연세예감치과(시청역)
충정로 서울역 근처 고난도 & 재수술 임플란트 수술 치과
안녕하세요 시청역 7번출구와 남대문 사이에 위치한 충정로에서도 가까운 시청역 연 세 예 감 치과입니다. 남대문(숭례문)에서 도보 4분, 시청역 7번출구에서 도보3분 거리에 위치하고 있습니다. 임플란트를 위해 상악동거상술 등을 해야한다고 들으셨나요? 기존에 다른 치과에서 한 임플란트가 문제가 있어서 빼고 다시 해야하...
아카이브 요약
이 페이지의 역할
연세예감치과(시청역) Yonsei Yegam Dental Clinic ヨンセイェガム歯科의 네이버 블로그 원문을 보존한 아카이브 페이지입니다. 임플란트 카테고리의 충정로 서울역 근처 고난도 & 재수술 임플란트 수술 치과 글을 통해 병원의 한국어 정보 제공 방식과 진료 관련 안내 톤을 확인할 수 있습니다.
안녕하세요
시청역 7번출구와 남대문 사이에 위치한
충정로에서도 가까운
시청역 연 세 예 감 치과입니다.
남대문(숭례문)에서 도보 4분, 시청역 7번출구에서 도보3분 거리에 위치하고 있습니다.
임플란트를 위해 상악동거상술 등을 해야한다고 들으셨나요?
기존에 다른 치과에서 한 임플란트가 문제가 있어서 빼고 다시 해야하나요?
그래서 남대문 근처 고난이도 임플란트 수술 치과 찾고 계신가요?

연세예감치과 영어 기사
오늘은 해외에서 외국인들도 임플란트하러 오고, 충치치료와 미용치료를 받으러 오는
서울 시청역 연세예감치과에서
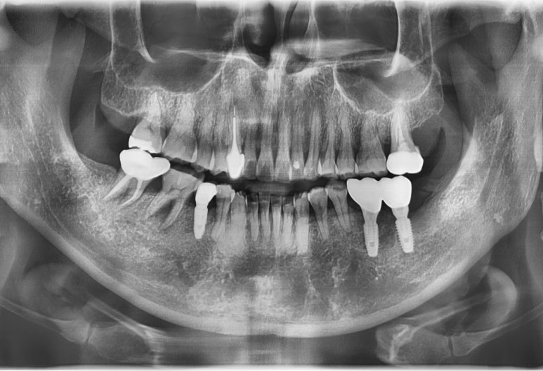
실제 진행된 상악동 거상술 또는 임플란트 재수술 사례 알려드려요
[환자분의 동의를 받은 사진만 게시합니다.]
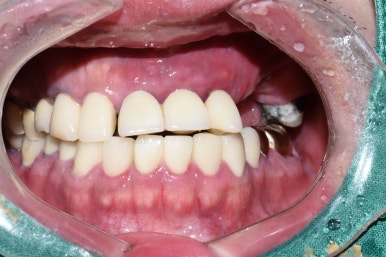
- 앞니 브릿지가 다 빠져서 흔들거려 발치해야 하고
어금니는 다른데서 임플란트가 찢어져 실패하여 뼈에 묻혀져 있던 케이스


임플란트 수술 전
처음 오셨을 때 기존에 앞니 다른데서 하신 브릿지는
속치아가 다 썩어 분리되어 흔들리는 상태였고
어금니쪽 임플란트는 찢어져서 임플란트 머리를 올리지 못한 상태였습니다.

앞니 임플란트 진행중간 사진


어금니 임플란트와 앞니 임플란트를 하여
환자분이 편안한 식사생활과 사회활동을 할 수 있게 하였습니다.
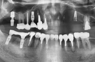
- 다른 치과 임플란트가 흔들리는 것 1개, 찢어진 것 1개 있어서
임플란트 제거 후 재수술한 케이스


다른 치과에서 한 임플란트가 두개 묶여 있는데
흔들거리는 상태였습니다.
하나는 임플란트 주변 뼈가 많이 녹아서 흔들리고
다른 하나는 아래 사진처럼 임플란트 픽스쳐 안에 스크류가 파절되어있었습니다.

두 임플란트 쓸 수 없는 상태이므로
저희 치과에서 제거 하였습니다.

재수술이기 때문에
제거 후 네비게이션임플란트를 사용하여
인플란트를 안전하고 정확하게 심으려고 노력하였습니다.
뼈이식도 같이 진행하였습니다.


완성된 임플란트는 환자분이 잘 사용하고 계십니다.
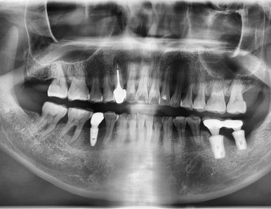
- 긴 브릿지가 흔들려요 → 여러 개 임플란트 수술 및 상악동거상술

치아 여러개를 연결시킨 브릿지가 오래 되어서 흔들려요
라며 찾아오신 환자분입니다.
여러개 임플란트를 동시에 하는 수술이고
환자분도 겁이 많아 수술시간이 짧게 끝나는 걸 원하셔서
네비게이션 임플란트로 시행하여 빠른 시간에 수술을 끝낼 수 있었습니다.
상악동 거상술 뼈이식도 같이 진행하였습니다.



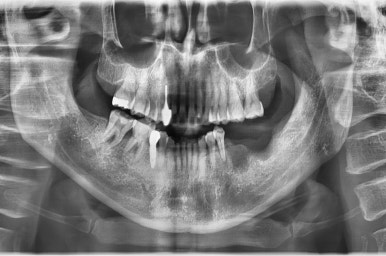
임플란트가 흔들려요
임플란트가 흔들린다고 오시는 환자분을 보면
임플란트 머리와 뿌리를 연결하는 나사가 풀려서 머리만 흔들리는 분들이 있고
어떤 분들은 임플란트 픽스쳐(뿌리부분)이 뼈가 녹은 등의 관계로
뼈와 안붙어있어서 흔들리는 경우가 있습니다.
아래 사진의 환자분은 임플란트 주변 뼈가 녹아서
임플란트 픽스쳐부분이 뼈와 붙어있지 않아 흔들리는 상태였습니다.

처음 내원시
오래된 임플란트 2개를 제거하고
옆에 흔들리는 이까지 발치 한 후
재수술 임플란트는 2개를 심고 머리3개짜리를 완성하였습니다.


지금까지
해외에서도 찾아오는 시청역 연세예감치과
에서 알려드린
여러가지 임플란트 케이스 였습니다!




더 보기
이 병원의 공개 콘텐츠를 계속 살펴보세요
출처 아카이브로 돌아가 더 많은 글을 보거나, 병원 프로필로 이동해 다른 공개 채널도 함께 비교해보세요.