아카이브 요약
이 페이지의 역할
연세예감치과의원의 네이버 블로그 원문을 보존한 아카이브 페이지입니다. 치아외상 카테고리의 앞니 하나가 부러졌어요 앞니 크라운 앞니 브릿지 글을 통해 병원의 한국어 정보 제공 방식과 진료 관련 안내 톤을 확인할 수 있습니다.
원문 검증
필요하면 원문 블로그와 병원 프로필로 바로 이동해 문맥을 다시 확인할 수 있습니다.
출처 아카이브 열기아카이브된 블로그 글
연세예감치과의원 · Naver Blog
안녕하세요 시청역 연세 예 감 치과 입니다 서울 시청역 삼성본관 바로 맞은편에 위치하고 있습니다 시청역7번출구 에서 3분 거리 입니다 시청역 근처라 광화문이나 서울역, 충정로와도 가까워요. 요즘 날씨가 너무 추워졌죠? 이렇게 눈발이 날리고 추울 때마다 치과를 찾는 앞 리 가 부러진 환자 분들이 늘어납니다 :‘( 추...
게시일
2023년 12월 21일
원문 기준으로 확인된 발행일입니다.
카테고리
치아외상
원문 블로그 카테고리를 정리해 함께 표시합니다.
이미지 수
20
현재 아카이브에 연결된 이미지 수입니다.
아카이브 요약
연세예감치과의원의 네이버 블로그 원문을 보존한 아카이브 페이지입니다. 치아외상 카테고리의 앞니 하나가 부러졌어요 앞니 크라운 앞니 브릿지 글을 통해 병원의 한국어 정보 제공 방식과 진료 관련 안내 톤을 확인할 수 있습니다.
원문 검증
필요하면 원문 블로그와 병원 프로필로 바로 이동해 문맥을 다시 확인할 수 있습니다.
출처 아카이브 열기안녕하세요 시청역 연세 예 감 치과 입니다
서울 시청역 삼성본관 바로 맞은편에 위치하고 있습니다
시청역7번출구 에서 3분 거리 입니다
시청역 근처라 광화문이나 서울역, 충정로와도 가까워요.
요즘 날씨가 너무 추워졌죠?
이렇게 눈발이 날리고 추울 때마다
치과를 찾는 앞 리 가 부러진 환자 분들이 늘어납니다 :‘(
추운 날씨에 주머니에 손을 놓고 걷다가
넘어져서 앞 치아가 부러지거나
미끄러운 빙판 길에 미끄러져서 부딪 치는 바람에
치아가 부러져서 오는 분들이 많으시죠
또한 연말 송년회 등으로
술먹고 치아깨짐
술먹고 이빨 깨짐 이라며 오시는 분들 등등
저희 치과가 서울 시청역 삼성본관 바로 앞에 위치해
한화 삼성 롯데 등등 그 외 많은 기업들로 둘러싸인 직장가이다 보니 회식 후 치아 깨짐으로 오시는 분들도 많아요..
이렇게 앞니가 부러져서 오신 분들 중에
부러진 부위가 작으면 레진으로 치료가 될 수도 있지만
부위가 크면 라미네이트 또는 크라운을 하셔야 될 수도 있고
치아 신경이 죽었다면 추가로 신경치료를 하셔야 되는 경우도 있습니다
[환자분의 동의를 얻은 사진만 공개합니다]
오늘은 앞니가 부러져서 크라운을 한 케이스를 살펴 보도록 하겠는데요
앞니 하나만 크라운을 하면 특히 대칭성이 중요한 앞 대문이에서는 자칫 잘못하면 티가 날 수 있지만
저희 연세예감치과는 최대한 치아와 비슷하게 만들려고 노력하고 있습니다
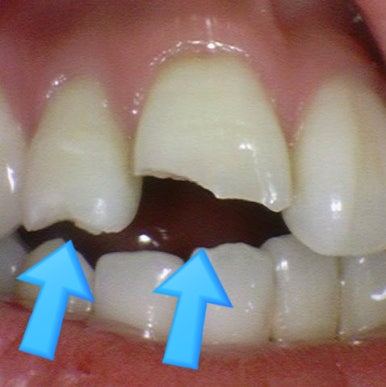
앞니가 깨져서 레진과 신경치료+크라운 한 케이스


치료 전 후
신경이 죽은 치아는 신경치료 + 크라운
옆에 치아는 레진을 진행하였습니다.

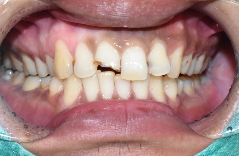
기존의 오래된 라미네이트 가 깨진 케이스



다른치과에서 한 오래된 라미네이트가 깨진 케이스
라미네이트를 여러개 한 상태에서 하나만 새로 해야하는 경우
옆에 치아와 색을 맞추기 쉽지 않지만 최대한 맞춰드렸습니다.
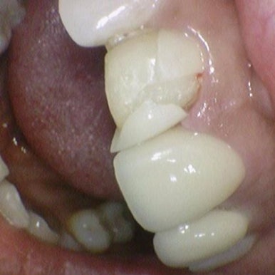
부러진 치아 옆니들도 썩어있어서 브릿지로 진행한 케이스 (외국인환자분)



원래는 신경치료를 해서 살리자고 계획을 세웠으나
깨지기만 한 것이 아니라 남아있는 부위도 잇몸속으로 깊게 파절되어있고
옆의 두 치아도 많이 썩어 있어 어차피 치료를 해야하니
파절된 치아는 뽑고 양 옆 썩은 치아를 깎아 브릿지를 하기로 하였습니다.

치료 후

지금까지 해외에서도 아름다운 치아를 만들기 위해 찾아오는 시청역 연세 예감 치과
에서 알려 드린
치아가 부러져서 앞니 크라운이나 브릿지를 한 사례였습니다









시청역 연세예감치과는
가장 공신력있는 기관인 서울특별시로 부터 3단계 인증을 거쳐
서울특별시 의료관광 협력기관으로 선정된 치과입니다.