연세예감치과(시청역)
치아 앞니 벌어짐 벌어진 앞니→레진치료 비용까지 알려드려요
안녕하세요 서울 중구에 위치한 연세예감치과입니다. 시청역 삼성본관 앞에 위치하며 시청역 7번출구기준 도보직진 3분거리입니다. 서울의 중심 시청역에 위치하여 명동 광화문 을지로 종로 남대문 서울역 마포 신촌 에서도 접근이 쉬운 장소입니다. 오늘은 많은 분들이 고민인 벌어진 앞니를 실제로 저희 시청역 연세예감치과에...
아카이브 요약
이 페이지의 역할
연세예감치과(시청역) Yonsei Yegam Dental Clinic ヨンセイェガム歯科의 네이버 블로그 원문을 보존한 아카이브 페이지입니다. 치아성형 카테고리의 치아 앞니 벌어짐 벌어진 앞니→레진치료 비용까지 알려드려요 글을 통해 병원의 한국어 정보 제공 방식과 진료 관련 안내 톤을 확인할 수 있습니다.
안녕하세요
서울 중구에 위치한 연세예감치과입니다.
시청역 삼성본관 앞에 위치하며 시청역 7번출구기준 도보직진 3분거리입니다.
서울의 중심 시청역에 위치하여
명동 광화문 을지로 종로 남대문 서울역 마포 신촌 에서도 접근이 쉬운 장소입니다.

오늘은 많은 분들이 고민인 벌어진 앞니를
실제로 저희 시청역 연세예감치과에서 치료한 케이스를 알려드리겠습니다.
[환자분이 동의한 케이스만 공개합니다]

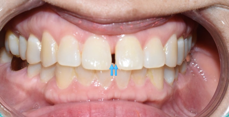
다른 치과에서 교정 후에도 앞니가 벌어져서 교정을 포기하신 50대 환자분입니다.
레진치료를 원하여 레진으로 진행하였습니다.
앞니가 벌어져있으면 관상학(?)으로도
복이 나간다면서 앞니를 메꾸기 위해 찾는 분들도 많으십니다!
바로 당일에 치료가 끝나며,
치료 후 몇시간 기다릴 필요없이 바로 식사하실 수 있습니다.

이렇게 1시간안에 평생 고민거리를 해결하게 되어
환자분이 너무 기뻐하셨습니다.
앞니 틈새를 매꾸는 레진치료는
일반 충치치료와 다르게
색도 티가 나면 안되기 때문에
흰색도 같은 흰색이 아니라 색깔 및 투명감도 굉장히 신경을 써야하고,
공간도 신경써야하고(옆 치아와의 contact 부위 까지 신경써야 하는),
매끄러움,거칠기까지 신경써야하는
일반충치보다 훨씬 손이 많이 가고 어려운 치료입니다.
앞니틈새 메꾸는 레진 비용도 궁금하시죠? 알려드려요
2025년 기준 비용입니다.
-
파노라마 포함 검진( 진단위해 필수, 모든 진료는 치과의사의 진단하에 시행됩니다) : 국민건강보험에 따라 책정된 비용
-
★앞니 틈새★ 레진 비용: 면당 30만원 / 일반 충치치료와 달리 고난도의 기술과 여러 쉐이드 레진이 필요합니다. (재시술의 경우 조금 더 비용 추가될 수 있음)

만약 이번 케이스처럼 저렇게 정중앙에 공간이 있는 경우 위사진과 같이 공간을 1/2씩 나누어
두 치아에 각각 레진이 들어가야 하므로
앞니사이벌어진 공간 레진에 대한 비용은 30만원*2=60만원(이분은 첫시술)이 되겠습니다.
벌어진 앞니 레진치료 또다른 케이스들
아래 포스팅 참고해주세요 ↓
https://blog.naver.com/yonseiyegam/223353579370
앞니 벌어진 공간의 레진치료는
일반 충치레진치료보다 시간이 훨씬 많이 걸리는 치료이며,
상담도 사진촬영하여 환자분과 보면서 상담 해야해서 시간이 걸리니
꼭 예약 부탁드립니다.
위의 네이버지도 클릭하시어 네이버예약가능합니다.
카.톡. 상담 아이디 : yonseiyegam 친구추가 하시어 채팅주시거나
카.톡. 플러스 채널 클릭 으로 상담가능합니다.








더 보기
이 병원의 공개 콘텐츠를 계속 살펴보세요
출처 아카이브로 돌아가 더 많은 글을 보거나, 병원 프로필로 이동해 다른 공개 채널도 함께 비교해보세요.