연세예감치과(시청역)
여름휴가 때 뭐하지 휴가 때 갈만한 곳? 관리하는 분들은 다 하는 치아미백 어떠세요?
안녕하세요 서울 시청역 7번출구 삼성본관 맞은편에 위치한 연세 예감 치과입니다. 서울의 중심인 사대문 안, 시청역에 위치하여 광화문, 남대문과도 가깝고, 을지로, 명동도 가깝습니다. 오늘은 여름 휴가 철을 맞이하여 많은 분들이 고민하시는 "여름휴가 때 뭐하지?? 휴가 때 어디 가지?" 에 대한 의견을 내드릴까 해요...
아카이브 요약
이 페이지의 역할
연세예감치과(시청역) Yonsei Yegam Dental Clinic ヨンセイェガム歯科의 네이버 블로그 원문을 보존한 아카이브 페이지입니다. 치아미백 카테고리의 여름휴가 때 뭐하지 휴가 때 갈만한 곳? 관리하는 분들은 다 하는 치아미백 어떠세요? 글을 통해 병원의 한국어 정보 제공 방식과 진료 관련 안내 톤을 확인할 수 있습니다.
안녕하세요
서울 시청역 7번출구 삼성본관 맞은편에 위치한
연세 예감 치과입니다.
서울의 중심인 사대문 안, 시청역에 위치하여
광화문, 남대문과도 가깝고, 을지로, 명동도 가깝습니다.
오늘은 여름 휴가 철을 맞이하여 많은 분들이 고민하시는
"여름휴가 때 뭐하지?? 휴가 때 어디 가지?" 에 대한 의견을 내드릴까 해요!
요새 관리하는 분들은 다 한다는 치아미백! 한 번 고려해 보시는 것 어떠실까요?
또한 스케일링! 안한지 오래됐다면 꼭 하세요.
스케일링
건강보험 스케일링은 1년에 한번 연1회 건강보험으로 스케일링을 적용받으실 수 있는데
1월~12월 기준으로 1회이다 보니 , 12월 막판에는 항상 환자분들이 스케일링 받으려고 몰리세요!
요즘 너무 덥잖아요~ 에어컨 바람 쐬며 치과에서 시원하게 스케일링 받으시면 잇몸건강에도 도움이 된답니다.
치석 계속 쌓아두시면 잇몸병의 원인이 되는 것 알고 계시나요? 치석이 계속 쌓이면 잇몸아래 치아뿌리를 잡고있는 잇몸뼈들이 녹아 치아가 흔들리게 된답니다.
저희 시청역 연세예감치과에서는
원하시는 분들은 가글마취를 해드려서
스케일링시 통증을 줄여드리려고 노력하고 있답니다.
(간혹 어떤 분들은 스케일링 자체가 잇몸이 시원하다고 가글마취를 원하시지 않으셔서,
가글마취를 원하시는 분들만 해드리고 있으니 꼭 말씀해주세요!)
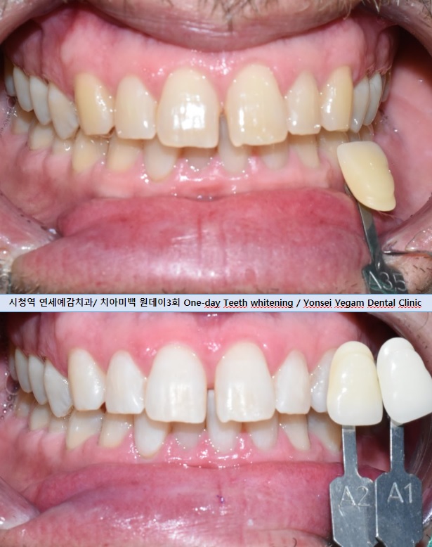
치아미백 : 연세예감치과는 전세계 외국인들이 인정하는 치아미백맛집 입니다!
외국인들도 여름휴가, 겨울휴가 등등 한국에 휴가로 여행오면
치아미백을 저희 치과에서 받는걸로 저희치과가 유명해요 ^_^

시청역 치아 미백

시청역 치아미백
외국인들은 치아미백에 진심이라서
(서구쪽 국가에서는 하얀 치아를 미의 기준으로 삼고 치아색에 더 신경쓰는 느낌입니다)
치아미백하러 주기적으로 한국 저희 연세예감치과 방문하시는 외국인들도 있답니다.
요새는 한국에서도 치아까지 관리해야 정말 관리하는 사람이라더라구요.
성형의 끝판이 치아라는 말이 있대요.
치아미백 가격도 알려드릴게요!
서울 시청역 연세예감치과
2026년 기준 치아미백 이벤트 가격
☆파노라마 포함한 치아 검진 (미백전 치아상태파악과 부작용방지를 위해 필수입니다): 건강보험료 적용 (한국국민건강보험 없을경우 15000원 비보험)
☆옵션i) 미백 원데이 3회(하루에 미백3회가 들어가는 치료) : 33만원 .부가세10%포함 36만3천원
☆옵션ii) 미백 원데이 2회 (하루에 미백2회가 들어가는 치료) : 27만원. 부가세10%포함 29만7천원
- 치아미백은 성형외과나 피부과 진료처럼
법적으로 부가세가 정해져 있는 치료입니다.
미백은 검진, 잇몸보호제도포시간, 약제바르는 시간, 라이트쬐는 시간 등
시간이 많이 걸리는 진료이니 예약필수이며
치아미백은 전처리 과정이 복잡하고 길기 때문에
원데이 3회의 경우 1.5시간정도,
원데이 2회의 경우 1시간 내외로 생각하고 예약주시는 것이 좋습니다.
(원데이 1회는 진행하지 않습니다)
주의사항: 미백 후 2시간은 물 이외 식사 금지이므로 참고해주세요!
예전에는 힘들게 기계밑에서 누워서 꼼짝달싹 못하고
치아미백을 했다면
요즘 저희 치과에서는 최신 목걸이형 전문가 미백기를 도입하여
환자분들이 보다 편하게 미백을 하실 수 있습니다.
미백하는 긴 시간동안 앉아서 휴대폰도 하실 수 있어요!

(왼쪽) 예전에 썼던 미백기 / (오른쪽) 요즘에 쓰고 있는 목걸이형 미백기



5년전에 한국에서 미백하시고, 5년 후에도 다시 한국 방문하셔서 미백 하러 오신
교포 외국인 환자분!
중간 사진보면 미백기계를 끼고 계신답니다!








지금까지 여름 휴가 때 뭐할지 고민이신 분들을 위해
치아미백 해보시는 건 어떠실지 추천드렸습니다!
시청역 연세예감치과
임플란트 수술 하는 동안에는 다른 진료를 할 수 없으니
내원전 미리 예약부탁드립니다.
전화 02-318-8275
카톡예약과 문의 카카오톡채널 - 연세예감치과(클릭) 또는 카카오톡 ID아이디: yonseiyegam 친구추가 후 문의
네이버예약 네이버 예약 클릭

더 보기
이 병원의 공개 콘텐츠를 계속 살펴보세요
출처 아카이브로 돌아가 더 많은 글을 보거나, 병원 프로필로 이동해 다른 공개 채널도 함께 비교해보세요.