연세예감치과(시청역)
앞니 여러개 임플란트 잘하는 치과 서울역치과 실제사진
안녕하세요 시청역 7번출구 삼성본관 바로 맞은편에 위치한 시청역 연세예감치과입니다. 서울역과 시청역이 지하철 한정거장이기 때문에 지방에서도 서울역을 통해 오시기 쉽습니다. 오늘은 환자분들이 많이 고민하시는 앞니 임플란트에 대해 저희 서울 시청역 연세예감치과에서 직접 시술한 환자분의 사례를 통해서 알려드리려고...
아카이브 요약
이 페이지의 역할
연세예감치과(시청역) Yonsei Yegam Dental Clinic ヨンセイェガム歯科의 네이버 블로그 원문을 보존한 아카이브 페이지입니다. 임플란트 카테고리의 앞니 여러개 임플란트 잘하는 치과 서울역치과 실제사진 글을 통해 병원의 한국어 정보 제공 방식과 진료 관련 안내 톤을 확인할 수 있습니다.
안녕하세요
시청역 7번출구 삼성본관 바로 맞은편에 위치한
시청역 연세예감치과입니다.
서울역과 시청역이 지하철 한정거장이기 때문에
지방에서도 서울역을 통해 오시기 쉽습니다.
오늘은 환자분들이 많이 고민하시는 앞니 임플란트에 대해
저희 서울 시청역 연세예감치과에서 직접 시술한 환자분의 사례를 통해서 알려드리려고 합니다.
[환자분의 동의를 얻은 사진만 게시합니다]
긴 브릿지가 흔들려서 임플란트를 하게 된 케이스

치료 전
어금니부터 일부 앞니까지 연결된 긴 브릿지가 흔들려서 임플란트를 하게 된 케이스




임플란트 완성

치료 후 사진: 일부 임플란트가 보이는 상태
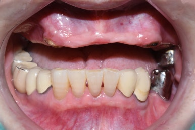
앞니 브릿지가 흔들거리고 빠져요

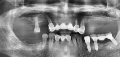
처음 오셨을 때 상태
앞니 뿌리쪽까지 많이 썩어서 삭아 들어가서
앞니 브릿지가 붙을 곳이 없어서 흔들거리고 빠져서 온 상태입니다.
어금니쪽도 다른데서 한 임플란트가 찢어져서 임플란트 머리를 못 올린 상태였고
어금니도 몇 개 상실한 상태입니다.



치료전( 앞니 브릿지 떨어져서 덜렁이는 상태, 다른 곳에서 임플란트 찢어져 실패해서 잇몸에 묻혀진 상태)
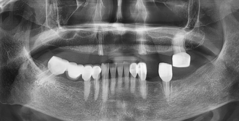
어금니 타치과에서 실패한 인플란트(찢어져 있어서 임플란트 머리를 올리지 못한 상태)는 제거하고
어금니 빈 곳에 임플란트를 3개 심고 머리는 4개 만들어 어금니 4개 완성
및 앞니부위에는 기존 흔들리고 덜렁거리는 앞니 브릿지 제거하고
썩은 뿌리로 인한 염증치아의 썩은 뿌리만 남은 것 발치 후
앞니용 얇은 임플란트를 식립하였습니다.


네비게이션 임플란트를 사용하여 적절한 간격과 각도를 유지하였고
특히 앞니의 경우 뼈가 매우 얇았으나 내비게이션을 사용하여
뼈가 얇아도 뼈를 뚫고 나갈 위험이 없이 적절한 뼈 위치에 임플란트를 식립하였습니다.


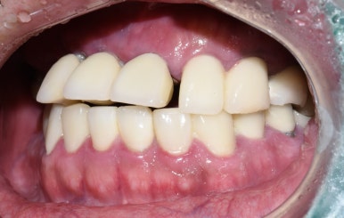
어금니 임플란트 완성 및 임플란트 치료중 사진 (왼) / 완성 후 사진(오른쪽)
어금니 임플란트가 완성된 모습(왼쪽) 및 앞니 임플란트 진행중인 사진과
완성된 사진

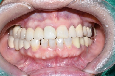
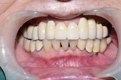
기존의 다른 치아와 다른 임플란트, 보철물과 조화를 이루는 앞니 임플란트
완성된 입안에서의 모습 사진입니다.

기존의 다른 치아와 다른 임플란트, 보철물과 조화를 이루는 앞니 임플란트
화살표 표시한 부분내의 치아가 이번에 진행한 임플란트입니다.
앞니 브릿지가 많이 흔들려요. 어금니도 없어요


치료 전
앞니 브릿지가 많이 흔들려요. 어금니도 없어요 라고 말씀하시며 온 환자분입니다.
앞니 뿌리 주변에 뼈가 뿌리를 지탱해주지 못해서 앞니는 흔들리는 상태여서
발치 후 임플란트를 진행하였습니다.


임플란트로 치료 후 사진 (윗니는 모두 전체임플란트)
위에 틀니를 끼고 있는데 불편해서 임플란트를 하고 싶어요

치료전: 위쪽 앞니 치아머리는 하나도 없는 상태
위쪽 앞니 치아머리는 하나도 없는 상태로 어금니 하나에 지탱하여 틀니를 착용하는 상태였으나
오래된 틀니가 너무 불편해서 고정된 임플란트를 원하고 계셨습니다.



임플란트 전후

보이는 윗니는 전체 임플란트인 상태
위 사진에서 보이는 윗니는 전체 임플란트인 상태로
자연스럽게 진행되었습니다.
지금까지 시청역연세예감치과에서 알아본
앞니 임플란트 여러개 실제 사례였습니다!









더 보기
이 병원의 공개 콘텐츠를 계속 살펴보세요
출처 아카이브로 돌아가 더 많은 글을 보거나, 병원 프로필로 이동해 다른 공개 채널도 함께 비교해보세요.