연세예감치과(시청역)
깨진 치아 레진치료 방법 실제사진
안녕하세요 서울 시청역 7번출구에서 도보직진 3분(200m)거리에 위치한 시청역 연 세 예 감 치 과입니다. 삼성본관 바로 맞은편에 위치하며 충정로,서울역, 광화문, 서대문에서도 가깝습니다. 저희 연세예감치과는 다년간의 다른 치과에서의 경험을 바탕으로 원장님께서 시청역에 개원하신지 올해로 7년차가 된 치과입니다 ...
아카이브 요약
이 페이지의 역할
연세예감치과(시청역) Yonsei Yegam Dental Clinic ヨンセイェガム歯科의 네이버 블로그 원문을 보존한 아카이브 페이지입니다. 치아성형 카테고리의 깨진 치아 레진치료 방법 실제사진 글을 통해 병원의 한국어 정보 제공 방식과 진료 관련 안내 톤을 확인할 수 있습니다.
안녕하세요
서울 시청역 7번출구에서 도보직진 3분(200m)거리에 위치한
시청역 연 세 예 감 치 과입니다.
삼성본관 바로 맞은편에 위치하며
충정로,서울역, 광화문, 서대문에서도 가깝습니다.
저희 연세예감치과는 다년간의 다른 치과에서의 경험을 바탕으로
원장님께서 시청역에 개원하신지 올해로 7년차가 된 치과입니다
저희 치과가 수많은 겨울을 시청역에서 나는 동안
겨울마다 꼭 몰려오는 환자분들이 있는데요
미끄럽다보니 넘어져서 앞니가 부러져서 오는 환자분들입니다.
정말 울상으로 오시는데요
앞니가 부러지면 정말 막막하죠
그런 환자분들이 오시면
케이스에 따라서 레진, 크라운, 어떤 경우는 발치까지 가는 경우도 있는데요
오늘은 그 중에서도 깨진 앞니 레진치료에 대해 알아보겠습니다.
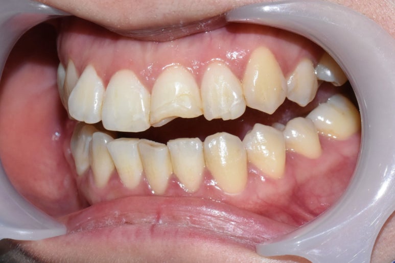
Case 1.



깨진 앞니 레진치료 전후
치아 2개가 깨져있는 상태였는데 환자분이 적게 깨진 치아말고 더 많이 깨진 치아만 치료를 원하셔서
레진으로 진행했습니다.
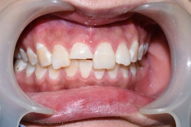
Case2.
위의 케이스 1과 동일한 분 아니냐고요?
아닙니다... 이렇게 저희 치과에 앞니가 깨진 분이 많이 오신다구요... (동의한 사진만 공개해요)


Case 3.


라미네이트가 깨져서 급하게 오신
외국인 관광객 환자분이었습니다.
라미네이트가 깨진 경우 원래는 다시 라미네이트나 크라운 등
라미네이트 이상의 치료를 하셔야하는데 출국하셔야 하는 해외환자분이라
레진으로 임시로 해드렸고 환자분께서 신세계 를 경험하셨다고 하셨습니다!
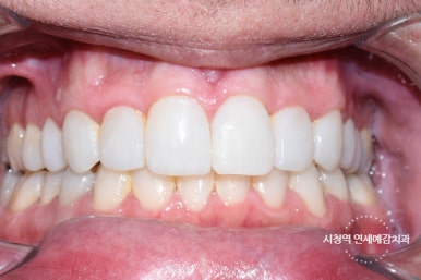
Case 4.


이건 치아가 반 이상 날아가버렸는데요 ㅠㅠ
이분도 외국인이라 본인나라에서 크라운을 하기로 하고
한국에서 급하게 레진으로 치료하고 관광사진 등을 찍을 수 있게 해드렸습니다.
앞니 치료는 어금니와 다른 방향으로 접근해야합니다.
어금니의 주 작용은 씹는 저작인 반면,
앞니는 어금니와 달리 남들에게 바로 보이는 부위이므로
미용적인 면을 생각하지 않을 수가 없습니다.
저희 연세예감치과는 아름다운 치아 자연스러운 치아를 만들기 위해
사람마다 각기다른 치아색을 맞추기 위해
다양한 브랜드의 다양한 색조의 레진을 구비하고 있습니다.
오늘은 앞니 깨짐으로 인해서 레진치료를 받은 사례를 살펴보았는데요
앞니가 깨지는 경우 케이스에 따라 레진이 가능한 경우도 있지만
환자분의 교합상태나 깨진 정도 등등에 따라 크라운 또는 라미네이트 또는 심각한 경우 발치로 갈 수도 있습니다.
치과의사선생님과 상담하시어 알맞은 치료를 받길 바랄게요
더 나은 환자분의 구강상태를 위해 노력하는!
서울 시청역 7번출구 삼성본관 맞은편에 위치한
해외에서도 찾아오는 치과 연세예감치과였습니다!

저희 연 세 예 감 치과는 서울시에서 3단계 심사를 거쳐 선정된
서울시 인증 서울특별시 의료관광 협력기관 입니다!







카카오톡 채널상담도 가능합니다
더 보기
이 병원의 공개 콘텐츠를 계속 살펴보세요
출처 아카이브로 돌아가 더 많은 글을 보거나, 병원 프로필로 이동해 다른 공개 채널도 함께 비교해보세요.