연세예감치과(시청역)
[서울역/치과] 고기 뼈를 씹고 치아가 부러졌어요
안녕하세요. 서울 시청역 7번출구 서울의 중심에 위치한 서울 시청역 연세 예감 치과입니다. 시청역 삼성본관 바로 맞은편에 위치하고 있고 서울역에서 지하철로 한정거장에 위치합니다 오늘은 치아뿌리가 두동강이 나서(파절되어) 발치해야만 했던 케이스에 대해 알려드리겠습니다. 환자분이 동의하신 케이스만 공개합니다. 환자...
아카이브 요약
이 페이지의 역할
연세예감치과(시청역) Yonsei Yegam Dental Clinic ヨンセイェガム歯科의 네이버 블로그 원문을 보존한 아카이브 페이지입니다. 치아외상 카테고리의 [서울역/치과] 고기 뼈를 씹고 치아가 부러졌어요 글을 통해 병원의 한국어 정보 제공 방식과 진료 관련 안내 톤을 확인할 수 있습니다.
안녕하세요. 서울 시청역 7번출구
서울의 중심에 위치한
서울 시청역 연세 예감 치과입니다.
시청역 삼성본관 바로 맞은편에 위치하고 있고
서울역에서 지하철로 한정거장에 위치합니다
오늘은 치아뿌리가 두동강이 나서(파절되어)
발치해야만 했던 케이스에 대해 알려드리겠습니다.
환자분이 동의하신 케이스만 공개합니다.
![[서울역/치과] 고기 뼈를 씹고 치아가 부러졌어요 관련 이미지 1](https://pub-9f2bb3498faf4d1d8714b41df24753e3.r2.dev/content/clinics/archive/rseeanjxfu/naver_blog/yonseiyegam/assets/by_hash/493190f734bda2e298b8e826465522c60650bd944a3363b946affb45f0076dfa.jpg)
환자 분은 싱가폴에서 온 환자 분으로
치과 치료를 위해 한국에 방문한 것이 아니라 한국에서 식사를 하다가
고기 뼈를 씹어서 치아가 딱 하는 소리가 났고
너무 아프고 치아도 흔들린다고 하셨습니다
외국인에게 유명한 치과를 수소문하여 저희 연세예감치과를 찾아 오게 되셨고
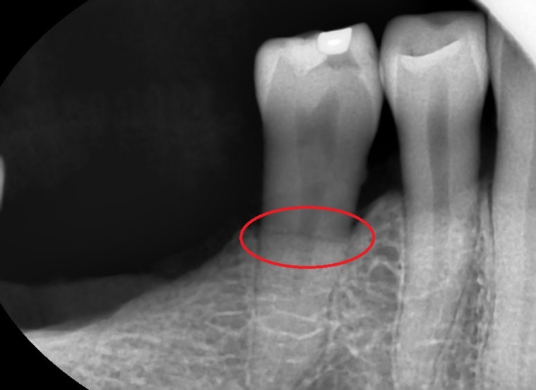
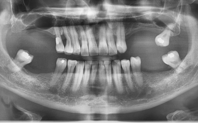
엑스레이를 촬영 해 보니 이미 큰 어금니는 싱가폴에서 많이 발치한 상태 였고
이번에는 작은 어금니가
가로로 파절된 것이 의심되는 확인할 수 있었습니다
![[서울역/치과] 고기 뼈를 씹고 치아가 부러졌어요 관련 이미지 2](https://pub-9f2bb3498faf4d1d8714b41df24753e3.r2.dev/content/clinics/archive/rseeanjxfu/naver_blog/yonseiyegam/assets/by_hash/fde35021542b190686f453364343e9c4d518890d72a7b38544f655bed82c38cf.jpg)
치아 뿌리가 가로로 파절된 선이 보입니다
치아뿌리가 가로로 파절된 선이 보입니다
보이시나요?
표시해드릴게요 ↓
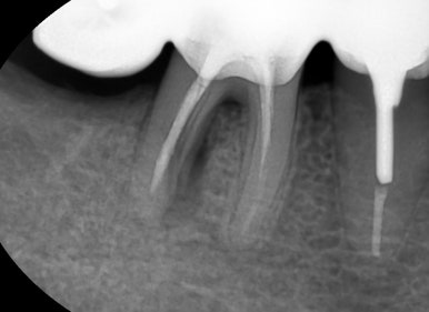
![[서울역/치과] 고기 뼈를 씹고 치아가 부러졌어요 관련 이미지 3](https://pub-9f2bb3498faf4d1d8714b41df24753e3.r2.dev/content/clinics/archive/rseeanjxfu/naver_blog/yonseiyegam/assets/by_hash/ca379e8793b316ce56483a6af6f40bf22fa07a87b72a5d60c4f5cd57950ac0ab.jpg)
일반 분들은 이 선이 치아 신경인지 치조골인지, 치아주변인대인지
구별하기 쉽지 않을 것입니다.
어쨌든 치아가 머리부분만 살짝 깨진 것이 아니라
치아가 두동강이 났기 때문에
두 동강 중 위에 부분은 흔들리는 상태여서 발치기구로 잡자마자 바로 빠졌고
조금 남은 뿌리 부분은 통상의 발치 과정을 거쳐 발치 하였습니다
![[서울역/치과] 고기 뼈를 씹고 치아가 부러졌어요 관련 이미지 4](https://pub-9f2bb3498faf4d1d8714b41df24753e3.r2.dev/content/clinics/archive/rseeanjxfu/naver_blog/yonseiyegam/assets/by_hash/cb437b0b93aa686ac6e44d34eb1238f54f33579098df3d30eea85de583564d1f.jpg)
치아가 단단한 뼈를 씹어 부러져서 두동강이 났고 윗부분은 쉽게 빠졌습니다.
![[서울역/치과] 고기 뼈를 씹고 치아가 부러졌어요 관련 이미지 5](https://pub-9f2bb3498faf4d1d8714b41df24753e3.r2.dev/content/clinics/archive/rseeanjxfu/naver_blog/yonseiyegam/assets/by_hash/a6b8d7f6063e8dd3df7229607968274f5554dff2d0359b22dc461e9e1716b8b8.jpg)
![[서울역/치과] 고기 뼈를 씹고 치아가 부러졌어요 관련 이미지 6](https://pub-9f2bb3498faf4d1d8714b41df24753e3.r2.dev/content/clinics/archive/rseeanjxfu/naver_blog/yonseiyegam/assets/by_hash/211a32a7eb2f3a4d50a7458968e44d2af492d74dfe35556f83f494ad8c5d0f7a.jpg)
남은 뿌리(완전히 빼기 전)
↑ 저희 시청역 광화문 가까운 치과
연세예감치과의 3차원 치아ct에도
남은 뿌리가 이렇게 보입니다.
무사히 다 빼서 아래와 같이
엑스레이로 확인하였습니다. ↓
![[서울역/치과] 고기 뼈를 씹고 치아가 부러졌어요 관련 이미지 7](https://pub-9f2bb3498faf4d1d8714b41df24753e3.r2.dev/content/clinics/archive/rseeanjxfu/naver_blog/yonseiyegam/assets/by_hash/4fa2b99d11dad2103b88ae34b6c9358e11e2d986f3b7a4c5fbb1b52d7f8c1437.jpg)
뿌리 조각이 완전히 빠진 것을 엑스레이로 확인하였습니다.
이 싱가폴 환자분은 치아를 빼고 더이상 아프지 않았다고
다음날 체크와 소독오셔서 말씀해주셨습니다.
환자분이 고맙다고
치과리뷰도 써주셨어요
![[서울역/치과] 고기 뼈를 씹고 치아가 부러졌어요 관련 이미지 8](https://pub-9f2bb3498faf4d1d8714b41df24753e3.r2.dev/content/clinics/archive/rseeanjxfu/naver_blog/yonseiyegam/assets/by_hash/219ba9aca639668de8be8814840bd204405d863bb84c157801427da364e47aa0.jpg)
싱가포르 환자분이 써주신 자필리뷰
파절치아는?
파절범위와 위치에 따라
다듬기만 하는 경우도 있고,
레진이 필요한 경우,
인레이가 필요한 경우도 있고
크라운이 필요한 경우도 있고,
발치가 필요한 경우 등등 너무나도 케이스가 다양합니다.
따라서 치아가 부러졌다면
치과를 찾아 엑스레이를 찍고
정확한 진단을 치과의사 선생님에게 받아서
진단에 따른 치료계획을 듣길 바랍니다!
머리부분이 깨진 경우는 살릴 수 있는 케이스가 많지만
뿌리가 부러진 경우에는 대부분 살릴 수 없어
발치로 가는 경우가 많습니다.
아래는 깨진 치아뿌리를 엑스레이를 보고 진단해드리고
발치를 해야한다고 설명드렸으나
환자분이 발치하지 않고 계시다가 결국 2개월만에
많이 아프고 부어서 오셔서 발치한 사진입니다.
![[서울역/치과] 고기 뼈를 씹고 치아가 부러졌어요 관련 이미지 9](https://pub-9f2bb3498faf4d1d8714b41df24753e3.r2.dev/content/clinics/archive/rseeanjxfu/naver_blog/yonseiyegam/assets/by_hash/3a1dd993c4d65fc53083909d7ceca845aa2f7ebbf9a75db2c757514dbd3afeef.jpg)
![[서울역/치과] 고기 뼈를 씹고 치아가 부러졌어요 관련 이미지 10](https://pub-9f2bb3498faf4d1d8714b41df24753e3.r2.dev/content/clinics/archive/rseeanjxfu/naver_blog/yonseiyegam/assets/by_hash/df2796c9e232532e2dc4dc207e613a1c08d9454dad942a34e4d74f8424353bf9.jpg)
뿌리 수직파절 ->2개월 후 더 쪼개져서 붓고 아픔
![[서울역/치과] 고기 뼈를 씹고 치아가 부러졌어요 관련 이미지 11](https://pub-9f2bb3498faf4d1d8714b41df24753e3.r2.dev/content/clinics/archive/rseeanjxfu/naver_blog/yonseiyegam/assets/by_hash/86576d771bff1a78599b0d052d9d6383514275809bf5a5ee307be1fcab471c91.jpg)
발치 해보면 실제로도 뿌리가 쪼개져 있습니다.
또다른 치아파절 케이스
https://blog.naver.com/yonseiyegam/223192323246
지금까지 해외에서도 찾아오는
서울 시청역 연세예감치과에서 알려드린
치아 파절로 인해 발치한 케이스 였습니다.
![[서울역/치과] 고기 뼈를 씹고 치아가 부러졌어요 관련 이미지 12](https://pub-9f2bb3498faf4d1d8714b41df24753e3.r2.dev/content/clinics/archive/rseeanjxfu/naver_blog/yonseiyegam/assets/by_hash/b92a4ab5bfe593862c97c24637df03a497cfdb2efc98a137808ad6b935845d42.jpg)
![[서울역/치과] 고기 뼈를 씹고 치아가 부러졌어요 관련 이미지 13](https://pub-9f2bb3498faf4d1d8714b41df24753e3.r2.dev/content/clinics/archive/rseeanjxfu/naver_blog/yonseiyegam/assets/by_hash/4423f787c58e8e47b8030baada85ab7ac85cd069c09f6ec1c679df32061f1014.jpg)
![[서울역/치과] 고기 뼈를 씹고 치아가 부러졌어요 관련 이미지 14](https://pub-9f2bb3498faf4d1d8714b41df24753e3.r2.dev/content/clinics/archive/rseeanjxfu/naver_blog/yonseiyegam/assets/by_hash/e6a65df3636299adb3b848758ba1eb144509a95545d63b0836a7c9e51b71d78a.png)
![[서울역/치과] 고기 뼈를 씹고 치아가 부러졌어요 관련 이미지 15](https://pub-9f2bb3498faf4d1d8714b41df24753e3.r2.dev/content/clinics/archive/rseeanjxfu/naver_blog/yonseiyegam/assets/by_hash/4f9b3b6f0456c7581c78c653b8c6a2592cb61d3bb6f5cdde303cdebb8bb49169.png)
![[서울역/치과] 고기 뼈를 씹고 치아가 부러졌어요 관련 이미지 16](https://pub-9f2bb3498faf4d1d8714b41df24753e3.r2.dev/content/clinics/archive/rseeanjxfu/naver_blog/yonseiyegam/assets/by_hash/a149f8c823261633d393116aedda3002075a9685143bf9900b3f0ad0f5105a40.png)
![[서울역/치과] 고기 뼈를 씹고 치아가 부러졌어요 관련 이미지 17](https://pub-9f2bb3498faf4d1d8714b41df24753e3.r2.dev/content/clinics/archive/rseeanjxfu/naver_blog/yonseiyegam/assets/by_hash/ae2e01b05a6e89808fc49a751fc21b81e1fc88594311994be90917aa7c697844.png)
![[서울역/치과] 고기 뼈를 씹고 치아가 부러졌어요 관련 이미지 18](https://pub-9f2bb3498faf4d1d8714b41df24753e3.r2.dev/content/clinics/archive/rseeanjxfu/naver_blog/yonseiyegam/assets/by_hash/2d6a3d642e5df8520a7e2a80cf3e87de181fdacdff0f98a47b605c833a44cec3.png)
![[서울역/치과] 고기 뼈를 씹고 치아가 부러졌어요 관련 이미지 19](https://pub-9f2bb3498faf4d1d8714b41df24753e3.r2.dev/content/clinics/archive/rseeanjxfu/naver_blog/yonseiyegam/assets/by_hash/938024df345140748d7727b369ec85be8485219745e1a11f80efa6fb9000ba64.png)
![[서울역/치과] 고기 뼈를 씹고 치아가 부러졌어요 관련 이미지 20](https://pub-9f2bb3498faf4d1d8714b41df24753e3.r2.dev/content/clinics/archive/rseeanjxfu/naver_blog/yonseiyegam/assets/by_hash/e879659de166645399432119b662687bc231edb1cabed7717334a9f50dd718e2.png)
![[서울역/치과] 고기 뼈를 씹고 치아가 부러졌어요 관련 이미지 21](https://pub-9f2bb3498faf4d1d8714b41df24753e3.r2.dev/content/clinics/archive/rseeanjxfu/naver_blog/yonseiyegam/assets/by_hash/e6d36ea6f5411c4a1ba5f6e4215876daffd1d9e4066d9fe23c9a5ee04e698a7b.png)
더 보기
이 병원의 공개 콘텐츠를 계속 살펴보세요
출처 아카이브로 돌아가 더 많은 글을 보거나, 병원 프로필로 이동해 다른 공개 채널도 함께 비교해보세요.