아카이브 요약
이 페이지의 역할
연세예감치과의원의 네이버 블로그 원문을 보존한 아카이브 페이지입니다. 임플란트 카테고리의 오래된 임플란트가 흔들려요 인플란트 재수술도 서울역가까운치과 연세예감치과 글을 통해 병원의 한국어 정보 제공 방식과 진료 관련 안내 톤을 확인할 수 있습니다.
원문 검증
필요하면 원문 블로그와 병원 프로필로 바로 이동해 문맥을 다시 확인할 수 있습니다.
출처 아카이브 열기아카이브된 블로그 글
연세예감치과의원 · Naver Blog
안녕하세요 시청역7번출구 삼성본관 맞은편에 위치한 시청역 연세예감치과입니다! 서울역에서도 지하철1정거장에 위치하여 지방에서도 오기 편한 위치입니다. 오늘은 임플란트 하고 시간이 지나서 오래전에 한 임플란트 픽스쳐(뿌리부분)이 흔들려서 또는 염증이 생겨서 재수술을 저희 연세예감치과에서 시행한 케이스를 알려드리려고 합...
게시일
2023년 8월 14일
원문 기준으로 확인된 발행일입니다.
카테고리
임플란트
원문 블로그 카테고리를 정리해 함께 표시합니다.
이미지 수
23
현재 아카이브에 연결된 이미지 수입니다.
아카이브 요약
연세예감치과의원의 네이버 블로그 원문을 보존한 아카이브 페이지입니다. 임플란트 카테고리의 오래된 임플란트가 흔들려요 인플란트 재수술도 서울역가까운치과 연세예감치과 글을 통해 병원의 한국어 정보 제공 방식과 진료 관련 안내 톤을 확인할 수 있습니다.
원문 검증
필요하면 원문 블로그와 병원 프로필로 바로 이동해 문맥을 다시 확인할 수 있습니다.
출처 아카이브 열기안녕하세요 시청역7번출구
삼성본관 맞은편에 위치한
시청역 연세예감치과입니다!
서울역에서도 지하철1정거장에 위치하여
지방에서도 오기 편한 위치입니다.
오늘은
임플란트 하고 시간이 지나서 오래전에 한 임플란트 픽스쳐(뿌리부분)이 흔들려서
또는 염증이 생겨서
재수술을 저희 연세예감치과에서 시행한 케이스를 알려드리려고 합니다.
어려운 임플란트 수술도 가능한 서울 시청역 연세예감치과입니다.
[환자분의 동의를 얻은 사진만 게시합니다]

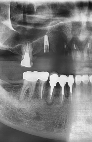
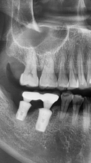
원장님 아버지 케이스입니다[!]
원장님이 해외에서 공부중일 때 다른 치과에서 임플란트를 여러개 하셨는데요
빨간색 화살표로 표시한 부분의 인플란트 주변 뼈가 녹아서 임플란트가 흔들리는 상태였습니다.
화살표 부위 치아 외에 뒤에 치아가 원래 하나더 있어야 개수가 맞기 때문에
임플란트 2개를 더 있어야하는데
아마 고난도의 상악동 거상술이 필요해서 다른 치과에서 임플란트를 뼈가 그나마 있는 화살표 부분에만 심었던 것 같습니다.

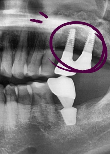
간단한 상악동 수술이 아니라 복잡한 고난이도의 상악동 수술이 필요했는데
상악동을 들어올려 뼈이식을 하고(노란색으로 표시된 부분)
임플란트 2개를 심은 모습입니다. [②로 표시된 부분]
나머지 ①③ 표시된 부분도 원장님께 임플란트 수술을 받으셨습니다.
④로 표시된 부분은 사랑니 발치한 부분입니다.

원장님께 수술 받은 3군데 임플란트 5개 모두 잘 쓰고 계십니다.
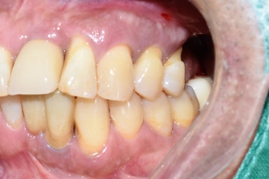
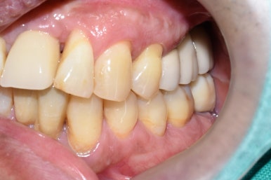
2."임플란트 뿌리부분이 쓰다보니 찢어져서 머리부분도 빠져버렸어요."




전 후 사진


흔들리는 옆 치아와 흔들리는 임플란트를 제거하고 임플란트2개와 임플란트 브릿지로 마무리
흔들리는 옆 치아1개와 흔들리는 임플란트2개를 제거하고
3개의 자리를 임플란트2개와 가짜머리1개가 있는 임플란트 브릿지로
3개의 자리를 마무리하였습니다.





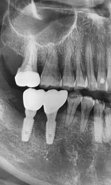
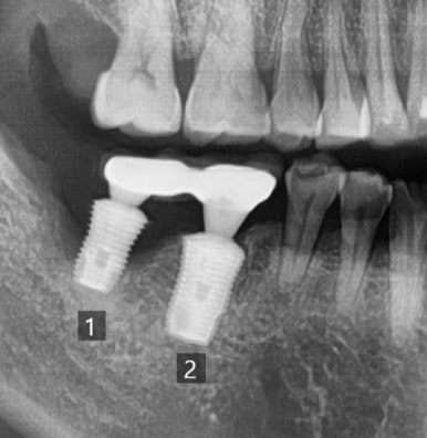
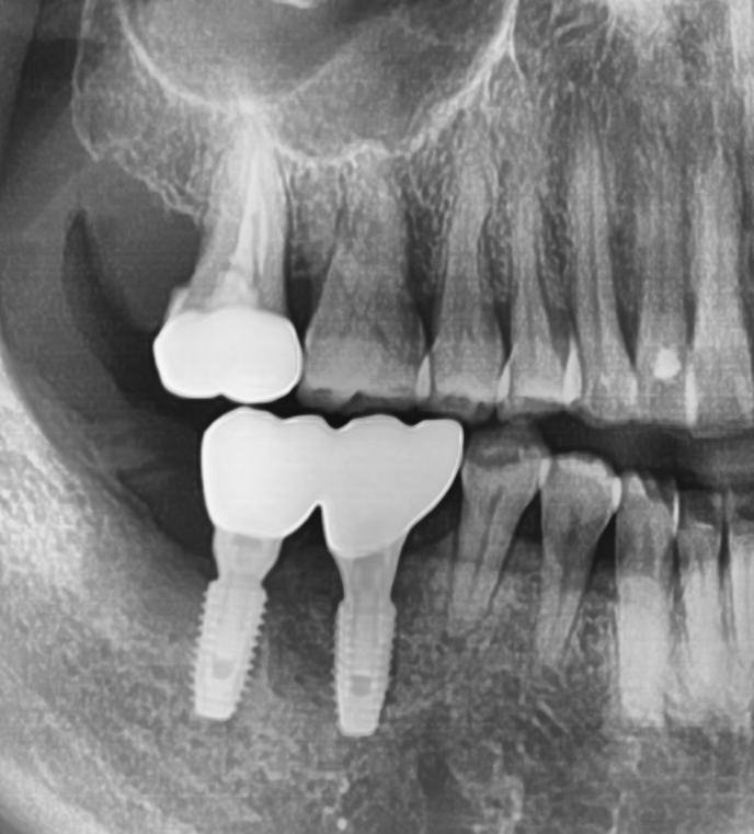
1.흔들리던 임플란트 2. 임플란트 제거 후 3.임플란트 재수술 후


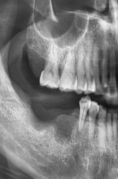
다른치과에서 몇년전에 한 인플란트가 흔들리고 붓는다고 온 분이었습니다.
그림에 1로 표시한 부분은 임플란트 주변을 감싸는 뼈가 많이 녹아서 흔들리고
2로 표시한 치아는 중간 연결고리나사가 부러져서 임플란트 머리도 같이 흔들리는 상태였습니다.
1과 2 임플란트 모두 제거하고
새로 임플란트를 심어 완성하였습니다.

지금까지 임플란트 재수술도 가능한
서울 시청역 연세예감치과에서 알려드린
임플란트 재수술 케이스였습니다!




해외 치과의사도 찾아오는 서울 시청역 연세예감치과


서울시 인증 서울특별시 의료관광 협력기관