아카이브 요약
이 페이지의 역할
연세예감치과의원의 네이버 블로그 원문을 보존한 아카이브 페이지입니다. 임플란트 카테고리의 마포 임플란트가 너무 무서워요 하는 분들 잇몸절개하지 않는 네비게이션임플란트 소개해드립니다 글을 통해 병원의 한국어 정보 제공 방식과 진료 관련 안내 톤을 확인할 수 있습니다.
원문 검증
필요하면 원문 블로그와 병원 프로필로 바로 이동해 문맥을 다시 확인할 수 있습니다.
출처 아카이브 열기아카이브된 블로그 글
연세예감치과의원 · Naver Blog
시청역 연세예감치과 Yonsei Yegam Dental Clinic 임플란트를 무서워하는 분들, 빠른 회복을 원하는 분들 위해 잇몸절개가 없는 내비게이션 임플란트 소개 안녕하세요 서울 시청역 연세예감치과 Yonsei Yegam Dental Clinic 입니다. 오늘은 내비게이션임플란트로 유명한 저희 연세예감치과에서...
게시일
2023년 7월 3일
원문 기준으로 확인된 발행일입니다.
카테고리
임플란트
원문 블로그 카테고리를 정리해 함께 표시합니다.
이미지 수
29
현재 아카이브에 연결된 이미지 수입니다.
아카이브 요약
연세예감치과의원의 네이버 블로그 원문을 보존한 아카이브 페이지입니다. 임플란트 카테고리의 마포 임플란트가 너무 무서워요 하는 분들 잇몸절개하지 않는 네비게이션임플란트 소개해드립니다 글을 통해 병원의 한국어 정보 제공 방식과 진료 관련 안내 톤을 확인할 수 있습니다.
원문 검증
필요하면 원문 블로그와 병원 프로필로 바로 이동해 문맥을 다시 확인할 수 있습니다.
출처 아카이브 열기시청역 연세예감치과
Yonsei Yegam Dental Clinic
임플란트를 무서워하는 분들,
빠른 회복을 원하는 분들 위해
잇몸절개가 없는 내비게이션 임플란트 소개
안녕하세요
서울 시청역 연세예감치과
Yonsei Yegam Dental Clinic
입니다.
오늘은 내비게이션임플란트로 유명한
저희 연세예감치과에서
치아가 상실된 분들을 위한
임플란트, 그중에서도 네비게이션 임플란트에 대해 소개해드리려고 합니다.
네비게이션 임플란트란
환자의 치아와 잇몸뼈 ct와 환자치아모형을 바탕으로
3차원적으로 진단하여 임플란트가 심어질 위치를
신경위치, 거리, 각도 등을 미리 계산하여 그것에 따른 가이드인 네비게이션가이드와
그때그때 상황에 따라 변하는 것이 아니라 미리 계획된 절차대로 사용하여
임플란트를 심게되는 방법입니다.
따라서 수술시간이 짧아진다는 장점이 있습니다.


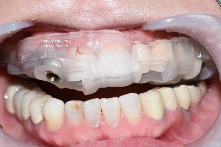
아래와 같은 네비게이션을 환자치아나 잇몸에 장착하여 시행하게 됩니다


뼈 밀도에 따라 각도가 틀어지는 일 등이 없도록 하고
좁은 공간에서 적절하게 임플란트가 배치되도록 합니다.
또한 좁은공간에서도 임플란트드릴이 뼈를 뚫고 나가지 않고
가장 최적의 위치에 적절하게 임플란트드릴을 할 수 있습니다.

또한 잇몸을 쭉 절개해서 잇몸뼈를 직접 보고 임플란트를 심던 기존의 방식에서 벗어나기 때문에
잇몸절개없이 잇몸펀치로 최소한의 작은 구멍만 내어 시술할 수 있으므로
회복이 빠르고 통증이 적습니다.

내비게이션 임플란트 추천드리는 분들은 아래와 같습니다

실제 저희 연세예감치과에서 네비게이션으로 임플란트 수술하신 환자분의
모의 시술 사진











최근 연세예감치과 실제 수술에서 사용하고 버리기전 보관중인 네비게이션임플란트 가이드


최근 연세예감치과 실제 수술에서 사용하고 버리기전 보관중인 네비게이션임플란트 가이드


겁많은 분들.
치과치료 공포증이 있는 분들,
수술이 길어지면 안되고 빠른 시일내에 수술이 끝나야하는 어르신들
이 선호하고 있는 네비게이션 임플란트에 대해 알아보았는데요,
임플란트 하기 무서워서
방치하다가 치아치열이 망가져서
전반적인 잇몸과 치아가 망가지는 일을 피하기 위해
덜 무서운 내비게이션 임플란트로 임플란트 도전해보세요.
해외에서도 아름답고 건강한 치아를 만들기 위해 찾아오는
서울 시청역 연세예감치과였습니다.






