아카이브 요약
이 페이지의 역할
연세예감치과의원의 네이버 블로그 원문을 보존한 아카이브 페이지입니다. 스케일링 카테고리의 서울역 설날 설 전에 준비 해야 할 것들 스케일링이나 치아미백 어떠세요? 글을 통해 병원의 한국어 정보 제공 방식과 진료 관련 안내 톤을 확인할 수 있습니다.
원문 검증
필요하면 원문 블로그와 병원 프로필로 바로 이동해 문맥을 다시 확인할 수 있습니다.
출처 아카이브 열기아카이브된 블로그 글
연세예감치과의원 · Naver Blog
안녕하세요 서울 시청역7번출구 삼성본관 맞은편에 위치한 시청역 연 세 예 감 치과입니다. 서울 세종대로에 위치하며, 광화문, 을지로, 종로, 남대문, 명동, 충정로, 서울역 등 중구 어디서나 그리고 서대문역에서도 오기 쉬운 위치에 있습니다. 이제 설 명절이 다가오고 있는데요, 설 전에 뭘 하면 좋을지 치과적인 측면...
게시일
2024년 2월 2일
원문 기준으로 확인된 발행일입니다.
카테고리
스케일링
원문 블로그 카테고리를 정리해 함께 표시합니다.
이미지 수
12
현재 아카이브에 연결된 이미지 수입니다.
아카이브 요약
연세예감치과의원의 네이버 블로그 원문을 보존한 아카이브 페이지입니다. 스케일링 카테고리의 서울역 설날 설 전에 준비 해야 할 것들 스케일링이나 치아미백 어떠세요? 글을 통해 병원의 한국어 정보 제공 방식과 진료 관련 안내 톤을 확인할 수 있습니다.
원문 검증
필요하면 원문 블로그와 병원 프로필로 바로 이동해 문맥을 다시 확인할 수 있습니다.
출처 아카이브 열기안녕하세요
서울 시청역7번출구
삼성본관 맞은편에 위치한
시청역 연 세 예 감 치과입니다.
서울 세종대로에 위치하며,
광화문, 을지로, 종로, 남대문, 명동, 충정로, 서울역 등 중구 어디서나
그리고 서대문역에서도 오기 쉬운 위치에 있습니다.
이제 설 명절이 다가오고 있는데요,
설 전에 뭘 하면 좋을지
치과적인 측면에서(!) 한번 알아보겠습니다.
스케일링
저희가 추천드리는 건
스케일링 인데요
치주염 예방을 위해 스케일링은 필수입니다.
특히 입냄새 나는 분들, 소화기적인 문제일 수도 있지만
치석이 쌓이고 음식물잔사가 쌓여서 나는 입냄새 일 수 있으니
검진 후 스케일링 진행해보세요.
깨끗한 치아 만든 후에 친척들, 가족들과 만나서 수 다 를 떨어야겠죠?
또한 만19세 이상 국민에게는 건강보험이 일년에 한번씩 적용되니
꼭 스켈링 받으시길 권장드립니다.


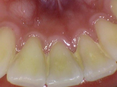
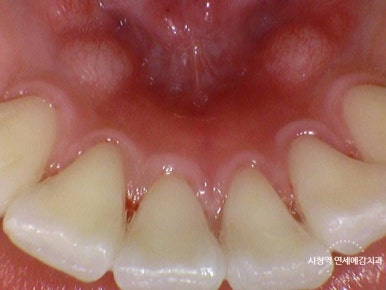
치아 스케일링 전후
저희 연세예감치과는 스케일링을 무서워하는 환자들을 위해
말씀해주시면 가글마취를 통해
스케일링 하는 동안의 잇몸의 따끔따끔한 통증이나 시림증상 등을 최소화하기 위해 노력하고 있습니다.
[간혹 오히려 스케일링할 때 시원한 느낌을 좋아하는 분들이 계셔서
말씀해주시는 경우에만 가글마취 해드리니 참고해주세요!]
스케일링은 만 19세 이상 대한민국 국민이라면 건강보험이 적용되니
비용이 그렇게 많이 부담되지는 않으실 거에요.
(물론 물가상승률을 고려하여 매년 조금씩 오르고 있는데, 건강보험이 적용되니
모든 치과에서 가격은 거의 동일하다고 보시면 됩니다)
치아미백
환한 치아로 명절에 친척이나 가족을 만나거나
연휴동안 못본 친구들을 본다면 더 좋겠죠?
요새는 다들 자기관리에 관심이 많으셔서
알게 모르게 치아 미백을 많이 하신답니다.
특히 저희 연세예감치과는 외국인들이 많이 찾아오는 치과라
환하게 하얀 치아를 드러내며 웃는게 미덕 인 서구권 관광객들이
미백을 하기 위해 많이 찾아온답니다.


저희 치과에서는 여러번 내원하는 미백이 아닌
하루에 완성되는 원데이 미백을 진행하고 있는데
한번에 2회 진행되는 미백, 또는 한번에 3회 진행되는 미백
선택하여 진행하실 수 있습니다.

또한 미백하는 긴 시간동안
거의 미백기 밑에 갇혀서 기존의 움직이지 못하던 미백기에서 벗어나
최신형 목걸이형 미백기를 사용하여 미백하는 동안 휴대폰도 사용할 수 있고
움직일 수도 있습니다.
미백비용 궁금하시죠?
올해 2024년 기준 이벤트 미백가격은 다음과 같습니다.
하루 만에 하얗게 되는 원데이 미백 가격 (2024년 이벤트 가격)
파노라마 포함한 치아 검진(미백전 부작용방지를 위해 필수입니다): 건강보험료 적용
옵션i) 미백 원데이 3회(하루에 미백3회가 들어가는 치료) : 31만원 .부가세포함 34만1천원
옵션ii) 미백 원데이 2회 (하루에 미백2회가 들어가는 치료) : 25만원. 부가세포함 27만5천원
치아미백은 부가세가 법적으로 있는 치료이며
부가세를 내지 않는 경우 관련법상 불법적으로 진행하는 곳입니다.
미백은 검진, 잇몸보호제도포시간, 약제바르는 시간, 라이트쬐는 시간 등
시간이 많이 걸리는 진료이니 예약필수이며
원데이 3회의 경우 한시간 반정도,
원데이 2회의 경우는 한시간정도 충분히 시간을 비우고 내원부탁드려요.
미백 후 2시간은 물 이외 음식섭취는 금지입니다!
지금까지 해외에서도 아름답고 건강한 치아를 만들기 위해 찾아오는
서울 시청근처 시청역 연세예감치과에서
설 명절 전에 치과에서 하면 좋을 진료를 알아보았습니다.
저희 연세예감치과는 이번 2024년 설명절 중
대체공휴일인 2024년 2월 12일 월요일은 10시에서 5시까지 진료하니 참고해주세요(예약하고 내원부탁드립니다)
카톡 채널로 문의도 가능합니다.: 클릭 ->카카오톡채널 - 연세예감치과
또는 카카오톡 아이디 : yonseiyegam 친구추가하시어 문의도 가능합니다!
네이버예약 가능합니다(맨 아래쪽 지도 클릭하여 가능합니다)






