연세예감치과(시청역)
사용중인 틀니가 불편하다면? 임플란트와 틀니가 결합된 임플란트 틀니 추천
안녕하세요 서울 중구에 위치한 연세예감 치과입니다. 서울 시청역 7번출구 직진 도보 3분(233m)이며, 삼성본관빌딩 바로 맞은편에 위치합니다. 사용중인 전체틀니가 불편하고 전체임플란트의 비용은 부담스럽다면 임플란트와 틀니가 결합된 임플란트틀니를 추천드립니다. 전악 임플란트(전체임플란트): 다수의 임플란...
아카이브 요약
이 페이지의 역할
연세예감치과(시청역) Yonsei Yegam Dental Clinic ヨンセイェガム歯科의 네이버 블로그 원문을 보존한 아카이브 페이지입니다. 임플란트 카테고리의 사용중인 틀니가 불편하다면? 임플란트와 틀니가 결합된 임플란트 틀니 추천 글을 통해 병원의 한국어 정보 제공 방식과 진료 관련 안내 톤을 확인할 수 있습니다.
안녕하세요
서울 중구에 위치한 연세예감 치과입니다.
서울 시청역 7번출구 직진 도보 3분(233m)이며,
삼성본관빌딩 바로 맞은편에 위치합니다.
사용중인 전체틀니가 불편하고
전체임플란트의 비용은 부담스럽다면 임플란트와 틀니가 결합된 임플란트틀니를 추천드립니다.
전악 임플란트(전체임플란트): 다수의 임플란트를 식립하고 그 다수의 임플란트를 브릿지 형태로 연결시켜 치아 개수대로 머리를 만듦. 최소식립부터 예후와 안정성을 고려한 적절한 개수의 임플란트까지 본인 잇몸뼈 상태에 따라 개수는 다름.
일반 틀니: 뺐다 꼈다하는 틀니. 장기간 사용시 잇몸뼈가 변형될 수 있고 틀니가 원하지 않을 때 빠지기 쉽고 이물감이 있음. 뺐다 꼈다 하는 틀니이므로 고정이 잘 되지 않아 씹을 때 마다 잇몸이 아플 수 있음
위의 전체틀니는 입천장을 덮어 답답한 느낌이 있을 수 있고 아래 틀니는 혀 공간 때문에 면적이 작아 유지력이 위쪽 보다 약함.
임플란트 틀니: 2개이상의 임플란트를 식립한 후에 틀니를 연결.
임플란트는 고정되어 있으므로 틀니가 임플란트에 고정되어 쉽게 빠지지 않음. 틀니가 단단히 고정됨. 임플란트 식립으로 틀니로 인해 나타나는 잇몸뼈 흡수 방지. 고정력이 우수하고 이물감이 틀니에 비해 적음
아프고 움직이는 틀니의 단점 개선을 하고, 임플란트는 최소의 개수만 심어서 전체임플란트에 비해 비용절약이 가능합니다. 일반 전체틀니처럼 말하거나 식사하다가 쉽게 떨어지는 문제가 없음.
이가 없으신 분들에게 물론 가장 편한 것은 기본적인 전체임플란트 이지만
임플란트를 여러개를 심어야하는 전체인플란트의 비용적인 면이 부담되신다면
임플란트 틀니 또는 최소개수로 심는 전체 임플란트를 추천드려요,
환자분이 사진공개에 동의한
실제 저희 치과에서 진행한
각종 몇가지 여러 임플란트, 틀니 케이스 공개해드립니다.
사진공개 동의하지 않은 케이스는 공개하지 않습니다.
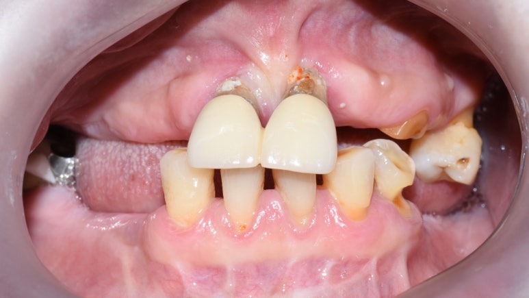
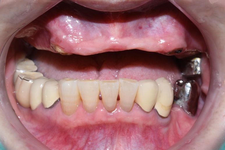
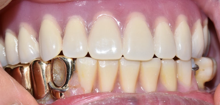
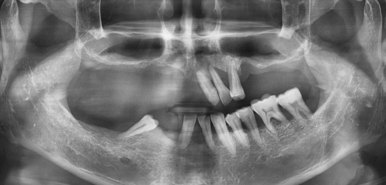
- 기초 수급자 환자 흔들리는 위 치아 빼고 위 전체 틀니,
아래쪽 어금니는 씹을 수 있게 최소 개수의 임플란트


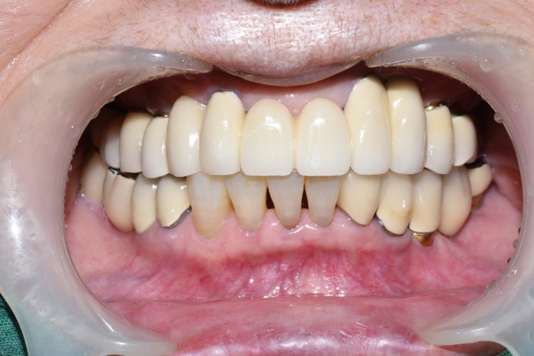
- 상악 전체임플란트, 하악어금니 없는 부분 임플란트

상악 흔들리는 브릿지와 치아 발치 후 상악전체 임플란트
↓


상악 전체 임플란트 후
- 상악 전체임플란트 및 하악 어금니 없는 부위 임플란트



- 오래된 상악틀니 → 2. 틀니제거시 모습 → 3.상악전체 임플란트

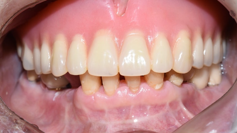
- 오래된 틀니를 새 전체틀니로, 아래앞니 부위는 임플란트



오래된 상악틀니를 상악 전체 틀니로 교체


아래 앞니부위 임플란트까지 한 후
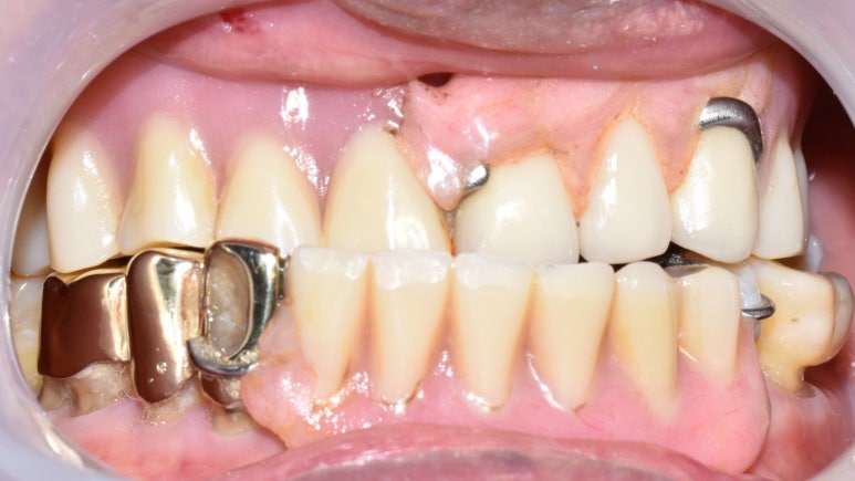
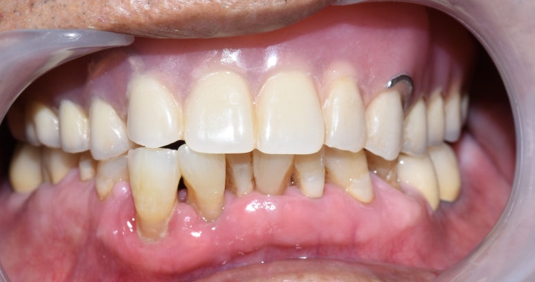
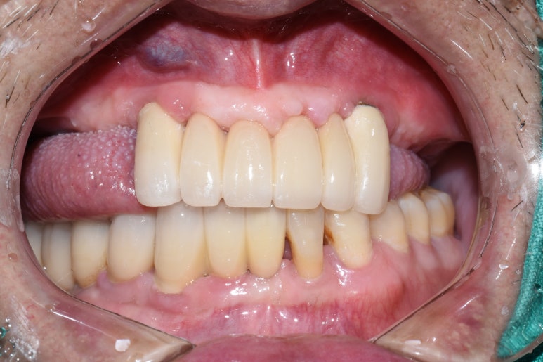
- 위의 틀니와 아래 어금니 임플란트를 5년쓰시다가
어금니 임플란트가 너무 편하고 뺐다 꼈다하는 틀니가 귀찮다고 하셔서 위 전체 임플란트



-
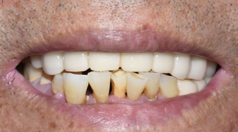
원래 치아상태 ->2. 위 틀니, 하악어금니 임플란트 ->3. 상악도 전체 임플란트로.
-
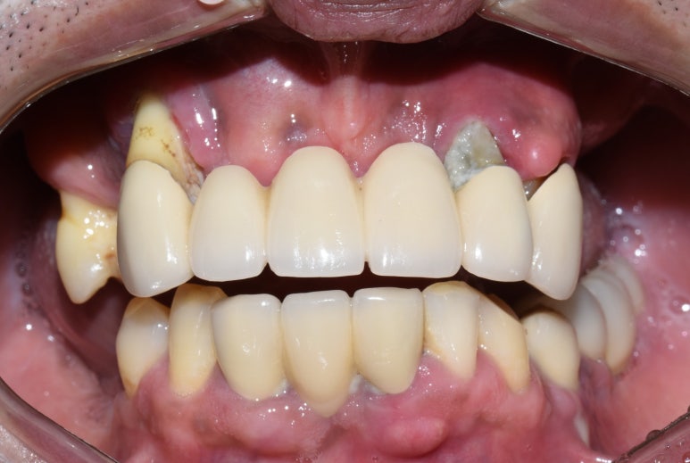
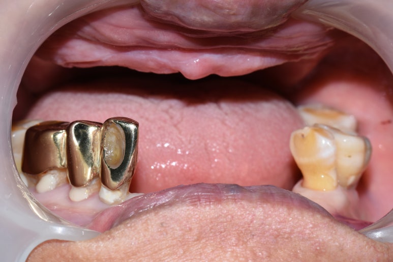
이가 많이 흔들리는 상악 앞니 임플란트(환자분이 앞니만 원함)
어금니 치아가 없고 치아가 누운부위 하악 어금니 임플란트


7.아래쪽 임플란트 최소 2개 심고 틀니 연결하여
덜 움직이는 틀니

8.다른 치과에서 한 아래틀니가 너무 아픈 환자분
아래 2개 임플란트를 심고 임플란트 틀니로 변경

아래치아 하나도 없음. 임플란트 심기 전
↓

아래 임플란트틀니를 위한 임플란트 2개 식립

기존 다른치과 전체틀니에 임플란트를 연결하여 움직이지 않게 해드렸습니다.
환자분의 잇몸뼈 상황과 경제적인 가격 여건까지 고려하여
가장 효율적인 치료방법을 알려드리고 상담해드리겠습니다.



저희 시청역 연세예감치과는
여러 임플란트 수술을 할 때의 통증을 줄이기 위해
치과디지털 무통마취기, 잇몸을 쭉 절개하지 않는 비절개 네비게이션 임플란트 등 여러 노력을 하고 있습니다.
외국인도 아름답고 건강한 치아를 위해
찾아오는 시청역 연세예감치과였습니다.







더 보기
이 병원의 공개 콘텐츠를 계속 살펴보세요
출처 아카이브로 돌아가 더 많은 글을 보거나, 병원 프로필로 이동해 다른 공개 채널도 함께 비교해보세요.