아카이브 요약
이 페이지의 역할
연세예감치과의원의 네이버 블로그 원문을 보존한 아카이브 페이지입니다. 스케일링 카테고리의 시청역/을지로 치과 가글마취 스케일링 가능해요! (+스켈링 소리동영상) 글을 통해 병원의 한국어 정보 제공 방식과 진료 관련 안내 톤을 확인할 수 있습니다.
원문 검증
필요하면 원문 블로그와 병원 프로필로 바로 이동해 문맥을 다시 확인할 수 있습니다.
출처 아카이브 열기아카이브된 블로그 글
연세예감치과의원 · Naver Blog
안녕하세요 시청역 7번출구 삼성본관빌딩 바로 맞은편에 위치한 시청역 연 세 예 감 치과입니다. 시청역 7번출구에서 직진 도보 3분 거리로 광화문, 서울역, 남대문, 충정로에서도 오기 편한 위치입니다. 오늘은 환자분들이 치과치료 중 가장 관심을 많이 가지시는 스케일링! 에 대해 얘기해보려고 합니다. [포스팅 되는 사...
게시일
2024년 3월 14일
원문 기준으로 확인된 발행일입니다.
카테고리
스케일링
원문 블로그 카테고리를 정리해 함께 표시합니다.
이미지 수
17
현재 아카이브에 연결된 이미지 수입니다.
아카이브 요약
연세예감치과의원의 네이버 블로그 원문을 보존한 아카이브 페이지입니다. 스케일링 카테고리의 시청역/을지로 치과 가글마취 스케일링 가능해요! (+스켈링 소리동영상) 글을 통해 병원의 한국어 정보 제공 방식과 진료 관련 안내 톤을 확인할 수 있습니다.
원문 검증
필요하면 원문 블로그와 병원 프로필로 바로 이동해 문맥을 다시 확인할 수 있습니다.
출처 아카이브 열기안녕하세요 시청역 7번출구
삼성본관빌딩 바로 맞은편에 위치한
시청역 연 세 예 감 치과입니다.
시청역 7번출구에서 직진 도보 3분 거리로
광화문, 서울역, 남대문, 충정로에서도 오기 편한 위치입니다.
오늘은 환자분들이 치과치료 중 가장 관심을 많이 가지시는
스케일링! 에 대해 얘기해보려고 합니다.
[포스팅 되는 사진들은 동의를 구하고 업로드 하는 사진들입니다]
저희 치과위생사 선생님들, 환자분들의 고충을 알기 위해 서로서로 스케일링 했어요
저희 시청역 연세예감치과는 시청역에 자리잡은지 벌써 7년차(2024년기준)이라
저희 치과에서 스케일링 받은 환자들만 해도 엄청 많답니다.
최근에 저희 치과위생사 선생님들이
간만에 세미나 후에 빈시간이 잠깐 나서
서로서로 스케일링하는 시간을 가졌거든요

저희 5~10년차 치과위생사 선생님들도 환자분들에게
매일매일 시행하는 스케일링이지만
(저희 치과에 스케일링 환자가 하루도 없는 날은 없다고 보시면 됩니다)
환자분들이 스케일링 받을 때의 고충을 알기 위해
간만에 서로서로 돌아가며 스케일링을 하는 시간을 가졌어요.
어떻게 하면 덜아플까, 환자분들이 더 편하게 진료를 받을 수 있을까 알아볼 수 있는 시간이었습니다.
근무하는 직원분들이 서로서로 스케일링 받을 수 있을만큼
저희 치과의 멸균, 기구관리도 확실하다는 증거겠죠?
스케일링 동영상, 스케일링 소리
혹시 스케일링 소리 듣고 싶은 분들,아래 동영상으로 확인 가능해요.
치과 스케일링은 초음파 스케일러를 사용하고, 치아 보호를 위해 물이 나오는 상태에서 해야하기 때문에
초음파 소리, 물 빨아들이는 소리가 날 수 밖에 없답니다.
스케일링이란?
스켈링은 치석제거라고 생각하시면 되는데요

치아 치석 사진
건강보험스케일링은 잇몸상방 치석제거로
이런 보이는 치석들을 제거하는 작업이라고 생각하시면 됩니다.
치석제거(스케일링)도 의료기관에서 하는 치료이기 때문에
치과위생사가 단독으로 판단해서 진행하는 것이 아니라
"치과의사"의 검진을 거친 후 스케일링 가능하다고 진단된 상태에서 진행가능합니다.


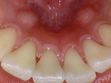
스케일링 전후사진
저희 치과에서 스케일링을 하기 전과 후 사진입니다.
스케일링 통증, 시림
스케일링을 하면 이런 잇몸 주변 치석들을 초음파 스케일러의 진동으로 제거하면서
어느정도의 통증이나 치아에 붙어있던 치석이 떨어지면서 시린느낌 때문에 괴로우실 수 있는데요
특히 잇몸이 더 부어있을 수록, 잇몸이 내려가서 치아뿌리가 노출되어 있는 상태일 수록 더 시리겠죠?
이런 통증과 시림 경감을 위하여
저희 연세예감치과는 미리 말해주시면 가글 마취를 해드립니다!
간혹 그런 치석이 제거될 때의 통증이나 시린 느낌을
오히려 시원하다면서 좋아하는 분들도 계셔서 가글 마취를 원하지 않는 분들도 계셔서
말씀하시는 분들에게는 가글 마취를 해드리니 참고 부탁드려요!
가글마취는 잇몸에 주사하는 일반치과마취(지속시간 2~3시간)보다 지속시간이 30분 정도로 짧아서
마취가 풀리기 전까지의 마취된 느낌의 시간이 그리 길지 않으니
크게 불편하지 않으실 거에요!
제가 이번에 스케일링에 대해 포스팅하려고
스케일링 통증에 대해 검색해봤는데요
구글에서 아래와 같은 글이 검색되더라구요

구글에서 검색해서 나온 스케일링에 관한 글
인터넷에 어떤 치과위생사 분이 쓴 글인데요(저희가 쓴 글은 아닙니다 ^^;;)
사실 맞는 말일수도 있습니다.
스케일링이 잇몸상방(잇몸위)치석제거이긴 하지만
보이는 곳의 치석은 거의다 제거하다보니
치석이 많으신 분들은
잇몸의 살짝 속까지 제거하게 되는데요
환자분들은 스케일링할 때 안아픈게 최고라고 생각할 수도 있는데
잇몸이 부어있는 환자일 수록 스케일링시 더 아프고 피도 잘 나게 되고
저희가 더 많이 잇몸주변 치석을 제거하다보면 당연히 깔짝거리는 것보다 더 아프겠죠.
그래서 저희가 치석제거도
제대로 하면서 + 환자분의 통증을 줄이기 위해
가글마취도 구비하고 있는 것입니다.
통증을 최소화하려고 노력해요
환자분의 통증을 최소화하는 치료로 유명한
저희 시청역 연세예감치과는
방송에도 출연한 적이 있어요.



지금까지 시청역 연세예감치과에서 알려드린
스케일링과 스케일링가글마취였습니다.








