아카이브 요약
이 페이지의 역할
연세예감치과의원의 네이버 블로그 원문을 보존한 아카이브 페이지입니다. 치아성형 카테고리의 앞니가 변색이 있어서 크라운을 해야하는데 뒤에 교정 유지장치가 붙어있다면? 글을 통해 병원의 한국어 정보 제공 방식과 진료 관련 안내 톤을 확인할 수 있습니다.
원문 검증
필요하면 원문 블로그와 병원 프로필로 바로 이동해 문맥을 다시 확인할 수 있습니다.
출처 아카이브 열기아카이브된 블로그 글
연세예감치과의원 · Naver Blog
안녕하세요 시청역 7번출구 삼성본관빌딩 맞은편 시청역 연세예감치과입니다. 광화문, 을지로, 서울역, 종로, 명동, 서대문역에서도 오기쉬운 위치입니다. 오늘은 앞니가 변색이 있어서 크라운을 하고 싶은데 교정을 하고난 후라서 교정 유지장치가 붙어있다면 어떻게 하는 방법이 있는지 알아보도록 하겠습니다. [환자...
게시일
2024년 2월 7일
원문 기준으로 확인된 발행일입니다.
카테고리
치아성형
원문 블로그 카테고리를 정리해 함께 표시합니다.
이미지 수
12
현재 아카이브에 연결된 이미지 수입니다.
아카이브 요약
연세예감치과의원의 네이버 블로그 원문을 보존한 아카이브 페이지입니다. 치아성형 카테고리의 앞니가 변색이 있어서 크라운을 해야하는데 뒤에 교정 유지장치가 붙어있다면? 글을 통해 병원의 한국어 정보 제공 방식과 진료 관련 안내 톤을 확인할 수 있습니다.
원문 검증
필요하면 원문 블로그와 병원 프로필로 바로 이동해 문맥을 다시 확인할 수 있습니다.
출처 아카이브 열기안녕하세요
시청역 7번출구
삼성본관빌딩 맞은편
시청역 연세예감치과입니다.
광화문, 을지로, 서울역, 종로, 명동, 서대문역에서도
오기쉬운 위치입니다.
오늘은 앞니가 변색이 있어서 크라운을 하고 싶은데
교정을 하고난 후라서 교정 유지장치가 붙어있다면 어떻게 하는 방법이 있는지 알아보도록 하겠습니다.
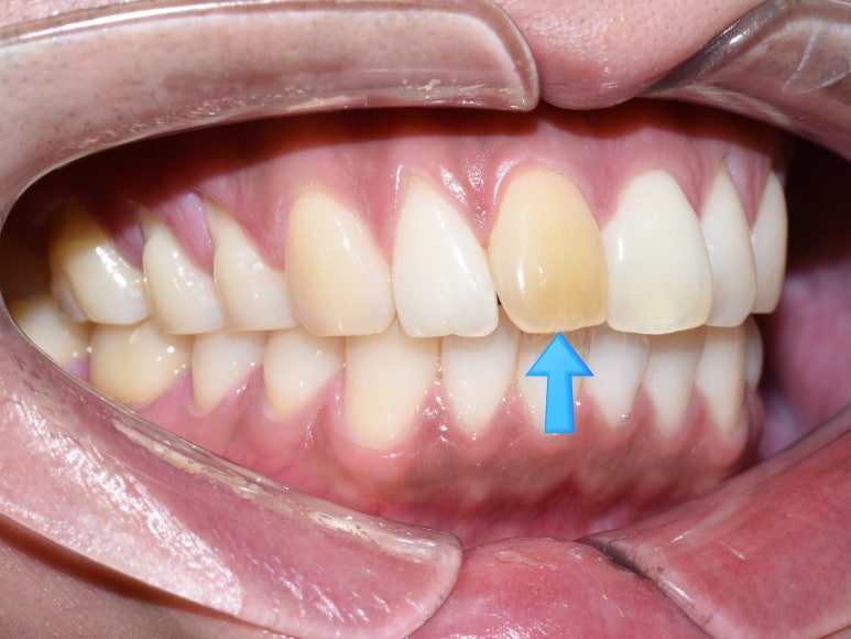
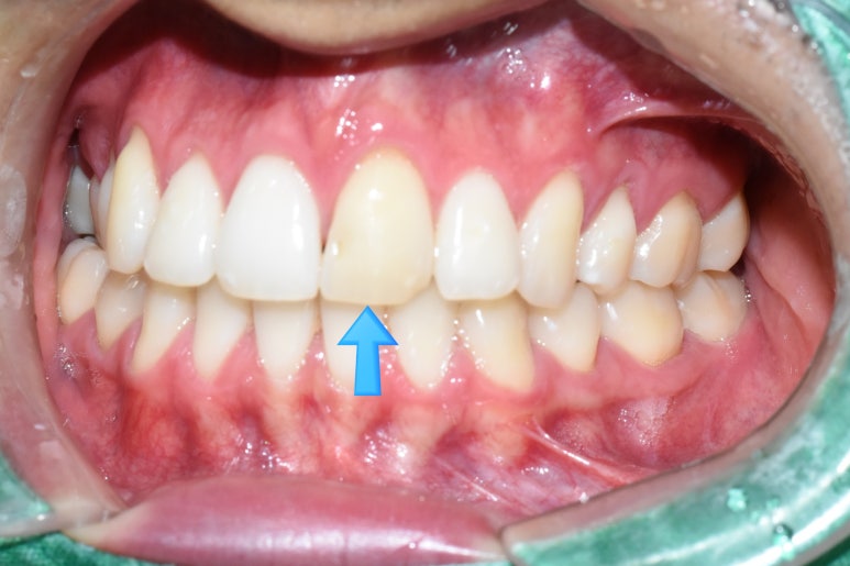
[환자분의 동의를 얻은 사진만 게시합니다]


이렇게 앞니가 하나 , 하나만 변색되신 분들이 굉장히 많습니다.
앞니 한두개 변색되신 분들이 한국인 외국인 할 것 없이
전국, 해외에서
저희 서울 시청역 연세예감치과를 굉장히 많이 찾아오시는데요,
부딪히는 외상으로 인해 변색이 생겼을 수도 있고
신경치료 후에 피치못하게 치아 변색이 생기는 분들도 계십니다.
보통 신경치료 후에는 대부분 기본적으로 크라운을 씌우게 되는데
간혹 앞니나 특수한 케이스에서 크라운을 씌우지 못한 경우에
변색이 온 후 크라운을 하겠다고 찾아오시는 분들이 많이 계십니다.

그런데,
교정을 하신 분들도 많다보니 그 크라운을 해야하는 앞니에
유지장치가 붙어있는 분들도 많으세요.
이런 경우에는 치아 하나의 앞뒤 좌우를 다 깎아서 씌우는
크라운말고
치아를 최소한으로만 삭제하는 최소삭제 라미네이트를 생각해볼 수 있는데요
라미네이트에 대해 편견을 가진 분들이 많으신데
대부분 하나씩 입안에 가지고 있는 크라운보다
라미네이트가 훨씬 삭제량이 적습니다.
크라운을 하게되면 크라운에 치아보다는 유지장치가 잘 안붙어서
유지장치가 언젠가 떨어질 확률이 높아질 뿐더러
유지장치가 있는 상태에서 크라운을 하려면
유지장치를 뜯어내고 크라운을 한 후에 다시 새로 유지장치를 크라운에 맞게 제작해야합니다.
따라서 이러한 경우에는
뒤에 유지장치를 건드리지 않는 라미네이트를 하여
치아의 변색을 가릴 수 있는 방법을 한가지 옵션으로 생각해 볼 수 있습니다.
물론 크라운이 더 적절한 케이스라면
유지장치를 뜯어내더라도 크라운을 하는 것이 맞겠지요.

위의 사진에서 철사보이시죠?
이렇게 교정 유지장치가 붙어있는데 많이 썩은 치아에서
환자분이 유지장치를 떼기 싫어하셔서
라미네이트로 치료를 마무리 하였습니다.

화살표된 두개 앞니 치아 치료
2026년 기준 서울 시청역 연세예감치과
라미네이트 가격:
치아 개당 65만원
2개이상 진행시 개당 50만원
라미네이트와 치아미백은 미용목적으로
법적인 부가세 10프로를 받도록 되어있습니다.
(1. 본 가격은 2개이상 부터 구강과 입주변 전후
(위와 같은 치아만 나오는 사진, 기구끼고 찍어서 얼굴은 공개안되는 사진)
사진공개조건 가격입니다
2.사진공개를 원하지 않으시면, 개당 65만원에 진행가능합니다)
라미네이트 원하는 치아에 충치가 있는 경우
충치제거나 충치치료 후 라미네이트를 해야 할 수 있습니다.
2개이상은 8~10일 정도 입니다.)
라미네이트 이벤트 문의는
카톡예약과 문의 카카오톡채널 - 연세예감치과(클릭)
또는 카카오톡 아이디 ID: yonseiyegam 으로도 문의 가능합니다.
네이버예약 네이버 예약 클릭
지금까지 시청역 치과
연세예감치과에서 알아본
교정 유지 장치가 붙어있는 치아에서의
크라운은 어떻게 하나요? 에 대해 알아보았습니다.
해외에서도 앞니치료를 위해 찾아오는
시청역 연세예감치과입니다.






