연세예감치과(시청역)
시청역 충정로 충치치료 치과 추천
안녕하세요 해외에서도 건강한 치아와 아름다운 미소를 위해 찾아오는 서울의 중심에 위치한 시청역 연세예감치과입니다. 시청역 7번출구에서 직진 도보 3분 삼성본관빌딩 바로 맞은편에 위치합니다. 시청역에 위치하여 광화문, 명동, 서울역, 충정로 등 서울 어디에서도 오기 편합니다! 오늘은 충치치료의 기본(?)에 대해서...
아카이브 요약
이 페이지의 역할
연세예감치과(시청역) Yonsei Yegam Dental Clinic ヨンセイェガム歯科의 네이버 블로그 원문을 보존한 아카이브 페이지입니다. 충치치료 카테고리의 시청역 충정로 충치치료 치과 추천 글을 통해 병원의 한국어 정보 제공 방식과 진료 관련 안내 톤을 확인할 수 있습니다.
안녕하세요
해외에서도 건강한 치아와 아름다운 미소를 위해 찾아오는
서울의 중심에 위치한
시청역 연세예감치과입니다.
시청역 7번출구에서 직진 도보 3분
삼성본관빌딩 바로 맞은편에 위치합니다.
시청역에 위치하여 광화문, 명동, 서울역, 충정로 등 서울 어디에서도 오기 편합니다!
오늘은 충치치료의 기본(?)에 대해서 알아보겠습니다.
충치치료의 단계는 어떤 것들이 있으며
흔히 충치치료로 사용하는 방법에는 어떤 치료 방법들이 있는지
쉽게 설명해드릴게요
[본 예시 사진들은
연세예감치과에서 환자분의 공개 동의를 얻은 사진입니다.]
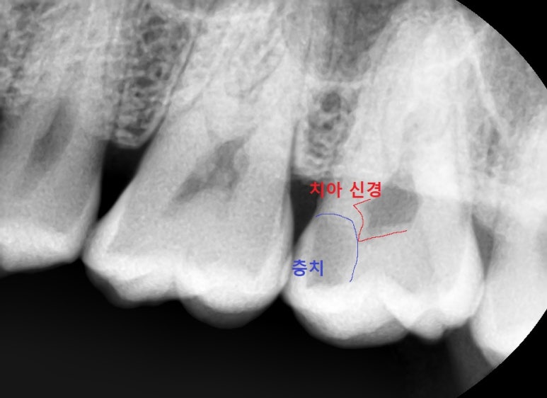
충치치료의 검진


충치검진에 엑스레이 사진은 필수입니다.
치아는 겉에서부터 썩는 경우도 있지만
속에서 썩어있는 경우도 많기 때문입니다.
겉에서 멀쩡하고 속에서 썩은 경우가 더 문제가 될 확률이 많습니다.
겉에서 보는 검진만 하고 엑스레이를 찍지 않는다면 수박겉핥기식 검진이 될 수 있겠죠.


같은 치아의 전후 사진입니다.
위 사진을 보면 왼쪽사진에서 겉에서 보이는 충치가 있고
겉에서는 보이지 않고 엑스레이 상에서만 보이는 충치가 있었는데
실제로 치아를 파보면 같은 깊이를 팠을 때 겉에서 보이던 충치의 깊이보다
겉에서 안보이던 충치가 훨씬 더 깊고 상태가 심각함을 볼 수 있습니다.
그래서 먼저 충치검진을 하러오면 전반적으로 보는 파노라마 엑스레이와 치과의사선생님의 시진을 하게됩니다.
보통 충치의 크기나 범위에 따라
레진 → 인레이 → 크라운 → 신경치료+크라운 의 단계로 간다고 생각하시면 됩니다.
레진치료
충치가 있는 부분을 파내고 그 부분을 하얀색인 레진재료로 때우게 됩니다.


레진치료 전후
인레이
보통 치아 안쪽 상아질까지 충치가 진행되거나 충치부위가 레진으로 하기에는 넓고 깊은 경우에
인레이를 진행하게 됩니다.
인레이 재료로는 금인레이, 세라믹(이맥스)인레이 등이 있습니다.
예전에는 금인레이를 많이 사용했으나 요즘에는 치아색인 세라믹 인레이도 흔히 사용되고 있어서
금색이 보일까봐 걱정하지 않으셔도 됩니다.
저희 연세예감치과의 경우 보통은 치아색인 세라믹 인레이로 많이 진행하시는데
재료가 가진 장점과 단점이 있고 각 치아마다 상태와 케이스가 다르기 때문에 치과의사의 진단하에
적절한 재료로 진행하여야 합니다.
또한 기존에 아말감치료를 오래전에 했다가
치아색으로 교체를 원하는 경우 보통 아말감치료는 크기가 큰 경우가 많아서
레진보다는 세라믹인레이로 진행하게 되고
아주 크기가 큰 경우 또는 아말감 주위로 광범위하게 충치가 있는경우는 크라운으로 진행하게 되기도 합니다.


기존 오래된 아말감을 치아색깔이 나는 세라믹 인레이로 교체
크라운 치료
치아 전반적으로 충치가 광범위한 경우
또는 다른 재료들로 충치치료를 했을 때 치아 남는 부위가 거의 없어
치아가 깨질 위험이 더 크다고 판단되는 경우
크라운으로 진행을 합니다.
크라운은 잇몸위 치아 머리부분을 전반적으로 깎아서 모자를 씌우듯 씌우는 치료라고 생각하시면 됩니다.
크라운 재료는 흔히 쓰이는 재료로
금크라운(골드크라운), 지르코니아 크라운, PFM(메탈위에 도자기를 올린) 크라운 등이 있는데
요즘 흔히 지르코니아 크라운을 많이 사용하고 있습니다.
지르코니아 크라운은 치아색과 유사하면서도 강도가 좋아서
요즘 대부분 많은 치과에서 크라운을 지르코니아 크라운으로 진행합니다.


겉에서 보면 조금 깨진 것처럼 보이지만 엑스레이 상에서 아주 많이 썩어서 신경치료 후 지르코니아 크라운 진행


깨지고 마모된 치아를 지르코니아 크라운으로.
신경치료
충치가 매우 심한 경우 신경치료를 진행하게 됩니다.

충치가 엑스레이상 치아신경과 맞닿아있는 경우
충치를 제거해보면 치아신경이 노출되는 경우가 많아
신경치료를 들어가게 되는 경우가 많습니다.
신경치료 후에는 신경치료하기 위해 치아머리를 뚫은 부분을 메운 후에
치아를 깎아서 대부분 크라운으로 씌우게 됩니다.
신경치료 후 크라운을 해야한다고 진단받았는데도 불구하고
환자분이 크라운을 씌우지 않는 경우에는
치아가 쪼개져서 발치를 해야하는 수순으로 가는 경우가 많습니다.

쪼개져서 발치해야하는 치아
발치
매우 상태가 안좋은 경우는 발치까지 가기도 합니다.

머리부분은 없고 뿌리만 남은 치아
위 사진처럼 머리부분이 없고 뿌리만 남은 치아는 살리기 힘들고
발치 후 임플란트를 하셔야 한다고 생각하셔야 합니다.
머리가 어느정도는 있어야 그 부분을 깎아서 크라운을 씌우든 할 수가 있는데
이렇게 머리가 거의 없으면 치아머리를 수복하여 정상적인 기능을 하게 만들기 힘듭니다.
따라서 발치 후 임플란트의 과정을 가게 됩니다.
지금까지 서울역 시청역 연세예감치과에서
충치치료에 대해 알아보았습니다.
환자분들의 궁금증이 많이 해결되었으면 좋겠습니다!













시청역 연세예감치과
치과 치료, 미루지 말고
올바른 검진과 적절한 치료를 통해서 치아 건강 유지하세요!
더 보기
이 병원의 공개 콘텐츠를 계속 살펴보세요
출처 아카이브로 돌아가 더 많은 글을 보거나, 병원 프로필로 이동해 다른 공개 채널도 함께 비교해보세요.