아카이브 요약
이 페이지의 역할
연세예감치과의원의 네이버 블로그 원문을 보존한 아카이브 페이지입니다. 치아성형 카테고리의 서울 시청역 치과 “앞니 하나만 색깔이 달라요” 글을 통해 병원의 한국어 정보 제공 방식과 진료 관련 안내 톤을 확인할 수 있습니다.
원문 검증
필요하면 원문 블로그와 병원 프로필로 바로 이동해 문맥을 다시 확인할 수 있습니다.
출처 아카이브 열기아카이브된 블로그 글
연세예감치과의원 · Naver Blog
안녕하세요 서울 시청역 삼성 본관 맞은편에 위치한 연세 예감 치과입니다 서울 중심가의 위치하여 명동, 충정로, 광화문, 을지로, 서대문 역, 서울역, 마포 등 어디에서도 오기가 좋습니다 오늘은 해외에서도 치료 받으러 찾아오는 연세 예감 치과에서 앞니 하나만 색이 티가 나게 변색이 되어 치료를 받기 원하시는...
게시일
2023년 12월 19일
원문 기준으로 확인된 발행일입니다.
카테고리
치아성형
원문 블로그 카테고리를 정리해 함께 표시합니다.
이미지 수
13
현재 아카이브에 연결된 이미지 수입니다.
아카이브 요약
연세예감치과의원의 네이버 블로그 원문을 보존한 아카이브 페이지입니다. 치아성형 카테고리의 서울 시청역 치과 “앞니 하나만 색깔이 달라요” 글을 통해 병원의 한국어 정보 제공 방식과 진료 관련 안내 톤을 확인할 수 있습니다.
원문 검증
필요하면 원문 블로그와 병원 프로필로 바로 이동해 문맥을 다시 확인할 수 있습니다.
출처 아카이브 열기안녕하세요
서울 시청역 삼성 본관 맞은편에 위치한 연세 예감 치과입니다
서울 중심가의 위치하여 명동, 충정로, 광화문, 을지로, 서대문 역, 서울역, 마포 등 어디에서도 오기가 좋습니다

오늘은 해외에서도
치료 받으러 찾아오는 연세 예감 치과에서
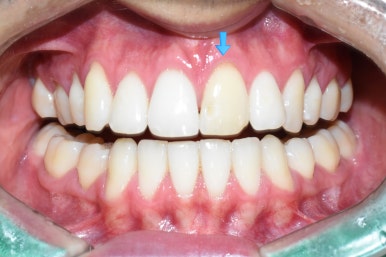
앞니 하나만 색이 티가 나게 변색이 되어
치료를 받기 원하시는 케이스를 알아 보도록 하겠습니다
[실제 저희 시청역치과 연세예감치과에서 직접 치료한 사진이며
환자분 의 동의를 얻은 사진만 공개 합니다]
해외에서 방학동안 오신 교환학생 외국인 환자분이었습니다
해외에서 방학동안 오신 교환학생 외국인 환자분이었습니다
한국에 머무는 기간 동안
저희 치과가 유명 하다는 얘기를
외국인친구에게 듣고 저희 치과를 찾아와서 앞니를 고치고 싶다고 하셨습니다
오래 전에 본인나라 다른 치과에서
이미 신경치료까지 받은 치아이지만 거기서는 변색이 되어도 방치해 뒀었는데
방학동안 교환학생 온 김에 외국인들에게 유명한 저희 치과에서
변색된 치아 치료를 받고 싶다고 하셨습니다.


시청역 치과 치료 전 후
전후 비교해보시면 굉장히 자연스럽죠?
일주일만에 어린 외국인 교환학생 환자분이 치아가 완벽해져서 너무 좋아하셨습니다.
깨져있던 부위도 크라운을 하면서 반대쪽과 대칭으로 만들어드렸습니다.
본인 누나가 소개해서 오신 환자분
또 다른 환자의 케이스 입니다.
오래 전에 신경치료도 한 치아인데 변색이 되었다고 하셨습니다
배열도 보시다시피 튀어나와있는 상태였습니다.

단 두 번의 내원으로(일주일 소요)
환자분 의 컴플렉스를 고칠 수 있게 되었습니다
앞니 하나 크라운을 통하여 색깔도 변화 시키고 튀어나온 것도 들어가게 만들 수 있었습니다
원장님께서는 약간 색이 티가 나는 거 같다며
한 번 더 완벽하게 수정 하는 게 어떻겠냐고 하셨지만
환자 분이 너무 쿨 하셔서 이 크라운에 만족 한다며 크라운을 붙이고 가셨습니다

미의 기본은 대칭이죠
대문이 하나만 고치고 싶은 경우에
완벽하게 옆 치아와 똑같이 만들기란 쉽지 않습니다
가장 쉬운 방법은 앞니의 경우는 옆 치아까지 대칭으로 같이 치료를 하는 것인데요
그러기에는 옆에 멀쩡한 치아를 깎기가 너무 아깝죠
저희 연세 예감 치과는 앞니 치료 노하우를 통하여
최소한의 치료로 최대한의 만족 효과를 낼 수 있도록 노력하고 있습니다
앞니는 어금니와 다른 방향으로 접근해야합니다.
어금니 보다 심미적인 관점에서 신경을 많이 써야해서
더 손이 많이가는 작업입니다.
지금까지 해외에서도 아름다운 치아를 만들기 위해 찾아오는
연세예감치과에서 알려드린
앞니 변색치의 크라운케이스였습니다.
카톡 채널로 문의도 가능합니다.: 클릭 ->카카오톡채널 - 연세예감치과
또는 카카오톡 아이디 : yonseiyegam 친구추가하시어 문의도 가능합니다!







