연세예감치과(시청역)
잇몸에서 피가 나요 잇몸치료에 대해 알려드려요 실제사례 및 비용은
안녕하세요 서울 시청역 7번출구 삼성본관 바로 맞은편에 위치한 시청역 연 세 예 감 치과입니다. 서울의 중심,중앙인 시청역에 위치하여 서울역, 명동, 을지로, 마포, 신촌, 을지로, 광화문 어디에서도 오기 편한 위치입니다. 연세 예 감 치과 오늘은 많은 환자분들이 고민하시는 잇몸치료에 대해 알려드려요 [환자분들...
아카이브 요약
이 페이지의 역할
연세예감치과(시청역) Yonsei Yegam Dental Clinic ヨンセイェガム歯科의 네이버 블로그 원문을 보존한 아카이브 페이지입니다. 잇몸치료 카테고리의 잇몸에서 피가 나요 잇몸치료에 대해 알려드려요 실제사례 및 비용은 글을 통해 병원의 한국어 정보 제공 방식과 진료 관련 안내 톤을 확인할 수 있습니다.
안녕하세요
서울 시청역 7번출구 삼성본관 바로 맞은편에 위치한
시청역 연 세 예 감 치과입니다.
서울의 중심,중앙인 시청역에 위치하여
서울역, 명동, 을지로, 마포, 신촌, 을지로, 광화문 어디에서도 오기 편한 위치입니다.
연세 예 감 치과
오늘은 많은 환자분들이 고민하시는 잇몸치료에 대해 알려드려요
[환자분들의 동의를 얻은 사진만 게시합니다.]

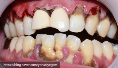
빨갛게 발적된 잇몸
많은 분들이 잇몸에서 양치할 때 피가 난다고 치과를 찾아주시기도 하고,
심지어 양치를 하지 않고 건드리지 않아도 피가 날 만큼 잇몸이 안좋은 분들도 있습니다.
잇몸이 매우 안좋았던 30대 남자환자분의 치료 사례를 한 번 보겠습니다.

잇몸치료전
나이가 많지 않은 30대이지만,
치석이 굉장히 많고, 가만히 있어도 잇몸에서 피가 나고, 잇몸이 치아와 벌어져 있고,
치과 에어 바람만 불어도 피가 심하게 날만큼 잇몸이 안 좋은 분이셨습니다.




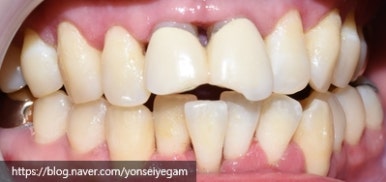
치료 전- 잇몸치료 후 - 앞니 보철 깨진 것 새로 한 후
이 환자분의 경우
잇몸치료의 첫단계인 스케일링부터 시작해서,
간단한 잇몸치료, 마취하고 하는 잇몸치료 까지 시행하여 사진 정도로 개선되었습니다.
더 깊은 잇몸치료는 잇몸을 째서
잇몸을 들쳐서 더 깊은 뿌리부분까지 긁어내는 치료도 있으나
그정도까지 하기 전에 많이 개선되어서
환자분이 지금정도에도 만족하셨습니다.
간혹 잇몸이 좋지 않다고,
어떤 영양제를 먹으면 되냐고 질문하시는 분들이 있는데
영양제는 보조제일 뿐이고, 우리가 어떤 질병에 걸리면 병원에서 그 질병에 대한 치료를 해야지, 비타민을 먹는다고 드라마틱하게 개선되지 않듯이,
잇몸병이 있으신 분들, 잇몸에서 피가 나시는 분들은 고민하지 마시고
전문가인 치과의사의 진단을 받고 치료계획을 설명들으시길 바랍니다.
Q. 잇몸치료 비용은 어떻게 되나요?
잇몸치료는 건강보험적용되는 치료로
그때그때 나라에서 본인의 건강보험기준에 따라 정해놓은 비용이 책정됩니다.
건강보험이 있으시면 비보험치료가 아니므로
나라에서 일정비율 보장해주는 만큼 잇몸질환이 있으시다면 꼭 치료 받으시기 바랍니다.

시청역근처치과 연세예감치과에서는 원장님께서 직접 환자분들의
치아에 대한 상담부터 관리까지 진행합니다.
충치제거 해보지도 못한 직원분의 진단(치과의사 원장님이 아닌 직원이 충치제거를 한다면 불법이겠죠?) ? No!
충치제거를 직접 하고 직접 충치를 치료하는 원장님께서 직접 진단하고 환자분과 상담합니다.
또한 종류가 다른 치료를 받을 때마다 주치의가 달라져서
환자분이 혼란스럽거나 같은 치아를 각각 다른 사람이 치료하는 일은 없습니다.




을지로치과 시청역치과 원장님 사진
지금까지 해외에서도
아름답고 건강한 치아를 위해 찾아오는
시청역 연세예감치과에서 알려드린
잇몸치료 관련내용이었습니다.







더 보기
이 병원의 공개 콘텐츠를 계속 살펴보세요
출처 아카이브로 돌아가 더 많은 글을 보거나, 병원 프로필로 이동해 다른 공개 채널도 함께 비교해보세요.