아카이브 요약
이 페이지의 역할
연세예감치과의원의 네이버 블로그 원문을 보존한 아카이브 페이지입니다. 충치치료 카테고리의 광화문 연세 예감 치과 해외에서도 찾아오는 지르코니아크라운 치료 안내해드려요 글을 통해 병원의 한국어 정보 제공 방식과 진료 관련 안내 톤을 확인할 수 있습니다.
원문 검증
필요하면 원문 블로그와 병원 프로필로 바로 이동해 문맥을 다시 확인할 수 있습니다.
출처 아카이브 열기아카이브된 블로그 글
연세예감치과의원 · Naver Blog
안녕하세요 해외에서도 찾아오는 연세 예 감 치과입니다! 저희 연세예감치과는 시청역 7번출구 삼성본관 바로 맞은편에 있습니다. 시청역 7번출구에서 도보3분거리에 위치하고 있습니다. 광화문과 시청역! 가까운 것 알고 계시죠? 저도 광화문까지 걸어다닐 때가 많은데요 광화문에서도 가까워서 광화문광장 기준 버스 타면 8분(버스...
게시일
2024년 7월 23일
원문 기준으로 확인된 발행일입니다.
카테고리
충치치료
원문 블로그 카테고리를 정리해 함께 표시합니다.
이미지 수
23
현재 아카이브에 연결된 이미지 수입니다.
아카이브 요약
연세예감치과의원의 네이버 블로그 원문을 보존한 아카이브 페이지입니다. 충치치료 카테고리의 광화문 연세 예감 치과 해외에서도 찾아오는 지르코니아크라운 치료 안내해드려요 글을 통해 병원의 한국어 정보 제공 방식과 진료 관련 안내 톤을 확인할 수 있습니다.
원문 검증
필요하면 원문 블로그와 병원 프로필로 바로 이동해 문맥을 다시 확인할 수 있습니다.
출처 아카이브 열기안녕하세요 해외에서도 찾아오는 연세 예 감 치과입니다!







저희 연세예감치과는 시청역 7번출구 삼성본관 바로 맞은편에 있습니다.
시청역 7번출구에서 도보3분거리에 위치하고 있습니다.
광화문과 시청역! 가까운 것 알고 계시죠? 저도 광화문까지 걸어다닐 때가 많은데요
광화문에서도 가까워서
광화문광장 기준 버스 타면 8분(버스2정거장 거리)입니다.

아래 사례와 사진은 실제 저희 연세예감치과 환자의 사례와 치아 사진으로
환자분의 동의를 얻은 사진만 게시합니다.

시청역 크라운. 크라운 하러 또 오시려는 외국인환자분
▲ 6월에 지르코니아 크라운을 저희 치과에서 하시고 미국으로 다시 돌아가신 외국인 환자분인데, 만족하시고 다른 오래된 크라운도 지르코니아 크라운으로 바꾸러 한국에 8월에 다시 오겠다고 연락오셨습니다.
크라운, 어떤 경우에 하나요?
크라운 치료는 레진이나 인레이치료를 할 수 없을 만큼
충치가 매우 광범위한 경우 라든지
신경치료를 한 치아에 주로 하게 됩니다.
치아를 전체적으로 깎아 감싸주기때문에
파절된 치아를 더 많이 파절되어 발치하기 전에 보호하기 위한 목적으로도 하는 치료입니다.

치아가 파절되어 두동강난 모습

신경치료를 하고 크라운을 하지 않고 몇년간 방치하여 부러진 치아
어금니 신경치료는 아주 특이한 경우를 제외하고는 반드시 크라운을 하셔야 하며
크라운을 하셔도 뿌리가 부러질 만큼 신경치료한 치아는 약해져 있으니
그 신경치료한 치아로 씹으시려면 반드시 크라운을 하셔야 합니다.



오래된 신경치료한 치아의 뿌리가 부러져서 환자가 악취가 나고 아프다고 방문 → 발치
만약 신경치료한 치아를 씌우지 않아 뿌리부분이 두 동강나거나 파절된다면 살릴 수 없어
발치하는 경우가 많게 됩니다.


신경치료를 하고 난 후 크라운을 하지 않고 방치하여 깨진치아 → 꺠진 부위가 머리부위라 크라운을 하여 해결
크라운 재료
요즘 크라운 재료의 대세는 지르코니아 인듯 합니다. 대부분의 치과에서 지르코니아를 사용하고 있습니다.
지르코니아 크라운의 특징
색깔 : 예전에 시행하던 금 크라운과 달리 치아색이 나는 하얀색입니다.
강도 : 인공다이아몬드로 불릴만큼 강도가 우수합니다. 예전에 하얀색 나던 PFM(금속위에 하얀색이 나게 도자기를 올린 재료)는 도자기 부분이 잘 깨졌지만 지르코니아는 웬만해서는 잘 깨지지 않습니다.
생체친화적: 금속이 없고 생체친화적입니다.
↓예전의 PFM크라운은 도자기 부분 깨진다거나

PFM은 도자기 아래 금속부분이 노출되는 등의 문제가 있었습니다.


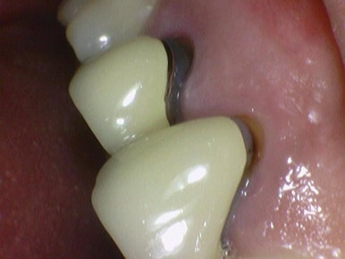
PFM 크라운 2개를 심미 목적등으로 지르코니아크라운으로 변경. 시청역치과
위의 사진처럼 오래된 PFM크라운을 지르코니아 크라운으로 변경하기도 합니다.


충치가 심한 치아를 크라운(지르코니아 크라운)으로 해서 자연스럽게 만든 모습. 시청역치과
물론 모든 크라운 재료를 지르코니아로 하는 것이 적합한 것이 아니라
본인의 치아 상태, 교합 상태에 따라
직접 진료하는 치과의사로부터 적절한 크라운 재료를 진단받아 치료 받아야 합니다.
저희 치과도 기본적으로는 지르코니아 크라운을 많이 사용하고 있지만
각각의 치아 상태 등에 따라 금 골드크라운이나 PFM크라운을 하기도 합니다.
환자분들의 행복한 치아건강을 책임지는
광화문 인근에서도 많이 오는
시청역 연 세 예 감 치과였습니다!
시청역 연세예감치과는
일반 영리기업이 아닌 공신력있는 "서울특별시"로부터
현장심사까지 3단계 과정의 심사를 거쳐
한국을 방문하는 외국인에게 수준급의 의료 서비스를 제공할 수 있다고 판단되어 선발된
서울시 인증 서울특별시 의료관광 협력기관입니다.

