연세예감치과(시청역)
[시청역치과] 미국에서도 크라운 하러 일부러 찾아오는 치과 인증사진
안녕하세요 서울 1호선,2호선 시청역 7번출구 삼성본관 바로 맞은편에 위치한 시청역 연세 예 감 치과입니다 크라운은 치과에서 정말 많이 시행하는 치료인데요 오늘은 저희 치과에서도 많이 시행하는 지르코니아 크라운 치료에 대해 알아보겠습니다. 광범위한 충치, 또는 신경치료 후 약해진 치아를 보호하기 위해 등등 여러...
아카이브 요약
이 페이지의 역할
연세예감치과(시청역) Yonsei Yegam Dental Clinic ヨンセイェガム歯科의 네이버 블로그 원문을 보존한 아카이브 페이지입니다. 충치치료 카테고리의 [시청역치과] 미국에서도 크라운 하러 일부러 찾아오는 치과 인증사진 글을 통해 병원의 한국어 정보 제공 방식과 진료 관련 안내 톤을 확인할 수 있습니다.
안녕하세요 서울 1호선,2호선 시청역 7번출구
삼성본관 바로 맞은편에 위치한
시청역 연세 예 감 치과입니다
크라운은 치과에서 정말 많이 시행하는 치료인데요
오늘은 저희 치과에서도 많이 시행하는
지르코니아 크라운 치료에 대해 알아보겠습니다.
광범위한 충치, 또는 신경치료 후 약해진 치아를 보호하기 위해 등등 여러가지 이유로
크라운을 하게 되는데요
요즘 크라운에 흔히 사용되는 재료는 지르코니아 입니다.
[사진 및 자료 공개에 동의한 환자분의 사진입니다]
![[시청역치과] 미국에서도 크라운 하러 일부러 찾아오는 치과 인증사진 관련 이미지 1](https://pub-9f2bb3498faf4d1d8714b41df24753e3.r2.dev/content/clinics/archive/rseeanjxfu/naver_blog/yonseiyegam/assets/by_hash/277398b276d81b22ffe4071cee4fe924452019cbe688e11d8267c696d50cafde.jpg)
![[시청역치과] 미국에서도 크라운 하러 일부러 찾아오는 치과 인증사진 관련 이미지 2](https://pub-9f2bb3498faf4d1d8714b41df24753e3.r2.dev/content/clinics/archive/rseeanjxfu/naver_blog/yonseiyegam/assets/by_hash/c0df363683a2af141c0c1534cb808ef005fb02dcd432e54755e15caf5fad570a.jpg)
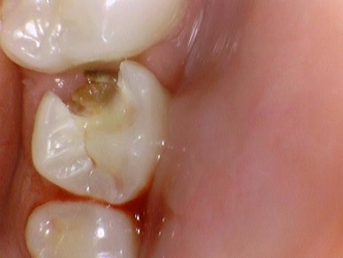
지르코니아 크라운 전후
예전에 썼던 금 크라운(골드크라운)과 달리 치아 색이 나는 하얀색이고,
예전에 썼던 메탈 위에 도자기가 올라가는 형식의 pfm크라운과 달리 하얀색이면서도 강도도 좋고 생체친화성도 좋아 많이 사용되고 있습니다.
![[시청역치과] 미국에서도 크라운 하러 일부러 찾아오는 치과 인증사진 관련 이미지 3](https://pub-9f2bb3498faf4d1d8714b41df24753e3.r2.dev/content/clinics/archive/rseeanjxfu/naver_blog/yonseiyegam/assets/by_hash/65b6a963b98d6947384a9da0cdbe6af6f1340cbe9ff9c9a330ff81a896c98244.jpg)
![[시청역치과] 미국에서도 크라운 하러 일부러 찾아오는 치과 인증사진 관련 이미지 4](https://pub-9f2bb3498faf4d1d8714b41df24753e3.r2.dev/content/clinics/archive/rseeanjxfu/naver_blog/yonseiyegam/assets/by_hash/0964f6680c17bd06d3bb1ad2bc7206a60a37bfc03d21941ec9c9fcc1b7e0bc89.jpg)
지르코니아 크라운 전 후
해외에서도 찾아오는 지르코니아 크라운 치료
예전에도 저희 치과에서 치료받은 적이 있는 미국사는 외국인 환자분이신데
이번에 저희 치과를 또 방문하시고
(한국 올 때 마다 소중한 이 치아관리와 치료위해 저희 연세 예감 치과를 방문하시는 듯요)
검진 때 "크라운을 미국에서 한 것이 있는데 음식물이 너무 많이 낀다"
라는 증상을 말해주셨습니다.
원장님 검진 결과 기존 pfm 크라운의 도자기 부분이 깨져나가 그 부분에 음식물이 많이 껴서
불편함을 느끼는 것이었는데요
![[시청역치과] 미국에서도 크라운 하러 일부러 찾아오는 치과 인증사진 관련 이미지 5](https://pub-9f2bb3498faf4d1d8714b41df24753e3.r2.dev/content/clinics/archive/rseeanjxfu/naver_blog/yonseiyegam/assets/by_hash/793271d41f12e164fdb1d12530f366f7f856531073dd1436166e7f6c4edc2015.jpg)
저희치과에서 지르코니아 크라운으로 교체하셨습니다.
환자분이 그 후 음식물이 끼지 않아 매우 만족하셨는지
입안에 있는 다른 크라운도 저희 치과에서 교체하고 싶다고 며칠 만에 메일이 오셨어요
얼마나 만족하셨는지, 일부러 출국 한 지 며칠만에 한국까지 비행기 타고
다른 치아까지 치과치료 받으러 올 계획을 짜고 계셨습니다.
![[시청역치과] 미국에서도 크라운 하러 일부러 찾아오는 치과 인증사진 관련 이미지 6](https://pub-9f2bb3498faf4d1d8714b41df24753e3.r2.dev/content/clinics/archive/rseeanjxfu/naver_blog/yonseiyegam/assets/by_hash/52fb72c6d88d299eeb75599381dd67d7f81b423d97400ba0ee8d38927a668f15.jpg)
환자분이 보내신 메일
![[시청역치과] 미국에서도 크라운 하러 일부러 찾아오는 치과 인증사진 관련 이미지 7](https://pub-9f2bb3498faf4d1d8714b41df24753e3.r2.dev/content/clinics/archive/rseeanjxfu/naver_blog/yonseiyegam/assets/by_hash/bc0c24c95d1ee68cf105496eaf3e6385e50c0f1ba65e77e01c5e94aa76f3897e.jpg)
![[시청역치과] 미국에서도 크라운 하러 일부러 찾아오는 치과 인증사진 관련 이미지 8](https://pub-9f2bb3498faf4d1d8714b41df24753e3.r2.dev/content/clinics/archive/rseeanjxfu/naver_blog/yonseiyegam/assets/by_hash/1401b40b2aed83add48c62398aebc8656cc5952f93f258aba287caa8e186ecfd.jpg)
![[시청역치과] 미국에서도 크라운 하러 일부러 찾아오는 치과 인증사진 관련 이미지 9](https://pub-9f2bb3498faf4d1d8714b41df24753e3.r2.dev/content/clinics/archive/rseeanjxfu/naver_blog/yonseiyegam/assets/by_hash/f85154011858e027851fc9150782204ba8d9090e4bedcc820689927890637907.jpg)
지르코니아크라운 장착 전, 지르코니아 크라운 장착 후 모형사진
지금까지 해외에서도 E 아름다운 치아, 건강한 치아를 만들기 위해 찾아오는
시청역 연세예감치과에서 알려드린 지르코니아 크라운 치료 사례였습니다.
[모든 진료는 치과의사 원장님의 진단 하에 진행됩니다.]
연세예감치과는 서울 시청역 7번출구 삼성본관 맞은편 위치하여
충정로, 서울역, 을지로, 남대문 에서도 가깝습니다.
![[시청역치과] 미국에서도 크라운 하러 일부러 찾아오는 치과 인증사진 관련 이미지 10](https://pub-9f2bb3498faf4d1d8714b41df24753e3.r2.dev/content/clinics/archive/rseeanjxfu/naver_blog/yonseiyegam/assets/by_hash/5703555ae14080b2c538654efa2cfb98661c4c1edc6d7f632557d5e7073b6a7b.png)
![[시청역치과] 미국에서도 크라운 하러 일부러 찾아오는 치과 인증사진 관련 이미지 11](https://pub-9f2bb3498faf4d1d8714b41df24753e3.r2.dev/content/clinics/archive/rseeanjxfu/naver_blog/yonseiyegam/assets/by_hash/e6a65df3636299adb3b848758ba1eb144509a95545d63b0836a7c9e51b71d78a.png)
![[시청역치과] 미국에서도 크라운 하러 일부러 찾아오는 치과 인증사진 관련 이미지 12](https://pub-9f2bb3498faf4d1d8714b41df24753e3.r2.dev/content/clinics/archive/rseeanjxfu/naver_blog/yonseiyegam/assets/by_hash/4f9b3b6f0456c7581c78c653b8c6a2592cb61d3bb6f5cdde303cdebb8bb49169.png)
![[시청역치과] 미국에서도 크라운 하러 일부러 찾아오는 치과 인증사진 관련 이미지 13](https://pub-9f2bb3498faf4d1d8714b41df24753e3.r2.dev/content/clinics/archive/rseeanjxfu/naver_blog/yonseiyegam/assets/by_hash/ae2e01b05a6e89808fc49a751fc21b81e1fc88594311994be90917aa7c697844.png)
![[시청역치과] 미국에서도 크라운 하러 일부러 찾아오는 치과 인증사진 관련 이미지 14](https://pub-9f2bb3498faf4d1d8714b41df24753e3.r2.dev/content/clinics/archive/rseeanjxfu/naver_blog/yonseiyegam/assets/by_hash/2d6a3d642e5df8520a7e2a80cf3e87de181fdacdff0f98a47b605c833a44cec3.png)
![[시청역치과] 미국에서도 크라운 하러 일부러 찾아오는 치과 인증사진 관련 이미지 15](https://pub-9f2bb3498faf4d1d8714b41df24753e3.r2.dev/content/clinics/archive/rseeanjxfu/naver_blog/yonseiyegam/assets/by_hash/938024df345140748d7727b369ec85be8485219745e1a11f80efa6fb9000ba64.png)
![[시청역치과] 미국에서도 크라운 하러 일부러 찾아오는 치과 인증사진 관련 이미지 16](https://pub-9f2bb3498faf4d1d8714b41df24753e3.r2.dev/content/clinics/archive/rseeanjxfu/naver_blog/yonseiyegam/assets/by_hash/e879659de166645399432119b662687bc231edb1cabed7717334a9f50dd718e2.png)
![[시청역치과] 미국에서도 크라운 하러 일부러 찾아오는 치과 인증사진 관련 이미지 17](https://pub-9f2bb3498faf4d1d8714b41df24753e3.r2.dev/content/clinics/archive/rseeanjxfu/naver_blog/yonseiyegam/assets/by_hash/e6d36ea6f5411c4a1ba5f6e4215876daffd1d9e4066d9fe23c9a5ee04e698a7b.png)
![[시청역치과] 미국에서도 크라운 하러 일부러 찾아오는 치과 인증사진 관련 이미지 18](https://pub-9f2bb3498faf4d1d8714b41df24753e3.r2.dev/content/clinics/archive/rseeanjxfu/naver_blog/yonseiyegam/assets/by_hash/a149f8c823261633d393116aedda3002075a9685143bf9900b3f0ad0f5105a40.png)
더 보기
이 병원의 공개 콘텐츠를 계속 살펴보세요
출처 아카이브로 돌아가 더 많은 글을 보거나, 병원 프로필로 이동해 다른 공개 채널도 함께 비교해보세요.