아카이브 요약
이 페이지의 역할
연세예감치과의원의 네이버 블로그 원문을 보존한 아카이브 페이지입니다. 치아성형 카테고리의 아주 하얀 치아를 만들고 싶어요 라미네이트케이스 및 비용 안내 글을 통해 병원의 한국어 정보 제공 방식과 진료 관련 안내 톤을 확인할 수 있습니다.
원문 검증
필요하면 원문 블로그와 병원 프로필로 바로 이동해 문맥을 다시 확인할 수 있습니다.
출처 아카이브 열기아카이브된 블로그 글
연세예감치과의원 · Naver Blog
안녕하세요 서울의 중앙, 서 울 의 중심에 위치한 시청역 연세 예 감 치과입니다. 충정로, 서울역, 광화문, 을지로, 명동에서도 가깝습니다. 시청역 삼성본관 바로 맞은편에 위치합니다. 오늘은 아주 하얀 치아를 만들고 싶다고 찾아온 외국인 환자분의 케이스를 소개해 드리겠습니다. 환자분의 동의를 얻은 사진만 공개합...
게시일
2024년 7월 19일
원문 기준으로 확인된 발행일입니다.
카테고리
치아성형
원문 블로그 카테고리를 정리해 함께 표시합니다.
이미지 수
12
현재 아카이브에 연결된 이미지 수입니다.
아카이브 요약
연세예감치과의원의 네이버 블로그 원문을 보존한 아카이브 페이지입니다. 치아성형 카테고리의 아주 하얀 치아를 만들고 싶어요 라미네이트케이스 및 비용 안내 글을 통해 병원의 한국어 정보 제공 방식과 진료 관련 안내 톤을 확인할 수 있습니다.
원문 검증
필요하면 원문 블로그와 병원 프로필로 바로 이동해 문맥을 다시 확인할 수 있습니다.
출처 아카이브 열기안녕하세요
서울의 중앙, 서 울 의 중심에 위치한
시청역 연세 예 감 치과입니다.
충정로, 서울역, 광화문, 을지로, 명동에서도 가깝습니다.
시청역 삼성본관 바로 맞은편에 위치합니다.
오늘은 아주 하얀 치아를 만들고 싶다고 찾아온
외국인 환자분의 케이스를 소개해 드리겠습니다.
환자분의 동의를 얻은 사진만 공개합니다.
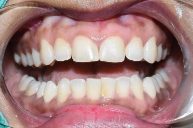
이전에도 한번 앞니 6개를 한 케이스로 소개해 드렸는데요,
환자분이 위쪽 앞니 6개를 하고 나서
나머지 치아도 똑같이 하얗게 만들고 싶다고 위쪽 추가 2개, 아래쪽 6개를 추가로 해서
총 14개의 라미네이트를 하셨거든요. (위 8개, 아래 6개)



(왼쪽 사진)치료 전, (중간사진) 상악6개 라미네이트 후, (오른쪽 사진)상악8개+하악6개 라미네이트 후
이 외국인모델환자분께서는 방송에도 많이 나가고
사람들 앞에서 말을 많이 하는 직업이라서 아주아주 하얀 치아를 원하셨습니다.
치아미백은 영구적이지 않고 본인 치아에 따라 한계가 있기 때문에
드라마틱한 하얀 치아를 원한다면 라미네이트를 하셔야 하겠죠.
관리하는 차원에서 밝은 치아를 원하시면 미백도 좋습니다.
https://blog.naver.com/yonseiyegam/223417630289
▲치아 미백에 관한 포스팅.
그러나 이 외국인모델환자분은 아주아주 하얗고 영구적인 햐안 치아를 원했기 때문에
붙이는 라미네이트를 원하셨습니다.
말을 할 때나 입을 벌릴 때 보이는 14개의 치아를 거의 삭제하지 않고 라미네이트 하셨고
치아색에도 당연히 만족하셨으며
환자분은 하시고 나서 삐뚤했던 아랫니가 고르게 되어서 특히 좋다고 하셨습니다.

대부분의 케이스에서 무삭제로 라미네이트를 진행하고 있으나
본인의 교합상태나 치아상태 등에 따라
최소삭제나 삭제 라미네이트를 진행해야할 수도 있으니
치과의사의 정확한 진단을 받은 후 치료하셔야 합니다.

아랫니의 경우는 위의 사진에서 보듯이 윗니의 뒷부분과 맞닿기 때문에
개개인의 교합상태에 따라
라미네이트가 들어갈 충분한 공간이 없다면 삭제해야 할 수도 있습니다.
라미네이트 전에는 반드시 치과의사의 진단이 필요합니다!
라미네이트 가격
2026년 기준 서울 시청역 연세예감치과
라미네이트 가격(2026년 12월31일 작업시작시까지):
치아 개당 65만원
2개이상 진행시 개당 50만원 (전후사진공개이벤트가)
라미네이트와 치아미백은 미용목적으로
법적인 부가세 10프로를 받도록 되어있습니다.
(1. 본 가격은 2개이상 부터 구강과 입주변 전후(위와 같은) 사진공개조건 가격입니다
2.사진공개를 원하지 않으시면, 개당 65만원에 진행가능합니다)
라미네이트 원하는 치아에 충치가 있는 경우
충치제거나 충치치료 후 라미네이트를 해야 할 수 있습니다.
대략 1개는 일주일, 2개이상은 8~10일 정도 입니다.)
라미네이트 이벤트 문의는
카톡예약과 문의 카카오톡채널 - 연세예감치과(클릭)
또는 카카오톡 아이디 ID: yonseiyegam 으로도 문의 가능합니다.
연 세 예 감 치과 네이버예약 네이버 예약 클릭
카톡 아이디 ID: yonseiyegam 친구추가하여 문의하시거나
또는 카톡채널(클릭) 으로 문의주셔도 됩니다!
해외에서도 아름다운 e 치아를 위해 찾아오는
충정로, 서울역, 광화문, 을지로, 명동 가까운
시청역 연세예감치과입니다.






