아카이브 요약
이 페이지의 역할
연세예감치과의원의 네이버 블로그 원문을 보존한 아카이브 페이지입니다. 치아성형 카테고리의 왜소치 치아사이틈 막기 올해는 치료받으세요! [무삭제라미네이트 케이스] 글을 통해 병원의 한국어 정보 제공 방식과 진료 관련 안내 톤을 확인할 수 있습니다.
원문 검증
필요하면 원문 블로그와 병원 프로필로 바로 이동해 문맥을 다시 확인할 수 있습니다.
출처 아카이브 열기아카이브된 블로그 글
연세예감치과의원 · Naver Blog
안녕하세요 시청역 7번출구 직진 도보 3분거리 삼성본관 맞은편에 위치한 연 세 예 감 치과입니다. 서울역, 충정로 역에서도 시청역까지 역 한정거장 거리입니다! 오늘은 새해를 맞아 많은 분들이 찾고계시는 왜소치 치료에 대해 알아보고자 합니다. 왜소치가 있으면 보통 왜소치는 레진이나 라미네이트를 많이 하...
게시일
2024년 1월 10일
원문 기준으로 확인된 발행일입니다.
카테고리
치아성형
원문 블로그 카테고리를 정리해 함께 표시합니다.
이미지 수
21
현재 아카이브에 연결된 이미지 수입니다.
아카이브 요약
연세예감치과의원의 네이버 블로그 원문을 보존한 아카이브 페이지입니다. 치아성형 카테고리의 왜소치 치아사이틈 막기 올해는 치료받으세요! [무삭제라미네이트 케이스] 글을 통해 병원의 한국어 정보 제공 방식과 진료 관련 안내 톤을 확인할 수 있습니다.
원문 검증
필요하면 원문 블로그와 병원 프로필로 바로 이동해 문맥을 다시 확인할 수 있습니다.
출처 아카이브 열기안녕하세요
시청역 7번출구 직진 도보 3분거리
삼성본관 맞은편에 위치한 연 세 예 감 치과입니다.
서울역, 충정로 역에서도 시청역까지 역 한정거장 거리입니다!
오늘은 새해를 맞아 많은 분들이 찾고계시는 왜소치 치료에 대해 알아보고자 합니다.
왜소치가 있으면
보통 왜소치는 레진이나 라미네이트를 많이 하게 되는데요
오늘은 라미네이트 케이스에 대해 집중적으로 알아보겠습니다!
[환자분이 사진공개에 동의한 경우만 게시합니다!]
치아 6개 라미네이트 케이스
![왜소치 치아사이틈 막기 올해는 치료받으세요! [무삭제라미네이트 케이스] 관련 이미지 1](https://pub-9f2bb3498faf4d1d8714b41df24753e3.r2.dev/content/clinics/archive/rseeanjxfu/naver_blog/yonseiyegam/assets/by_hash/38a0ee8385529bdaafcb3aa489f0c4754d0635755e3c2ccebad1ecf9694bf1b2.jpg)
![왜소치 치아사이틈 막기 올해는 치료받으세요! [무삭제라미네이트 케이스] 관련 이미지 2](https://pub-9f2bb3498faf4d1d8714b41df24753e3.r2.dev/content/clinics/archive/rseeanjxfu/naver_blog/yonseiyegam/assets/by_hash/6fd044fdc8570d3fa198eb47210d60c9ba9238b9b83ccf61cd14f8880a598863.jpg)
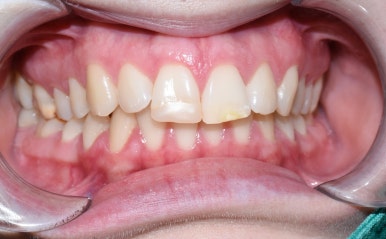
왼쪽 사진과 같이 왜소치가 두번째 치아마다 있어서 틈이 양옆으로 많은 분이었습니다.
상담결과 6개 라미네이트를 하기로 하고 아래쪽 거친부분만 다듬고 라미네이트를 진행하였습니다.
무삭제이기 때문에 라미네이트를 붙이기 전에 시리지도 않을 거라서 임시치아도 필요없습니다.
![왜소치 치아사이틈 막기 올해는 치료받으세요! [무삭제라미네이트 케이스] 관련 이미지 3](https://pub-9f2bb3498faf4d1d8714b41df24753e3.r2.dev/content/clinics/archive/rseeanjxfu/naver_blog/yonseiyegam/assets/by_hash/1eca67a25ea4b2342393befb5c2701241f0e170883abd0c6bc8fa492b5bba654.jpg)
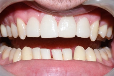
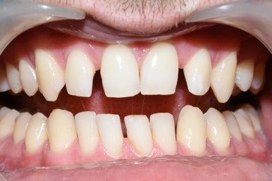
라미네이트 4개 외국인교환학생 환자분
![왜소치 치아사이틈 막기 올해는 치료받으세요! [무삭제라미네이트 케이스] 관련 이미지 4](https://pub-9f2bb3498faf4d1d8714b41df24753e3.r2.dev/content/clinics/archive/rseeanjxfu/naver_blog/yonseiyegam/assets/by_hash/3024b4fcc50081ec73fffee8ecd4999c587243616fe1010d066e8a1d40ded79f.jpg)
왜소치 때문에 치아사이가 많이 벌어져보여서 라미네이트를 원해서 찾아오신 외국인 환자분입니다.
![왜소치 치아사이틈 막기 올해는 치료받으세요! [무삭제라미네이트 케이스] 관련 이미지 5](https://pub-9f2bb3498faf4d1d8714b41df24753e3.r2.dev/content/clinics/archive/rseeanjxfu/naver_blog/yonseiyegam/assets/by_hash/9d9447ec2cb479a710dd54f83d2df2b2e6704eff9ab61fa7692b3ea742ed3734.jpg)
![왜소치 치아사이틈 막기 올해는 치료받으세요! [무삭제라미네이트 케이스] 관련 이미지 6](https://pub-9f2bb3498faf4d1d8714b41df24753e3.r2.dev/content/clinics/archive/rseeanjxfu/naver_blog/yonseiyegam/assets/by_hash/6dc2be0fb9b3fb6756b865ff841c35a0e7359b2acd3035dd6581c97bc927aa5a.jpg)
최소개수만 원하였기 때문에 위의 4개 치아만 라미네이트 무삭제로 진행하였습니다.
![왜소치 치아사이틈 막기 올해는 치료받으세요! [무삭제라미네이트 케이스] 관련 이미지 7](https://pub-9f2bb3498faf4d1d8714b41df24753e3.r2.dev/content/clinics/archive/rseeanjxfu/naver_blog/yonseiyegam/assets/by_hash/76c23d99fe2436aeb5b3524edfa92a65375e6e321917c4d69066955058e56403.jpg)
얼굴 전체를 못보여드리는게 아쉬운데 정말 연예인같은 외국인 환자분이었는데
치아 하시고 더 아이돌 같아지셨었어요!
![왜소치 치아사이틈 막기 올해는 치료받으세요! [무삭제라미네이트 케이스] 관련 이미지 8](https://pub-9f2bb3498faf4d1d8714b41df24753e3.r2.dev/content/clinics/archive/rseeanjxfu/naver_blog/yonseiyegam/assets/by_hash/8820cfaeb14104d4c3de0d68d34a0a20af6ac2ce95ec35c304efae9af00ed0a9.jpg)
오래된 레진 제거 후 라미네이트 4개
![왜소치 치아사이틈 막기 올해는 치료받으세요! [무삭제라미네이트 케이스] 관련 이미지 9](https://pub-9f2bb3498faf4d1d8714b41df24753e3.r2.dev/content/clinics/archive/rseeanjxfu/naver_blog/yonseiyegam/assets/by_hash/de318dbd81245bddf6d52caa9acdac9d24a9bf7a4b682f1dc19db444df1af43e.jpg)
![왜소치 치아사이틈 막기 올해는 치료받으세요! [무삭제라미네이트 케이스] 관련 이미지 10](https://pub-9f2bb3498faf4d1d8714b41df24753e3.r2.dev/content/clinics/archive/rseeanjxfu/naver_blog/yonseiyegam/assets/by_hash/674dc2e9fd56387b6003d3d5d6428a97d9dd6d312602fd30f5791b1468a51d0c.jpg)
다른치과에서 한 오래된 레진과 노란부분이 보기싫다고 오신 외국인 여자 환자분입니다.
오래된 레진은 제거하고 앞니 4개를 라미네이트 하기로 하였고
앞니 4개만으로도 깔끔한 이미지가 되었습니다.
![왜소치 치아사이틈 막기 올해는 치료받으세요! [무삭제라미네이트 케이스] 관련 이미지 11](https://pub-9f2bb3498faf4d1d8714b41df24753e3.r2.dev/content/clinics/archive/rseeanjxfu/naver_blog/yonseiyegam/assets/by_hash/329800d495e3e64e8b124f3ce8313bfc1144ff5078657c0a95c2166366c93e43.jpg)
원장님의 왜소치 무삭제 라미네이트
측절치(중앙에서 두번째 앞니)는 왜소치를 가지는 분들이 많은데요
원장님도 치아 딱하나만 약간 그런 외소치라서
치과의사 친구분들이 웃을 때 보시면 "어? Peg lateralis 다" 라고 한다고 하셨어요
저희 치과가 개원하자 마자 직접 왜소치 라미네이트를 해서 붙이셨어요
삭제가 없는 무삭제이니 본인이 직접 가능하신거죠...
![왜소치 치아사이틈 막기 올해는 치료받으세요! [무삭제라미네이트 케이스] 관련 이미지 12](https://pub-9f2bb3498faf4d1d8714b41df24753e3.r2.dev/content/clinics/archive/rseeanjxfu/naver_blog/yonseiyegam/assets/by_hash/8145d2cfbe443936308545ce2a77640e102ff12b4377536e4ba68b2ec6671cba.jpg)
저희 원장님께서 직접 본인치아에 하신 왜소치 1개 무삭제 라미네이트!
무삭제라서 남이 해줄 필요가 없으시다고..
벌어진 앞니 레진치료
그외에도 벌어진 앞니 같은 경우
저희 치과에서 레진치료도 많이 하기는 하나
범위가 너무 큰 경우는 레진은 위아래 치아가 맞닿는 힘에 의해, 또는 갈리는 힘에 의해
똑떨어질 수 있으니 라미네이트로 하는게 더 적절할 수도 있습니다.
![왜소치 치아사이틈 막기 올해는 치료받으세요! [무삭제라미네이트 케이스] 관련 이미지 13](https://pub-9f2bb3498faf4d1d8714b41df24753e3.r2.dev/content/clinics/archive/rseeanjxfu/naver_blog/yonseiyegam/assets/by_hash/4c0cb8fe70669caa1488b5c9cedde84ffe87de33baaa004d0913df5ecaa9cb8e.jpg)
지금까지 왜소치 라미네이트 케이스 중심으로 알아보았는데요
2024년 기준 라미네이트 이벤트 비용 알려드려요
(보통 어금니 크라운 보다 앞니 크라운이 비싸고
크라운 보다 라미네이트가 더 비싼데 저희는 이벤트로
앞니때문에 고민인 분들이 많아서 라미네이트를 합리적인 가격에 진행하고 있습니다)
2026년 기준 서울 시청역 연세예감치과
라미네이트 가격:
치아 개당 65만원
2개이상 진행시 개당 50만원
라미네이트와 치아미백은 미용목적으로
법적인 부가세 10프로를 받도록 되어있습니다.
(1. 본 가격은 2개이상 부터 구강과 입주변 전후
(위와 같은 치아만 나오는 사진, 기구끼고 찍어서 얼굴은 공개안되는 사진)
사진공개조건 가격입니다
2.사진공개를 원하지 않으시면, 개당 65만원에 진행가능합니다)
라미네이트 원하는 치아에 충치가 있는 경우
충치제거나 충치치료 후 라미네이트를 해야 할 수 있습니다.
2개이상은 8~10일 정도 입니다.)
라미네이트 이벤트 문의는
카톡예약과 문의 카카오톡채널 - 연세예감치과(클릭)
또는 카카오톡 아이디 ID: yonseiyegam 으로도 문의 가능합니다.
네이버예약 네이버 예약 클릭
지금까지
교포, 외국인들에게도
심미치과로 유명한 치과
을지로, 서울역, 광화문,종로 등에서도 가까운 시청역 연세예감치과였습니다.
![왜소치 치아사이틈 막기 올해는 치료받으세요! [무삭제라미네이트 케이스] 관련 이미지 14](https://pub-9f2bb3498faf4d1d8714b41df24753e3.r2.dev/content/clinics/archive/rseeanjxfu/naver_blog/yonseiyegam/assets/by_hash/4f9b3b6f0456c7581c78c653b8c6a2592cb61d3bb6f5cdde303cdebb8bb49169.png)
![왜소치 치아사이틈 막기 올해는 치료받으세요! [무삭제라미네이트 케이스] 관련 이미지 15](https://pub-9f2bb3498faf4d1d8714b41df24753e3.r2.dev/content/clinics/archive/rseeanjxfu/naver_blog/yonseiyegam/assets/by_hash/ae2e01b05a6e89808fc49a751fc21b81e1fc88594311994be90917aa7c697844.png)
![왜소치 치아사이틈 막기 올해는 치료받으세요! [무삭제라미네이트 케이스] 관련 이미지 16](https://pub-9f2bb3498faf4d1d8714b41df24753e3.r2.dev/content/clinics/archive/rseeanjxfu/naver_blog/yonseiyegam/assets/by_hash/2d6a3d642e5df8520a7e2a80cf3e87de181fdacdff0f98a47b605c833a44cec3.png)
![왜소치 치아사이틈 막기 올해는 치료받으세요! [무삭제라미네이트 케이스] 관련 이미지 17](https://pub-9f2bb3498faf4d1d8714b41df24753e3.r2.dev/content/clinics/archive/rseeanjxfu/naver_blog/yonseiyegam/assets/by_hash/938024df345140748d7727b369ec85be8485219745e1a11f80efa6fb9000ba64.png)
![왜소치 치아사이틈 막기 올해는 치료받으세요! [무삭제라미네이트 케이스] 관련 이미지 18](https://pub-9f2bb3498faf4d1d8714b41df24753e3.r2.dev/content/clinics/archive/rseeanjxfu/naver_blog/yonseiyegam/assets/by_hash/e879659de166645399432119b662687bc231edb1cabed7717334a9f50dd718e2.png)
![왜소치 치아사이틈 막기 올해는 치료받으세요! [무삭제라미네이트 케이스] 관련 이미지 19](https://pub-9f2bb3498faf4d1d8714b41df24753e3.r2.dev/content/clinics/archive/rseeanjxfu/naver_blog/yonseiyegam/assets/by_hash/e6d36ea6f5411c4a1ba5f6e4215876daffd1d9e4066d9fe23c9a5ee04e698a7b.png)
![왜소치 치아사이틈 막기 올해는 치료받으세요! [무삭제라미네이트 케이스] 관련 이미지 20](https://pub-9f2bb3498faf4d1d8714b41df24753e3.r2.dev/content/clinics/archive/rseeanjxfu/naver_blog/yonseiyegam/assets/by_hash/a149f8c823261633d393116aedda3002075a9685143bf9900b3f0ad0f5105a40.png)
![왜소치 치아사이틈 막기 올해는 치료받으세요! [무삭제라미네이트 케이스] 관련 이미지 21](https://pub-9f2bb3498faf4d1d8714b41df24753e3.r2.dev/content/clinics/archive/rseeanjxfu/naver_blog/yonseiyegam/assets/by_hash/239aa3db4598e65cce824326ee39c2266333a069d44c62a7bd6fa133365fd64f.jpg)
저희 연세예감치과는 서울시가 3단계심사를 거쳐 인증한 서울특별시 의료관광 협력기관입니다