연세예감치과(시청역)
1.송곳니를 다른 앞니 모양 라미네이트로, 2.치아사이 빈공간을 라미네이트로
안녕하세요 서울의 중심. 서울 시청역 7번출구에 위치한 연세예감치과입니다. 해외에서도, 전국 어디서도 환자들이 찾아오는 치과로 서울역에서 지하철 한정거장으로 지방에서도 오기 쉬운 서울 치과입니다. 오늘은 라미네이트로 치아모양을 바꾼 케이스를 소개해드리려고 합니다. [환자분의 동의를 받은 케이스만 공개합니다] 기...
아카이브 요약
이 페이지의 역할
연세예감치과(시청역) Yonsei Yegam Dental Clinic ヨンセイェガム歯科의 네이버 블로그 원문을 보존한 아카이브 페이지입니다. 치아성형 카테고리의 1.송곳니를 다른 앞니 모양 라미네이트로, 2.치아사이 빈공간을 라미네이트로 글을 통해 병원의 한국어 정보 제공 방식과 진료 관련 안내 톤을 확인할 수 있습니다.
안녕하세요
서울의 중심. 서울 시청역 7번출구에 위치한 연세예감치과입니다.
해외에서도, 전국 어디서도 환자들이 찾아오는 치과로
서울역에서 지하철 한정거장으로 지방에서도 오기 쉬운 서울 치과입니다.
오늘은
라미네이트로 치아모양을 바꾼 케이스를 소개해드리려고 합니다.
[환자분의 동의를 받은 케이스만 공개합니다]
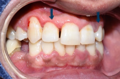
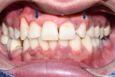
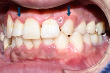
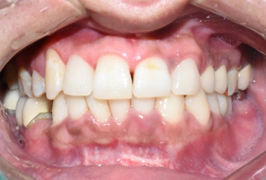
기존에 치아사이에 공간이 있고(화살표 두개 중 왼쪽 화살표),
앞니치아 하나가 없어서 송곳니(화살표 두개 중 오른쪽 화살표)가
그 치아자리를 대신하고 있는 케이스였습니다.



전
화살표 표시된 치아 2개
↓
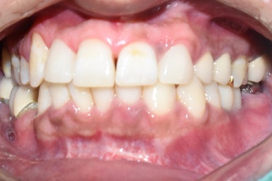
치아사이 빈 공간을 메우기 위해, 송곳니 모양을 바꾸기 위해 라미네이트 2개
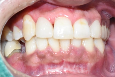
후



이렇게 치아를 약간만 다듬고(최소한만 삭제. 크라운보다 삭제량 적음)
라미네이트 2개를 붙여서 최소한의 개수로 치아 배열도 이전보다 훨씬 바르게 보이고
송곳니 모양을 감쪽같이 앞니 모양으로 바꿀 수 있었습니다.
또한 색상도 기존치아와 잘 어울어지면서도 더 밝게 하여 더 좋은 인상을 만들었습니다.


지금까지 공간이 비어 보이는 치아와 다른 치아를 대체한 송곳니의
라미네이트에 대한 케이스였습니다.
라미네이트 이벤트
2026년 기준 연세예감치과 라미네이트 가격:
치아 개당 65만원
2개이상 진행시 개당 50만원
라미네이트와 치아미백은 미용목적일 경우 법적으로 부가세 10프로를 별도로 받도록 되어있습니다.
(본 가격은 2개이상 부터 입주변 전후 사진공개조건 가격입니다
사진공개 원하지 않을 시 개당65만원에 진행 가능합니다.)
또한 라미네이트 전 파노라마 포함한 치과의사의 진단,상담이 필요합니다.
"무삭제라미네이트"를 네이버에서 검색했을 때 광고제외하고
지도에서 제일 먼저 뜨는 연세예감치과입니다!

해외에서도 아름답고 건강한 치아를 만들기 위해
일부러 찾아오는 연세예감치과입니다.








더 보기
이 병원의 공개 콘텐츠를 계속 살펴보세요
출처 아카이브로 돌아가 더 많은 글을 보거나, 병원 프로필로 이동해 다른 공개 채널도 함께 비교해보세요.