연세예감치과(시청역)
종로구 치아미백 외국인 관광객들도 미백 하러 오는 유명치과
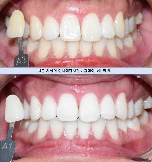
안녕하세요 시청역 7번출구 삼성본관 바로 맞은편에 위치한 연 세 예 감 치과입니다 서울 시청역에 위치하여 종로 광화문 을지로 서울역 충정로에서도 오기 편한 위치 입니다 심지어 외국인 관광객들도 미백 하러 오기로 유명한 치과이지요 [환자분의 동의를 얻은 사진만 기재합니다] 저희 치과에서 무려 5년 동안 미백하러...
아카이브 요약
이 페이지의 역할
연세예감치과(시청역) Yonsei Yegam Dental Clinic ヨンセイェガム歯科의 네이버 블로그 원문을 보존한 아카이브 페이지입니다. 치아미백 카테고리의 종로구 치아미백 외국인 관광객들도 미백 하러 오는 유명치과 글을 통해 병원의 한국어 정보 제공 방식과 진료 관련 안내 톤을 확인할 수 있습니다.
안녕하세요 시청역 7번출구
삼성본관 바로 맞은편에 위치한
연 세 예 감 치과입니다
서울 시청역에 위치하여
종로 광화문 을지로 서울역 충정로에서도 오기 편한 위치 입니다
심지어 외국인 관광객들도 미백 하러 오기로 유명한 치과이지요
[환자분의 동의를 얻은 사진만 기재합니다]
저희 치과에서 무려 5년 동안 미백하러 몇 년에 걸쳐 세번 오신 환자분이에요
인스타 스토리 올려주셨구요
분당에 살지만 일부로 저희 치과까지 오시는 남아공 환자 분이었습니다
커피를 자주 드셔서 착색이 많이 되는 환자 분이라
2019년
2021년에 이어
이번 2024년 초 에도 본인 나라인 남아공으로 출국 전에 믿고 미백위해 방문해주셨습니다
저희 시청역 연 세 예 감 치과는 치과용 최신 목걸이형 미백기를 도입하여
미백 효과를 높이고 미백 하는 장시간 동안 꼼짝달싹 못하고 누워 있어야 했던 불편감을 없애고
미백 동안에도 편하게 움직일 수 있는 환경을 제공하여
핸드폰 하면서 쉴 수 있어서 외국인 관광객들이 매우 좋아하고 있습니다
기존 큰 미백기 아래에서 꼼짝달싹 못하던 미백기와는 달리


좌) 몇 년전 쓰던 미백기 우)최신 목걸이형 미백기
목걸이형 미백기는 미백을 하면서 움직일 수도 있고 핸드폰도 할 수 있습니다.
우리나라 치과그룹 1위인 오스템에서 나온 미백기입니다.
외국인도 K-뷰티를 위해 찾아오는 연세 예감 치과에서
깨끗하고 밝은 치아를 위해서 미백해 보시는 거 어떨까요?

오래전 예전의 여러 번 내원해서 한번씩 미백하던 방식에서 벗어나
원데이에 몇 사이클씩 가능한 미백 진행하고 있습니다.
하루 만에 하얗게 되는 원데이 미백 가격 (2025년 이벤트 가격)
파노라마 포함한 치아 검진(미백전 부작용방지를 위해 필수입니다): 건강보험료 적용
옵션i) 미백 원데이 3회(하루에 미백3회가 들어가는 치료) : 32만원 .부가세포함 35만2천원
옵션ii) 미백 원데이 2회 (하루에 미백2회가 들어가는 치료) : 25만원. 부가세포함 27만5천원
치아미백은 부가세가 법적으로 있는 치료이며
부가세를 내지 않는 경우 관련법상 불법적으로 진행하는 곳입니다.
미백은 검진, 잇몸보호제도포시간, 약제바르는 시간, 라이트쬐는 시간 등
시간이 많이 걸리는 진료이니 예약필수이며
원데이 3회의 경우 한시간 반정도,
원데이 2회의 경우는 한시간정도 충분히 시간을 비우고 내원부탁드려요.
미백 후 2시간은 물 이외 음식섭취는 금지입니다!
외국인도 일부러 미백하러 찾아오는 연세예감치과에서
하루만에 환한 치아 가져보세요!







더 보기
이 병원의 공개 콘텐츠를 계속 살펴보세요
출처 아카이브로 돌아가 더 많은 글을 보거나, 병원 프로필로 이동해 다른 공개 채널도 함께 비교해보세요.