안녕하세요 서울의 중심부
시청역 7번출구 삼성본관빌딩 바로 맞은편에 위치한
시청역 < 연세 예 감 치과 >입니다.
충정로, 시청역, 을지로, 명동, 광화문, 서대문 역 어디에서도 오기 편한 위치입니다.
서울 중부에 위치하여 강북 강남 어디에서도, 지방에서도 해외에서도 오기 편한 위치로
세계 각지에서 많은 분들이 찾아주고 계십니다.
오늘은 왜소치 및 치아사이 공간으로 인한 라미네이트를 진행하시고 출국한
외국인 관광객 환자분의 케이스를 소개 하겠습니다.
환자분이 동의한 케이스만 공개합니다.
미국에 거주하시는 외국인 환자분의 메일이 왔습니다
:
Hello, I'm from the US and am visiting Seoul for the next few weeks. I am interested in getting a consultation for veneers.
라미네이트 상담을 원하시고 최대한 한국에 있는 몇 주만에 해결하기를 원하셨습니다.


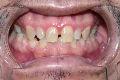
라미네이트 치료 전 아무것도 안한 상태
치료 전 상담을 위한 사진을 촬영하였습니다.
유치도 있고 앞니 사이는 많이 벌어진 모습입니다.
환자분은 위의 앞니 6개만 라미네이트를 생각한다고 하셨습니다.
웃을 때 위의 치아만 거의 보이고, 윗니가 아랫니를 덮게 교합이 될 것이라서
가장 많이 보이는 윗니 6개만 해도 충분히 더 좋은 인상을 가지게 될 거라 진단하고
환자분이 출국하셔야 하므로 빠른 진행원하셔서 당일에 라미네이트 제작을 위한 본 뜨기 진행하였습니다.
바로 치료 전 후 사진을 비교해보겠습니다.

상담 후 환자분은 바로 치료를 원하셔서
6개 치아중 필요한 치아는 최소삭제(울퉁불퉁한 부분만 다듬었음) 및 대부분 무삭제로 진행하였습니다.


너무 길고 울퉁불퉁한 앞니 2개만 다듬고 본을 뜨기로 하였습니다.
너무 긴 앞니 2개만 울퉁불퉁한 곳을 다듬고 본을 뜨기로 하였습니다.
나머지 4개 치아는 정말 삭제를 하나도 하지 않은 무삭제 입니다.

처음 내원 하신 날 본을 뜨고 9일 후 붙인 모습입니다.
환자분이 색깔이나 모양에 대해 매우 만족하셔서 한번에 끝났습니다.
라미네이트 색깔은 저희만의 노하우로
최대한 자연스러우면서도 하얀 색깔로 변할 수 있게 해드립니다.
가장 많이 보이는 앞니 6개만 했는데도 엄청 고르고 하얘보이죠!
실제 환자분 라미네이트 맞춰보는 모습과
라미네이트 일주일 후 방문하셔서 체크하시면서 말씀하시는 동영상 보시겠습니다.
해외에서 라미네이트 치료 위해 찾아온 환자분[사진 및 영상 공개 동의하셨습니다]

일주일 후에 체크 오셨을 때 보면 잇몸도 잘 회복되고
환자분도 만족하셨습니다.
환자분이 한국에서 비싸지 않게 라미네이트를 6개나
빠른 시간내에 두번의 내원(본뜨는날, 붙이는 날)만에 완성하셔서
매우 만족하셨습니다.
지금까지
서울 시청역 명동 한번에
라미네이트 위쪽 앞니 6개 완성한 케이스를
서울 시청역 연세 예감 치과에서 실제 내원한 외국인 환자 케이스로 보여드렸습니다.
라미네이트 가격

2026년 기준 서울 시청역 연세예감치과
라미네이트 가격(2026년 12월31일 작업시작시까지):
이벤트 가격
라미네이트 전에는 반드시 치과의사의 진단이 필요합니다: 검진비용 건강보험적용
라미네이트 치아 개당 65만원 :사진공개 없을 경우 또는 1개의 경우
2개이상 진행시 개당 50만원 ←구강내(치아&잇몸) 전후 사진공개시
라미네이트와 치아미백은 미용목적으로
관련법에 따라 별도로 부가세 10프로를 받도록 되어있습니다.
(1. 본 가격은 2개이상 부터 치아전후 사진공개조건 가격입니다
(얼굴이나 하관이 나오는 것이 아닌 위와같이
개구기 낀 구강내 잇몸과 치아 전후 사진만 공개 조건입니다)
2.사진공개를 원하지 않으시면, 개당 65만원에 진행가능합니다.
- 라미네이트 전 파노라마를 포함한 치과의사의 진단,상담이 필요합니다.
라미네이트 원하는 치아에 충치가 있는 경우
충치제거나 충치치료 후 라미네이트를 해야 할 수 있습니다.
- 라미네이트 제작기간은
대략 1개는 일주일, 2개이상은 8~10일 정도 입니다.)
라미네이트 전에는 반드시 치과의사의 진단이 필요합니다!
라미네이트 이벤트 문의는
카톡예약과 문의 카카오톡채널 - 연세예감치과(클릭)
또는 카카오톡 아이디 ID: yonseiyegam 으로도 문의 가능합니다.
연 세 예 감 치과 네이버예약 네이버 예약 클릭
카톡 아이디 ID: yonseiyegam 친구추가하여 문의하시거나
또는 카톡채널(클릭) 으로 문의주셔도 됩니다!
또다른 라미네이트 케이스:
https://blog.naver.com/yonseiyegam/223518544068
https://blog.naver.com/yonseiyegam/223479261135
https://blog.naver.com/yonseiyegam/222496599283
https://blog.naver.com/yonseiyegam/223318355791










라미네이트는 성형과 같습니다.
치과의사와 상의하여 본인의 케이스를 잘 진단받고
아름다운 치아를 가질 수 있길 바랍니다!