연세예감치과(시청역)
[시청역/광화문] 부식된 노란치아. 정말 하얀, 새하얀 치아로 만들고 싶어요 비용도 알려드려요
안녕하세요 시청역 7번출구 삼성본관 바로 맞은편에 위치한 시청역 연세예감치과입니다. 오늘은 정말 하얀, 새하얀 치아를 만들고 싶은 환자분의 치료 케이스를 공개합니다. [환자분의 동의를 얻은 사진만 게시합니다.] "연예인처럼 아주아주 하얀 치아를 만들고 싶어요" 치료 전 처음 내원시 사진 환자분은 치아들이 부...
아카이브 요약
이 페이지의 역할
연세예감치과(시청역) Yonsei Yegam Dental Clinic ヨンセイェガム歯科의 네이버 블로그 원문을 보존한 아카이브 페이지입니다. 치아성형 카테고리의 [시청역/광화문] 부식된 노란치아. 정말 하얀, 새하얀 치아로 만들고 싶어요 비용도 알려드려요 글을 통해 병원의 한국어 정보 제공 방식과 진료 관련 안내 톤을 확인할 수 있습니다.
안녕하세요 시청역 7번출구
삼성본관 바로 맞은편에 위치한
시청역 연세예감치과입니다.
오늘은
정말 하얀, 새하얀 치아를 만들고 싶은 환자분의
치료 케이스를 공개합니다.
[환자분의 동의를 얻은 사진만 게시합니다.]
![[시청역/광화문] 부식된 노란치아. 정말 하얀, 새하얀 치아로 만들고 싶어요 비용도 알려드려요 관련 이미지 1](https://pub-9f2bb3498faf4d1d8714b41df24753e3.r2.dev/content/clinics/archive/rseeanjxfu/naver_blog/yonseiyegam/assets/by_hash/421b3d6ac6e455a64f6bbab255d2c01ee240b3e0862fd77d8899c46293ae3116.jpg)
![[시청역/광화문] 부식된 노란치아. 정말 하얀, 새하얀 치아로 만들고 싶어요 비용도 알려드려요 관련 이미지 2](https://pub-9f2bb3498faf4d1d8714b41df24753e3.r2.dev/content/clinics/archive/rseeanjxfu/naver_blog/yonseiyegam/assets/by_hash/15ac5c03c3cc896f24aa912fd999388cb006683e9866b57406ff1b77fc655763.png)
"연예인처럼 아주아주 하얀 치아를 만들고 싶어요"
![[시청역/광화문] 부식된 노란치아. 정말 하얀, 새하얀 치아로 만들고 싶어요 비용도 알려드려요 관련 이미지 3](https://pub-9f2bb3498faf4d1d8714b41df24753e3.r2.dev/content/clinics/archive/rseeanjxfu/naver_blog/yonseiyegam/assets/by_hash/d0add49dfb5bc895110c6972969deb4e3a29b2f0eeefe880156aaaaaa6b6238d.jpg)
![[시청역/광화문] 부식된 노란치아. 정말 하얀, 새하얀 치아로 만들고 싶어요 비용도 알려드려요 관련 이미지 4](https://pub-9f2bb3498faf4d1d8714b41df24753e3.r2.dev/content/clinics/archive/rseeanjxfu/naver_blog/yonseiyegam/assets/by_hash/3efa6a78cd21799c35071ed56d18e6fb670cea91f56b3ff54c38753b8300a839.jpg)
![[시청역/광화문] 부식된 노란치아. 정말 하얀, 새하얀 치아로 만들고 싶어요 비용도 알려드려요 관련 이미지 5](https://pub-9f2bb3498faf4d1d8714b41df24753e3.r2.dev/content/clinics/archive/rseeanjxfu/naver_blog/yonseiyegam/assets/by_hash/2a8ab6e0cecb4c5426ffc8733898b938df90c3b30513d70e1d5707e8d13eaeb9.jpg)
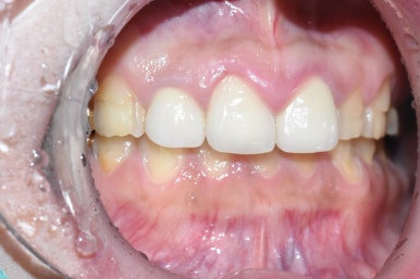
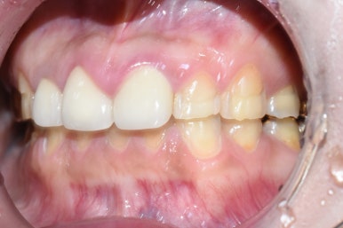
치료 전 처음 내원시 사진
환자분은 치아들이 부식되어 노랗게 보이고 약해져있다며
라미네이트 상담을 하기위해 오신 분이었습니다.
앞니3개에는 오래 전에 한 크라운이 되어있는 상태였는데
모양과 색이 맘에 들지 않는 상태였습니다.
뿐만 아니라 치아들이 단단한 겉면인 건강한 상태가 아니라
단단하지 않고 상아질이 많이 보이는 부식된 상태였습니다.
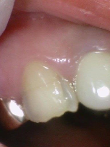
이의 표면이 녹은 상태 등으로 볼 수 있고,
섭식장애나 구토 등이 있는 사람들에게서 보기 쉽습니다.
정상적이거나 일반적이지는 않은 치아 상태입니다.
![[시청역/광화문] 부식된 노란치아. 정말 하얀, 새하얀 치아로 만들고 싶어요 비용도 알려드려요 관련 이미지 6](https://pub-9f2bb3498faf4d1d8714b41df24753e3.r2.dev/content/clinics/archive/rseeanjxfu/naver_blog/yonseiyegam/assets/by_hash/2710afa73797cb207112d7c3082d239c83f97b36c0763af4381b5d07ddd7149c.jpg)
![[시청역/광화문] 부식된 노란치아. 정말 하얀, 새하얀 치아로 만들고 싶어요 비용도 알려드려요 관련 이미지 7](https://pub-9f2bb3498faf4d1d8714b41df24753e3.r2.dev/content/clinics/archive/rseeanjxfu/naver_blog/yonseiyegam/assets/by_hash/4025328b02a2a88ac195b546fa7e2a0ec51b5cf32542470343c257d9781d9a14.jpg)
자연적으로 부식되어 있는 치아
멀쩡한 치아에다가 보철물을 하면
아주아주 미용심미적인 이유(성형처럼) 외에는
딱히 보철물을 붙이지 않는데,
이 환자분의 경우 이미 크라운도 되어있는 상태이고
치아들도 많이 부식되어 있어 이미 자연적으로 손상이 많이 되어있는 치아이므로
오히려 라미네이트나 크라운 같은 보철물을 하는 것이
보이는 것에서나 치아를 유지하는 측면에서 좋다고 판단되었습니다.
![[시청역/광화문] 부식된 노란치아. 정말 하얀, 새하얀 치아로 만들고 싶어요 비용도 알려드려요 관련 이미지 8](https://pub-9f2bb3498faf4d1d8714b41df24753e3.r2.dev/content/clinics/archive/rseeanjxfu/naver_blog/yonseiyegam/assets/by_hash/15ac5c03c3cc896f24aa912fd999388cb006683e9866b57406ff1b77fc655763.png)
정밀하게 만들어 온, 치아 재건을 위한 라미네이트
![[시청역/광화문] 부식된 노란치아. 정말 하얀, 새하얀 치아로 만들고 싶어요 비용도 알려드려요 관련 이미지 9](https://pub-9f2bb3498faf4d1d8714b41df24753e3.r2.dev/content/clinics/archive/rseeanjxfu/naver_blog/yonseiyegam/assets/by_hash/3f04a3ffe92e0113b71804dad1c951fbe32716d6c79a07ff73ab8748ef6451fc.jpg)
만들어 온 라미네이트
원래 크라운이 있던 치아는 크라운을 뜯어내면 최소 다시 크라운 치료를 해야하기 때문에
크라운보다 삭제량이 작은 라미네이트를 할 수는 없습니다.
보통 환자분들이 라미네이트를 극도로 꺼려하는 경향이 있는데
요새 라미네이트는 최소삭제 또는 교합이 가능하다면 무삭제로도 하는 경향이며
라미네이트의 치아 삭제량이 크라운의 치아 삭제량보다 훨씬 적다는 것을 아시면 좋을 것 같습니다.
![[시청역/광화문] 부식된 노란치아. 정말 하얀, 새하얀 치아로 만들고 싶어요 비용도 알려드려요 관련 이미지 10](https://pub-9f2bb3498faf4d1d8714b41df24753e3.r2.dev/content/clinics/archive/rseeanjxfu/naver_blog/yonseiyegam/assets/by_hash/7cb9c8481d55a4ceeae3ac07a9c95a27c4dfa5e92e841dd3ca6083da14cdd339.jpg)
환자분이 정말 새하얗게 치아를 만들어 달라고 하셨기 때문에
새하얀 색으로 들어갔습니다.
사실 치과 종사자들은 이런 불투명한 하얀색은 자연스럽지 않아서 좋아하진 않고
저희 치과에서도 보통 자연스러운 색으로 들어가긴 하는데
단지 색상이 엄청 하얗고 불투명하다고 해서 치아건강에 문제를 주는 것은 아니기 때문에
환자분의 기호에 맞춰드렸습니다.
이렇게 불투명한 색은 미백으로는 거의 나올 수 없고
미백은 본인의 치아 자체에 하는 것이다 보니 한계가 있습니다.
라미네이트나 크라운 같은 붙이는 인공 보철이기 때문에 가능한 것이구요.
또한 환자분이 입을 벌렸을 때 보이는 앞니부터 작은 어금니까지 엄청 많은 치아를 쭉 하기를 원하셨기 때문에
치아 한두개만 하얗게 하면 튀겠지만
이분의 경우 여러개 다수 치아를 하기 때문에 하얗게 해도 치아 하나만 튀는 건 아니라서
환자분의 당부에 맞게 아주 하~얗게 만들어드렸습니다!
또한 크라운과 라미네이트의 재료가 다르다 보니 색을 거의 같게 맞추는 데에 한계가 있을 수 있는데
최대한 맞춰드렸습니다.
모양도 기존에 크라운만 튀던 모양에서 → 귀엽고 환자분의 이미지에 맞는 모양으로 만들었습니다.
기존의 윗니 크라운이 아랫니를 너무 많이 덮어서 어색해보이던 모습도 개선하였습니다.
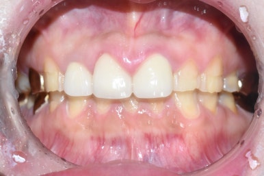
![[시청역/광화문] 부식된 노란치아. 정말 하얀, 새하얀 치아로 만들고 싶어요 비용도 알려드려요 관련 이미지 11](https://pub-9f2bb3498faf4d1d8714b41df24753e3.r2.dev/content/clinics/archive/rseeanjxfu/naver_blog/yonseiyegam/assets/by_hash/421b3d6ac6e455a64f6bbab255d2c01ee240b3e0862fd77d8899c46293ae3116.jpg)
전 후 사진
지금까지 시청역 연세예감치과에서 알아본
부식된 노란 치아를 새하얗게 하고 싶은 환자분의
크라운(기존 크라운 제거하고 다시 크라운)과 라미네이트 케이스
-총 16개-였습니다.
2026년 기준 서울 시청역 연세예감치과
라미네이트 가격:
치아 개당 65만원
2개이상 진행시 개당 55만원
라미네이트와 치아미백은 미용목적으로
법적인 부가세 10프로를 받도록 되어있습니다.
(1. 본 가격은 2개이상 부터 구강과 입주변 전후(위와 같은) 사진공개조건 가격입니다
2.사진공개를 원하지 않으시면, 개당 65만원에 진행가능합니다)
- 라미네이트 전 치과의사의 진단,상담이 필요합니다.
라미네이트 원하는 치아에 충치가 있는 경우
충치제거나 충치치료 후 라미네이트를 해야 할 수 있습니다.
- 라미네이트 제작기간은 대략 1개는 일주일,
2개이상은 8~10일 정도 입니다.)
라미네이트 이벤트 문의는
카톡예약과 문의 카카오톡채널 - 연세예감치과(클릭)
또는 카카오톡 아이디 ID: yonseiyegam 으로도 문의 가능합니다.
네이버예약 네이버 예약 클릭
또다른 라미네이트 케이스들
https://blog.naver.com/yonseiyegam/222496599283
지금까지 아름답고 건강한 치아를 만들기 위해
해외에서도 찾아오는
시청역 연세예감치과에서 알려드린
크라운과 부식된 치아의 라미네이트 케이스였습니다.
![[시청역/광화문] 부식된 노란치아. 정말 하얀, 새하얀 치아로 만들고 싶어요 비용도 알려드려요 관련 이미지 12](https://pub-9f2bb3498faf4d1d8714b41df24753e3.r2.dev/content/clinics/archive/rseeanjxfu/naver_blog/yonseiyegam/assets/by_hash/4f9b3b6f0456c7581c78c653b8c6a2592cb61d3bb6f5cdde303cdebb8bb49169.png)
![[시청역/광화문] 부식된 노란치아. 정말 하얀, 새하얀 치아로 만들고 싶어요 비용도 알려드려요 관련 이미지 13](https://pub-9f2bb3498faf4d1d8714b41df24753e3.r2.dev/content/clinics/archive/rseeanjxfu/naver_blog/yonseiyegam/assets/by_hash/e6d36ea6f5411c4a1ba5f6e4215876daffd1d9e4066d9fe23c9a5ee04e698a7b.png)
![[시청역/광화문] 부식된 노란치아. 정말 하얀, 새하얀 치아로 만들고 싶어요 비용도 알려드려요 관련 이미지 14](https://pub-9f2bb3498faf4d1d8714b41df24753e3.r2.dev/content/clinics/archive/rseeanjxfu/naver_blog/yonseiyegam/assets/by_hash/a149f8c823261633d393116aedda3002075a9685143bf9900b3f0ad0f5105a40.png)
![[시청역/광화문] 부식된 노란치아. 정말 하얀, 새하얀 치아로 만들고 싶어요 비용도 알려드려요 관련 이미지 15](https://pub-9f2bb3498faf4d1d8714b41df24753e3.r2.dev/content/clinics/archive/rseeanjxfu/naver_blog/yonseiyegam/assets/by_hash/ae2e01b05a6e89808fc49a751fc21b81e1fc88594311994be90917aa7c697844.png)
![[시청역/광화문] 부식된 노란치아. 정말 하얀, 새하얀 치아로 만들고 싶어요 비용도 알려드려요 관련 이미지 16](https://pub-9f2bb3498faf4d1d8714b41df24753e3.r2.dev/content/clinics/archive/rseeanjxfu/naver_blog/yonseiyegam/assets/by_hash/2d6a3d642e5df8520a7e2a80cf3e87de181fdacdff0f98a47b605c833a44cec3.png)
![[시청역/광화문] 부식된 노란치아. 정말 하얀, 새하얀 치아로 만들고 싶어요 비용도 알려드려요 관련 이미지 17](https://pub-9f2bb3498faf4d1d8714b41df24753e3.r2.dev/content/clinics/archive/rseeanjxfu/naver_blog/yonseiyegam/assets/by_hash/938024df345140748d7727b369ec85be8485219745e1a11f80efa6fb9000ba64.png)
![[시청역/광화문] 부식된 노란치아. 정말 하얀, 새하얀 치아로 만들고 싶어요 비용도 알려드려요 관련 이미지 18](https://pub-9f2bb3498faf4d1d8714b41df24753e3.r2.dev/content/clinics/archive/rseeanjxfu/naver_blog/yonseiyegam/assets/by_hash/e879659de166645399432119b662687bc231edb1cabed7717334a9f50dd718e2.png)
![[시청역/광화문] 부식된 노란치아. 정말 하얀, 새하얀 치아로 만들고 싶어요 비용도 알려드려요 관련 이미지 19](https://pub-9f2bb3498faf4d1d8714b41df24753e3.r2.dev/content/clinics/archive/rseeanjxfu/naver_blog/yonseiyegam/assets/by_hash/cead9a577b28c9043338e2f509a25a0f6fbd8119051e1be2643c589631b1ebaf.jpg)
![[시청역/광화문] 부식된 노란치아. 정말 하얀, 새하얀 치아로 만들고 싶어요 비용도 알려드려요 관련 이미지 20](https://pub-9f2bb3498faf4d1d8714b41df24753e3.r2.dev/content/clinics/archive/rseeanjxfu/naver_blog/yonseiyegam/assets/by_hash/5703555ae14080b2c538654efa2cfb98661c4c1edc6d7f632557d5e7073b6a7b.png)
더 보기
이 병원의 공개 콘텐츠를 계속 살펴보세요
출처 아카이브로 돌아가 더 많은 글을 보거나, 병원 프로필로 이동해 다른 공개 채널도 함께 비교해보세요.