연세예감치과(시청역)
[서울/시청역] 왜소치 라미네이트 케이스 사례/비용/알려드려요
안녕하세요 시청역 7번출구 삼성본관 바로 맞은편에 위치한 시청역 연 세 예 감 치 과입니다. 서울 중심에 위치하여 광화문, 을지로, 용산, 명동, 충정로 등 어디서든 오기 편한 위치입니다. 오늘은 측절치의 왜소치로 인해 저희 치과에서 라미네이트를 하러 오신 환자분의 케이스입니다. [환자분의 동의를 얻은 사진만...
아카이브 요약
이 페이지의 역할
연세예감치과(시청역) Yonsei Yegam Dental Clinic ヨンセイェガム歯科의 네이버 블로그 원문을 보존한 아카이브 페이지입니다. 치아성형 카테고리의 [서울/시청역] 왜소치 라미네이트 케이스 사례/비용/알려드려요 글을 통해 병원의 한국어 정보 제공 방식과 진료 관련 안내 톤을 확인할 수 있습니다.
![[서울/시청역] 왜소치 라미네이트 케이스 사례/비용/알려드려요 관련 이미지 1](https://pub-9f2bb3498faf4d1d8714b41df24753e3.r2.dev/content/clinics/archive/rseeanjxfu/naver_blog/yonseiyegam/assets/by_hash/84286dbdb20e40a80c57bef382119df312b2268cafc011737c6c5515296f1c51.jpg)
안녕하세요 시청역 7번출구
삼성본관 바로 맞은편에 위치한 시청역 연 세 예 감 치 과입니다.
서울 중심에 위치하여 광화문, 을지로, 용산, 명동, 충정로 등 어디서든 오기 편한 위치입니다.
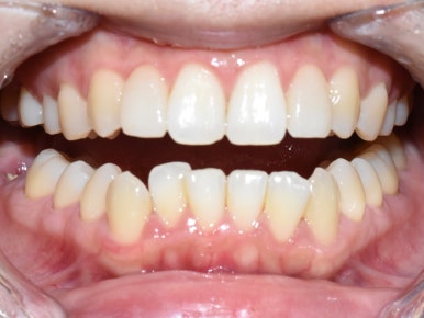
오늘은 측절치의 왜소치로 인해 저희 치과에서 라미네이트를 하러 오신 환자분의 케이스입니다.
[환자분의 동의를 얻은 사진만 게시합니다]
![[서울/시청역] 왜소치 라미네이트 케이스 사례/비용/알려드려요 관련 이미지 2](https://pub-9f2bb3498faf4d1d8714b41df24753e3.r2.dev/content/clinics/archive/rseeanjxfu/naver_blog/yonseiyegam/assets/by_hash/2258dc66227ad50376acb1cbe49d679f5eda05b0e64a7414a8f9675473dca4cd.jpg)
![[서울/시청역] 왜소치 라미네이트 케이스 사례/비용/알려드려요 관련 이미지 3](https://pub-9f2bb3498faf4d1d8714b41df24753e3.r2.dev/content/clinics/archive/rseeanjxfu/naver_blog/yonseiyegam/assets/by_hash/cfb88396b6d0a8d6fb7c33b691474caefc53cc180c2e4d2a368d3508ccc5f1aa.jpg)
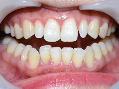
왜소치 라미네이트 전후
![[서울/시청역] 왜소치 라미네이트 케이스 사례/비용/알려드려요 관련 이미지 4](https://pub-9f2bb3498faf4d1d8714b41df24753e3.r2.dev/content/clinics/archive/rseeanjxfu/naver_blog/yonseiyegam/assets/by_hash/e5a2b57fa8582204497fbd0ef7169bf608704386d61c09c07779f5d01a179a80.jpg)
![[서울/시청역] 왜소치 라미네이트 케이스 사례/비용/알려드려요 관련 이미지 5](https://pub-9f2bb3498faf4d1d8714b41df24753e3.r2.dev/content/clinics/archive/rseeanjxfu/naver_blog/yonseiyegam/assets/by_hash/8bf91612bd6a3b573927bdcb9a51926fa8d050db170f92955f775f199fd51a94.jpg)
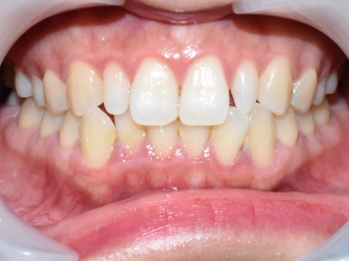
외소치 라미네이트 전후
이렇게 쉽게 라미네이트로 2개의 왜소치를 정상 크기의 치아로 보이게 할 수 있습니다.
왜소치의 경우는 보통 크기도 작기 때문에 치아를 삭제하지 않고 무삭제로 가능합니다.
자연스러운 라미네이트로 환자분도 만족하셨어요!
왜소치 때문에 빈 공간이 까맣게 보여서 외소치 치료를 고민하고 있으셨다면
무삭제 라미네이트, 고려해보세요
웃으며 사진 찍을 일이 있으신 분들, 결혼 준비중인 예비 신랑 신부, 예식 사진 준비중인 분들
무삭제 라미네이트 상담 받아보시는거 어떠실까요?
라미네이트에 대한 안좋은 인식이 있다면??
라미네이트에 대한 오해가 많은데요
라미네이트는 흔히 많이 하는 크라운보다도 삭제량이 훨씬 적습니다.
왜소치 라미네이트, 원장님께서도 연세예감치과에서 직접 본인 치아에 하셨어요
왜소치를 가진 원장님도 저희 치과가 개원한 2018년 이래로
수년간 라미네이트를 잘 사용하고 계십니다.
![[서울/시청역] 왜소치 라미네이트 케이스 사례/비용/알려드려요 관련 이미지 6](https://pub-9f2bb3498faf4d1d8714b41df24753e3.r2.dev/content/clinics/archive/rseeanjxfu/naver_blog/yonseiyegam/assets/by_hash/8145d2cfbe443936308545ce2a77640e102ff12b4377536e4ba68b2ec6671cba.jpg)
원장님 직접 라미네이트
2026년 기준 서울 시청역 연세예감치과
라미네이트 가격(2026년 12월31일 작업시작시까지):
치아 개당 65만원
2개이상 진행시 개당 50만원
라미네이트와 치아미백은 미용목적으로
법적인 부가세 10프로를 받도록 되어있습니다.
(1. 본 가격은 2개이상 부터 구강과 입주변 전후(위와 같은) 사진공개조건 가격입니다
2.사진공개를 원하지 않으시면, 개당 65만원에 진행가능합니다)
- 라미네이트 전 파노라마를 포함한 치과의사의 진단,상담이 필요합니다.
라미네이트 원하는 치아에 충치가 있는 경우
충치제거나 충치치료 후 라미네이트를 해야 할 수 있습니다.
- 라미네이트 제작기간은
대략 1개는 일주일, 2개이상은 8~10일 정도 입니다.)
라미네이트 이벤트 문의는
카톡예약과 문의 카카오톡채널 - 연세예감치과(클릭)
또는 카카오톡 아이디 ID: yonseiyegam 으로도 문의 가능합니다.
연 세 예 감 치과 네이버예약 네이버 예약 클릭
카톡 아이디 ID: yonseiyegam 친구추가하여 문의하시거나
또는 카톡채널(클릭) 으로 문의주셔도 됩니다!
https://blog.naver.com/yonseiyegam/223238911048
▲또다른 왜소치라미네이트 대표 케이스
https://blog.naver.com/yonseiyegam/223080107484
https://blog.naver.com/yonseiyegam/222496599283
https://blog.naver.com/yonseiyegam/222981206470
아름다운 e 치아와 건강한 치아를 위해 해외에서도 찾아오는
시청역 연세예감치과
![[서울/시청역] 왜소치 라미네이트 케이스 사례/비용/알려드려요 관련 이미지 7](https://pub-9f2bb3498faf4d1d8714b41df24753e3.r2.dev/content/clinics/archive/rseeanjxfu/naver_blog/yonseiyegam/assets/by_hash/e6a65df3636299adb3b848758ba1eb144509a95545d63b0836a7c9e51b71d78a.png)
![[서울/시청역] 왜소치 라미네이트 케이스 사례/비용/알려드려요 관련 이미지 8](https://pub-9f2bb3498faf4d1d8714b41df24753e3.r2.dev/content/clinics/archive/rseeanjxfu/naver_blog/yonseiyegam/assets/by_hash/4f9b3b6f0456c7581c78c653b8c6a2592cb61d3bb6f5cdde303cdebb8bb49169.png)
![[서울/시청역] 왜소치 라미네이트 케이스 사례/비용/알려드려요 관련 이미지 9](https://pub-9f2bb3498faf4d1d8714b41df24753e3.r2.dev/content/clinics/archive/rseeanjxfu/naver_blog/yonseiyegam/assets/by_hash/ae2e01b05a6e89808fc49a751fc21b81e1fc88594311994be90917aa7c697844.png)
![[서울/시청역] 왜소치 라미네이트 케이스 사례/비용/알려드려요 관련 이미지 10](https://pub-9f2bb3498faf4d1d8714b41df24753e3.r2.dev/content/clinics/archive/rseeanjxfu/naver_blog/yonseiyegam/assets/by_hash/2d6a3d642e5df8520a7e2a80cf3e87de181fdacdff0f98a47b605c833a44cec3.png)
![[서울/시청역] 왜소치 라미네이트 케이스 사례/비용/알려드려요 관련 이미지 11](https://pub-9f2bb3498faf4d1d8714b41df24753e3.r2.dev/content/clinics/archive/rseeanjxfu/naver_blog/yonseiyegam/assets/by_hash/938024df345140748d7727b369ec85be8485219745e1a11f80efa6fb9000ba64.png)
![[서울/시청역] 왜소치 라미네이트 케이스 사례/비용/알려드려요 관련 이미지 12](https://pub-9f2bb3498faf4d1d8714b41df24753e3.r2.dev/content/clinics/archive/rseeanjxfu/naver_blog/yonseiyegam/assets/by_hash/e879659de166645399432119b662687bc231edb1cabed7717334a9f50dd718e2.png)
![[서울/시청역] 왜소치 라미네이트 케이스 사례/비용/알려드려요 관련 이미지 13](https://pub-9f2bb3498faf4d1d8714b41df24753e3.r2.dev/content/clinics/archive/rseeanjxfu/naver_blog/yonseiyegam/assets/by_hash/e6d36ea6f5411c4a1ba5f6e4215876daffd1d9e4066d9fe23c9a5ee04e698a7b.png)
![[서울/시청역] 왜소치 라미네이트 케이스 사례/비용/알려드려요 관련 이미지 14](https://pub-9f2bb3498faf4d1d8714b41df24753e3.r2.dev/content/clinics/archive/rseeanjxfu/naver_blog/yonseiyegam/assets/by_hash/a149f8c823261633d393116aedda3002075a9685143bf9900b3f0ad0f5105a40.png)
더 보기
이 병원의 공개 콘텐츠를 계속 살펴보세요
출처 아카이브로 돌아가 더 많은 글을 보거나, 병원 프로필로 이동해 다른 공개 채널도 함께 비교해보세요.