연세예감치과(시청역)
시청역 광화문 최소절개 또는 비절개로 가능한 네비게이션 임플란트 유명한 치과 내비게이션소개드려요
안녕하세요 시청역 7번출구 삼성본관 맞은편에 위치한 시청역 연세예감치과입니다! 오늘은 임플란트를 해야하는 환자분들이 궁금해하시는 네비게이션 임플란트에 대해 알려드려요 겁이많거나 나이가 너무 많거나 기저질환이 있는 분들이 내비게이션 임플란트를 많이 찾으십니다. 실제로 저희 환자분의 사진인데요 잇몸을 쭉 절개하...
아카이브 요약
이 페이지의 역할
연세예감치과(시청역) Yonsei Yegam Dental Clinic ヨンセイェガム歯科의 네이버 블로그 원문을 보존한 아카이브 페이지입니다. 임플란트 카테고리의 시청역 광화문 최소절개 또는 비절개로 가능한 네비게이션 임플란트 유명한 치과 내비게이션소개드려요 글을 통해 병원의 한국어 정보 제공 방식과 진료 관련 안내 톤을 확인할 수 있습니다.
안녕하세요
시청역 7번출구 삼성본관 맞은편에 위치한
시청역 연세예감치과입니다!
오늘은 임플란트를 해야하는 환자분들이 궁금해하시는
네비게이션 임플란트에 대해 알려드려요
겁이많거나
나이가 너무 많거나
기저질환이 있는 분들이
내비게이션 임플란트를 많이 찾으십니다.
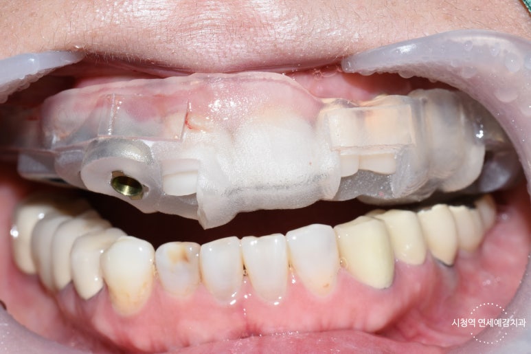
실제로 저희 환자분의 사진인데요
잇몸을 쭉 절개하지 않고 잇몸펀치만 사용하여 네이게이션을 통해
최소한의 구멍을 내어 임플란트를 진행하였습니다.

보통의 인플란트는 잇몸을 쭉 절개하여 잇몸을 젖혀서 뼈를 확인하고 그 뼈 중심에 임플란트 드릴을 이용하여
드릴작업을 하고 임플란트를 심게 되는데요
네비게이션 임플란트는 미리 찍은 ct와 환자 치아모형을 근거로 미리 각도, 써야하는 드릴 등이 다 정해져있어
네비게이션을 사용하듯이 쉽고 빠르게 종착점에 도달할 수 있습니다.
또한 미리 계획이 되어있기 때문에 굳이 뼈를 잇몸절개를 하여 확인하지 않아도 되므로
잇몸에 최소구멍만 내고도 잇몸절개없이 가능한 것입니다.

실제환자의 내비게이션 가이드 장착사진
따라서 최소구멍만 냈기 때문에
잇몸을 꿰맬 필요가 없습니다.

왼쪽은 절개 후 꿰맨 것을 나타낸 그림/ 오른쪽 사진은 네비게이션 임플란트로 최소구멍만 낸 것을 나타낸 그림

또한 아무리 뼈를 보고 심는다 해도 뼈의 밀도 등등 각종 상황에 따라 임플란트가 잘못된 각도로 식립 될 수 있지만
네비게이션 임플란트는 모의시술대로 각도를 제대로 맞출 수 있어
시술 오차 가능성이 적습니다.

아래는 실제 저희 시청역 연세예감치과에서
네비게이션 임플란트 이미 실제로 시행한 환자분들의
기존 모의시술 계획 사진입니다.











네비게이션 임플란트, 이런 분들께 추천드립니다.
체크해보세요!

지금까지 시청역 7번출구
해외에서도 환자들이 찾아오는 연세예감치과에서 알려드린 ,
임플란트 수술 중
네비게이션을 이용한 임플란트였습니다.










아프지않은 임플란트 수술을 추구합니다!

더 보기
이 병원의 공개 콘텐츠를 계속 살펴보세요
출처 아카이브로 돌아가 더 많은 글을 보거나, 병원 프로필로 이동해 다른 공개 채널도 함께 비교해보세요.