연세예감치과(시청역)
서울 중구 치과/이가 하나도 없는 환자의 치료방법/틀니, 풀아치임플란트, 전체 임플란트 등
환자의 동의를 받은 사진만 게시합니다. 안녕하세요 서울의 중심 서울 중구 시청역 7번출구에서 직진 도보3분거리에 위치한 연세예감치과입니다! 삼성본관빌딩 바로 맞은편에 위치하고 있으며 서울역에서도 지하철 한정거장 거리입니다. 어르신들 중에, 혹은 젊은 분들 가운데서도 이가 하나도 없는 분들이 있습니다. 오랜기간동...
아카이브 요약
이 페이지의 역할
연세예감치과(시청역) Yonsei Yegam Dental Clinic ヨンセイェガム歯科의 네이버 블로그 원문을 보존한 아카이브 페이지입니다. 임플란트 카테고리의 서울 중구 치과/이가 하나도 없는 환자의 치료방법/틀니, 풀아치임플란트, 전체 임플란트 등 글을 통해 병원의 한국어 정보 제공 방식과 진료 관련 안내 톤을 확인할 수 있습니다.

환자의 동의를 받은 사진만 게시합니다.
안녕하세요
서울의 중심
서울 중구 시청역 7번출구에서 직진 도보3분거리에 위치한
연세예감치과입니다!
삼성본관빌딩 바로 맞은편에 위치하고 있으며
서울역에서도 지하철 한정거장 거리입니다.
어르신들 중에, 혹은 젊은 분들 가운데서도
이가 하나도 없는 분들이 있습니다.
오랜기간동안 틀니를 사용하신 분들도 있고
혹은 틀니조차 없이 잇몸으로 식사를 해오신 분들도 간혹 있습니다.
이렇게 치아가 하나도 없는 환자분들의 치료,
저희 시청역 연세예감치과에서 진행된
실제사례를 통해 어떻게 진행되는지 알아보겠습니다.
- 틀니






틀니 끼기 전 후 사진. 틀니 후에 입술도 더 빵빵해지고 코 밑에 볼륨감이 살아나게 해 드렸습니다.
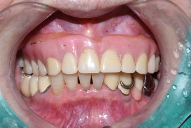
가장 오래된 방법인 틀니입니다.
이가 하나도 없던 위 환자분의 경우
틀니 후에 입술도 더 빵빵해지고 코 밑에 볼륨감이 살아나게 해 드렸습니다.
틀니는 새로 나온 다른 치료법들보다 환자분의 불편감이 심한데요
잘 적응하셔서 쓰는 분도 많지만
틀니는 인체에 붙이는 것이 아니라
뺐다가 꼈다가 하는 구조이며 부피감이 있기 때문에
이물감과 씹을 때마다 틀니가 미세하게 움직이므로
잇몸이 눌려서 잇몸통증이 있을 수 있습니다.
따라서 요새는 전체 임플란트 등을 많이 하는 추세입니다.
- 전체 임플란트
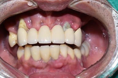
- 오랫동안 틀니를 끼던 환자분의 상악 전체 임플란트



치료 전- 오래된 틀니 낀 상태 - 상악 전체 임플란트를 한 상태

- 앞니 브릿지와 치아들이 많이 흔들려서 상악 전체 발치 후
상악 전체 임플란트



치료 전 - 발치 후 임플란트 -임플란트 완성 후(상악 전체 임플란트)

네비게이션 임플란트를 사용하여
더 정확한 위치에 많은 개수의 임플란트를 보다 빠르게 심을 수 있습니다.

- 풀아치 임플란트 또는 임플란트틀니
전체 치아가 없어도
위 아래 각각 4-6개의 최소개수의 임플란트로 틀니를 움직이지 않게 고정하는 방식.
틀니의 움직이는 단점을 보완하면서
전체 임플란트를 하기에는 비용이 부담스러운 분들을 위한 방식입니다.


틀니 없이 찍은 치아 없는 사진. 틀니사진
위 사진의 경우
틀니가 자꾸 벗겨지는 환자분에게서
임플란트 틀니 형태로 임플란트를 최소개수로 심어
기존 틀니가 벗겨지지 않게 수정해 드렸습니다.
지금까지 시청역 연세예감치과에서
치아가 하나도 없는 환자분의 경우
어떤 방법을 사용하여 치료하는지 알려드렸습니다.
더 보기
이 병원의 공개 콘텐츠를 계속 살펴보세요
출처 아카이브로 돌아가 더 많은 글을 보거나, 병원 프로필로 이동해 다른 공개 채널도 함께 비교해보세요.