아카이브 요약
이 페이지의 역할
연세예감치과의원의 네이버 블로그 원문을 보존한 아카이브 페이지입니다. 치아성형 카테고리의 (교정 후에도) 벌어진 앞니 치아 레진으로 간단히 메꾸기 글을 통해 병원의 한국어 정보 제공 방식과 진료 관련 안내 톤을 확인할 수 있습니다.
원문 검증
필요하면 원문 블로그와 병원 프로필로 바로 이동해 문맥을 다시 확인할 수 있습니다.
출처 아카이브 열기아카이브된 블로그 글
연세예감치과의원 · Naver Blog
안녕하세요 시청역 연세예감치과입니다. 서울의 중심 시청역 7번 출구에 위치하여 서울역, 광화문, 서대문역, 충정로,명동 에서도 오기쉬운 위치입니다. 시청역 삼성본관 바로 맞은편에 위치하고 있습니다. 오늘은 많은 분들이 신경쓰여하시는, 벌어진 치아 메우는? 메꾸는 방법입니다. 특히 교정을 하신 분들 중에 시간...
게시일
2024년 1월 15일
원문 기준으로 확인된 발행일입니다.
카테고리
치아성형
원문 블로그 카테고리를 정리해 함께 표시합니다.
이미지 수
13
현재 아카이브에 연결된 이미지 수입니다.
아카이브 요약
연세예감치과의원의 네이버 블로그 원문을 보존한 아카이브 페이지입니다. 치아성형 카테고리의 (교정 후에도) 벌어진 앞니 치아 레진으로 간단히 메꾸기 글을 통해 병원의 한국어 정보 제공 방식과 진료 관련 안내 톤을 확인할 수 있습니다.
원문 검증
필요하면 원문 블로그와 병원 프로필로 바로 이동해 문맥을 다시 확인할 수 있습니다.
출처 아카이브 열기안녕하세요 시청역 연세예감치과입니다.
서울의 중심 시청역 7번 출구에 위치하여
서울역, 광화문, 서대문역, 충정로,명동 에서도 오기쉬운 위치입니다.
시청역 삼성본관 바로 맞은편에 위치하고 있습니다.
오늘은
많은 분들이 신경쓰여하시는,
벌어진 치아 메우는? 메꾸는 방법입니다.
특히 교정을 하신 분들 중에 시간이 지나면서
유지장치를 안하셨거나, 유지장치가 제대로 잡아주지 못해서
앞니가 벌어져 틈이 보여서 스트레스 받는 분들이 계시는데요,
이렇게 사이가 벌어진 앞니는
1.레진 (범위가 작은 경우)
2.라미네이트
케이스마다 어떤 치료법을 선택해야하는지 다양한데요
오늘은 그 중에서도 저희 치과에서 레진으로 치료한 두 케이스를 살펴보겠습니다.
두 분 모두 다른 치과에서 교정을 하셨는데 벌어져서 레진을 하고싶어한 케이스 였습니다.
[환자분의 동의를 얻은 사진만 게시합니다.]
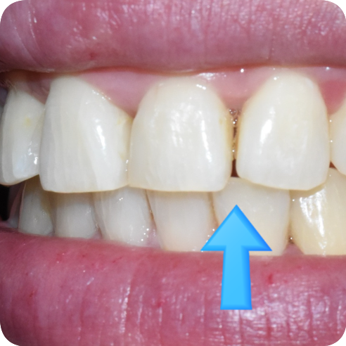
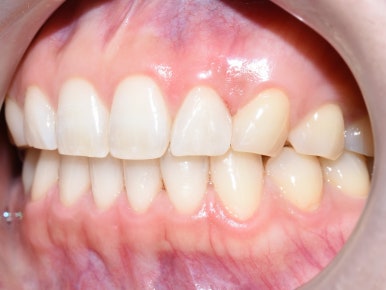
유지장치를 했는데도 벌어졌고 점점 더 벌어져요

이렇게 대문이 옆이 벌어져있으면 옆쪽에서 환자분을 보는 상대방은
이 벌어진 틈 부분이 말할 때 마다 엄청 잘 보입니다.
유지장치가 치아 뒤에 붙어있었으나 한쪽은 끊어져서 떨어져 있었고
벌어진 쪽은 유지장치가 붙어있음 에도 불구하고 벌어져있는 케이스 였습니다.
양쪽 모두 벌어진다고 하셔서 부분교정을 권해드렸지만
환자분께서 레진으로 이미 벌어진 부위는 메꾸고 새로 유지장치를 하는 쪽을 원하셔서 그렇게 진행하였습니다.


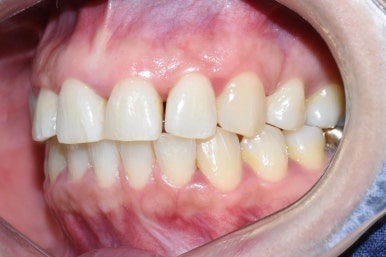
틈이 있는 치아 레진 전후
좌우 사진 비교해보시면 확실히 틈이 없어졌죠.
이런 레진 메우기 치료는 하루만에 가능한 치료입니다.
단, 어금니 레진과 다르게 색과 모양에 신경을 아주 많이 써야하기 때문에
1시간 정도 충분히 시간을 빼놓고 오시길 추천드립니다.
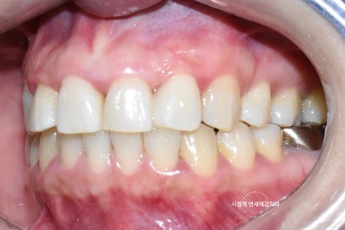
교정을 했는데 틈이 있어요. 유지장치도 붙어있어요

이 케이스는 다른치과에서 교정을 했는데 치아가 약간 좁다보니 틈이 있는채로 마무리 된 케이스입니다.
이 케이스 역시 뒤쪽에 교정유지장치는 붙어있었습니다.


교정하고도 빈 공간 레진으로 치료 전후
위와 같이 시청역 명동 가까운 연세예감치과에서 레진으로 하루에 한번에 치료 완성되었습니다.
앞니 레진의 경우 어금니와 다르게
모양과 색에 신경을 아주 많이 써야해서 어금니보다 치료시간이 길고
레진도 더 심미적이고 치아색상과 더 흡사한 레진이 들어가야 합니다.
개개인마다 치아 색과 모양, 비치는 정도 등등이 다 다릅니다.
따라서 그만큼 거의 모든 치과에서 비용도 앞니치료가 어금니보다는 비싸니 참고부탁드립니다.
저희치과도 특별히 앞니 레진치료를 위해서
다양한 쉐이드의 레진과 다양한 브랜드의 레진을 구비하고 있습니다.
꼭 앞니 치료 많이 하는 치과의사와 상담하시어
본인에게 적절한 치료법으로 치료하시기 바랍니다.
서울시청역 연세예감치과는
한국의 첨단 치과기술과 미래 지향적인 기술의 대표적인 치과로
서울을 방문하는 해외 치과의사 뿐 아니라
일반 해외관광객들도 충치치료와 미용치료 진료받기 위해 찾는 외국인들에게도
유명 한 치과입니다.







↑네이버예약가능합니다.
카카오톡 문의 및 예약: 카톡아이디 yonseiyegam 친구추가하시어 문의하시거나
카카오톡채널 카카오톡채널 - 연세예감치과 (클릭) 하여 문의주셔도 됩니다!