아카이브 요약
이 페이지의 역할
연세예감치과의원의 네이버 블로그 원문을 보존한 아카이브 페이지입니다. 치아성형 카테고리의 충정로 가까운치과 벌어진 치아사이 레진치료 실제사례 알려드려요 글을 통해 병원의 한국어 정보 제공 방식과 진료 관련 안내 톤을 확인할 수 있습니다.
원문 검증
필요하면 원문 블로그와 병원 프로필로 바로 이동해 문맥을 다시 확인할 수 있습니다.
출처 아카이브 열기아카이브된 블로그 글
연세예감치과의원 · Naver Blog
시청역 연세예감치과 벌어진 치아 사이 레진 치료 안녕하세요 서울 어디에서도 오기편한, 해외에서도 환자들이 찾아오는 시청역 연세예감치과입니다. 서울역에서도 지하철로 한정거장 거리에 위치하고 있어 전국 어디에서도 오기 쉽습니다! 오늘은 앞니 치아 사이가 벌어진 환자분들이 고민하고 있는 레진치료에 대해 알아보겠습니다....
게시일
2023년 6월 29일
원문 기준으로 확인된 발행일입니다.
카테고리
치아성형
원문 블로그 카테고리를 정리해 함께 표시합니다.
이미지 수
16
현재 아카이브에 연결된 이미지 수입니다.
아카이브 요약
연세예감치과의원의 네이버 블로그 원문을 보존한 아카이브 페이지입니다. 치아성형 카테고리의 충정로 가까운치과 벌어진 치아사이 레진치료 실제사례 알려드려요 글을 통해 병원의 한국어 정보 제공 방식과 진료 관련 안내 톤을 확인할 수 있습니다.
원문 검증
필요하면 원문 블로그와 병원 프로필로 바로 이동해 문맥을 다시 확인할 수 있습니다.
출처 아카이브 열기시청역 연세예감치과
벌어진 치아 사이 레진 치료
안녕하세요 서울 어디에서도 오기편한,
해외에서도 환자들이 찾아오는
시청역 연세예감치과입니다.
서울역에서도 지하철로 한정거장 거리에 위치하고 있어
전국 어디에서도 오기 쉽습니다!
오늘은 앞니 치아 사이가 벌어진 환자분들이 고민하고 있는
레진치료에 대해 알아보겠습니다.
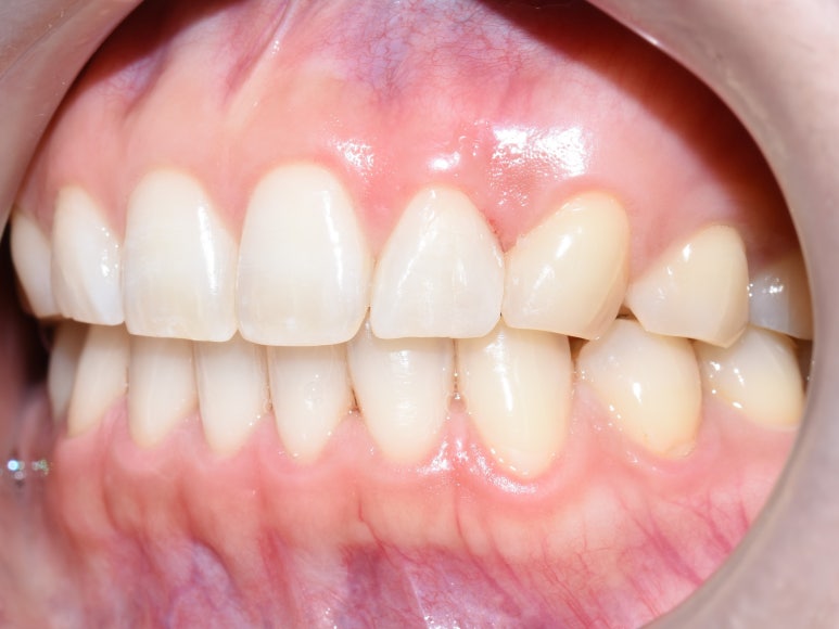
저희 연세예감치과에서 앞니 벌어진 부위 레진을 실제로 시행한 사례입니다.
[환자분의 동의를 얻은 사진만 게시합니다]
앞니 벌어진 부위를 닿는 방법 또는 벌어지지 않은것 처럼 보이게 하는 치료방법은 여러가지가 있는데
레진의 경우 치아 삭제를 보통 하지 않고 진행하기 때문에
치아삭제에 부담을 갖는 환자분들이 선호하는 방식입니다.
위와 같은 식으로 전후 사진을 볼 수 있습니다.
앞니 사이가 벌어져 있으면 빈곳이 까맣게 보이기 때문에
환자분들이 좋은 이미지를 위해 공간을 메우고 싶어하시는 경우가 많습니다.

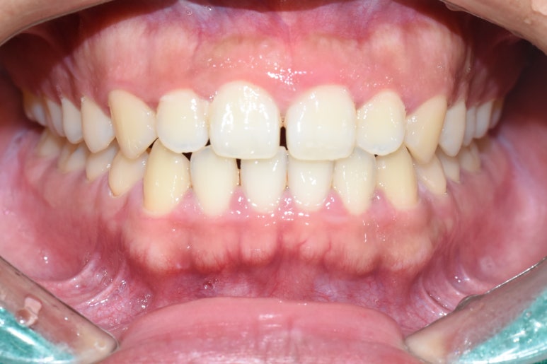
벌어진 앞니 레진치료


벌어진 앞니 레진치료 전후
위와같이 전(왼) 후(오른쪽)가 진행되었습니다.
또한 레진치료의 장점은 당일에 끝난다는 것입니다.
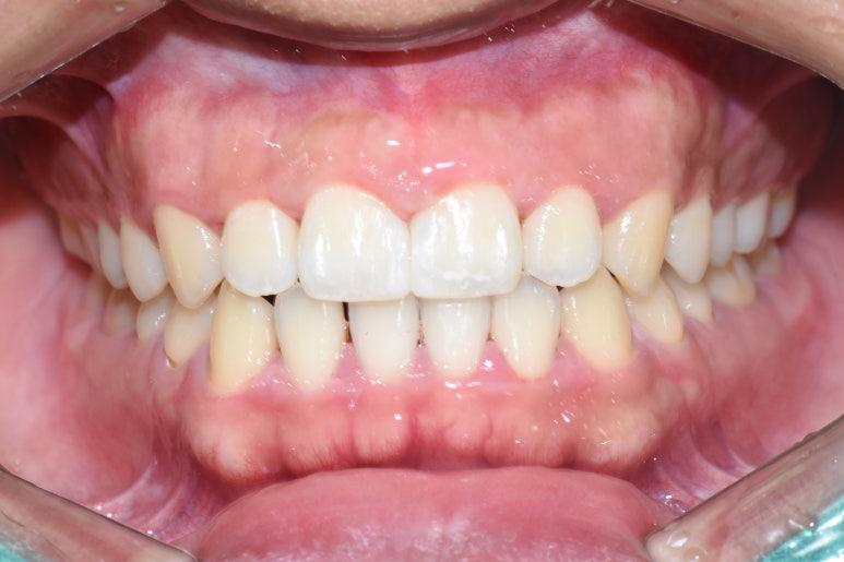
두번째 케이스도 비슷합니다.
단, 아까 케이스는 치아 한면만 레진으로 했다면,
아래 케이스는 두 치아에 레진이 들어가게 됩니다.(따라서 가격도 2개 가격으로..)
아래의 케이스에서 한 치아에만 레진으로 메우게 된다면
비대칭이 심하게 보여 미용적으로는 좋지 않은 치아가 되게 됩니다.
아시다시피, 아름다움의 기본은 대칭이기 때문이죠.

벌어진 앞니 레진치료
위와 같이 대문이 사이 벌어진 공간을 두개로 나누어 레진을 충전하였습니다.


벌어진 앞니 레진치료 전후
레진 외에도 많은 다른 방법이 있습니다.
만약 앞니 레진을 하는 부위에 아래 치아가 닿는 면적(교합되는 면적)이 크다면
그 레진은 금방 떨어질 수 있고,
너무 큰 공간을 그냥 메워버리면 미용적으로도 예뻐보이지 않는 너무 큰 치아가 되어 버리기 때문에
부분교정을 하기도 하구요,

오래된 다른 치과 앞니 레진을 제거하고 부분교정시행
위 사진처럼 오래된 다른 치과 앞니 레진이 많이 떨어져서
부분교정을 하는 경우도 흔합니다.
이런 케이스의 경우 부분교정은 굉장히 빨리 끝나서 6개월, 빠르면 4개월정도에도 마무리되곤 합니다.
또한 벌어진 그 부분만 라미네이트를 하기도 하구요,
(아래사진참고)

또는 정말 너무너무 많이 벌어져 있는 외국인 환자분의 경우는 부분교정을 한 후
그 사이 공간을 라미네이트로 메우는 경우도 있었습니다.
(아래 사진의 경우 기존 치아가 깨져있어서 환자분이 라미네이트를 처음부터 원하심)

벌어진 앞니 치료에는 여러가지 옵션이 있으니
전문적인 지식을 가지고 있고, 직접 치료를 시행하는
치과의사와 상의한 후 진행하셔야 합니다!

지금까지 서울 시청역 연세예감치과에서 알아본
벌어진 앞니의 레진치료였습니다.





