연세예감치과(시청역)
서울시청역치과/ 벌어진 앞니 치아 치료/ 왜소치, 다이아스테마 등/레진, 라미네이트, 부분교정 비교
안녕하세요 시청역에서 시청역 광화문 직장인분들과 사장님들 그리고 해외 외국인 환자분들의 아름답고 건강한 치아를 위해 노력하고있는 시청역 ! 연 세 예 감 치과입니다. 시청역 7번출구, 삼성본관 바로 맞은편에 위치합니다! 서울 시청역에 위치하여 서울역에서도 지하철 한 정거장 거리입니다. 오늘은 많은 분들이 고민하고...
아카이브 요약
이 페이지의 역할
연세예감치과(시청역) Yonsei Yegam Dental Clinic ヨンセイェガム歯科의 네이버 블로그 원문을 보존한 아카이브 페이지입니다. 치아성형 카테고리의 서울시청역치과/ 벌어진 앞니 치아 치료/ 왜소치, 다이아스테마 등/레진, 라미네이트, 부분교정 비교 글을 통해 병원의 한국어 정보 제공 방식과 진료 관련 안내 톤을 확인할 수 있습니다.
안녕하세요
시청역에서 시청역 광화문 직장인분들과 사장님들
그리고 해외 외국인 환자분들의 아름답고 건강한 치아를 위해 노력하고있는
시청역 ! 연 세 예 감 치과입니다.
시청역 7번출구, 삼성본관 바로 맞은편에 위치합니다!
서울 시청역에 위치하여 서울역에서도 지하철 한 정거장 거리입니다.
오늘은 많은 분들이 고민하고 있는
왜소치 또는 벌어진 치아의 치료방법에 대해 알아보겠습니다.









광화문,시청역 인근. 시청역 연세예감치과를 방문한 해외환자들
벌어진 치아의 치료방법은 크게 3가지가 있습니다.
-
레진 : 당일가능. 하루에 완성되어 끝나는 치료입니다.
-
라미네이트 : 본뜨고 일주일~10일 정도 만드는 시간 걸림
-
부분교정 : 벌어진 크기나 난이도에 따라 다르지만 보통은 4-6개월 정도
어떤 치료가 적절한지는 케이스마다 다른데요,
저희 연세예감치과에서 실제로 치료받은 환자분들의 사진 케이스로 알아보겠습니다.
[환자분의 동의를 얻은 사진만 공개합니다!]
하루만에 끝나는 레진부터
1~2주 걸리는 라미네이트,
몇 달 걸리는 부분교정까지
순서로 알아보겠습니다.
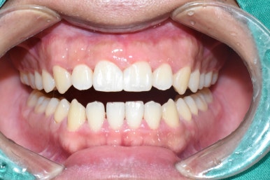
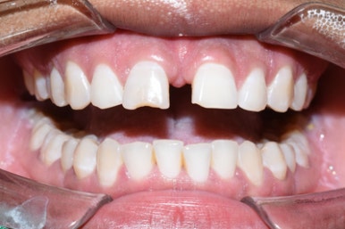
레진 케이스1


벌어져있는 치아사이 레진치료 전후
교정을 다른 치과에서 오래전에 했지만
치아 사이가 벌어져 있는 환자분이었습니다.
간단하게 레진으로 치료하기 원하셨고
가능한 케이스였습니다.

앞니 레진은 자연스러운 색과 모양이 중요한데요
저희 치과는 다양한 레진 색을 가지고 최대한 자연치아의 색에 맞춰드리려고 노력하고 있습니다.
앞니 사이 레진을 생각하고 계시는 경우
앞니는 기능이 중시되는 어금니 보다 심미적인 부분,
즉 미적인 부분을 많이 고려해야하여
시간이 많이 걸리므로 꼭 예약 후 방문 부탁드립니다.
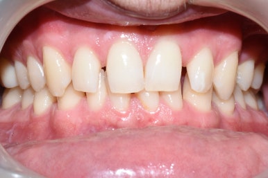
레진 케이스 2


대문이 사이 레진 전후
대문이 사이가 벌어져 있는 환자분이었습니다.
말할 때마다 바로 보이는 곳이니 환자분이 스트레스 받을만 하죠
이렇게 앞니 중에서도 대문이 사이가 벌어진 경우에 한 치아에만 레진을 할 수 없겠죠
두 치아가 거의 동일한 대칭 크기와 모양이 되도록 2개 치아에 레진을 붙여야합니다.
따라서 이런 경우 대부분의 치과에서 비용도 하나 가격의 2배가 들게 됩니다.
그럼 치아 2개를 붙여서 하나로 만들면 안되나요? 하시는 분이 있을 수 있는데
치주적인 문제 등등으로 문제를 야기할 수 있으니
대부분의 케이스에서 그러한 방법은 올바른 치료가 아닙니다!
치실이 들어가게 분리되어있어야 합니다.

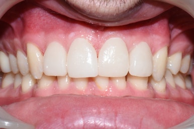
라미네이트 케이스 1

우리 나라에 교환학생을 온 외국인 대학생 환자분이었는데
아이돌 같은 외모에 치아 사이가 벌어져 있어서 컴플렉스가 있어서
저희 치과를 다른 외국인 친구에게 소개받아 왔다며 치아를 고치고 싶다고 하셨습니다.


사실 모든 사람들이 아래 앞니보다 윗니가 더 크고,
정상적인 교합이라면 윗니가 아랫니를 덮기 때문에 웃을 때나 말할 때 가장 많이 보이는 부분은
아래앞니가 아닌 위의 앞니입니다.
아랫니까지 다 라미네이트를 해도 되지만
가장 최소한의 개수만 하려면 4개만 해도된다고 말씀드렸고
환자분도 최소한의 개수만 하고 싶다고 하셔서 위의 4개만 무삭제로 라미네이트를 진행하였습니다.

벌어진 앞니 무삭제 라미네이트 전후
환자분도 4개만 라미네이트를 하셨지만
전반적인 틈이 다 줄어들어보여서 매우 만족해 하셨고
색도 기존 치아의 색보다 자연스러우면서도 훨씬 밝아지게 하여
환자분의 아이돌 같은 외모도 더 업그레이드 되면서 저희도 뿌듯했던 케이스 입니다.
라미네이트 케이스 2
위의 라미네이트 케이스1과 매우 비슷한 케이스 입니다.
이번 경우에는 앞니 치아 6개에 무삭제 라미네이트를 하였습니다.



라미네이트 케이스 3

벌어진 치아를 가진 또 다른 외국인 대학생 환자분이었습니다.
이 케이스는 환자분과 상의하여 치아 하나를 덮는 라미네이트가 아닌
벌어진 부분만 일부 덮는 라미네이트로 진행하였습니다.
이또한 무삭제 라미네이트로 환자분도 매우 만족해하셨습니다.
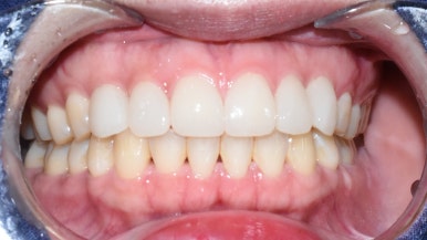
벌어진 앞니 부분교정 + 라미네이트


앞니가 굉장히 많이 벌어져 있는 외국인 환자분이었습니다.
한국인에서는 이렇게까지 많이 벌어진 케이스를 보기 쉽지 않은데요,
인종에 따라서 특히 치아사이가 많이 벌어진 인종이 있는 것 같습니다.
앞니가 너무 많이 벌어져 있었기 때문에 그냥 라미네이트나 레진을 할경우
앞니가 너무 커져버려서 부자연스러울 것이 당연했기 때문에
환자분도 부분교정을 하는 데에 동의하셨고
치아 모양도 약간 깨진 듯한 부분이 있고 원래 치아보다 하얗게 하고 싶어서
부분 교정후에 라미네이트도 하기로 하셨습니다.

이렇게 벌어진 앞니 부분교정은
전체교정만큼 몇 년씩 걸리지 않고 보통 4개월에서 6개월이면 마무리 됩니다.
교정 후 라미네이트를 하여
환자분의 외모를 한층 더 업그레이드 시켜 드렸고
환자분이 매우 만족하셔서 아래와 같은 사진 후기도 써주셨습니다!

Started my journey with Yonsei Yegam Dental a few months ago and each visit has been such a pleasure. The staff is helpful and attend to your every need. I don't think I'll ever stop smiling! Absolutely happy with my results!
이렇게 리뷰 써주셨고
이 분 치아를 보고 주변에 외국인 친구들이 너무 많이 저희 치과를 찾아주셔서
정말 놀랄정도 였습니다!
이 외국인 환자분의 다른 친구분도 gap filling (치아 사이 필링)을 위해서 내원하고
아래와 같은 메시지 남겨주셨습니다.

벌어진 앞니 부분교정케이스
또 다른 벌어진 앞니로 인해 부분교정한 케이스는
이전에 포스팅한 글 참고해주셔도 됩니다.
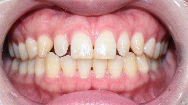
왜소치 라미네이트 - 원장님 치아
예전에 인터넷에서 한창
라미네이트를 하지말라는 연예인들의 글들이 굉장히 많았는데요
그렇다면 치과의사는 본인의 치아에 라미네이트를 안할까요?
저희 치과의 라미네이트는 저희 원장님도 입안에 보유하고 계신 답니다.
올바른 케이스에 올바른 진단과 치료가 들어간다면
만족도는 상승하고 컴플렉스는 없앨 수 있습니다.

저희 원장님의 라미네이트 전 사진인데요
왜소치.. 라기엔 엄청 작지는 않지만
치아가 하나가 약간 작아서 웃을 때 마다 보이는 틈이 있었네요.
치아를 전혀 삭제하지 않은 무삭제였기 때문에
원장님이 직접 저희 치과에서 본인 치아에 본을 뜨고
기공소에서 라미네이트를 만들어 와서 직접 거울을 보며[!]
직접 라미네이트를 붙이셨습니다. (그 사진 어디 갔나요...폰에 있었는데 없어져버렸네요)
아래는 전후 사진으로
저희 치과 개원 직후 하셨으니 거의 7년이 된 지금도 라미네이트를 잘 간직하고 계신다고 합니다.

원장님치아 무삭제 라미네이트 전후 사진
지금까지
여러 케이스로 벌어진 치아의 실제 치료 사례에 대해 알아보았습니다.
벌어진 치아는 환자분이 남들 앞에서 제대로 웃지도 못하게 만들만큼
컴플렉스로 다가오기도 하는데요,
벌어진 앞니로 인해서 컴플렉스, 스트레스를 가지고 계신다면
치과에서 치과의사 선생님과 상담하시어
본인에게 가장 적절한 케이스로 잘 치료받으셨으면 좋겠습니다.
지금까지 전국 뿐만 아니라 해외에서도 아름답고 건강한 치아를 만들기 위해 찾아오는
서울 시청역 연세예감치과에서 알려드린
벌어진 앞니 치아 치료방법 3가지 였습니다.
위의 지도 클릭하여 네이버예약도 가능합니다.
문의사항은 카.톡. 아이디 yonseiyegam 친구추가하시어 문의주시거나
카카오톡 채널 링크 →카카오톡채널 - 연세예감치과의원 (kakao.com) 클릭하시어 문의 가능합니다.
더 보기
이 병원의 공개 콘텐츠를 계속 살펴보세요
출처 아카이브로 돌아가 더 많은 글을 보거나, 병원 프로필로 이동해 다른 공개 채널도 함께 비교해보세요.