아카이브 요약
이 페이지의 역할
연세예감치과의원의 네이버 블로그 원문을 보존한 아카이브 페이지입니다. 치아성형 카테고리의 "아래 앞니 벌어진 틈 레진 하고 싶어요" →치료후 "(감쪽같아서) 어디를 했는지 모르겠어요" 글을 통해 병원의 한국어 정보 제공 방식과 진료 관련 안내 톤을 확인할 수 있습니다.
원문 검증
필요하면 원문 블로그와 병원 프로필로 바로 이동해 문맥을 다시 확인할 수 있습니다.
출처 아카이브 열기아카이브된 블로그 글
연세예감치과의원 · Naver Blog
안녕하세요 서울의 중심 서울 시청역 7번출구 삼성본관 빌딩 바로 맞은편에 위치한 시청역 연 세 예 감 치과입니다. 서울역, 광화문, 충정로, 종로, 을지로, 용산, 강남, 마포, 신촌, 서대문역 등 서울의 완전 중심인 시청역에 위치하여 서울 어디서도 접근성이 좋은 위치에 있으며 해외에서도 아름답고 건강한 치아를 만들기...
게시일
2024년 2월 14일
원문 기준으로 확인된 발행일입니다.
카테고리
치아성형
원문 블로그 카테고리를 정리해 함께 표시합니다.
이미지 수
20
현재 아카이브에 연결된 이미지 수입니다.
아카이브 요약
연세예감치과의원의 네이버 블로그 원문을 보존한 아카이브 페이지입니다. 치아성형 카테고리의 "아래 앞니 벌어진 틈 레진 하고 싶어요" →치료후 "(감쪽같아서) 어디를 했는지 모르겠어요" 글을 통해 병원의 한국어 정보 제공 방식과 진료 관련 안내 톤을 확인할 수 있습니다.
원문 검증
필요하면 원문 블로그와 병원 프로필로 바로 이동해 문맥을 다시 확인할 수 있습니다.
출처 아카이브 열기안녕하세요 서울의 중심
서울 시청역 7번출구
삼성본관 빌딩 바로 맞은편에 위치한
시청역 연 세 예 감 치과입니다.
서울역, 광화문, 충정로, 종로, 을지로, 용산, 강남, 마포, 신촌, 서대문역 등
서울의 완전 중심인 시청역에 위치하여
서울 어디서도 접근성이 좋은 위치에 있으며
해외에서도 아름답고 건강한 치아를 만들기 위해 찾아오는 치과입니다.
아랫니가 벌어져 있어서 레진을 하고 싶어요.
방금 전 다른치과에서 상담받고 왔는데 안된다고 했어요.
오늘은 아랫니가 벌어져 있어서 레진을 하고 싶어
저희 연세예감치과를 찾아오신 20대 남자 환자분의 사연입니다.
[환자분이 공개에 동의하신 케이스만 공개합니다.]

↓



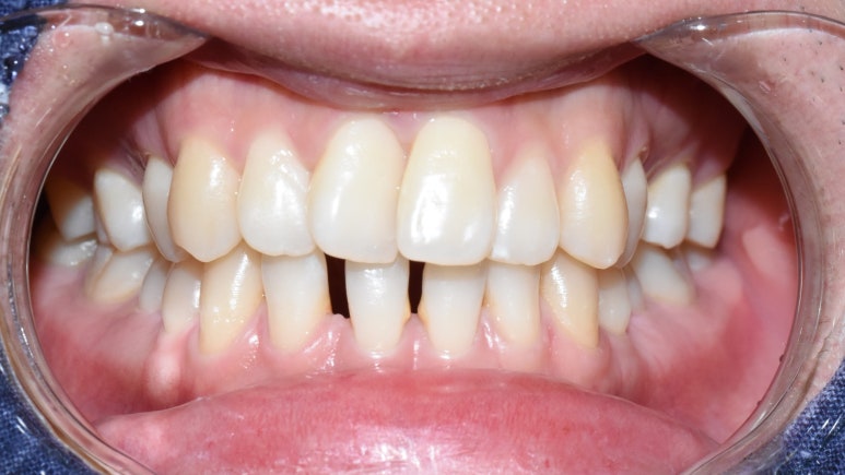
벌어진 앞니 레진 치료 전
아래 앞니가 벌어져 있어서 레진을 하고 싶다고 찾아온 환자분으로
방금 다른 치과에 상담 받고 왔는데 레진으로 안된다고 한 케이스였습니다.
저희도 원장님 상담 결과 이 케이스는 대칭을 맞추기 힘들어
레진으로 모양이 이쁘게 나오기도 쉽지 않고
공간을 메우다 보니 치아 크기도 커져 보이게 되므로
앞니 부분교정이 더 낫겠다고 설명드렸으나
환자분께서 서비스직이라 빠른 시간내에 빈 곳을 매꿀 수만 있으면 좋겠다고 하여
어쩔 수 없이 레진으로 진행한 케이스입니다.
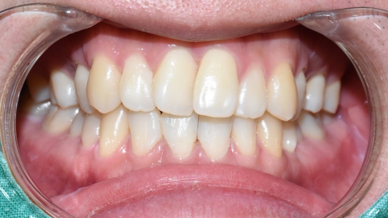
치료 후 사진입니다.↓

치료 후 원장님께서
환자분께 "어떻냐고 혹시 보시고 수정할 부분 있으면 알려달라"고 말씀 드렸는데
거울을 보신 환자분이 "원래 빈틈이 어디있었는지 모르겠어서
어디를 수정해야 할지 모르겠다"
라고 하셔서
원장님께서 "그럼 티가 하나도 안난단 말이니 괜찮은 거네요"
라고 하시면서 해피하게 마무리 되었습니다.
평생을 가지고 있던 빈틈이 어디있었는지도 인식이 안될만큼
너무 자연스럽게 되어서 환자분도 만족하신 것 같습니다.

일주일 후에 오신 환자분께서 불편한 점이 하나도 없었다고 해주셔서
빈틈이 없어진 모습을 보니 저희도 뿌듯했습니다.

↓

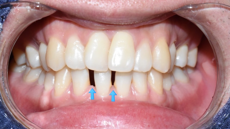
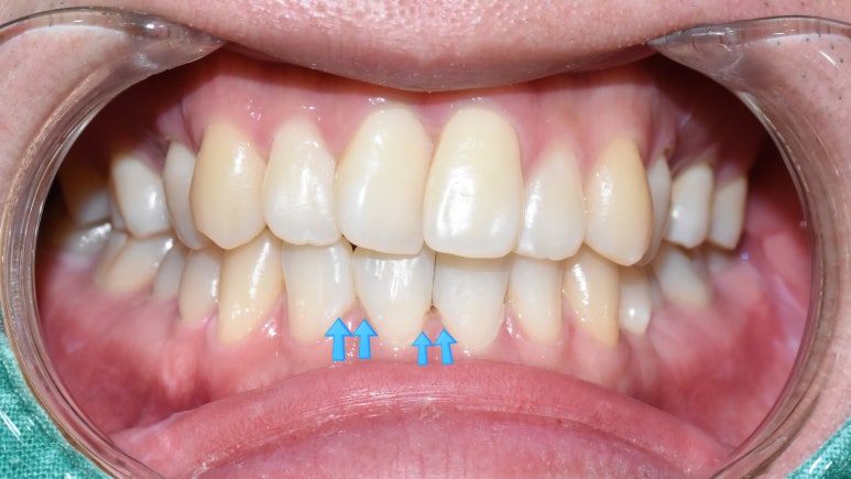
보통 벌어져 있는 앞니 치아의 경우에
치아 한쪽에만 레진을 붙이게 되면 그 치아만 너무 커보이게 되므로
굉장히 이상해보이게 됩니다.
따라서 위의 화살표처럼
대부분의 케이스에서
한 공간당 양 옆의 두 치아에 레진이 보통 들어가게 됩니다.
이 케이스는 두군데 빈곳의 메꾸는 것을 환자분이 원하셨지만
한 군데마다 레진은 양옆 두 치아에 들어가므로
이 경우 화살표처럼 총 4면에 레진이 들어간 것입니다.
만약 앞니의 한 공간의 메꾸는 것을 원한다면
보통은 2면에 레진이 들어간다고 생각하셔야 하며
비용도 한 면*2개라고 생각하셔야 합니다.
보통의 어금니충치 레진과 다르게
앞니 레진의 경우는 색이 매우 자연스러워야하므로
어금니 레진과 다른 종류의 여러 레진이 섞어서 들어가게 됩니다.
또한 기능을 중시하는 어금니와 달리
앞니는 미용이 중요시 되기 때문에
자연스럽게 만들기 위해 치료 시간도 어금니 충치보다 훨씬 더 많이 들어가게됩니다.
따라서 대부분 치과에서
환자분들이 생각하는 보통 기본 어금니 충치 레진보다 가격이 비싸게 됩니다.
또한 이런 앞니 치아 사이 레진은 거의 성형이라고 보셔야 하기때문에
꼭 필요한 치료가 아니라 미용 목적입니다.
따라서 보통 환자분들이 성형처럼 비용을 감수하고 레진을 하게 됩니다.
만약 본인의 앞니 치아가 벌어져 있어서 갖는 스트레스가 크다면
벌어진 앞니 레진을 하는 게 정신적 건강측면에서 이득이겠죠!
<비용>
기본적으로 파노라마 포함한 치아검진부터 하셔서
레진으로 치료가 가능한 상태인지 치과의사의 진단부터 받으셔야 합니다.
모든 치과 의료행위는 의료법상 치과의사의 진단하에 이루어져야하며
환자분이 A라는 치료를 하고싶다고 해서 무조건 A를 할 수 있는 것은 아닙니다.
파노라마 포함한 치아검진은 건강보험을 가지고 계신 우리나라 국민이라면 건강보험비용이 적용됩니다.
저희 치과의 경우 이렇게 앞니 사이 벌어진 곳 레진 치료를 하는 경우
쉽게 설명드리면 앞니 한 모서리당(레진이 붙는 벌어진 치아 개당) 30만원입니다.(2024년 기준)
부위가 너무 크거나 재시술의 경우 비용 조금더 추가될 수 있습니다.
(벌어지지 않은 앞니 충치레진 비용은
이것보다는 저렴합니다.
치아 사이 벌어진 곳 레진치료는
레진 치료 중 가장 난이도가 높습니다)
물론 어금니 일반충치 레진치료의 경우
아까 말씀드렸듯이
앞니 벌어진 부위 치료보다 훨씬 시간이 적게 걸리고
재료도 적게 쓰이고 미용을 위한 기술이 필요하지는 않으므로
어금니 충치레진은 1/3정도 저렴합니다.

위 환자분의 경우는 치아 4부분에 붙이는 레진이 들어갔기 때문에
앞니 벌어진 곳 레진가격은 2024년 기준
30만원 * 4면 =120만원 이라고 보시면 되겠습니다.

위 사진과 같이 이렇게 한부분만 해도 괜찮은 경우에
벌어진 치아 한 면 레진은 30만원*1면=30만원 입니다.

위 사진과 같이 정중앙 부위는 대칭을 이루어야 하므로
벌어진 부위 양옆 두개의 앞니 치아에 레진이 붙게 되므로
벌어진 치아 레진비용 30만원*2면=총 60만원입니다.(2024년기준)
물론 어금니 일반충치 레진치료의 경우
아까 말씀드렸듯이
앞니 벌어진 부위 치료보다 훨씬 시간이 적게 걸리고
재료도 적게 쓰이고 미용을 위한 기술이 필요하지는 않으므로
어금니 충치레진은 1/3정도 저렴합니다.
저희 연세예감치과는
다양한 쉐이드와 색상, 각종 브랜드의 레진을 구비하여
환자분의 자연스러운 앞니를 만들어드리기 위해 최선을 다하고 있습니다.
레진은 한번에 당일에 완성되는 치료입니다.
앞니가 벌어져서 웃을때마다 가려야하고
남들 앞에서 말도 제대로 못하는 컴플렉스를 고치고 싶다면,
레진이 딱좋은 진료방법인지
벌어진 앞니 치료를 많이 하는
치과의사 선생님의 상담을 받아보기를 권해드려요!
벌어진 앞니는 레진, 라미네이트, 부분교정 등의 여러가지 치료방법이 있으니
본인에게 맞는 치료방법을 진단받아서 치료하면 됩니다.
지금까지 명동, 을지로, 광화문, 서울역 가까운
시청역치과 연세예감치과에서 실제 치료한
벌어진 치아의 레진 치료 비용과
실제 케이스를 알아보았습니다.
앞니 벌어진 부위 레진의 경우
레진은 하루만에 끝나는 치료이나
치료시간도 어금니충치레진보다 훨씬 많이 걸리고
상담뿐만 아니라 당일 치료까지 원하신다면
충분한 시간을 비워놓고 예약을 하고 오시길 부탁드립니다.
저희 치과에서
임플란트 수술을 하고 있는 경우에는 수술이기 때문에 임플란트 환자만 보게 되어
다른 환자를 볼 수 없으니 환자분의 소중한 시간을 위해 예약 후 내원부탁드립니다.
네이버예약 또는
카카오톡 문의 및 예약 가능합니다.
카카오톡 아이디 yonseiyegam추가 하시거나
카카오톡채널 - 연세예감치과 클릭하여 상담 및 예약문의 가능합니다.








