연세예감치과(시청역)
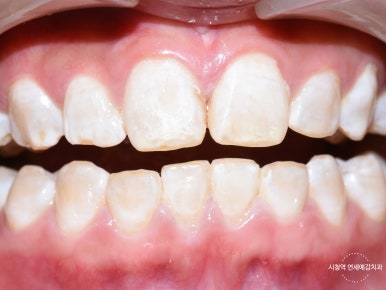
서울시청역 앞니 치아에 갈색 점, 흰색점 치료 전후
안녕하세요 서울시청역 7번출구 직진 도보3분에 위치한 연세예감치과입니다. 삼성본관빌딩 바로 맞은편에 위치하고 있습니다. 치아미백을 하면 없어지는 줄 알고 치아미백을 하겠다고 오는 경우가 많으신데요 이런 갈색점, 흰색점은 미백으로 없어지는 것이 아닙니다. 오히려 치아미백으로 이 점들이 더 티가 날 수 있습니다. 일반...
아카이브 요약
이 페이지의 역할
연세예감치과(시청역) Yonsei Yegam Dental Clinic ヨンセイェガム歯科의 네이버 블로그 원문을 보존한 아카이브 페이지입니다. 충치치료 카테고리의 서울시청역 앞니 치아에 갈색 점, 흰색점 치료 전후 글을 통해 병원의 한국어 정보 제공 방식과 진료 관련 안내 톤을 확인할 수 있습니다.
안녕하세요
서울시청역 7번출구 직진 도보3분에 위치한
연세예감치과입니다.
삼성본관빌딩 바로 맞은편에 위치하고 있습니다.

치아미백을 하면 없어지는 줄 알고 치아미백을 하겠다고 오는 경우가 많으신데요
이런 갈색점, 흰색점은 미백으로 없어지는 것이 아닙니다.
오히려 치아미백으로 이 점들이 더 티가 날 수 있습니다.
일반 분들이 이 점을 구별하기는 쉽지 않은데요
반드시 치과의사의 검진을 거쳐서 상담을 받으셔야 합니다.
그렇다면 이 치아의 점들!! 갈색점, 흰색점은 뭔지 간략하게 알아보겠습니다.
1.커피나 담배 등으로 인한 착색인 경우

치아착색
커피나 담배때문에 때가 낀 것처럼 치아에 갈색점이 보이는 착색을
갈색점이라고 표현하시는 분들이 계신데요,
이것은 치과기구로 착색제거를 하면 충치치료보다는 비교적 간단하게 제거됩니다.
물론 범위가 크면 제거하는데는 시간이 많이 걸리겠지요
그리고 담배나 커피를 하지 않는 어린이에서도 까맣게 착색된 것을 볼 수 있는데
특정세균총을 가진 경우에 그런 착색이 발생할 수 있습니다.
위와 같은 착색이 아닌 다른 갈색점은 충치일 수 있는데요
치과의사가 아닌 일반 분들이 판단하기 쉽지 않습니다.
따라서 본인이 가진 갈색점이 착색인지 충치인지 꼭 치과에서 치과의사의 진단을 받아야 합니다.
특히 치아가 선천적으로 약한 분(법랑질 저형성증 등) 의 경우 충치인 갈색점이 더욱 쉽게 생기는 경향이 있습니다.

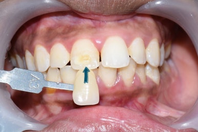
- 충치로 인한 갈색점 치료 사례
단순히 색이 갈색이 아니라 구멍처럼 치과기구로 걸리는 갈색 충치를
레진으로 치료한 사례입니다.


충치치료 전후 (레진)


충치치료(레진) 후 미백
- 화이트스팟 (반점치), 백색반점
치아 교정이 끝나고 나서 브라켓을 떼고 난 후에 치면에 흰색반점이 생겨서 고민하는 분들이나
교정을 하지 않았는데도 영구치가 날 때 부터 치아에 불투명한 흰색점이 있어서 고민하는 분들이 많습니다.
특히 앞니에 이런 흰색점이 있으면 웃을 때마다 보여서 남녀불문하고 스트레스를 받는 분들이 많습니다.
아래 사진은 저희 치과에서 반점치 화이트스팟을 레진으로 바로 치료한 전후사진 사례입니다.


화이트 스팟 치료 전후


화이트스팟 치료 전후
저희 치과가 외국인들에게 미백으로 유명하다 보니
외국인들 중에 화이트스팟을 치아미백으로 없애보겠다고 오셔서 문의하는 분들이 많으신데요
오히려 화이트스팟은 불투명하기 때문에 치아미백으로 치아가 밝아지면 더 티가 나는 경우가 많습니다.
따라서 치과의사선생님과 반드시 상의 후 어떤 치료방법으로 진행할 지 선택해야합니다.
지금까지 환자분들이 많이 질문하시는
치아의 점들 그 중 갈색점과 흰색점에 대해 알아보았습니다.
특히 이런 점들이 앞니에 있어서 남들에게 보이는 상태면
환자분들은 굉장히 스트레스를 많이 받으시는데요!
케이스가 각각 다르고 치료방법이 상이하니
꼭 치과에서 치과의사에게 진단을 받아보시길 권합니다.
https://blog.naver.com/yonseiyegam/223091470590
https://blog.naver.com/yonseiyegam/223108530323
지금까지 해외에서도 건강하고 아름다운 치아를 위해 찾아오는
서울 시청역 연세예감치과에서 알려드린
치아의 갈색점, 흰색점과 치료방법사례였습니다.









질문사항 있으시면
카톡 상담도 가능합니다.
카톡 플러스채널 클릭 : 시청역 연세예감치과 카카오톡채널 상담클릭
더 보기
이 병원의 공개 콘텐츠를 계속 살펴보세요
출처 아카이브로 돌아가 더 많은 글을 보거나, 병원 프로필로 이동해 다른 공개 채널도 함께 비교해보세요.