연세예감치과(시청역)
전체 임프란트를 하기 위해 홍콩에서 오신 홍콩인 환자분
안녕하세요 시청역 7번출구 삼성 본관 맞은편에 위치한 연세 예감 치과입니다 서울 시청역 7 번출구 에서 도보 3분 거리 (직진 200 미터)라서 서울역,충정로,광화문,서대문역,명동,을지로,종로, 신촌 등 각지에서 오시기 좋습니다 해외에서도 외국인들과 교포분들이 찾아오는 저희 연세 예 감 치과에 관광목적이 아니라 단...
아카이브 요약
이 페이지의 역할
연세예감치과(시청역) Yonsei Yegam Dental Clinic ヨンセイェガム歯科의 네이버 블로그 원문을 보존한 아카이브 페이지입니다. 임플란트 카테고리의 전체 임프란트를 하기 위해 홍콩에서 오신 홍콩인 환자분 글을 통해 병원의 한국어 정보 제공 방식과 진료 관련 안내 톤을 확인할 수 있습니다.
안녕하세요 시청역 7번출구 삼성 본관 맞은편에 위치한
연세 예감 치과입니다
서울 시청역 7 번출구 에서 도보 3분 거리 (직진 200 미터)라서
서울역,충정로,광화문,서대문역,명동,을지로,종로, 신촌 등 각지에서 오시기 좋습니다
해외에서도 외국인들과 교포분들이 찾아오는 저희 연세 예 감 치과에
관광목적이 아니라 단지, 전체 인플란트를 하기 위해 해외에서 날아오신
외국인 홍콩 환자 분 의 진행 상황을 포스팅 하고자 합니다
[환자분의 동의를 얻은 케이스만 게시합니다]
관광이 아니라 오로지 치과 치료를 위해
한국을 방문 하신 홍콩인 환자 분이었습니다
환자분은 치아가 매우 많이 흔들려서
전체 인플란트를 생각하고 오셨습니다
본인도 치아 상태가 매우 안 좋은 걸 알고 있었고
이미 홍콩에서도 전체 임플란트를 해야 한다고 진단 받은 상태였습니다
홍콩에서 할지 아니면 가까운 대만에서 할지 알아보시다가
따님분이
홍콩에 까지 소문이 퍼진 저희 치과에
한국 치과를 수소문해서
임플란트를 하셔야 하는 어머니를 데리고 한국에 처음 오게 되었습니다

저희 치과는
워낙 외국인 환자 치료 경험이 많기 때문에
의사소통에 그게 문제 없이 영어로 소통을 잘 할 수 있었고
환자 분에 일정에 최대한 잘 맞춰드렸습니다

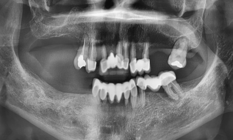
처음 치료전 상태
진짜 저 치아들을 다 뽑아야해? 라고 생각하실 수 있겠지만
동영상을 보시면 기존 해외 다른치과에서 한
위 아래 브릿지가 엄청 흔들려서 (=브릿지 아래 치아뿌리가 흔들리는 것)
발치를 해야할 수 밖에 없다는 것을 아실 겁니다.
최대한 살릴 수 있는 치아는 살리기 위해서
위에는 치아를 살리기 힘들었기 때문에 다 뽑고 전체 인플란트를 하고
아래쪽 같은 경우는 살릴 수 있는 치아는 냅두고
나머지 부분만 임플란트를 하기로 하였습니다
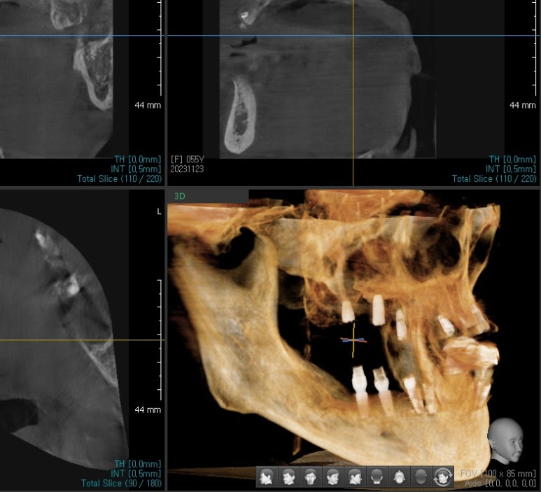
환자 분이 한국에 오신 다음날
계획된 개수 임플란트를 모두 식립하였고

아래쪽 어금니 같은 경우는 임플란트 식립 수술한 바로 다음날임시 치아를 끼워 드려서 씹을 수 있게 해드렸습니다

위 전체 임시틀니, 아래 앞니 임시틀니, 아래 어금니 임시치아 상태
환자 분 의 뼈 상태가 매우 좋으면
다른 부분도 임시 치아를 바로 올릴 수도 있겠으나
환자 분 의 뼈가 매우 약 했기 때문에
환자 분 의 잇몸 뼈 와 임플란트 뿌리 부분이 잘 붙을 때까지
상악부위는 임시 틀니를 해 드렸고
아래쪽 앞뒤 같은 경우도 뺐다 꼈다 하는 임시 치아를 만들어 들었습니다
물론 틀니 자체도 불편하고 최종 틀니도 아니고 임시 틀니기 때문에
많이 불편 하실 수 있겠으나
환자 분이 기존 치아가 너무 안좋아서
기존 치아 상태에서 의 불편감이 더 컸기때문에 무난히 잘 적응하셨습니다
임시치아와 임시틀니 상태임에도 예전보다 훨씬 바른얼굴이 되었습니다.
환자분은 다시 잠시 홍콩으로 출국 하셨고
잇몸뼈가 너무 안좋으셔서 바로 임플란트 고정이 안되어있고
고정되지 않은 임플란트는 모래에 깃발 꽂아놓은 것과 같기 때문에
임플란트가 잇몸뼈와 충분히 유착될때까지 3개월 정도 기다렸다가
다시 한국에 오셔서 저희 치과에서 인플란트 머리까지 완성 하셨습니다.

전체 임플란트 치료 후 모습
얼굴도 예전과 비교하면 훨씬 바르게 되셨지요
예전에는 입이 튀어나온 모습이었습니다.


임플란트 전후 <훨씬 하얗고 고르고 아름답고 건강한 치아의 모습으로>
환자분이 너무 만족하시며 홍콩으로 귀국하셔서
기분좋게 마무리한 케이스였습니다.
지금까지 전체 인플란트를 하기 위해 홍콩에서 저희 시청역 연세 예감 치과를 찾아 주셔서
상담 후에 윗니 전체 임플란트, 아랫니 오른쪽 어금니임플랜트, 아래쪽 앞니 임플란트 등
한 번에 많은 임플란트 수술을 하신 환자 분 의 케이스였습니다.
해외에서도 아름답고 건강한 치아를 위해
찾아오는 시청역 연세 예감 치과







연세 예감 치과는 서울시로부터
3단계 인증 과정을 거쳐 선발 된
서울시 인증 서울특별시 의료 관광 협력기관 입니다.


더 보기
이 병원의 공개 콘텐츠를 계속 살펴보세요
출처 아카이브로 돌아가 더 많은 글을 보거나, 병원 프로필로 이동해 다른 공개 채널도 함께 비교해보세요.