연세예감치과(시청역)
서울시청역 남대문 임플란트 대신에 앞니 브릿지를 한 케이스
안녕하세요 시청역 7번출구 삼성본관 바로 맞은편에 위치한 시청역 연세예감치과입니다! 남대문과 시청역 사이에 위치하여 많은 시청역 직장인분들이 이용해주고 계십니다. 많은 분들이 치아가 빠지거나 살리지 못할 정도로 썩어서 임플란트를 생각하고 계시고, 요즘은 임플란트가 흔하게 시행되는데요 오늘은 임플란트 대신에 치아...
아카이브 요약
이 페이지의 역할
연세예감치과(시청역) Yonsei Yegam Dental Clinic ヨンセイェガム歯科의 네이버 블로그 원문을 보존한 아카이브 페이지입니다. 충치치료 카테고리의 서울시청역 남대문 임플란트 대신에 앞니 브릿지를 한 케이스 글을 통해 병원의 한국어 정보 제공 방식과 진료 관련 안내 톤을 확인할 수 있습니다.
안녕하세요
시청역 7번출구
삼성본관 바로 맞은편에 위치한 시청역 연세예감치과입니다!
남대문과 시청역 사이에 위치하여
많은 시청역 직장인분들이 이용해주고 계십니다.
많은 분들이 치아가 빠지거나
살리지 못할 정도로 썩어서 임플란트를 생각하고 계시고,
요즘은 임플란트가 흔하게 시행되는데요
오늘은 임플란트 대신에 치아를 뺀 자리에 브릿지를 한 케이스를 소개하고자 합니다.
임플란트와 브릿지 모두 장단점이 있습니다.
브릿지의 경우는 양 옆 치아를 깎아서 걸어야 하기 때문에
양 옆 치아가 멀쩡한 상태라면 깎기가 매우 아깝죠.
임플란트는 보통 양 옆 치아는 건드리지 않아도 되니
딱 없는 치아 부분에만 임플란트를 심어서 옆에 치아에는 문제를 일으키지 않습니다.
그렇지만 앞니 임플란트는 그 특성상 뼈가 좁아서
뼈이식이 추가로 들어가야 할 경우 또는 적당한 두께의 임플란트를 못심게되는 경우 등등이 많은데
그런 경우에 브릿지가 그 대체방안이 될 수 있습니다.



뺀 치아의 양 옆 치아를 깎아서 3개 이상의 머리를 걸게 됩니다.
또한 빼는 치아 옆치아들이 썩은 상태라서 어차피 썩은 부분을 깎아야 할 상황이라면
브릿지로 하면 되겠죠.
이번에는 저희 치과를 찾아오신 외국인 환자분의 앞니 브릿지 치료 사례를 한번 보겠습니다.
[환자분의 동의를 얻은 사진만 게시합니다]
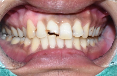
방금 넘어져서 앞니가 깨졌다며
잘하는 치과 수소문해서 소개받고 오신 외국인환자분입니다.


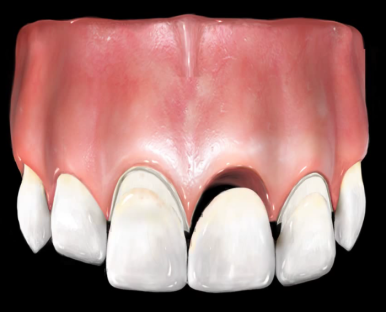
앞니깨짐
처음에는 크라운을 하면 될거라 예상했지만
자세히 보니 앞니가 뿌리 부분까지 쪼개져서 벌어져 있었습니다.


발치해서 보니 위와 같이 잇몸 깊은 곳까지 두동강 나 있어서
살리기 힘든 상태였습니다.

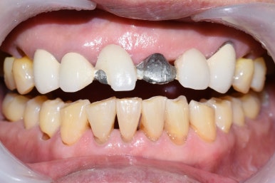
발치를 하였고 치아를 빼면 구멍이 생기니
잇몸이 아무는데까지 기다렸다가 브릿지를 해야 합니다.
인플란트는 뿌리 부분을 심어놓고 최종 머리가 올라가기 까지 몇 달이 걸리고 (그동안 보통 임시치아를 끼고 있게 됩니다)
브릿지는 그보다는 더 빠르게 진행될 것으로 예상하여
어차피 양 옆 치아도 많이 썩어있었기 때문에 임플란트 보다는 브릿지를 하기로 하였습니다.


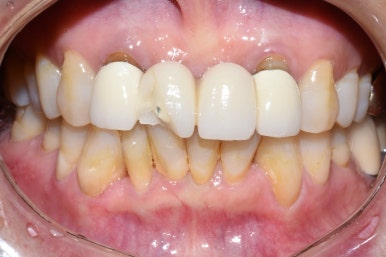
이렇게 전 후 사진비교해보니
브릿지를 하고 훨씬 나아졌습니다.
환자분께서 나머지 다른 앞니들은 충치도 있고 예뻐지려고 라미네이트를 할 예정이라고 하셨기 때문에
조금더 본인 치아색보다 하얀 색으로 진행하였습니다.
임플란트 할때보다 빠르게 진행되었고
뼈이식도 안해도 되었으며
환자분도 굉장히 만족하셔서 수정없이 진행하였고
다른 충치 앞니도 꼭 저희 치과에서 라미네이트 하겠다고 하셨습니다.
연세예감치과의 다른 브릿지 케이스들


오래된 깨진 브릿지(머리6개짜리) 치료 전, 후



오래된 깨진 브릿지(4개머리짜리) 치료 전, 후


지금까지 해외에서도 아름다운 치아를 만들기 위해 찾아오는
시청역 연세예감치과에서 알려드린
브릿지 치료 실제 사례 였습니다.







더 보기
이 병원의 공개 콘텐츠를 계속 살펴보세요
출처 아카이브로 돌아가 더 많은 글을 보거나, 병원 프로필로 이동해 다른 공개 채널도 함께 비교해보세요.