연세예감치과(시청역)
앞니 사이 벌어진 부위 레진치료의 방법
안녕하세요 서울 시청역 7번출구에서 도보 3분(233m) 삼성본관 맞은편에 위치한 시청역 연세예감치과입니다. 오늘은 저희 치과에서 앞니 사이 벌어진 부위를 레진으로 때운 케이스에 대해 알아보겠습니다. 바로 전후 사진부터 볼까요? [환자분의 동의를 얻은 사진만 게시합니다] 치아사이 벌어진 부분 레진치료 하루만에 이...
아카이브 요약
이 페이지의 역할
연세예감치과(시청역) Yonsei Yegam Dental Clinic ヨンセイェガム歯科의 네이버 블로그 원문을 보존한 아카이브 페이지입니다. 치아성형 카테고리의 앞니 사이 벌어진 부위 레진치료의 방법 글을 통해 병원의 한국어 정보 제공 방식과 진료 관련 안내 톤을 확인할 수 있습니다.
안녕하세요
서울 시청역 7번출구에서 도보 3분(233m)
삼성본관 맞은편에 위치한 시청역 연세예감치과입니다.
오늘은 저희 치과에서 앞니 사이 벌어진 부위를 레진으로 때운
케이스에 대해 알아보겠습니다.
바로 전후 사진부터 볼까요?
[환자분의 동의를 얻은 사진만 게시합니다]

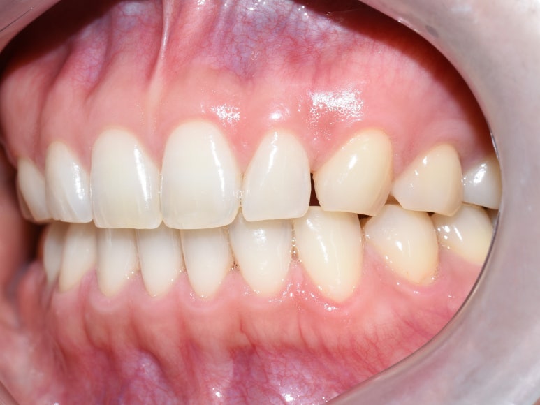
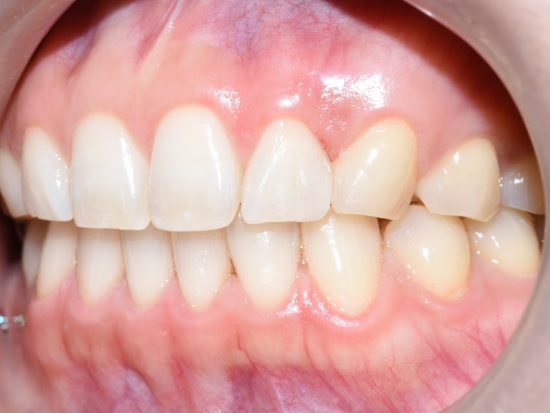
치아사이 벌어진 부분 레진치료
하루만에 이렇게 치료하였는데요,
치아 사이가 벌어져 있으면 까맣게 보이기 때문에
컴플렉스를 가지고 고민을 하기가 쉬운 것 같습니다.


치아 빈 곳 레진 치료 전후
위 환자분도 다른 치과에서 오래전에 이미 교정을 했지만
앞니 사이에 공간이 있어 까맣게 보이는 것을 해결하고 싶어했습니다.


이렇게 레진으로 빠른 시간안에 간단히 해결했으니 환자분의 만족감은 상상이 가시죠?
지금까지 레진으로 앞니 빈공간을 메꾼 사례에 대해 살펴보았습니다.
궁금해 하실 분들을 위해 참고로 말씀드리면,
어금니의 경우 빈공간을 메꾸고 싶을 때는 부위 특성상 주로 레진이 아닌 인레이를 사용하며,
너무 빈 부위가 커서 레진을 했을 경우 교합되어 잘 떨어질 것 같은 경우,
블랙트라이앵글(교정후에 생기거나 등등) 의 경우에는
앞니임에도 그 부위에 레진시행이 불가능할 수도 있음을 미리 말씀드립니다!
레진은 검진 후 상담을 한 후에 동의하시면 진행 가능합니다!
위 사례보다 부위가 크고 치아가 작은 왜소치의 경우는
무삭제라미네이트를 시행하기도 하는데 그 사례는 라미네이트 케이스를 참고해주세요.
앞니가 매우 많이 벌어져 있어서
앞니급속교정3개월과 라미네이트 치료를 받은 외국인 환자분이 써주신
연세예감치과 리뷰!

https://blog.naver.com/yonseiyegam/223116666215

지금까지 시청역 연세예감치과에서 알려드린
앞니 치아 빈공간 메우는 레진치료 실제 케이스였습니다!








더 보기
이 병원의 공개 콘텐츠를 계속 살펴보세요
출처 아카이브로 돌아가 더 많은 글을 보거나, 병원 프로필로 이동해 다른 공개 채널도 함께 비교해보세요.