연세예감치과(시청역)
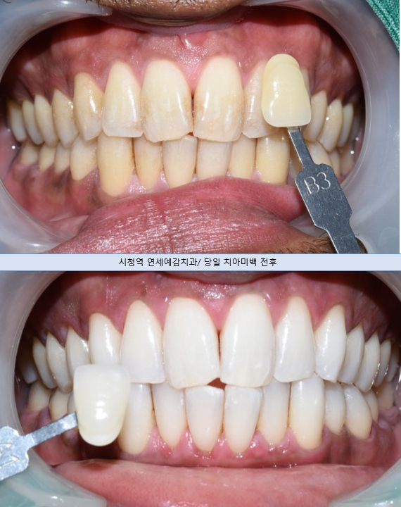
서울에서 치아미백 하는 치과 찾고 계신가요? 해외에서도 미백하러 오는 시청역 치과 미백비용
서울에서 치아미백 할 치과, 찾고 계신가요? 광화문서울 지역에서, 서울시청역 가까운, 외국인도 찾아서 오는 외국인미백에도 유명한 시청역 연세예감치과!입니다. 저희 연세예감치과는 시청역 7번출구 삼성본관 바로 맞은편에 위치하고 있습니다! 아무래도 치아 미백은 한국인들은 별로 하지 않지만 외국인들, 특히 서양인들이 많...
아카이브 요약
이 페이지의 역할
연세예감치과(시청역) Yonsei Yegam Dental Clinic ヨンセイェガム歯科의 네이버 블로그 원문을 보존한 아카이브 페이지입니다. 치아미백 카테고리의 서울에서 치아미백 하는 치과 찾고 계신가요? 해외에서도 미백하러 오는 시청역 치과 미백비용 글을 통해 병원의 한국어 정보 제공 방식과 진료 관련 안내 톤을 확인할 수 있습니다.
서울에서 치아미백 할 치과, 찾고 계신가요?
광화문서울 지역에서, 서울시청역 가까운,
외국인도 찾아서 오는 외국인미백에도 유명한 시청역 연세예감치과!입니다.
저희 연세예감치과는 시청역 7번출구
삼성본관 바로 맞은편에 위치하고 있습니다!
아무래도 치아 미백은
한국인들은 별로 하지 않지만 외국인들, 특히 서양인들이 많이 선호하는 진료입니다.
저희 치과는 지난 2018년 개원이래
몇년동안 수많은 외국인들, 교포들이 관광와서도 일부러 들렀다 가는 치과로
외국에서도 치아미백으로 유명한 치과입니다.

최근에 저희 연세예감치과는
환자분들의 편의를 위해 목걸이형 미백기를 도입해서 몇달간 쓰고 있는데요
기존 큰 미백기와 직접 비교해보았는데 더 미백이 잘 되는 효과를 보았고
환자분들이 눈도 가리고 움직이지 못해서 미백받으니 좋긴 한데 고문받는 것 같다 ㅠㅠ라는 얘기를 가끔 들었던
큰 미백기와 비교하여 환자분들이 너무 좋아하십니다.
특히 여행객 환자분들은 쉬면서 미백하시며 앉아서 휴대폰도 하실 수 있구요

기존의 큰 미백기(미백진행동안 움직일 수 없음)
기존의 큰 미백기 vs. 움직일 수 있는 목걸이형태 치과용 전문가미백기

오스템의 신형 목걸이형 전문가미백기를 사용하여 휴대폰을 보면서 치과에서 미백
저희 연세예감치과 원장님께서는
대부분의 치과에서 많이 사용하는 오스템의 큰 미백기가 나오기 전에
2013년 겨울, 동료 치과의사 3분과 함께 오스템 공장에서 직접 미백기와 미백제로 시연도 해보셨답니다.
이제는 기술이 발달해서 작은 목걸이형 미백기로도 좋은 결과가 나올 수 있게 되었네요.
미백기 뿐 아니라 치아미백에 중요한 것은 미백제인데요
여러 브랜드의 미백제로 다양하게 실험해 보았고
그중 제일 안전하면서 효과좋은 미백제를 사용하고 있습니다.
미백하면 시리다!라는 고정관념을 가지고 계신 분들이 계신데요
그런 시리거나 아픔을 최소화하거나 거의 없도록 여러 노하우를 가지고 있습니다.

위 동그라미 사진은 미백제로 실험하다가 손에 닿았을 때의 사진이에요
이렇게 하얗게 되고 엄청 따갑습니다!
이런 미백제가 환자분 잇몸에 닿으면 안되겠죠.
덜아프면서도 효과좋은 미백제로 미백 진행중입니다
지금까지 외국인에게도 치아미백으로 유명한 치과
광화문서울 가까운 시청역 연세예감치과에서
치아미백에 대해 알려드렸습니다.
미백 가격은 하단을 참고해주세요










2025년 12월 31일까지 2025년 동안!!! 적용가능한
연세예감치과 원데이 치아미백 가격알려드립니다.
저희 치과에서는 파노라마 포함한 정밀 검진 후 미백 진행하고 있습니다.
치아 검진 비용은 국민건강보험비용 처리 되시고
치아미백은
미백 2025년기준! 이벤트 가격 알려드립니다.
치아미백 원데이로 하루에 2회 진행시 25만원 (부가세 10프로 별도) :부가세포함275000원
치아미백 원데이로 하루에 3회 진행시 32만원 (부가세 10프로 별도: 부가세포함 352000원
+
저희 치과는 부작용 최소화를 위해 치아미백 전 충치 및 치아 전반에 대한 파노라마 포함한 검진을 필히 실시하며, 검진은 보험비용 추가됩니다.
치아미백은 미용진료이므로 피부과나 성형외과처럼 법적으로 부가세가 붙는 진료입니다.
또한 미백은 미용진료이므로 연말정산세액공제에 포함되지 않습니다.
지금까지 광화문에서도, 서울역에서도 가까운 시청역 연세예감치과였습니다!
더 보기
이 병원의 공개 콘텐츠를 계속 살펴보세요
출처 아카이브로 돌아가 더 많은 글을 보거나, 병원 프로필로 이동해 다른 공개 채널도 함께 비교해보세요.