연세예감치과(시청역)
서울 시청역/서울역/ 벌어진 앞니, 왜소치 라미네이트 유명한 치과/ 전후 비교와 가격
벌어진 앞니 라미네이트 유명한 치과 시청역 연세예감치과입니다. 연세예감치과는 시청역 7번출구 삼성본관빌딩 바로 맞은편에 위치하여 주변 기업 임직원들이 많이 방문하며, 외국인들도 아름다운 앞니를 위해 많이 방문하기로 기사도 난 유명한 치과입니다. 오늘은 왜소치 또는 모양이 특이해서 벌어진, 사이사이에 틈이 있는 앞니...
아카이브 요약
이 페이지의 역할
연세예감치과(시청역) Yonsei Yegam Dental Clinic ヨンセイェガム歯科의 네이버 블로그 원문을 보존한 아카이브 페이지입니다. 치아성형 카테고리의 서울 시청역/서울역/ 벌어진 앞니, 왜소치 라미네이트 유명한 치과/ 전후 비교와 가격 글을 통해 병원의 한국어 정보 제공 방식과 진료 관련 안내 톤을 확인할 수 있습니다.
벌어진 앞니 라미네이트 유명한 치과
시청역 연세예감치과입니다.
연세예감치과는
시청역 7번출구
삼성본관빌딩 바로 맞은편에 위치하여
주변 기업 임직원들이 많이 방문하며,
외국인들도 아름다운 앞니를 위해 많이 방문하기로
기사도 난 유명한 치과입니다.
오늘은 왜소치 또는 모양이 특이해서 벌어진,
사이사이에 틈이 있는 앞니의 최소삭제 및 무삭제 라미네이트에 대해 알아보겠습니다.



[환자분이 동의한 사진만 공개합니다!]
환자분은 치아 모양이 일반적이지 않아
치아 사이 빈 공간이 많이 보이는 스타일이었습니다.
이쁘신 환자분께서 치아가 이러면 마음껏 치아를 드러내고 웃지도 못하고
참 안타까워요!

환자분께서는 라미네이트를 자연스러운 치아 색으로 하되
위의 몇개만 하기 때문에 다른 치아와 잘 어우러지면서도
약간은 밝아지는 치아 색을 원하셨습니다.
송곳니가 약간은 뻐드러진 형태를 가지고 있었기 때문에
튀어나온 부분은 살짝 다듬고 위 치아6개에 라미네이트를 하기로 하였습니다.


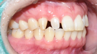
왜소치로 인한 빈 공간
치료 전 사진을 보시면 왜소치로 인해 옆에서 볼 때
빈틈이 엄청 많이 보입니다.
이정도면 다른 사람들과 옆자리에 앉아 대화할 때 까만 틈이 굉장히 많이 보이죠



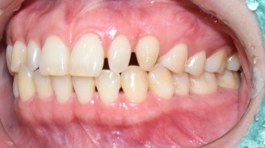
처음 - 4개만 붙인상태- 6개까지 붙인상태입니다.

6개를 같은 날 붙였는데
비교를 위해 우선 4개만 붙이고 사진을 찍어보았습니다.

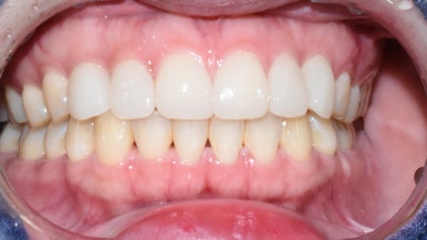
6개의 라미네이트 완성 상태

라미네이트 옆모습
환자분이 굉장히 만족하셨고
치아 튀어나온 부분만 깎았고, 거의 무삭제로 진행해서
시림 증상도 없었습니다.
-
본 뜨고,
-
라미네이트 완성 후 붙이고
단 두번의 내원으로 평생 컴플렉스가 해결되는 경우가 많습니다.
충치가 없는 치아에 보철물을 붙이는 건 신중해야 하지만,
왜소치, 치아 빈틈으로
남들 앞에서 말하거나 웃을 수도 없을 만큼 스트레스나 컴플렉스를 겪는 경우에
라미네이트를 하여 그러한 정신적인 컴플렉스나 스트레스를 극복한다면
그것 또한 행복하게 사는 삶에 중요한 일이 아닐까요?
저희 연세예감치과는
라미네이트의 부착과 교합조정을 치과의사가 직접 시행합니다.
라미네이트 같은 보철물의 부착과 교합조정은 법적으로 치과의사가 직접 하여야 합니다.
라미네이트는 크라운보다 매우 얇고
얇아서 본인 치아색이 비쳐보일 수 있으므로
라미네이트 경험이 많은 치과의사와의 상담이 필요합니다.
2026년 기준 서울 시청역 연세예감치과
라미네이트 가격:
치아 개당 65만원
2개이상 진행시 개당 50만원
라미네이트와 치아미백은 미용목적으로
법적인 부가세 10프로를 받도록 되어있습니다.
(1. 본 가격은 2개이상 부터 구강과 입주변 전후(위와 같은) 사진공개조건 가격입니다
2.사진공개를 원하지 않으시면, 개당 65만원에 진행가능합니다)
- 라미네이트 전 파노라마를 포함한 치과의사의 진단,상담이 필요합니다.
라미네이트 원하는 치아에 충치가 있는 경우
충치제거나 충치치료 후 라미네이트를 해야 할 수 있습니다.
- 라미네이트 제작기간은 대략 1개는 일주일,
2개이상은 8~10일 정도 입니다.)
라미네이트 이벤트 문의는
카톡예약과 문의 카카오톡채널 - 연세예감치과(클릭)
또는 카카오톡 아이디 ID: yonseiyegam 으로도 문의 가능합니다.
네이버예약 네이버 예약 클릭
지금까지
해외에서도 아름다운 치아와 건강한 치아를 만들기 위해
외국에서도 치료받고 싶어 찾는
서울 시청역 연세예감치과에서 알려드린
앞니 치아 빈틈이 심한 경우를 위한
무삭제와 최소삭제 라미네이트 였습니다.
또 다른 여러 라미네이트 케이스들 ↓
https://blog.naver.com/yonseiyegam/223140007242








카톡 문의: 아이디로 친구추가 후 문의시 ID: yonseiyegam 로 아이디 검색
또는 카톡채널 - 연세예감치과(←클릭)으로 문의 및 예약도 가능합니다.
더 보기
이 병원의 공개 콘텐츠를 계속 살펴보세요
출처 아카이브로 돌아가 더 많은 글을 보거나, 병원 프로필로 이동해 다른 공개 채널도 함께 비교해보세요.