아카이브 요약
이 페이지의 역할
연세예감치과의원의 네이버 블로그 원문을 보존한 아카이브 페이지입니다. 연세예감치과 카테고리의 [서울/시청역]어금니 치아가 깨져서 크라운이 필요하다면? 글을 통해 병원의 한국어 정보 제공 방식과 진료 관련 안내 톤을 확인할 수 있습니다.
원문 검증
필요하면 원문 블로그와 병원 프로필로 바로 이동해 문맥을 다시 확인할 수 있습니다.
출처 아카이브 열기아카이브된 블로그 글
연세예감치과의원 · Naver Blog
안녕하세요 서울의 중심, 시청역7번출구에서 직진 도보 3분거리에 위치한 시청역 연세예감치과입니다 광화문 서울역 마포 서대문역 에서도 오기쉬운 위치입니다 오늘은 어금니가 깨져서 크라운이 필요한 사례에 대해 알아보겠습니다. 먼저 어금니가 깨진 경우는 다양한 이유가 있을 수 있는데요 정말 치아의 아주 겉면만 살짝 나간...
게시일
2024년 4월 10일
원문 기준으로 확인된 발행일입니다.
카테고리
연세예감치과
원문 블로그 카테고리를 정리해 함께 표시합니다.
이미지 수
15
현재 아카이브에 연결된 이미지 수입니다.
아카이브 요약
연세예감치과의원의 네이버 블로그 원문을 보존한 아카이브 페이지입니다. 연세예감치과 카테고리의 [서울/시청역]어금니 치아가 깨져서 크라운이 필요하다면? 글을 통해 병원의 한국어 정보 제공 방식과 진료 관련 안내 톤을 확인할 수 있습니다.
원문 검증
필요하면 원문 블로그와 병원 프로필로 바로 이동해 문맥을 다시 확인할 수 있습니다.
출처 아카이브 열기안녕하세요
서울의 중심, 시청역7번출구에서 직진 도보 3분거리에 위치한
시청역 연세예감치과입니다
광화문 서울역 마포 서대문역 에서도 오기쉬운 위치입니다
오늘은 어금니가 깨져서 크라운이 필요한 사례에 대해 알아보겠습니다.
먼저 어금니가 깨진 경우는 다양한 이유가 있을 수 있는데요
정말 치아의 아주 겉면만 살짝 나간 경우에는 그 부분만 다듬어서 사용할 수도 있고
충치가 있거나 깨진 부위가 광범위한 경우 인레이나 크라운 같은 보철물이 필요할 수도 있습니다.
오늘은 그 중에서도 깨진 치아에 대해 크라운이 필요하여
저희 치과에서 크라운을 시행한 케이스에 대해 알아보겠습니다.
case 1
![[서울/시청역]어금니 치아가 깨져서 크라운이 필요하다면? 관련 이미지 1](https://pub-9f2bb3498faf4d1d8714b41df24753e3.r2.dev/content/clinics/archive/rseeanjxfu/naver_blog/yonseiyegam/assets/by_hash/b5aeb21c7077702cac9341c66a82af670cb7731624359be18bda2e8185850e13.jpg)
![[서울/시청역]어금니 치아가 깨져서 크라운이 필요하다면? 관련 이미지 2](https://pub-9f2bb3498faf4d1d8714b41df24753e3.r2.dev/content/clinics/archive/rseeanjxfu/naver_blog/yonseiyegam/assets/by_hash/6584f8343690c1d3c78e801540f4f47321a215ca0c867a7c356bcaa01579cd67.jpg)
타치과에서 한 금인레이 주변에 적게 남은 치아 부분이 깨져서
저희 치과에서 지르코니아 크라운을 한 케이스입니다.
이렇게 깨진 부분이 기존 보철물과 연결되어 있는 경우에는 기존 보철물도 제거하는 것이 원칙이기 때문에
기존 인레이 범위도 포함되다 보니 범위가 커져서 크라운을 한 케이스입니다.
case 2
![[서울/시청역]어금니 치아가 깨져서 크라운이 필요하다면? 관련 이미지 3](https://pub-9f2bb3498faf4d1d8714b41df24753e3.r2.dev/content/clinics/archive/rseeanjxfu/naver_blog/yonseiyegam/assets/by_hash/88925c75b4e11de68a357cad5df22892ad75b304f947bc356ca81ea43f4380fc.jpg)
![[서울/시청역]어금니 치아가 깨져서 크라운이 필요하다면? 관련 이미지 4](https://pub-9f2bb3498faf4d1d8714b41df24753e3.r2.dev/content/clinics/archive/rseeanjxfu/naver_blog/yonseiyegam/assets/by_hash/7ac2eb4aedfe48ab6c3a357e43a08b5a49765e54fe1fcf5b07490e53fcde1c73.jpg)
해외에서 오신 외국인 환자분이 신경치료 후 크라운을 씌우지 않은 어금니가 다 깨져서
저희 치과에서 억지로 치아를 살려서 크라운을 한 케이스 입니다.
신경치료를 한 경우 이렇게 크라운을 하지 않으면 치아가 깨져서 살릴 수 없는 경우가 굉장히 많으니
신경치료 후 크라운을 해야한다고 진단받은 케이스에서는 반드시 크라운을 하시기 바랍니다.
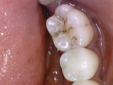
case 3
![[서울/시청역]어금니 치아가 깨져서 크라운이 필요하다면? 관련 이미지 5](https://pub-9f2bb3498faf4d1d8714b41df24753e3.r2.dev/content/clinics/archive/rseeanjxfu/naver_blog/yonseiyegam/assets/by_hash/c9c3c6aada4c88ad09af085ab051964dccafaac20ebfdc453d64cd99c85d8871.jpg)
![[서울/시청역]어금니 치아가 깨져서 크라운이 필요하다면? 관련 이미지 6](https://pub-9f2bb3498faf4d1d8714b41df24753e3.r2.dev/content/clinics/archive/rseeanjxfu/naver_blog/yonseiyegam/assets/by_hash/5bc1cdf71f8adf2fcf54e852c91d71e45c9da7afa04c6610cb72309281f93a7e.jpg)
마찬가지로 신경치료 한 치아에서 크라운을 씌우지 않아서 깨진 케이스 입니다.
치아머리의 반 정도가 깨진 상태로 크라운을 씌워주었습니다.
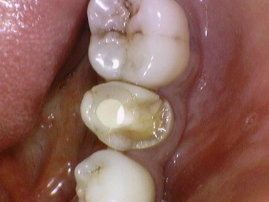
case 4
![[서울/시청역]어금니 치아가 깨져서 크라운이 필요하다면? 관련 이미지 7](https://pub-9f2bb3498faf4d1d8714b41df24753e3.r2.dev/content/clinics/archive/rseeanjxfu/naver_blog/yonseiyegam/assets/by_hash/458065eee7c60c2c8c36527b654e18a37983aad0198b5c737041ffc032d81f6e.jpg)
![[서울/시청역]어금니 치아가 깨져서 크라운이 필요하다면? 관련 이미지 8](https://pub-9f2bb3498faf4d1d8714b41df24753e3.r2.dev/content/clinics/archive/rseeanjxfu/naver_blog/yonseiyegam/assets/by_hash/754ac692014dc118281c352639a9461deb8ce03d5374cc945e9a0853a2e8181f.jpg)
충치에서도 크라운 필요한 경우가 많습니다. 위 케이스의 경우 충치로 인해 치아가 깨졌고
꺠진 부위 이외에도 그 치아 속이 많이 썩어 있는 것을 엑스레이로 확인하여
크라운을 진행하였습니다.
case 5
![[서울/시청역]어금니 치아가 깨져서 크라운이 필요하다면? 관련 이미지 9](https://pub-9f2bb3498faf4d1d8714b41df24753e3.r2.dev/content/clinics/archive/rseeanjxfu/naver_blog/yonseiyegam/assets/by_hash/d2aeb52da6ceb68cc21b6e251db944775785b4f9e86d34340ee67abf29da94f9.jpg)
![[서울/시청역]어금니 치아가 깨져서 크라운이 필요하다면? 관련 이미지 10](https://pub-9f2bb3498faf4d1d8714b41df24753e3.r2.dev/content/clinics/archive/rseeanjxfu/naver_blog/yonseiyegam/assets/by_hash/3f0fa9b7d24669d5271e41b09675a14ce8b38e563726019437623052947016dd.jpg)
위 케이스는 깨지지는 않았지만 충치가 심한 작은 어금니의 경우로
충치를 제거하고 크라운을 씌워주었습니다.
만약 충치가 심한 상태로 계속 유지된다면 치아가 심하게 깨져서
살릴 수 없는 상태, 즉 발치가 필요한 상태로 될 수 있습니다.
지금까지 깨진 어금니에서 크라운이 필요한 경우를 살펴보았습니다.
앞에서 말씀 드렸듯이 깨졌다고 다 크라운이 필요한 것은 아닙니다.
치료 케이스에 따라 다듬기만 해도 괜찮을 수도, 레진, 인레이, 신경치료가 필요할 수도 있습니다.
치과에서 엑스레이 찍고 치과의사선생님으로부터 정확한 진단을 받아
치아깨짐을 해결하시길 바랍니다!
저희 연세예감치과는
생체친화적이고 치아와 유사한 지르코니아 크라운을 많이 시행하는 치과로 해외에서도 유명합니다
지금까지 해외에서도 일부러 외국인 환자가 찾아오는
서울 시청역 연세예감치과에서 알려드린 치아가 깨져서 크라운을 씌운 케이스였습니다.
![[서울/시청역]어금니 치아가 깨져서 크라운이 필요하다면? 관련 이미지 11](https://pub-9f2bb3498faf4d1d8714b41df24753e3.r2.dev/content/clinics/archive/rseeanjxfu/naver_blog/yonseiyegam/assets/by_hash/ebb6bb614fd7236f9aeaa3b6d42b10332eb7eeee7b71acbeef37860297c8bc78.jpg)
![[서울/시청역]어금니 치아가 깨져서 크라운이 필요하다면? 관련 이미지 12](https://pub-9f2bb3498faf4d1d8714b41df24753e3.r2.dev/content/clinics/archive/rseeanjxfu/naver_blog/yonseiyegam/assets/by_hash/befb26c82e6aa03ee538535053ecac0e8f9ea04f2cf8413b213dae0e3a441cd3.jpg)
![[서울/시청역]어금니 치아가 깨져서 크라운이 필요하다면? 관련 이미지 13](https://pub-9f2bb3498faf4d1d8714b41df24753e3.r2.dev/content/clinics/archive/rseeanjxfu/naver_blog/yonseiyegam/assets/by_hash/c23d5a440f7f5036e3649486532de1e481b0ff81b5adbb660efa92b21d53cf7e.jpg)
![[서울/시청역]어금니 치아가 깨져서 크라운이 필요하다면? 관련 이미지 14](https://pub-9f2bb3498faf4d1d8714b41df24753e3.r2.dev/content/clinics/archive/rseeanjxfu/naver_blog/yonseiyegam/assets/by_hash/934d91f62c95d123c6e8e0f6b99e26b693ab6f21f78f15dc1a538bb7e85394ce.jpg)
시청역치과 전문의 원장님
![[서울/시청역]어금니 치아가 깨져서 크라운이 필요하다면? 관련 이미지 15](https://pub-9f2bb3498faf4d1d8714b41df24753e3.r2.dev/content/clinics/archive/rseeanjxfu/naver_blog/yonseiyegam/assets/by_hash/20d4c253e85f15a630644b4807ad43fe9f1ae3505eab6cb2811d2e30c1b8d4cb.jpg)
서울시에서 심사하여 인증받은 의료관광 협력기관입니디