58c3ef1c12a2d1e4a5d9e1d9355c3daefac40139e62436cbbe847952c87.jpg)
![앞니충치가 너무 심해요 앞니 충치치료 방법 [시청역서울역 치과] 관련 이미지 12](https://pub-9f2bb3498faf4d1d8714b41df24753e3.r2.dev/content/clinics/archive/rseeanjxfu/naver_blog/yonseiyegam/assets/by_hash/cf31d833ae167947b97eec34622b2ed5ebef2b60d7dab4949a18532ce9a67411.png)
![앞니충치가 너무 심해요 앞니 충치치료 방법 [시청역서울역 치과] 관련 이미지 13](https://pub-9f2bb3498faf4d1d8714b41df24753e3.r2.dev/content/clinics/archive/rseeanjxfu/naver_blog/yonseiyegam/assets/by_hash/a149f8c823261633d393116aedda3002075a9685143bf9900b3f0ad0f5105a40.png)
![앞니충치가 너무 심해요 앞니 충치치료 방법 [시청역서울역 치과] 관련 이미지 14](https://pub-9f2bb3498faf4d1d8714b41df24753e3.r2.dev/content/clinics/archive/rseeanjxfu/naver_blog/yonseiyegam/assets/by_hash/e6d36ea6f5411c4a1ba5f6e4215876daffd1d9e4066d9fe23c9a5ee04e698a7b.png)
![앞니충치가 너무 심해요 앞니 충치치료 방법 [시청역서울역 치과] 관련 이미지 15](https://pub-9f2bb3498faf4d1d8714b41df24753e3.r2.dev/content/clinics/archive/rseeanjxfu/naver_blog/yonseiyegam/assets/by_hash/e879659de166645399432119b662687bc231edb1cabed7717334a9f50dd718e2.png)
![앞니충치가 너무 심해요 앞니 충치치료 방법 [시청역서울역 치과] 관련 이미지 16](https://pub-9f2bb3498faf4d1d8714b41df24753e3.r2.dev/content/clinics/archive/rseeanjxfu/naver_blog/yonseiyegam/assets/by_hash/ae2e01b05a6e89808fc49a751fc21b81e1fc88594311994be90917aa7c697844.png)
![앞니충치가 너무 심해요 앞니 충치치료 방법 [시청역서울역 치과] 관련 이미지 17](https://pub-9f2bb3498faf4d1d8714b41df24753e3.r2.dev/content/clinics/archive/rseeanjxfu/naver_blog/yonseiyegam/assets/by_hash/2d6a3d642e5df8520a7e2a80cf3e87de181fdacdff0f98a47b605c833a44cec3.png)
![앞니충치가 너무 심해요 앞니 충치치료 방법 [시청역서울역 치과] 관련 이미지 18](https://pub-9f2bb3498faf4d1d8714b41df24753e3.r2.dev/content/clinics/archive/rseeanjxfu/naver_blog/yonseiyegam/assets/by_hash/938024df345140748d7727b369ec85be8485219745e1a11f80efa6fb9000ba64.png)
더 보기
이 병원의 공개 콘텐츠를 계속 살펴보세요
출처 아카이브로 돌아가 더 많은 글을 보거나, 병원 프로필로 이동해 다른 공개 채널도 함께 비교해보세요.