아카이브 요약
이 페이지의 역할
연세예감치과의원의 네이버 블로그 원문을 보존한 아카이브 페이지입니다. 치아성형 카테고리의 [광화문/치과] 외국인환자 변색된 앞니 하나의 크라운 치료 실제 케이스 글을 통해 병원의 한국어 정보 제공 방식과 진료 관련 안내 톤을 확인할 수 있습니다.
원문 검증
필요하면 원문 블로그와 병원 프로필로 바로 이동해 문맥을 다시 확인할 수 있습니다.
출처 아카이브 열기아카이브된 블로그 글
연세예감치과의원 · Naver Blog
안녕하세요 1호선 및 2호선 서울 시청역 7번출구에서 직진 도보 3분거리에 위치한 ★시청역 연세예감치과★입니다. 광화문, 서울역, 마포, 종로구 등 서울의 중심인 시청역에 위치하여 어디서든 찾아오기 쉬운 위치입니다 :) 저희 시청역 연세예감치과는 2018년 개원한 이래 특별한 마케팅없이도 실력만으로, 입소문을 통해...
게시일
2023년 7월 23일
원문 기준으로 확인된 발행일입니다.
카테고리
치아성형
원문 블로그 카테고리를 정리해 함께 표시합니다.
이미지 수
18
현재 아카이브에 연결된 이미지 수입니다.
아카이브 요약
연세예감치과의원의 네이버 블로그 원문을 보존한 아카이브 페이지입니다. 치아성형 카테고리의 [광화문/치과] 외국인환자 변색된 앞니 하나의 크라운 치료 실제 케이스 글을 통해 병원의 한국어 정보 제공 방식과 진료 관련 안내 톤을 확인할 수 있습니다.
원문 검증
필요하면 원문 블로그와 병원 프로필로 바로 이동해 문맥을 다시 확인할 수 있습니다.
출처 아카이브 열기안녕하세요
1호선 및 2호선 서울 시청역 7번출구에서
직진 도보 3분거리에 위치한
★시청역 연세예감치과★입니다.
광화문, 서울역, 마포, 종로구 등
서울의 중심인 시청역에 위치하여 어디서든 찾아오기 쉬운 위치입니다 :)
저희 시청역 연세예감치과는 2018년 개원한 이래 특별한 마케팅없이도
실력만으로, 입소문을 통해 외국환자들이 찾아오는 치과입니다.
오늘은
오래전 하나의 앞니가 변색이 되어
한국에 2주동안 단기로 머무는 동안
저희 치과에서 치료를 받은 유럽에서 온 외국 환자의 사례를 소개합니다.
[환자분의 동의를 받은 사진과 케이스만 게시합니다.]
앞니 하나가 오래 전에 변색되었어요
이 외국 환자분은 오래 전에 치아 하나가 변색되기 시작했고
그래서 2년 전 쯤에 본인 나라(유럽)에서 신경치료를 시도 했으나 신경관이 너무 좁아서 신경관을 찾지 못해
중단된 상태였습니다.
![[광화문/치과] 외국인환자 변색된 앞니 하나의 크라운 치료 실제 케이스 관련 이미지 1](https://pub-9f2bb3498faf4d1d8714b41df24753e3.r2.dev/content/clinics/archive/rseeanjxfu/naver_blog/yonseiyegam/assets/by_hash/4965c0742d4e4295213f59cbeee057ab3a132dd61abd30003f704f49a085589a.jpg)
![[광화문/치과] 외국인환자 변색된 앞니 하나의 크라운 치료 실제 케이스 관련 이미지 2](https://pub-9f2bb3498faf4d1d8714b41df24753e3.r2.dev/content/clinics/archive/rseeanjxfu/naver_blog/yonseiyegam/assets/by_hash/dad10ad1976492fcb0564b11340c0ac3cfdd9cde810bcadb69865bf1898d3e8d.jpg)
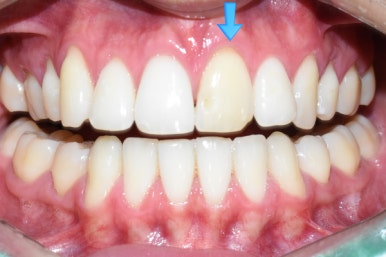
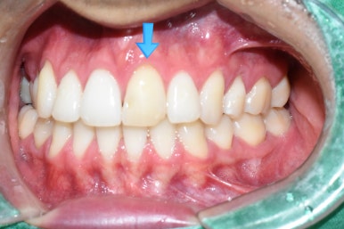
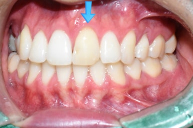
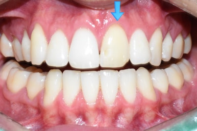
위 앞니 하나가 아주 변색이 된 상태 (치료 전)
![[광화문/치과] 외국인환자 변색된 앞니 하나의 크라운 치료 실제 케이스 관련 이미지 3](https://pub-9f2bb3498faf4d1d8714b41df24753e3.r2.dev/content/clinics/archive/rseeanjxfu/naver_blog/yonseiyegam/assets/by_hash/d535be6196f4d4f4b8fcd70dfe3bc1811a581dd508f998a8f734913722c84f7b.jpg)
변색된 앞니
딱 눈에 보이는 가장 큰 앞니 하나가 변색이 너무 심하니
환자분이 스트레스 받을 만 했고,
본인 개인일로 한국까지 와서 바쁠 텐데도 저희 치과를 찾아와 준 것이 정말 고마웠습니다.
치아를 위해서는 충분히 시간을 낼 수 있다고 하셨어요.
치료과정
본인 나라에서 마무리하지 못한 신경치료에 대해
마무리를 하고 뚫어서 신경치료한 윗부분을 레진으로 메운 후
치아는 전체적으로 깎아서 크라운을 하게 되었습니다.
정밀하게 만들어오는 데는 일주일이 걸렸으며,
일주일 동안은 깎아놓은 치아에 임시치아를 끼고 계셔야합니다.
앞니의 경우 어금니 크라운보다 굉장한 정성이 소요됩니다.
보이는 부위이기 때문에 색도 주변 치아와 맞춰야하고,
모양도 정말 치아처럼 유사하게 만들어야 티가 거의 안나기 때문입니다.
특히 색이 문제인데, 치아가 그냥 하얀색이 아니라
자연치아 하나안에서도 쉐이드가 다양하기 때문에
옆 자연치아와 동일한 색,쉐이드로 맞추기가 굉장히 힘들기 때문입니다.
환자분이 최대한 색상 맞춰달라고, 모양도 최대한 대칭으로 해달라고 당부하셨는데
최선을 다하겠다고 말씀드리고, 입 안에 끼워보았을 때 수정이 필요하면 수정가능성도 설명드렸습니다.
신경치아도 했던 치아이고, 약간 깨진 부분 등도 있고 환자분도
모양변화도 원하셨기 때문에 크라운으로 하기로 얘기되었습니다.
환자분이 외국인이었고 출국날짜가 정해져있었기 때문에
환자분이 마음에 안들어하시면 수정을 여러번 보내야 할까봐 조금 걱정했었는데
다행히 처음 끼워드린 크라운에 환자분이 색상이나 모양 매우 만족하셔서
크라운을 다시 수정보내는 일 없이 한번에 장착하였습니다.
![[광화문/치과] 외국인환자 변색된 앞니 하나의 크라운 치료 실제 케이스 관련 이미지 4](https://pub-9f2bb3498faf4d1d8714b41df24753e3.r2.dev/content/clinics/archive/rseeanjxfu/naver_blog/yonseiyegam/assets/by_hash/13d900ed9a722bb24656268dd19a0a31ccb4831edce0c3b6c514b94cb48bf030.jpg)
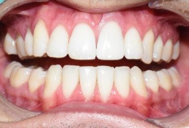
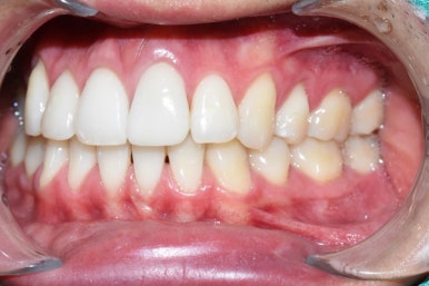
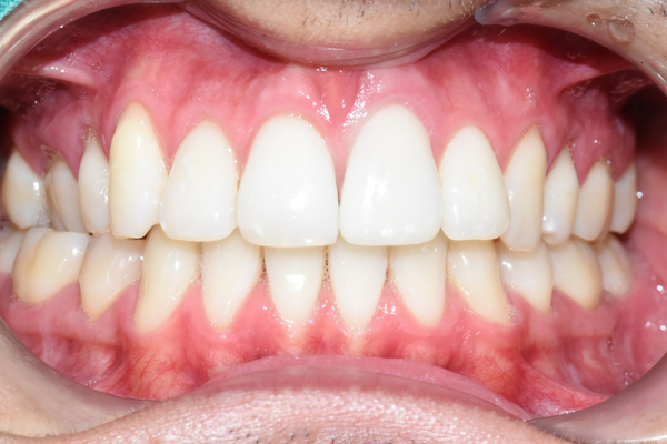
크라운 장착 후
치료전후 사진
![[광화문/치과] 외국인환자 변색된 앞니 하나의 크라운 치료 실제 케이스 관련 이미지 5](https://pub-9f2bb3498faf4d1d8714b41df24753e3.r2.dev/content/clinics/archive/rseeanjxfu/naver_blog/yonseiyegam/assets/by_hash/b5f4f4472f0e4ab8b6a45a973403a4b854270f6edafe9bf5f45587ef94564dd1.jpg)
![[광화문/치과] 외국인환자 변색된 앞니 하나의 크라운 치료 실제 케이스 관련 이미지 6](https://pub-9f2bb3498faf4d1d8714b41df24753e3.r2.dev/content/clinics/archive/rseeanjxfu/naver_blog/yonseiyegam/assets/by_hash/e9b4aafcf701660a57ba1b02b7781b99ff57dfed724af221023cd8f3b1dfc78f.jpg)
위 앞니 변색 치아 하나 치료 전(왼)-치료 후(오른쪽 사진)
![[광화문/치과] 외국인환자 변색된 앞니 하나의 크라운 치료 실제 케이스 관련 이미지 7](https://pub-9f2bb3498faf4d1d8714b41df24753e3.r2.dev/content/clinics/archive/rseeanjxfu/naver_blog/yonseiyegam/assets/by_hash/f999ae9d1e898e93e786c50500a36fe81fb94fd9df9946a9dec67690e5c135f8.jpg)
![[광화문/치과] 외국인환자 변색된 앞니 하나의 크라운 치료 실제 케이스 관련 이미지 8](https://pub-9f2bb3498faf4d1d8714b41df24753e3.r2.dev/content/clinics/archive/rseeanjxfu/naver_blog/yonseiyegam/assets/by_hash/e667a163bcfe340afd1ccfa59c319b1db19c1a2fdc077d3bb3dceef5f3d7c180.jpg)
위 앞니 변색 치아 하나 치료 전(왼)-치료 후(오른쪽 사진)
환자분이 매우 만족하셔서 뿌듯한 케이스 였습니다.
본인 나라에서 앞니 치료를 하지 않고
일부러 한국에 오는 스케쥴에 맞춰 저희 치과를 찾을 만큼
한국치과의 기술력을 대표하는 치과가 된 것 같아 좋았습니다!
저희 치과에서
도보로 오실 수 있는 웨스틴조선호텔, 롯데호텔, 플라자호텔, 메리어트코트야드 호텔, 그레이스리 호텔 등 많은 외국인들이 주변호텔에 머무시며 관광도 하시고
더 나은 기술력으로 치과치료를 위해 저희 치과에서 치료를 받은 후 출국하고 계십니다!
아래의 다른 앞니 크라운 케이스들도 참고해주세요.
https://blog.naver.com/yonseiyegam/223023042826
https://blog.naver.com/yonseiyegam/222619692686
https://blog.naver.com/yonseiyegam/222947901259
지금까지
해외에서도 아름답고 건강한 치아를 위해 일부러 찾아오는
서울 시청역 연세예감치과에서 알려드린 변색된 앞니 크라운 치료였습니다.
![[광화문/치과] 외국인환자 변색된 앞니 하나의 크라운 치료 실제 케이스 관련 이미지 9](https://pub-9f2bb3498faf4d1d8714b41df24753e3.r2.dev/content/clinics/archive/rseeanjxfu/naver_blog/yonseiyegam/assets/by_hash/368c248b24fb9c9583486e0ebb8e1eeb8858c4da1ac4b6b4eebd42593ecc1941.png)
![[광화문/치과] 외국인환자 변색된 앞니 하나의 크라운 치료 실제 케이스 관련 이미지 10](https://pub-9f2bb3498faf4d1d8714b41df24753e3.r2.dev/content/clinics/archive/rseeanjxfu/naver_blog/yonseiyegam/assets/by_hash/21c24e1a53636d28eb996e3595899aa77d49dafcc3f1e507f81a22a3ba009bf7.png)
![[광화문/치과] 외국인환자 변색된 앞니 하나의 크라운 치료 실제 케이스 관련 이미지 11](https://pub-9f2bb3498faf4d1d8714b41df24753e3.r2.dev/content/clinics/archive/rseeanjxfu/naver_blog/yonseiyegam/assets/by_hash/1c4912ceedf3e52c840dbdc1fcb50df99378c671081f3837da1056ccb24f7a93.png)
![[광화문/치과] 외국인환자 변색된 앞니 하나의 크라운 치료 실제 케이스 관련 이미지 12](https://pub-9f2bb3498faf4d1d8714b41df24753e3.r2.dev/content/clinics/archive/rseeanjxfu/naver_blog/yonseiyegam/assets/by_hash/32892c57dce4572ae2bc60c705c5dc672839df78fe23995c3cd68eb59c3bb355.png)
![[광화문/치과] 외국인환자 변색된 앞니 하나의 크라운 치료 실제 케이스 관련 이미지 13](https://pub-9f2bb3498faf4d1d8714b41df24753e3.r2.dev/content/clinics/archive/rseeanjxfu/naver_blog/yonseiyegam/assets/by_hash/1877b3e0a799e9d0671f5826b81e5ecb827ea5e35fbb5915bacc54c4aab158e9.png)
![[광화문/치과] 외국인환자 변색된 앞니 하나의 크라운 치료 실제 케이스 관련 이미지 14](https://pub-9f2bb3498faf4d1d8714b41df24753e3.r2.dev/content/clinics/archive/rseeanjxfu/naver_blog/yonseiyegam/assets/by_hash/cb060a776e530d7fd0bdeeca44c98a3917b2151c5b43627aad41e9022ef6bc68.png)
![[광화문/치과] 외국인환자 변색된 앞니 하나의 크라운 치료 실제 케이스 관련 이미지 15](https://pub-9f2bb3498faf4d1d8714b41df24753e3.r2.dev/content/clinics/archive/rseeanjxfu/naver_blog/yonseiyegam/assets/by_hash/fbc0aeddb091025c151eb1e62fca8ed6535c265cf207051a01729a558fa82b32.png)
![[광화문/치과] 외국인환자 변색된 앞니 하나의 크라운 치료 실제 케이스 관련 이미지 16](https://pub-9f2bb3498faf4d1d8714b41df24753e3.r2.dev/content/clinics/archive/rseeanjxfu/naver_blog/yonseiyegam/assets/by_hash/c1c4e5687a1ead6362307b8fc611c2900c52c974efcfae50e7ac37840222eca2.png)
![[광화문/치과] 외국인환자 변색된 앞니 하나의 크라운 치료 실제 케이스 관련 이미지 17](https://pub-9f2bb3498faf4d1d8714b41df24753e3.r2.dev/content/clinics/archive/rseeanjxfu/naver_blog/yonseiyegam/assets/by_hash/4792945b8572de5edc26fb059fa01fe86ee437f7506cb153be8c1887deca9231.jpg)
![[광화문/치과] 외국인환자 변색된 앞니 하나의 크라운 치료 실제 케이스 관련 이미지 18](https://pub-9f2bb3498faf4d1d8714b41df24753e3.r2.dev/content/clinics/archive/rseeanjxfu/naver_blog/yonseiyegam/assets/by_hash/89a136dde01f9c733ac02052076e5b417bf45074f93760468bd1d375360b4edc.png)