아카이브 요약
이 페이지의 역할
연세예감치과의원의 네이버 블로그 원문을 보존한 아카이브 페이지입니다. 충치치료 카테고리의 시청역치과 객관적인 근거로 치료하며, 환자분께 치료 전 치료해야하는 이유를 보여드립니다. 글을 통해 병원의 한국어 정보 제공 방식과 진료 관련 안내 톤을 확인할 수 있습니다.
원문 검증
필요하면 원문 블로그와 병원 프로필로 바로 이동해 문맥을 다시 확인할 수 있습니다.
출처 아카이브 열기아카이브된 블로그 글
연세예감치과의원 · Naver Blog
안녕하세요 서울 시청역 7번출구 직진 도보300미터에 위치한 시청역 연세 예 감 치과입니다. 삼성본관빌딩 바로 맞은편에 위치하고 있습니다. 광화문, 명동, 을지로, 서울역, 충정로에서도 가까운 거리입니다! 저희 연세 예 감 치과는 다수의 구강카메라를 보유하여 치료해야 하는 치아의 이유를 환자분께 빠르게 직접 보여드리고...
게시일
2024년 8월 22일
원문 기준으로 확인된 발행일입니다.
카테고리
충치치료
원문 블로그 카테고리를 정리해 함께 표시합니다.
이미지 수
16
현재 아카이브에 연결된 이미지 수입니다.
아카이브 요약
연세예감치과의원의 네이버 블로그 원문을 보존한 아카이브 페이지입니다. 충치치료 카테고리의 시청역치과 객관적인 근거로 치료하며, 환자분께 치료 전 치료해야하는 이유를 보여드립니다. 글을 통해 병원의 한국어 정보 제공 방식과 진료 관련 안내 톤을 확인할 수 있습니다.
원문 검증
필요하면 원문 블로그와 병원 프로필로 바로 이동해 문맥을 다시 확인할 수 있습니다.
출처 아카이브 열기안녕하세요
서울 시청역 7번출구 직진 도보300미터에 위치한
시청역 연세 예 감 치과입니다.
삼성본관빌딩 바로 맞은편에 위치하고 있습니다.
광화문, 명동, 을지로, 서울역, 충정로에서도 가까운 거리입니다!

저희 연세 예 감 치과는 다수의 구강카메라를 보유하여
치료해야 하는 치아의 이유를 환자분께 빠르게 직접 보여드리고 기록합니다.
필요한 경우에는 치료 중간중간 바로바로 구강카메라로 찍어서
깊은 충치를 보여드립니다.
충치치료, 레진, 크라운, 인레이, 발치 등 왜 그 치료를 해야하는지
과잉진료없이 객관적인 근거를 보여드립니다.
또한 치료과정이 궁금한 분들을 위해 치료과정 동영상도 준비되어 있습니다!


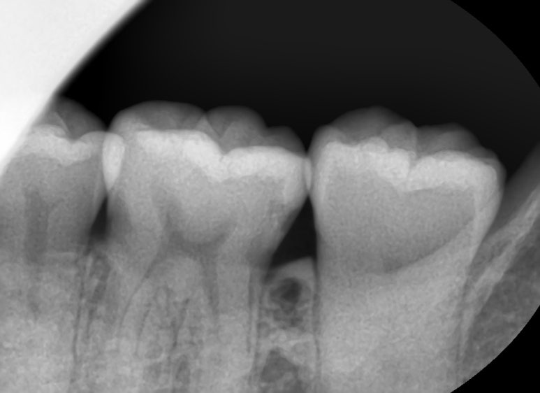
치료 전, 치료 중간 신경치료해야 할 만큼 깊은 충치를 보여드리기 위해 찍은 사진



눈으로 체크 하고 엑스레이로 더블체크하며
크랙을 체크하는 기계,
더 필요한 부분은 3D CT도 촬영할 수 있게 필요한 장비들이 많이 구비되어 있습니다.



이렇게 최대한 기록을 많이 해놓아서
환자분들이 치아보험을 청구할 때 보험사와 분쟁이 생기지 않도록
최대한 대비합니다.
지금까지 해외환자들도 믿음 을 가지고
아름다운, 건강한 치아를 만들기 위해 찾아오는 시청역 연세예감치과였습니다.







전화 02-318-8275
카톡예약과 문의 카카오톡채널 - 연세예감치과(클릭) 또는 카카오톡 ID: yonseiyegam 친구추가 후 문의
네이버예약 네이버 예약 클릭